Przejdź do treściPrzejdź do informacji o dostępnościMenu skrótów klawiszowych
Logo OpenStax
Psychologia

3.4 Mózg i rdzeń kręgowy

Psychologia3.4 Mózg i rdzeń kręgowy
Wyszukaj kluczowe pojęcia lub tekst.

Mózg to niewiarygodnie skomplikowany organ, złożony z miliardów połączonych ze sobą neuronów i komórek glejowych. Składa się z dwóch oddzielonych od siebie półkul. Choć każda półkula pełni określone funkcje, to wzajemne oddziaływania wszystkich obszarów mózgu stanowią podstawy myśli i zachowań. W tym podrozdziale omówimy ogólną organizację mózgu i funkcje związane z jego poszczególnymi obszarami. Zaczniemy od części OUN, którą możemy uznać za przedłużenie mózgu, czyli od rdzenia kręgowego.

Rdzeń kręgowy (ang. spinal cord) jest jednym z elementów łączących mózg ze światem zewnętrznym. Mózg działa poprzez rdzeń, który jest czymś w rodzaju stacji przekaźnikowej, tyle że niezwykle złożonej. Nie tylko przekierowuje informacje z i do mózgu, ale także ma własny system zautomatyzowanych reakcji, zwanych odruchami.

Najwyżej położona część rdzenia łączy się z pniem mózgu, kontrolującym podstawowe procesy życiowe, takie jak oddychanie i trawienie. Drugi koniec rdzenia, w przeciwieństwie do powszechnego poglądu, nie ciągnie się aż do podstawy kręgosłupa, lecz kończy zaraz pod żebrami.

Rdzeń kręgowy jest podzielony na 30 segmentów, z których każdy odpowiada jednemu kręgowi kręgosłupa. Każdy jest też połączony nerwami obwodowymi z określoną częścią ciała. Nerwy wychodzą z rdzenia na poziomie każdego kręgu. Te czuciowe niosą informacje z mięśni i narządów – ruchowe zaś wysyłają je do mięśni i narządów. W każdym segmencie informacje wędrują z i do mózgu.

Niektóre sygnały czuciowe wywołują natychmiastową reakcję w samym rdzeniu, bez jakiegokolwiek udziału mózgu. Przykładami mogą być: odruch kolanowy i reakcja cofania od gorącego przedmiotu. Gdy impuls czuciowy spełnia określone parametry, rdzeń kręgowy zapoczątkowuje odruch bezwarunkowy. Sygnał przechodzi z nerwu czuciowego do prostego ośrodka przetwarzania, z którego wychodzi komenda ruchowa. Oszczędza to sekundy, gdyż informacje nie muszą wędrować do mózgu, być tam przetwarzane i wracać. W sytuacjach zagrożenia odruchy rdzeniowe pozwalają ciału reagować naprawdę błyskawicznie.

Rdzeń kręgowy jest chroniony przez kręgi kostne i amortyzowany przez płyn mózgowo-rdzeniowy, ale urazy i tak się zdarzają. Gdy dojdzie do uszkodzenia na jakimś poziomie, wszystkie segmenty położone niżej zostają odcięte od informacji z mózgu, co wywołuje paraliż. Innymi słowy, im niżej jest uszkodzenie, tym mniejszy obszar ciała będzie dotknięty paraliżem.

Poznaj szczegóły

Neuroplastyczność

Bob Woodruff, reporter stacji ABC, doznał poważnego urazu mózgu po tym, jak bomba wybuchła w pobliżu jego auta w trakcie przygotowywania materiału informacyjnego podczas konfliktu w Iraku. Na skutek tego wypadku cierpiał na liczne deficyty poznawcze, w tym obejmujące pamięć i mowę. Długotrwała i intensywna terapia procesów poznawczych sprawiły, że reporter odzyskał utracone funkcje (Fernandez, 2008, 16 października).

Jednym z czynników, który umożliwił odzyskanie funkcji, jest neuroplastyczność. Jej istotą jest zdolność układu nerwowego do zmian i adaptacji. Neuroplastyczność może zajść na skutek różnych okoliczności: osobistego doświadczenia, procesów rozwojowych, czy, jak w powyższym przykładzie, w reakcji na uszkodzenie mózgu. Neuroplastyczność może obejmować powstawanie nowych synaps, zanikanie nieużywanych synaps, zmiany w komórkach glejowych, a nawet powstawanie nowych neuronów (w procesie neurogenezy). Dzięki neuroplastyczności nasze mózgi ciągle zmieniają się i adaptują, i chociaż układ nerwowy jest bardziej plastyczny w młodszym wieku, przypadek Woodruffa pokazuje, że może się on w znaczący sposób zmieniać także u dorosłych.

Półkule mózgowe

Najbardziej zewnętrzna warstwa mózgu, czyli kora mózgowa (in. kora mózgu) (ang. cerebral cortex), jest nierówna; tworzy ją sieć fałdów znanych jako zakręty (łac. gyrus) oraz doliny, czyli bruzdy (łac. sulcus), co pokazano na Ilustracji 3.15. Te zakręty i bruzdy wyznaczają obszary, dzięki którym możemy podzielić mózg na ośrodki czynnościowe. Najgłębsza bruzda, szczelina podłużna (ang. longitudinal fissure), dzieli go na dwie półkule (ang. hemisphere): prawą i lewą.

Ilustracja 3.15 Powierzchnia mózgu jest nierówna, tworzą ją zakręty i bruzdy. Głębokie bruzdy zwane są szczelinami. Należy do nich np. szczelina podłużna mózgu, która dzieli mózg na dwie półkule: prawą i lewą. (Źródło: modyfikacja pracy Bruce’a Blausa).

Między półkulami istnieje pewna specjalizacja czynnościowa określana mianem lateralizacji (ang. lateralization). Chodzi głównie o funkcje związane z mową i językiem, wiemy też, że lewa półkula kontroluje prawą połowę ciała, a prawa – lewą. Dekady badań nad lateralizacją, prowadzonych przez Michaela Gazzanigę i współpracowników, sugerują, że liczne funkcje mogą w pewnej mierze podlegać dominacji półkulowej, począwszy od rozumowania przyczynowo-skutkowego, a na rozpoznawaniu samego siebie kończąc (Gazzaniga, 2005). Na przykład lewa półkula okazuje się ważniejsza dla powstawania skojarzeń pamięciowych, selektywnej uwagi i pozytywnych emocji. Natomiast prawa półkula ma przewagę w przypadku percepcji wysokości dźwięków, pobudzenia i negatywnych emocji (Ehret, 2006). Należy jednak wskazać, że wyniki badań nad dominacją półkul w odniesieniu do różnych zachowań nie są jednoznaczne. Z tego powodu należy raczej analizować to, jak obie półkule współdziałają, aby wywołać określone zachowanie, niż przypisywać niektóre zachowania którejś z nich (Banich i Heller, 1998).

Obie półkule łączy gruba wiązka włókien nerwowych określanych jako spoidło wielkie (łac. corpus callosum) (inaczej: ciało modzelowate), złożone z około 200 mln aksonów. Spoidło wielkie pozwala przekazywać informacje przetwarzane w jednej półkuli do drugiej półkuli.

Większość z nas nie zdaje sobie sprawy z różnych ról, jakie obie półkule odgrywają na co dzień, ale są i tacy, którzy poznali ich możliwości aż za dobrze. W niektórych przypadkach ciężkiej padaczki lekarze decydują się na przecięcie spoidła wielkiego, by ograniczyć rozprzestrzenianie się synchronicznych wyładowań neuronalnych (Ilustracja 3.16). Taka terapia jest skuteczna, ale w rezultacie poddana jej osoba ma rozdzielone półkule mózgowe. Po operacji zaczyna niekiedy przejawiać nietypowy wachlarz zachowań. Nie potrafi np. nazwać tego, co widzi w lewym polu widzenia, gdyż ta informacja jest skierowana tylko do prawej półkuli, w której w zasadzie nie występują ośrodki mowy. Umie jednak odtworzyć widziany rysunek lewą ręką, również kontrolowaną przez prawą półkulę. Za to gdy lewa półkula (w której głównie występują ośrodki mowy) „zobaczy” obrazek narysowany lewą ręką, pacjent może go nazwać (przyjmując, że lewa półkula umie zinterpretować to, co narysowała ręka).

Ilustracja 3.16 (a, b) Lewą i prawą półkulę mózgu łączy spoidło wielkie. (c) Badacz rozkłada mózg owcy, by pokazać spoidło wielkie między półkulami. (Zdjęcie (c): modyfikacja pracy Aarona Bornsteina)

Wiele z tego, co wiemy o funkcjach różnych obszarów mózgu, pochodzi z badań osób, u których uszkodzenie tego narządu wywołało zmiany zachowania. Naukowcy badają np. zmiany w zachowaniu po udarze, by dowiedzieć się, jaką rolę odgrywają określone obszary mózgu. Udar niedokrwienny, wywołany przerwaniem dopływu krwi do jakiejś części mózgu, prowadzi do utraty funkcji w tym obszarze. Uszkodzenie może być ograniczone do niewielkiego fragmentu tkanki i wtedy daje badaczom szanse połączenia ewentualnych zmian w zachowaniu z tym konkretnym rejonem. Rodzaj deficytów, jakie można obserwować po udarze, w dużej mierze zależy od tego, który obszar uległ uszkodzeniu.

Weźmy Theonę, inteligentną, samodzielną, 62-letnią kobietę. Niedawno przeszła udar przedniej części prawej półkuli. W rezultacie jest jej bardzo trudno poruszać lewą nogą (jak już wiesz, prawa półkula kontroluje lewą stronę ciała, a główne ośrodki ruchowe zlokalizowane są w przedniej części mózgu, w płatach czołowych). U Theony doszło też do zmian w zachowaniu. Na przykład gdy odwiedza dział warzywny supermarketu, zdarza jej się zjadać winogrona, truskawki albo jabłka z tacek bez płacenia. Takie zachowanie, którego przed udarem zapewne by się wstydziła, to efekt uszkodzenia innego regionu płata czołowego – tzw. kory przedczołowej, związanej z osądami, rozumowaniem i panowaniem nad popędami.

Struktury przodomózgowia

Kora mózgowa obu półkul to część przodomózgowia (ang. forebrain) (Ilustracja 3.17), które stanowi największą część mózgu. Poza korą należy do niego szereg innych struktur nazywanych podkorowymi, gdyż... leżą pod korą. Możemy wśród nich wyróżnić: wzgórze, przysadkę mózgową i układ limbiczny (na który składa się wiele struktur). Kora, stanowiąca zewnętrzną powierzchnię mózgu, jest związana z procesami wyższego rzędu: świadomością, myśleniem, emocjami, rozumowaniem, mową i pamięcią. Każdą półkulę mózgu można podzielić na cztery płaty, z których każdy pełni inne funkcje.

Ilustracja 3.17 Mózg dzieli się na trzy zasadnicze części: przodomózgowie, śródmózgowie i tyłomózgowie.

Płaty mózgu

W każdej z półkul wyróżniamy cztery płaty: czołowy, ciemieniowy, skroniowy i potyliczny (Ilustracja 3.18). Płat czołowy (ang. frontal lobe) leży z przodu i rozciąga się aż do szczeliny zwanej bruzdą środkową (bruzdą Rolanda). Płat ten jest związany z myśleniem, kontrolą ruchu, emocjami i mową. Należą do niego: kora ruchowa (ang. motor cortex), zaangażowana w planowanie i koordynację ruchów, kora przedczołowa (ang. prefrontal cortex), odpowiedzialna za wyższe funkcje poznawcze, oraz ośrodek Broki (obszar Broki) (ang. Broca’s area), zawiadujący generowaniem mowy.

Rysunek przedstawia cztery płaty mózgu.
Ilustracja 3.18 Płaty mózgu.

Osoby z uszkodzeniem ośrodka Broki mają ogromne trudności z wyartykułowaniem jakichkolwiek zrozumiałych dźwięków mowy (Ilustracja 3.18). Przykładowo: Padma pracowała jako inżynier elektryk, była aktywnym członkiem lokalnej społeczności i kochającą, zaangażowaną matką. Dwadzieścia lat temu przeżyła wypadek samochodowy, w którym uszkodzeniu uległ jej ośrodek Broki. Zupełnie straciła zdolność mówienia i wypowiadania się w logiczny, zrozumiały sposób. Jej usta i struny głosowe są w najlepszym porządku, a mimo to nie umie wydobywać z siebie słów. Gdy ktoś daje jej wskazówki, potrafi z nich korzystać, ale nie odpowiada. Potrafi czytać, ale nie pisać. Rutynowe czynności, jak pójście do sklepu po mleko, nie sprawiają jej trudności, ale gdyby sytuacja tego od niej wymagała, nie potrafiłaby o nic zapytać ani porozmawiać.

Prawdopodobnie najsłynniejszym przypadkiem uszkodzenia płata czołowego jest historia mężczyzny nazwiskiem Phineas Gage (1823–1860). 13 września 1848 roku pracował on jak co dzień jako kierownik budowy torów kolejowych w Vermont. Wraz z zespołem miał wysadzać skały stojące na drodze planowanej linii kolejowej. Do ubijania materiałów wybuchowych w zagłębieniach strzelniczych wykorzystywano metalowy pręt. Niestety za którymś razem pręt wywołał iskrę, a ta – zapłon ładunku, który wybuchł Gage’owi w twarz, pręt zaś przebił mu czaszkę (Ilustracja 3.19). Mężczyzna nie stracił przytomności, choć przez dłuższą chwilę leżał w kałuży własnej krwi, a z jego czaszki wydobywały się fragmenty mózgu. Był w stanie wstać, mówić i chodzić o własnych siłach. Jednak ludzie zauważyli, że w ciągu kilku miesięcy po wypadku bardzo się zmienił. Wielu przyjaciół twierdziło wręcz, że przestał być sobą. Przed urazem Gage był dobrze wychowanym, spokojnym człowiekiem, a po nim zaczął zachowywać się dziwacznie i nieodpowiednio. Takie zmiany mogły wynikać z utraty umiejętności kontroli własnego zachowania – funkcji pełnionej przez płaty czołowe.

Oprócz uszkodzenia samego płata czołowego późniejsze badania drogi, którą przeszedł pręt, pozwoliły zidentyfikować również prawdopodobne uszkodzenia dróg łączących płat czołowy z innymi strukturami mózgu, w tym układem limbicznym. Zniszczenie połączeń między ośrodkami w płatach czołowych odpowiedzialnymi za funkcje planowania oraz ośrodkami w układzie limbicznym odpowiedzialnymi za procesy emocjonalne sprawiło, że Gage miał trudności z kontrolowaniem zachowań emocjonalnych.

Są jednak dane wskazujące, że wyraźne zmiany w osobowości mężczyzny zostały wyolbrzymione i mocno ubarwione. Przypadek Gage’a zdarzył się w szczytowym momencie dziewiętnastowiecznej debaty, w której spierano się, czy określone funkcje mózgu mają specyficzną lokalizację. Naukowcy starali się znaleźć potwierdzenie swoich poglądów niezależnie od tego, po której stronie opowiadali się w tym sporze, opierając się na bardzo ograniczonych informacjach o samym Gage’u, rozmiarach uszkodzeń mózgu oraz życiu mężczyzny sprzed i po wypadku (Macmillan, 1999).

Ilustracja 3.19 (a) Phineas Gage trzyma w rękach pręt, który przebił mu czaszkę w wypadku podczas budowy linii kolejowej w 1848 roku. (b) Kora przedczołowa lewej półkuli mózgu Gage’a została poważnie uszkodzona. Pręt wszedł w twarzoczaszkę po lewej stronie, przeszedł za okiem i wyszedł przez szczyt czaszki, zanim spadł na ziemię jakieś 25 metrów dalej. (Źródło: zdjęcie (a): modyfikacja pracy Jacka i Beverly Wilgus).

Bezpośrednio za płatem czołowym znajduje się płat ciemieniowy (ang. parietal lobe), zaangażowany w przetwarzanie informacji zmysłowych. Tworzy go kora somatosensoryczna (ang. somatosensory cortex), nieodzowny element przetwarzania informacji czuciowych z całego organizmu, takich jak dotyk, temperatura i ból. Kora somatosensoryczna jest zorganizowana somatotopowo, to znaczy, że na jej powierzchni odzwierciedlone są relacje przestrzenne między obszarami ciała (Ilustracja 3.20). Na przykład obszar przetwarzający informacje czuciowe z dłoni leży w sąsiedztwie obszaru przetwarzającego informacje czuciowe z nadgarstka.

Ilustracja 3.20 Organizacja przestrzenna kory somatosensorycznej odzwierciedla stosunki przestrzenne między poszczególnymi obszarami ciała.

Płaty skroniowe (ang. temporal lobe) leżą po bokach mózgu, w okolicach skroni. Odpowiadają za słyszenie, pamięć, uczucia i niektóre aspekty mowy. To tu zlokalizowana jest kora słuchowa (ang. auditory cortex), główny obszar uczestniczący w przetwarzaniu informacji słuchowych. Tu także znajduje się ośrodek Wernickego (ang. Wernicke’s area), kluczowy dla rozumienia mowy. Można powiedzieć, że podczas gdy ludzie z uszkodzonym ośrodkiem Broki mają problem z wypowiedzeniem choćby jednego zrozumiałego słowa, ci z urazem ośrodka Wernickego mówią słowa w sposób zrozumiały, ale ich wypowiedzi są pozbawione sensu (Ilustracja 3.21).

ki
Ilustracja 3.21 Problemy z mową mogą wynikać zarówno z uszkodzenia ośrodka Broki, jak i Wernickego. Rodzaj deficytów jest jednak ściśle związany z miejscem uszkodzenia.

Płat potyliczny (ang. occipital lobe) jest zlokalizowany z tyłu czaszki; mieści się tu pierwszorzędowa kora wzrokowa, odpowiedzialna za odczytywanie przychodzących z oczu bodźców wzrokowych. Kora potyliczna jest zorganizowana retinotopowo, co oznacza, że istnieje ścisły związek między położeniem obiektu w polu widzenia a pozycją, jaką reprezentacja tego obiektu zajmuje w korze wzrokowej. Więcej o przetwarzaniu informacji wzrokowych w płatach potylicznych dowiesz się, ucząc się o wrażeniach zmysłowych i percepcji w podrozdziale Wzrok.

Inne obszary przodomózgowia

Inne obszary przodomózgowia to położone pod korą wzgórze i układ limbiczny. Wzgórze (łac. thalamus) to stacja przekaźnikowa mózgu. Wszystkie szlaki zmysłowe, z wyjątkiem węchowego, przechodzą przez wzgórze, zanim dotrą do innych obszarów mózgu, gdzie odbywa się ich przetwarzanie (Ilustracja 3.22).

Ilustracja 3.22 Wzgórze to stacja przekaźnikowa mózgu; tu krzyżuje się większość szlaków zmysłowych, zanim dotrze do miejsc przetwarzania informacji.

Układ limbiczny (ang. limbic system) bierze udział w przetwarzaniu emocji i śladów pamięciowych. Co ciekawe, szlak węchowy biegnie bezpośrednio do układu limbicznego, więc nie dziwi fakt, że zapachy wywołują reakcje emocjonalne w takim stopniu, w jakim nie może wywołać ich żaden inny bodziec. Układ limbiczny składa się z szeregu struktur; trzy najważniejsze to hipokamp (łac. hippocampus), ciało migdałowate (łac. amygdala) i podwzgórze (łac. hypothalamus) (Ilustracja 3.23). Hipokamp, parzysty narząd, jest niezbędny w procesie uczenia się i zapamiętywania. Ciało migdałowate jest kluczowe w doświadczaniu emocji i nadawaniu wspomnieniom emocjonalnego znaczenia. Podwzgórze reguluje wiele procesów z zakresu homeostazy, w tym temperaturę ciała, apetyt i ciśnienie krwi. Jest także stacją przekaźnikową między układem nerwowym a wewnątrzwydzielniczym oraz nadzoruje popęd seksualny i zachowania reprodukcyjne.

Ilustracja 3.23 Układ limbiczny jest zaangażowany w procesy pamięciowe i reakcje emocjonalne.

Przypadek Henry’ego Molaisona (H.M.)

W 1953 roku Henry Gustav Molaison (1926–2008) (H. M.) był dwudziestosiedmiolatkiem z ciężką padaczką. Aby ograniczyć rozległość występujących u niego napadów padaczki, wykonano u niego operację mózgu polegającą na usunięciu hipokampu i ciała migdałowatego. Po zabiegu napady padaczkowe rzeczywiście stały się mniej uciążliwe, ale sama operacja wywołała nieoczekiwane i tragiczne skutki uboczne. H.M. utracił zdolność tworzenia wielu typów nowych wspomnień. Nie potrafił np. zapamiętać nowych faktów w rodzaju „kto jest obecnym prezydentem”. Był w stanie nabywać nowe umiejętności, ale później zapominał, że je posiada. Na przykład uczył się korzystać z komputera, a później nie pamiętał, żeby kiedykolwiek widział to urządzenie. Nie potrafił zapamiętać nowych twarzy ani zdarzeń, nawet tuż po ich zajściu. Badacze byli nim zafascynowani i do dziś H. M. jest uznawany za jednego z najlepiej przebadanych pacjentów w historii medycyny i psychologii (Hardt, Einarsson, Nader, 2010; Squire, 2009). Jego historia pozwoliła wejrzeć głęboko w mózg i ustalić, jaką rolę odgrywa hipokamp w konsolidacji nowych śladów pamięciowych w pamięci deklaratywnej (świadomej).

Struktury śródmózgowia i tyłomózgowia

Śródmózgowie (ang. midbrain) tworzą struktury zlokalizowane głęboko w mózgu, między przodo- a tyłomózgowiem. W tej części leży centrum układu siatkowatego (ang. reticular formation), który jednak rozciąga się dalej, w górę do przodomózgowia i w dół do tyłomózgowia. Twór siatkowaty odgrywa istotną rolę w regulacji świadomości, pobudzenia, aktywności ruchowej i cyklu sen–czuwanie.

W śródmózgowiu znajdują się też substancja czarna (istota czarna) (łac. substantia nigra) i pole brzuszne nakrywki (ang. ventral tegmental area (VTA)) przedstawione na Ilustracji 3.24. W obu tych obszarach zlokalizowane są komórki wytwarzające dopaminę i oba odgrywają istotną rolę w sterowaniu ruchem. Degeneracja substancji czarnej i VTA występuje w chorobie Parkinsona. Oprócz tego obie struktury wpływają na nastrój, doświadczanie przyjemności i... uzależnienia (Berridge i Robinson, 1998; Gardner, 2011; George et al., 2012).

Ilustracja 3.24 Istota czarna oraz pole brzuszne nakrywki są umiejscowione w śródmózgowiu.

Tyłomózgowie (ang. hindbrain) leży z tyłu czaszki i wygląda jak przedłużenie rdzenia kręgowego. Składa się z rdzenia przedłużonego, mostu i móżdżku (Ilustracja 3.25). Rdzeń przedłużony (łac. medulla) kontroluje automatyzmy autonomicznego układu nerwowego, takie jak oddychanie, ciśnienie krwi czy bicie serca. Zgodnie z nazwą most (ang. pons) łączy tyłomózgowie z resztą mózgu oraz bierze udział w regulacji aktywności mózgu podczas snu. Pień mózgu (ang. brain stem) w ujęciu klinicznym złożony jest z trzech pięter ośrodkowego układu nerwowego: śródmózgowia, mostu i rdzenia przedłużonego.

Ilustracja ukazuje lokalizację mostu, rdzenia przedłużonego i móżdżku.
Ilustracja 3.25 Tyłomózgowie tworzą: most, rdzeń przedłużony i móżdżek.

Móżdżek (łac. cerebellum) (czyli „mały mózg”) otrzymuje informacje z mięśni, ścięgien, stawów oraz struktur zlokalizowanych w uchu wewnętrznym. Dzięki nim kontroluje równowagę, koordynację ruchów i wyuczone sekwencje ruchowe. Uważa się też, że ta część mózgu pełni istotną funkcję w przetwarzaniu niektórych typów śladów pamięciowych, a w szczególności tzw. pamięci proceduralnej, związanej z uczeniem się i pamiętaniem, jak wykonywać określone czynności. Przypomnij sobie, że H. M. nie umiał zapisać nowych zdarzeń w pamięci deklaratywnej, ale potrafił uczyć się nowych czynności, prawdopodobnie dlatego, że jego móżdżek pozostał nietknięty.

Co o tym sądzisz?

Śmierć mózgu i sztuczne podtrzymywanie czynności życiowych

Jaka decyzja wydałaby ci się najlepsza, gdyby bliska ci osoba została uznana za będącą w stanie śmierci mózgowej, ale jej ciało byłoby podtrzymywane przy życiu dzięki maszynerii medycznej? Kto powinien podejmować decyzję o odłączeniu odżywiania? Czy w podejmowaniu takich decyzji powinien odgrywać rolę koszt podtrzymywania życia?

25 lutego 1990 roku Terri Schiavo (1963–2005), mieszkanka Florydy, doświadczyła zatrzymania czynności serca, najprawdopodobniej wywołanego napadem bulimii. Udało się przywrócić jej podstawowe czynności życiowe, ale jej mózg zbyt długo był pozbawiony tlenu. Badania wskazywały, że kora mózgowa nie wykazuje żadnej aktywności i że doszło do jej ciężkiego i trwałego zaniku. Stwierdzono, że kobieta jest w stanie wegetatywnym. Opinie ekspertów medycznych były jednoznaczne: Terri nigdy nie będzie się samodzielnie poruszać, mówić ani w ogóle reagować. By utrzymać ją przy życiu, konieczne było założenie jej sondy do karmienia (zgłębnika dojelitowego); nie było szans, by jej stan się kiedykolwiek poprawił.

Bywało, że Schiavo poruszała oczami albo wydawała jakieś dźwięki. Dlatego mimo opinii lekarzy jej rodzice wierzyli, że jest to sposób, w jaki próbuje się z nimi komunikować.

Po 12 latach mąż Terri postanowił to przerwać; przekonywał, że jego żona nie chciałaby być utrzymywana przy życiu w takim stanie, bez możliwości odczuwania, bez aktywności mózgu. Jej rodzice jednak sprzeciwiali się odłączeniu sondy, przez którą była karmiona. Sprawa trafiła do sądów, zarówno stanowego, jak i federalnego. W 2005 roku wydano orzeczenie zgodne ze stanowiskiem męża i 18 marca Terri Schiavo usunięto sondę do karmienia. Kobieta zmarła 13 dni później.

Dlaczego Schiavo poruszała oczyma i wydawała dźwięki? Choć te części jej mózgu, które odpowiadały za myślenie, ruchy dowolne i uczucia zostały nieodwracalnie zniszczone, pień mózgu pozostał nienaruszony. Jej móżdżek i most zawiadywały oddychaniem i sprawiały, że czasem poruszała oczami albo wydawała dźwięki. Przez 15 lat, gdy była podłączona do aparatury, koszty jej leczenia mogły przekroczyć nawet 7 mln dolarów (Arnst, 2003).

Pytania, które tu zadaliśmy, poruszyły opinię publiczną wiele lat temu, ale są aktualne i dziś. W roku 2013 stwierdzono śmierć mózgu u 13-letniej dziewczynki; było to powikłanie po operacji migdałków. Rodzice walczyli w sądzie o sztuczne utrzymywanie jej przy życiu, gdyż polityka szpitala wobec osób, u których stwierdzono śmierć mózgu, była inna. W kolejnym skomplikowanym przypadku z lat 2013–14 ciężarną sanitariuszkę z Teksasu sztucznie utrzymywano przy życiu przez wiele tygodni, mimo że stwierdzono u niej śmierć mózgu i wbrew woli jej małżonka, który twierdził, że sama kobieta nie chciałaby tego rodzaju pomocy. W jej przypadku pierwszeństwo miało prawo stanowe, które nakazywało ochronę życia płodu, dopóki lekarze nie stwierdzili, że i on nie ma szans na przeżycie.

Decyzje stojące za reakcją personelu medycznego wobec osób uznanych za zmarłe w wyniku śmierci mózgowej są bardzo złożone. A co ty sądzisz o tych kwestiach?

Obrazowanie mózgu

Wiesz już, że uszkodzenie mózgu może dostarczyć informacji o funkcjach różnych jego obszarów. Coraz częściej jednak te same informacje możemy uzyskać dzięki technikom obrazowania mózgu (ang. brain imaging), badając osoby, które nie doświadczyły żadnych uszkodzeń tego organu. W tym podrozdziale przyjrzymy się bliżej niektórym z tych technik, zarówno wykorzystującym promieniowanie rentgenowskie, jak i pola magnetyczne czy aktywność elektryczną mózgu.

Techniki oparte na promieniowaniu

Tomografia komputerowa (TK) (ang. computerized tomography (CT)) to obraz utworzony z wielu zdjęć rentgenowskich danej części ciała (w tym mózgu) (Ilustracja 3.26). Promienie X, przechodząc przez tkanki o różnej gęstości, są tłumione w różnym stopniu, dzięki czemu komputer może stworzyć całkowity obraz badanego obszaru. TK często jest wykorzystywana do stwierdzenia, czy w mózgu badanej osoby rozwija się guz albo czy dochodzi do znaczącego zaniku tkanki mózgowej.

Ilustracja 3.26 Obraz TK może ujawnić guzy mózgu. (a) Obraz po lewej ukazuje zdrowy mózg, podczas gdy (b) ten po prawej – mózg z guzem w lewym płacie czołowym. (Źródło: ilustracja (a): modyfikacja pracy „Aceofhearts1968”/Wikimedia Commons; ilustracja (b): modyfikacja pracy Rolanda Schmitta i in.).

Pozytonowa tomografia emisyjna (ang. positron emission tomography (PET)) tworzy obrazy żywego, aktywnego mózgu (Ilustracja 3.27). Osoba poddawana takiemu badaniu najpierw wypija (albo wstrzykuje się jej) płyn z nieznacznie radioaktywną substancją, tzw. znacznikiem. Gdy znacznik znajdzie się w krwiobiegu, można monitorować jego ilość w dowolnym obszarze mózgu. Wiadomo, że wzrost aktywności obszaru mózgu powoduje wzrost przepływu krwi przez ten obszar, a więc i wzrost stężenia znacznika. Komputer pozwala rejestrować ruchy znacznika i tworzy mapę aktywnych i nieaktywnych obszarów mózgu podczas określonego zachowania. Obrazy PET nie są zbyt szczegółowe, nie pozwalają na dokładne zobrazowanie aktywności w czasie i są związane z narażeniem mózgu na promieniowanie. Dlatego technikę tę zastępuje się obrazowaniem czynnościowym rezonansem magnetycznym (fMRI). Jednakże w połączeniu z tomografią komputerową badanie PET wciąż jest wykorzystywane w niektórych sytuacjach. Techniki TK/PET pozwalają np. lepiej zobrazować aktywność receptorów neuroprzekaźnika i otwierają nowe możliwości w badaniach nad schizofrenią. Hybrydowa technologia TK/PET to szczegółowy obraz struktur mózgu (TK) i jego aktywności (PET).

Technika PET umożliwia zobrazowanie aktywności mózgu.
Ilustracja 3.27 Obraz PET ujawnia aktywność różnych obszarów mózgu. (Źródło: Departament Zdrowia i Opieki Społecznej, Narodowy Instytut Zdrowia)

Techniki wykorzystujące pola magnetyczne

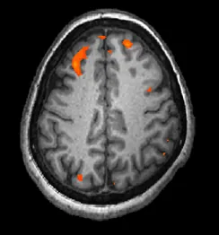
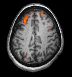
W rezonansie magnetycznym (ang. magnetic resonance imaging (MRI)) uczestnik jest umieszczany wewnątrz urządzenia wytwarzającego silne pole magnetyczne. Pole to porządkuje atomy wodoru w komórkach. Po wyłączeniu pola atomy te wracają do pierwotnego położenia, emitując przy tym pole elektromagnetyczne. Tkanki o różnej gęstości wysyłają sygnały o różnym natężeniu, które komputer przetwarza i obraz badanego obszaru wyświetla na ekranie monitora. Czynnościowy rezonans magnetyczny (ang. functional magnetic resonance imaging (fMRI)) działa na tej samej zasadzie, ale pokazuje zmiany aktywności mózgu w czasie, śledząc przepływ krwi i poziom wysycenia jej tlenem. fMRI dostarcza bardziej szczegółowych obrazów budowy mózgu, z większą dokładnością czasową niż w przypadku techniki PET (Ilustracja 3.28). Przy tak dużym poziomie szczegółowości MRI i fMRI często wykorzystuje się do porównywania mózgów osób zdrowych z mózgami osób ze zdiagnozowanymi zaburzeniami psychicznymi. Takie porównanie pomaga określić strukturalne i czynnościowe różnice między populacjami ludzi zdrowych i chorych.

Obraz pokazuje tkankę mózgową w kolorze szarym, ale niektóre, niewielkie obszary świecą na czerwono.
Ilustracja 3.28 fMRI pokazuje zmiany aktywności mózgu w czasie. Rysunek przedstawia pojedynczą klatkę zarejestrowaną w czasie badania. (Źródło: modyfikacja pracy Kim J., Matthews N.L., Park S.).

Techniki wykorzystujące aktywność elektryczną

W badaniach mózgu ważną rolę odgrywa analiza potencjałów elektrycznych tego narządu, która pozwala na bardzo dokładną rejestrację czasowych zmian aktywności przy niezbyt precyzyjnym ustaleniu miejsca jej występowania. Takie informacje o elektrycznej aktywności mózgu daje elektroencefalografia (ang. electroencephalography (EEG)). Na głowę badanego nakłada się specjalny czepek z odpowiednio rozmieszczonymi elektrodami (Ilustracja 3.29). Sygnały odbierane z elektrod pozwalają stworzyć wykres aktywności mózgu, tzw. fale mózgowe, rejestrując zmianę ich amplitudy (wysokość) z dokładnością do milisekund. Stosując odpowiednie techniki obliczeniowe, określa się częstotliwość składowych danego sygnału. Tego typu informacje są szczególnie przydatne naukowcom badającym wzorce snu u osób z jego zaburzeniami.

Ilustracja 3.29 W nowoczesnej aparaturze EEG wykorzystuje się wieloelektrodowe czepki, które umożliwiają precyzyjną rejestrację aktywności elektrycznej mózgu. (Źródło: SMI Eye Tracking).
Cytowanie i udostępnianie

Ten podręcznik nie może być wykorzystywany do trenowania sztucznej inteligencji ani do przetwarzania przez systemy sztucznej inteligencji bez zgody OpenStax lub OpenStax Poland.

Chcesz zacytować, udostępnić albo zmodyfikować treść tej książki? Została ona wydana na licencji Uznanie autorstwa (CC BY) , która wymaga od Ciebie uznania autorstwa OpenStax.

Cytowanie i udostępnienia
  • Jeśli rozpowszechniasz tę książkę w formie drukowanej, umieść na każdej jej kartce informację:
    Treści dostępne za darmo na https://openstax.org/books/psychologia-polska/pages/1-wprowadzenie
  • Jeśli rozpowszechniasz całą książkę lub jej fragment w formacie cyfrowym, na każdym widoku strony umieść informację:
    Treści dostępne za darmo na https://openstax.org/books/psychologia-polska/pages/1-wprowadzenie
Cytowanie

© 12 paź 2022 OpenStax. Treść książki została wytworzona przez OpenStax na licencji Uznanie autorstwa (CC BY) . Nazwa OpenStax, logo OpenStax, okładki OpenStax, nazwa OpenStax CNX oraz OpenStax CNX logo nie podlegają licencji Creative Commons i wykorzystanie ich jest dozwolone wyłącznie na mocy uprzedniego pisemnego upoważnienia przez Rice University.