Przejdź do treściPrzejdź do informacji o dostępnościMenu skrótów klawiszowych
Logo OpenStax
Psychologia

Wprowadzenie

PsychologiaWprowadzenie
Wyszukaj kluczowe pojęcia lub tekst.

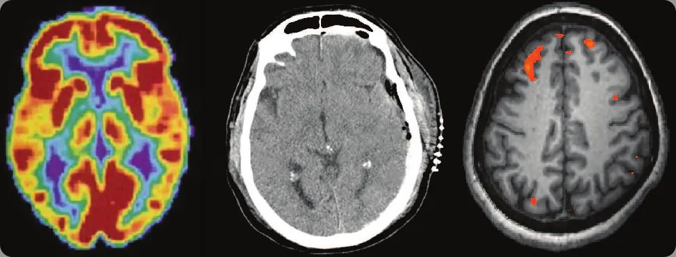
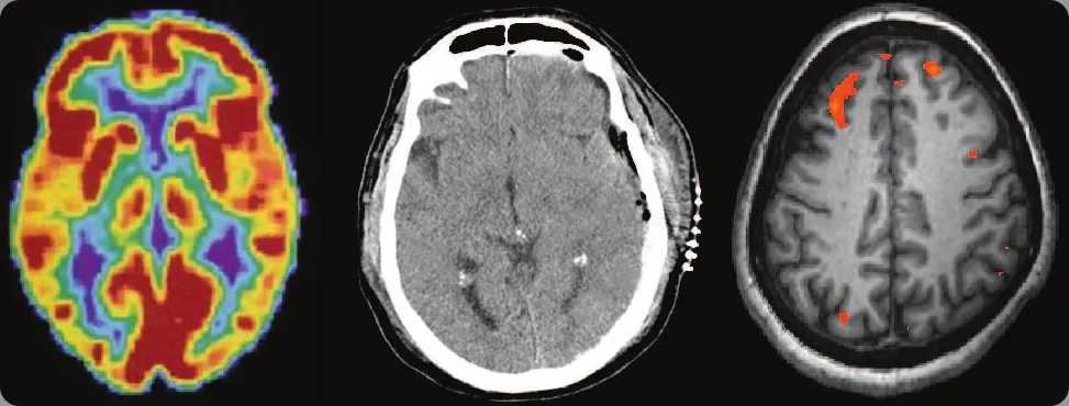
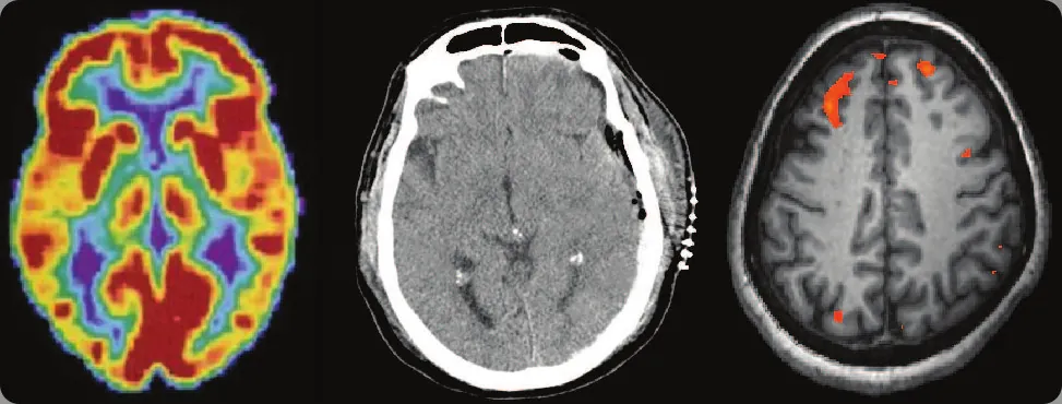
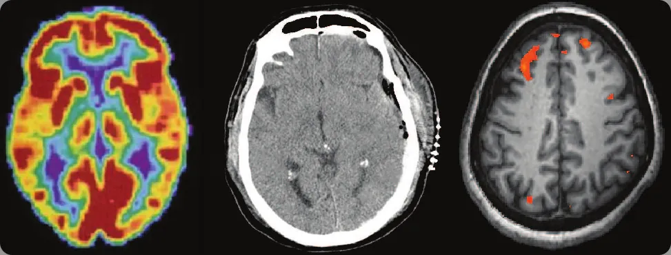
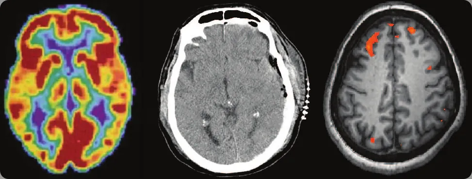
Ilustracja 3.1 W zależności od wyboru technik obrazowania otrzymujemy różne informacje na temat funkcjonowania mózgu. Od lewej: obraz uzyskany metodą pozytonowej tomografii emisyjnej (PET), tomografii komputerowej (TK) i czynnościowego rezonansu magnetycznego (fMRI). (Źródło: obraz po lewej: modyfikacja za amerykańskim Departamentem Zdrowia i Usług Społecznych, Narodowy Instytut Zdrowia (National Institutes of Health, NIH); obraz środkowy: modyfikacja za „Aceofhearts1968”, Wikimedia Commons; obraz po prawej: modyfikacja pracy Kim J., Matthews N. L., Park S.).

Czy zdarzyło ci się kiedyś rozłożyć jakieś urządzenie na czynniki pierwsze, żeby dowiedzieć się, jak działa? Wielu z nas kiedyś tak zrobiło, żeby naprawić zepsuty mechanizm, albo nawet z czystej ciekawości. Wnętrze maszyny często bardzo różni się od tego, co nazywamy interfejsem użytkownika. Przecież zwiększając głośność w smartfonie, mało kto na co dzień myśli o obwodach i mikroczipach; chcemy tylko uzyskać odpowiednie natężenie dźwięku. Podobnie jest z ludzkim ciałem. Wewnętrzne mechanizmy często różnią się od zewnętrznych przejawów ich działania. Zadaniem psychologów jest odnalezienie związku między tym, co na zewnątrz, a tym, co w środku, np. odkrycie, w jaki sposób wyładowania milionów neuronów stają się myślą.

W tym rozdziale spróbujemy wyjaśnić biologiczne mechanizmy warunkujące ludzkie zachowania. Te fizjologiczne i anatomiczne fundamenty stanowią podstawę wielu dziedzin psychologii. Z tego rozdziału nauczysz się, w jaki sposób genetyka wpływa zarówno na naszą fizjologię, jak i na cechy psychiczne. Poznasz budowę i działanie układu nerwowego. Na koniec dowiesz się, jak współdziała on z układem wewnątrzwydzielniczym.

Cytowanie i udostępnianie

Ten podręcznik nie może być wykorzystywany do trenowania sztucznej inteligencji ani do przetwarzania przez systemy sztucznej inteligencji bez zgody OpenStax lub OpenStax Poland.

Chcesz zacytować, udostępnić albo zmodyfikować treść tej książki? Została ona wydana na licencji Uznanie autorstwa (CC BY) , która wymaga od Ciebie uznania autorstwa OpenStax.

Cytowanie i udostępnienia
  • Jeśli rozpowszechniasz tę książkę w formie drukowanej, umieść na każdej jej kartce informację:
    Treści dostępne za darmo na https://openstax.org/books/psychologia-polska/pages/1-wprowadzenie
  • Jeśli rozpowszechniasz całą książkę lub jej fragment w formacie cyfrowym, na każdym widoku strony umieść informację:
    Treści dostępne za darmo na https://openstax.org/books/psychologia-polska/pages/1-wprowadzenie
Cytowanie

© 12 paź 2022 OpenStax. Treść książki została wytworzona przez OpenStax na licencji Uznanie autorstwa (CC BY) . Nazwa OpenStax, logo OpenStax, okładki OpenStax, nazwa OpenStax CNX oraz OpenStax CNX logo nie podlegają licencji Creative Commons i wykorzystanie ich jest dozwolone wyłącznie na mocy uprzedniego pisemnego upoważnienia przez Rice University.