Skip to ContentGo to accessibility pageKeyboard shortcuts menu
OpenStax Logo
Calculus Volume 3

6.4 Green’s Theorem

Calculus Volume 36.4 Green’s Theorem
Search for key terms or text.

Learning Objectives

  • 6.4.1 Apply the circulation form of Green’s theorem.
  • 6.4.2 Apply the flux form of Green’s theorem.
  • 6.4.3 Calculate circulation and flux on more general regions.

In this section, we examine Green’s theorem, which is an extension of the Fundamental Theorem of Calculus to two dimensions. Green’s theorem has two forms: a circulation form and a flux form, both of which require region D in the double integral to be simply connected. However, we will extend Green’s theorem to regions that are not simply connected.

Put simply, Green’s theorem relates a line integral around a simply closed plane curve C and a double integral over the region enclosed by C. The theorem is useful because it allows us to translate difficult line integrals into more simple double integrals, or difficult double integrals into more simple line integrals.

Extending the Fundamental Theorem of Calculus

Recall that the Fundamental Theorem of Calculus says that

abF(x)dx=F(b)F(a).abF(x)dx=F(b)F(a).

As a geometric statement, this equation says that the integral over the region below the graph of F(x)F(x) and above the line segment [a,b][a,b] depends only on the value of F at the endpoints a and b of that segment. Since the numbers a and b are the boundary of the line segment [a,b],[a,b], the theorem says we can calculate integral abF(x)dxabF(x)dx based on information about the boundary of line segment [a,b][a,b] (Figure 6.32). The same idea is true of the Fundamental Theorem for Line Integrals:

Cf·dr=f(r(b))f(r(a)).Cf·dr=f(r(b))f(r(a)).

When we have a potential function (an “antiderivative”), we can calculate the line integral based solely on information about the boundary of curve C.

A graph in quadrant 1 of a generic function f(x). It is an increasing concave up function for the first quarter, an increasing concave down function for the second quarter, a decreasing concave down function for the third quarter, and an increasing concave down function for the last quarter. In the second quarter, a point a is marked on the x axis, and in the third quarter, a point b is marked on the x axis. The area under the curve and between a and b is shaded. This area is labeled the integral from a to b of f(x) dx.
Figure 6.32 The Fundamental Theorem of Calculus says that the integral over line segment [a,b][a,b] depends only on the values of the antiderivative at the endpoints of [a,b].[a,b].

Green’s theorem takes this idea and extends it to calculating double integrals. Green’s theorem says that we can calculate a double integral over region D based solely on information about the boundary of D. Green’s theorem also says we can calculate a line integral over a simple closed curve C based solely on information about the region that C encloses. In particular, Green’s theorem connects a double integral over region D to a line integral around the boundary of D.

Circulation Form of Green’s Theorem

The first form of Green’s theorem that we examine is the circulation form. This form of the theorem relates the vector line integral over a simple, closed plane curve C to a double integral over the region enclosed by C. Therefore, the circulation of a vector field along a simple closed curve can be transformed into a double integral and vice versa.

Theorem 6.12

Green’s Theorem, Circulation Form

Let D be an open, simply connected region with a boundary curve C that is a piecewise smooth, simple closed curve oriented counterclockwise (Figure 6.33). Let F=P,QF=P,Q be a vector field with component functions that have continuous partial derivatives on D. Then,

CF·dr=CPdx+Qdy=D(QxPy)dA.CF·dr=CPdx+Qdy=D(QxPy)dA.
(6.13)
A vector field in two dimensions with all of the arrows pointing up and to the right. A curve C oriented counterclockwise sections off a region D around the origin. It is a simple, closed region.
Figure 6.33 The circulation form of Green’s theorem relates a line integral over curve C to a double integral over region D.

Notice that Green’s theorem can be used only for a two-dimensional vector field F. If F is a three-dimensional field, then Green’s theorem does not apply. Since

CPdx+Qdy=CF·Tds,CPdx+Qdy=CF·Tds,

this version of Green’s theorem is sometimes referred to as the tangential form of Green’s theorem.

The proof of Green’s theorem is rather technical, and beyond the scope of this text. Here we examine a proof of the theorem in the special case that D is a rectangle. For now, notice that we can quickly confirm that the theorem is true for the special case in which F=P,QF=P,Q is conservative. In this case,

CPdx+Qdy=0CPdx+Qdy=0

because the circulation is zero in conservative vector fields. By Cross-Partial Property of Conservative Fields, F satisfies the cross-partial condition, so Py=Qx.Py=Qx. Therefore,

D(QxPy)dA=D0dA=0=CPdx+Qdy,D(QxPy)dA=D0dA=0=CPdx+Qdy,

which confirms Green’s theorem in the case of conservative vector fields.

Proof

Let’s now prove that the circulation form of Green’s theorem is true when the region D is a rectangle. Let D be the rectangle [a,b]×[c,d][a,b]×[c,d] oriented counterclockwise. Then, the boundary C of D consists of four piecewise smooth pieces C1,C1, C2,C2, C3,C3, and C4C4 (Figure 6.34). We parameterize each side of D as follows:

C1:r1(t)=t,c,atbC2:r2(t)=b,t,ctdC3:r3(t)=t,d,atbC4:r4(t)=a,t,ctd.C1:r1(t)=t,c,atbC2:r2(t)=b,t,ctdC3:r3(t)=t,d,atbC4:r4(t)=a,t,ctd.
A diagram in quadrant 1. Rectangle D is oriented counterclockwise. Points a and b are on the x axis, and points c and d are on the y axis with b > a and d > c. The sides of the rectangle are side c1 with endpoints at (a,c) and (b,c), side c2 with endpoints at (b,c) and (b,d), side c3 with endpoints at (b,d) and (a,d), and side c4 with endpoints at (a,d) and (a,c).
Figure 6.34 Rectangle D is oriented counterclockwise.

Then,

CF·dr=C1F·dr+C2F·dr+C3F·dr+C4F·dr=C1F·dr+C2F·drC3F·drC4F·dr=abF(r1(t))·r1'(t)dt+cdF(r2(t))·r2'(t)dtabF(r3(t))·r3'(t)dtcdF(r4(t))·r4'(t)dt=abP(t,c)dt+cdQ(b,t)dtabP(t,d)dtcdQ(a,t)dt=ab(P(t,c)P(t,d))dt+cd(Q(b,t)Q(a,t))dt=ab(P(t,d)P(t,c))dt+cd(Q(b,t)Q(a,t))dt.CF·dr=C1F·dr+C2F·dr+C3F·dr+C4F·dr=C1F·dr+C2F·drC3F·drC4F·dr=abF(r1(t))·r1'(t)dt+cdF(r2(t))·r2'(t)dtabF(r3(t))·r3'(t)dtcdF(r4(t))·r4'(t)dt=abP(t,c)dt+cdQ(b,t)dtabP(t,d)dtcdQ(a,t)dt=ab(P(t,c)P(t,d))dt+cd(Q(b,t)Q(a,t))dt=ab(P(t,d)P(t,c))dt+cd(Q(b,t)Q(a,t))dt.

By the Fundamental Theorem of Calculus,

P(t,d)P(t,c)=cdyP(t,y)dyandQ(b,t)Q(a,t)=abxQ(x,t)dx.P(t,d)P(t,c)=cdyP(t,y)dyandQ(b,t)Q(a,t)=abxQ(x,t)dx.

Therefore,

ab(P(t,d)P(t,c))dt+cd(Q(b,t)Q(a,t))dt=abcdyP(t,y)dydt+cdabxQ(x,t)dxdt.ab(P(t,d)P(t,c))dt+cd(Q(b,t)Q(a,t))dt=abcdyP(t,y)dydt+cdabxQ(x,t)dxdt.

But,

abcdyP(t,y)dydt+cdabxQ(x,t)dxdt=abcdyP(x,y)dydx+cdabxQ(x,y)dxdy=abcd(QxPy)dydx=D(QxPy)dA.abcdyP(t,y)dydt+cdabxQ(x,t)dxdt=abcdyP(x,y)dydx+cdabxQ(x,y)dxdy=abcd(QxPy)dydx=D(QxPy)dA.

Therefore, CF·dr=D(QxPy)dACF·dr=D(QxPy)dA and we have proved Green’s theorem in the case of a rectangle.

To prove Green’s theorem over a general region D, we can decompose D into many tiny rectangles and use the proof that the theorem works over rectangles. The details are technical, however, and beyond the scope of this text.

Example 6.38

Applying Green’s Theorem over a Rectangle

Calculate the line integral

Cx2ydx+(y3)dy,Cx2ydx+(y3)dy,

where C is a rectangle with vertices (1,1),(1,1), (4,1),(4,1), (4,5),(4,5), and (1,5)(1,5) oriented counterclockwise.

Analysis

If we were to evaluate this line integral without using Green’s theorem, we would need to parameterize each side of the rectangle, break the line integral into four separate line integrals, and use the methods from Line Integrals to evaluate each integral. Furthermore, since the vector field here is not conservative, we cannot apply the Fundamental Theorem for Line Integrals. Green’s theorem makes the calculation much simpler.

Example 6.39

Applying Green’s Theorem to Calculate Work

Calculate the work done on a particle by force field

F(x,y)=y+sinx,eyxF(x,y)=y+sinx,eyx

as the particle traverses circle x2+y2=4x2+y2=4 exactly once in the counterclockwise direction, starting and ending at point (2,0).(2,0).

Checkpoint 6.34

Use Green’s theorem to calculate line integral

Csin(x2)dx+(3xy)dy,Csin(x2)dx+(3xy)dy,

where C is a right triangle with vertices (−1,2),(−1,2), (4,2),(4,2), and (4,5)(4,5) oriented counterclockwise.

In the preceding two examples, the double integral in Green’s theorem was easier to calculate than the line integral, so we used the theorem to calculate the line integral. In the next example, the double integral is more difficult to calculate than the line integral, so we use Green’s theorem to translate a double integral into a line integral.

Example 6.40

Applying Green’s Theorem over an Ellipse

Calculate the area enclosed by ellipse x2a2+y2b2=1x2a2+y2b2=1 (Figure 6.37).

A horizontal ellipse graphed in two dimensions. It has vertices at (-a, 0), (0, -b), (a, 0), and (0, b), where the absolute value of a is between 2.5 and 5 and the absolute value of b is between 0 and 2.5.
Figure 6.37 Ellipse x2a2+y2b2=1x2a2+y2b2=1 is denoted by C.

In Example 6.40, we used vector field F(x,y)=P,Q=y2,x2F(x,y)=P,Q=y2,x2 to find the area of any ellipse. The logic of the previous example can be extended to derive a formula for the area of any region D. Let D be any region with a boundary that is a simple closed curve C oriented counterclockwise. If F(x,y)=P,Q=y2,x2,F(x,y)=P,Q=y2,x2, then QxPy=1.QxPy=1. Therefore, by the same logic as in Example 6.40,

area ofD=DdA=12Cydx+xdy.area ofD=DdA=12Cydx+xdy.
(6.14)

It’s worth noting that if F=P,QF=P,Q is any vector field with QxPy=1,QxPy=1, then the logic of the previous paragraph works. So. Equation 6.14 is not the only equation that uses a vector field’s mixed partials to get the area of a region.

Checkpoint 6.35

Find the area of the region enclosed by the curve with parameterization r(t)=sintcost,sint,0tπ.r(t)=sintcost,sint,0tπ.

An image of a curve in quadrants 1 and 2. The curve begins at the origin, curves up and to the right until about (.5, 1), turns left to go through (0, 1), and curves down going through (-.5, 1) and then goes down and right until it hits the origin again.

Flux Form of Green’s Theorem

The circulation form of Green’s theorem relates a double integral over region D to line integral CF·Tds,CF·Tds, where C is the boundary of D. The flux form of Green’s theorem relates a double integral over region D to the flux across boundary C. The flux of a fluid across a curve can be difficult to calculate using the flux line integral. This form of Green’s theorem allows us to translate a difficult flux integral into a double integral that is often easier to calculate.

Theorem 6.13

Green’s Theorem, Flux Form

Let D be an open, simply connected region with a boundary curve C that is a piecewise smooth, simple closed curve that is oriented counterclockwise (Figure 6.38). Let F=P,QF=P,Q be a vector field with component functions that have continuous partial derivatives on an open region containing D. Then,

CF·Nds=DPx+QydA.CF·Nds=DPx+QydA.
(6.15)
A vector field in two dimensions. A generic curve C encloses a simple region D around the origin oriented counterclockwise. Normal vectors N point out and away from the curve into quadrants 1, 3, and 4.
Figure 6.38 The flux form of Green’s theorem relates a double integral over region D to the flux across curve C.

Because this form of Green’s theorem contains unit normal vector N, it is sometimes referred to as the normal form of Green’s theorem.

Proof

Recall that CF·Nds=CQdx+Pdy.CF·Nds=CQdx+Pdy. Let M=QM=Q and N=P.N=P. By the circulation form of Green’s theorem,

CQdx+Pdy=CMdx+Ndy=DNxMydA=DPx(Q)ydA=DPx+QydA.CQdx+Pdy=CMdx+Ndy=DNxMydA=DPx(Q)ydA=DPx+QydA.

Example 6.41

Applying Green’s Theorem for Flux across a Circle

Let C be a circle of radius r centered at the origin (Figure 6.39) and let F(x,y)=x,y.F(x,y)=x,y. Calculate the flux across C.

A vector field in two dimensions. The arrows point away from the origin in a radial pattern. They are shorter near the origin and much longer further away. A circle with radius 2 and center at the origin is drawn.
Figure 6.39 Curve C is a circle of radius r centered at the origin.

Example 6.42

Applying Green’s Theorem for Flux across a Triangle

Let S be the triangle with vertices (0,0),(0,0), (1,0),(1,0), and (0,3)(0,3) oriented clockwise (Figure 6.40). Calculate the flux of F(x,y)=P(x,y),Q(x,y)=x2+ey,x+yF(x,y)=P(x,y),Q(x,y)=x2+ey,x+y across S.

A vector field in two dimensions. A triangle is drawn oriented clockwise with vertices at (0,0), (1,0), and (0,3). The arrows in the field point to the right and up slightly. The angle is greater the closer they are to the axis.
Figure 6.40 Curve S is a triangle with vertices (0,0),(0,0), (1,0),(1,0), and (0,3)(0,3) oriented clockwise.

Checkpoint 6.36

Calculate the flux of F(x,y)=x3,y3F(x,y)=x3,y3 across a unit circle oriented counterclockwise.

Example 6.43

Applying Green’s Theorem for Water Flow across a Rectangle

Water flows from a spring located at the origin. The velocity of the water is modeled by vector field v(x,y)=5x+y,x+3yv(x,y)=5x+y,x+3y m/sec. Find the amount of water per second that flows across the rectangle with vertices (−1,−2),(1,−2),(1,3),and(−1,3),(−1,−2),(1,−2),(1,3),and(−1,3), oriented counterclockwise (Figure 6.41).

A vector field in two dimensions. A rectangle is drawn oriented counterclockwise with vertices at (-1,3), (1,3), (-1,-2), and (1,-2). The arrows point out and away from the origin in a radial pattern. However, the arrows in quadrants 2 and 4 curve slightly towards the y axis instead of directly out. The arrows near the origin are short, and those further away from the origin are much longer.
Figure 6.41 Water flows across the rectangle with vertices (−1,−2),(1,−2),(1,3),and(−1,3),(−1,−2),(1,−2),(1,3),and(−1,3), oriented counterclockwise.

Recall that if vector field F is conservative, then F does no work around closed curves—that is, the circulation of F around a closed curve is zero. In fact, if the domain of F is simply connected, then F is conservative if and only if the circulation of F around any closed curve is zero. If we replace “circulation of F” with “flux of F,” then we get a definition of a source-free vector field. The following statements are all equivalent ways of defining a source-free field F=P,QF=P,Q on a simply connected domain (note the similarities with properties of conservative vector fields):

  1. The flux CF·NdsCF·Nds across any closed curve C is zero.
  2. If C1C1 and C2C2 are curves in the domain of F with the same starting points and endpoints, then C1F·Nds=C2F·Nds.C1F·Nds=C2F·Nds. In other words, flux is independent of path.
  3. There is a stream function g(x,y)g(x,y) for F. A stream function for F=P,QF=P,Q is a function g such that P=gyP=gy and Q=gx.Q=gx. Geometrically, F(a,b)F(a,b) is tangential to the level curve of g at (a,b).(a,b). Since the gradient of g is perpendicular to the level curve of g at (a,b),(a,b), stream function g has the property F(a,b)·g(a,b)=0F(a,b)·g(a,b)=0 for any point (a,b)(a,b) in the domain of g. (Stream functions play the same role for source-free fields that potential functions play for conservative fields.)
  4. Px+Qy=0Px+Qy=0

Example 6.44

Finding a Stream Function

Verify that rotation vector field F(x,y)=y,xF(x,y)=y,x is source free, and find a stream function for F.

Checkpoint 6.37

Find a stream function for vector field F(x,y)=xsiny,cosy.F(x,y)=xsiny,cosy.

Vector fields that are both conservative and source free are important vector fields. One important feature of conservative and source-free vector fields on a simply connected domain is that any potential function ff of such a field satisfies Laplace’s equation fxx+fyy=0.fxx+fyy=0. Laplace’s equation is foundational in the field of partial differential equations because it models such phenomena as gravitational and magnetic potentials in space, and the velocity potential of an ideal fluid. A function that satisfies Laplace’s equation is called a harmonic function. Therefore any potential function of a conservative and source-free vector field is harmonic.

To see that any potential function of a conservative and source-free vector field on a simply connected domain is harmonic, let ff be such a potential function of vector field F=P,Q.F=P,Q. Then, fx=Pfx=P and fx=Qfx=Q because f=F.f=F. Therefore, fxx=Pxfxx=Px and fyy=Qy.fyy=Qy. Since F is source free, fxx+fyy=Px+Qy=0,fxx+fyy=Px+Qy=0, and we have that ff is harmonic.

Example 6.45

Satisfying Laplace’s Equation

For vector field F(x,y)=exsiny,excosy,F(x,y)=exsiny,excosy, verify that the field is both conservative and source free, find a potential function for F, and verify that the potential function is harmonic.

Checkpoint 6.38

Is the function f(x,y)=ex+5yf(x,y)=ex+5y harmonic?

Green’s Theorem on General Regions

Green’s theorem, as stated, applies only to regions that are simply connected—that is, Green’s theorem as stated so far cannot handle regions with holes. Here, we extend Green’s theorem so that it does work on regions with finitely many holes (Figure 6.43).

A nonsimply connected, oval-shaped region with three circular holes.
Figure 6.43 Green’s theorem, as stated, does not apply to a nonsimply connected region with three holes like this one.

Before discussing extensions of Green’s theorem, we need to go over some terminology regarding the boundary of a region. Let D be a region and let C be a component of the boundary of D. We say that C is positively oriented if, as we walk along C in the direction of orientation, region D is always on our left. Therefore, the counterclockwise orientation of the boundary of a disk is a positive orientation, for example. Curve C is negatively oriented if, as we walk along C in the direction of orientation, region D is always on our right. The clockwise orientation of the boundary of a disk is a negative orientation, for example.

Let D be a region with finitely many holes (so that D has finitely many boundary curves), and denote the boundary of D by DD (Figure 6.44). To extend Green’s theorem so it can handle D, we divide region D into two regions, D1D1 and D2D2 (with respective boundaries D1D1 and D2),D2), in such a way that D=D1D2D=D1D2 and neither D1D1 nor D2D2 has any holes (Figure 6.44).

Two regions. The first region D is oval-shaped with three circular holes in it. Its oriented boundary is counterclockwise. The second region is region D split horizontally down the middle into two simply connected regions with no holes. It still has a boundary oriented counterclockwise.
Figure 6.44 (a) Region D with an oriented boundary has three holes. (b) Region D split into two simply connected regions has no holes.

Assume the boundary of D is oriented as in the figure, with the inner holes given a negative orientation and the outer boundary given a positive orientation. The boundary of each simply connected region D1D1 and D2D2 is positively oriented. If F is a vector field defined on D, then Green’s theorem says that

DF·dr=D1F·dr+D2F·dr=D1QxPydA+D2QxPydA=D(QxPy)dA.DF·dr=D1F·dr+D2F·dr=D1QxPydA+D2QxPydA=D(QxPy)dA.

Therefore, Green’s theorem still works on a region with holes.

To see how this works in practice, consider annulus D in Figure 6.45 and suppose that F=P,QF=P,Q is a vector field defined on this annulus. Region D has a hole, so it is not simply connected. Orient the outer circle of the annulus counterclockwise and the inner circle clockwise (Figure 6.45) so that, when we divide the region into D1D1 and D2,D2, we are able to keep the region on our left as we walk along a path that traverses the boundary. Let D1D1 be the upper half of the annulus and D2D2 be the lower half. Neither of these regions has holes, so we have divided D into two simply connected regions.

We label each piece of these new boundaries as PiPi for some i, as in Figure 6.45. If we begin at P and travel along the oriented boundary, the first segment is P1,P1, then P2,P3,P2,P3, and P4.P4. Now we have traversed D1D1 and returned to P. Next, we start at P again and traverse D2.D2. Since the first piece of the boundary is the same as P4P4 in D1,D1, but oriented in the opposite direction, the first piece of D2D2 is P4.P4. Next, we have P5,P5, then P2,P2, and finally P6.P6.

A diagram of an annulus – a circular region with a hole in in like a donut. Its boundary is oriented counterclockwise. One point P on the outer boundary is labeled. It is the right endpoint of the horizontal diameter. The annulus is split horizontally down the middle into two separate regions that are each simply connected. Point P is labeled on both of these regions, D1 and D2. Each region has boundaries oriented counterclockwise. The upper curve of D1 is labeled P1, the left flat side is P2, the lower curve is P3, and the right flat side is P4. The lower curve of D2 is P6, the left flat side is –P2, the upper curve is P5, and the right flat side is –P4.
Figure 6.45 Breaking the annulus into two separate regions gives us two simply connected regions. The line integrals over the common boundaries cancel out.

Figure 6.45 shows a path that traverses the boundary of D. Notice that this path traverses the boundary of region D1,D1, returns to the starting point, and then traverses the boundary of region D2.D2. Furthermore, as we walk along the path, the region is always on our left. Notice that this traversal of the PiPi paths covers the entire boundary of region D. If we had only traversed one portion of the boundary of D, then we cannot apply Green’s theorem to D.

The boundary of the upper half of the annulus, therefore, is P1P2P3P4P1P2P3P4 and the boundary of the lower half of the annulus is P4P5P2P6.P4P5P2P6. Then, Green’s theorem implies

DF·dr =P1F·dr+P2F·dr+P3F·dr+P4F·dr+P4F·dr+P5F·drP2F·dr+P6F·dr =P1F·dr+P2F·dr+P3F·dr+P4F·drP4F·dr+P5F·drP2F·dr+P6F·dr =P1F·dr+P3F·dr+P5F·dr+P6F·dr =D1F·dr+D2F·dr=D1(QxPy)dA+D2(QxPy)dA=D(QxPy)dA. DF·dr =P1F·dr+P2F·dr+P3F·dr+P4F·dr+P4F·dr+P5F·drP2F·dr+P6F·dr =P1F·dr+P2F·dr+P3F·dr+P4F·drP4F·dr+P5F·drP2F·dr+P6F·dr =P1F·dr+P3F·dr+P5F·dr+P6F·dr =D1F·dr+D2F·dr=D1(QxPy)dA+D2(QxPy)dA=D(QxPy)dA.

Therefore, we arrive at the equation found in Green’s theorem—namely,

DF·dr=D(QxPy)dA.DF·dr=D(QxPy)dA.

The same logic implies that the flux form of Green’s theorem can also be extended to a region with finitely many holes:

CF·Nds=D(Px+Qy)dA.CF·Nds=D(Px+Qy)dA.

Example 6.46

Using Green’s Theorem on a Region with Holes

Calculate integral

D(sinxy33)dx+(x33+siny)dy,D(sinxy33)dx+(x33+siny)dy,

where D is the annulus given by the polar inequalities 1r2,1r2, 0θ2π.0θ2π.

Example 6.47

Using the Extended Form of Green’s Theorem

Let F=P,Q=yx2+y2,xx2+y2F=P,Q=yx2+y2,xx2+y2 and let C be any simple closed curve in a plane oriented counterclockwise. What are the possible values of CF·dr?CF·dr?

Checkpoint 6.39

Calculate integral DF·dr,DF·dr, where D is the annulus given by the polar inequalities 2r5,0θ2π,2r5,0θ2π, and F(x,y)=x3,5x+eysiny.F(x,y)=x3,5x+eysiny.

Student Project

Measuring Area from a Boundary: The Planimeter

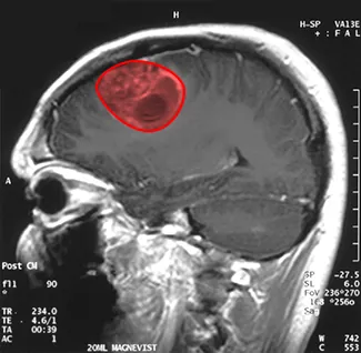
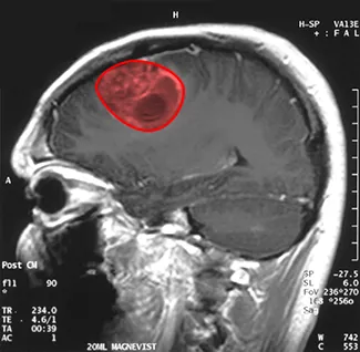
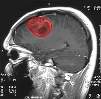
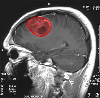
An MRI image of a patient’s brain with a tumor highlighted in red.
Figure 6.47 This magnetic resonance image of a patient’s brain shows a tumor, which is highlighted in red. (credit: modification of work by Christaras A, Wikimedia Commons)

Imagine you are a doctor who has just received a magnetic resonance image of your patient’s brain. The brain has a tumor (Figure 6.47). How large is the tumor? To be precise, what is the area of the red region? The red cross-section of the tumor has an irregular shape, and therefore it is unlikely that you would be able to find a set of equations or inequalities for the region and then be able to calculate its area by conventional means. You could approximate the area by chopping the region into tiny squares (a Riemann sum approach), but this method always gives an answer with some error.

Instead of trying to measure the area of the region directly, we can use a device called a rolling planimeter to calculate the area of the region exactly, simply by measuring its boundary. In this project you investigate how a planimeter works, and you use Green’s theorem to show the device calculates area correctly.

A rolling planimeter is a device that measures the area of a planar region by tracing out the boundary of that region (Figure 6.48). To measure the area of a region, we simply run the tracer of the planimeter around the boundary of the region. The planimeter measures the number of turns through which the wheel rotates as we trace the boundary; the area of the shape is proportional to this number of wheel turns. We can derive the precise proportionality equation using Green’s theorem. As the tracer moves around the boundary of the region, the tracer arm rotates and the roller moves back and forth (but does not rotate).

Two images. The first shows a rolling planimeter. A horizontal bar has a roller attached to it perpendicularly with a pivot. It does not rotate itself; it only moves back and forth. To the right of the roller is the tracer arm with a wheel and a tracer at the very end. The second shows an interior view of a rolling planimeter. The wheel cannot turn if the planimeter is moving back and forth with the tracer arm perpendicular to the roller.
Figure 6.48 (a) A rolling planimeter. The pivot allows the tracer arm to rotate. The roller itself does not rotate; it only moves back and forth. (b) An interior view of a rolling planimeter. Notice that the wheel cannot turn if the planimeter is moving back and forth with the tracer arm perpendicular to the roller.

Let C denote the boundary of region D, the area to be calculated. As the tracer traverses curve C, assume the roller moves along the y-axis (since the roller does not rotate, one can assume it moves along a straight line). Use the coordinates (x,y)(x,y) to represent points on boundary C, and coordinates (0,Y)(0,Y) to represent the position of the pivot. As the planimeter traces C, the pivot moves along the y-axis while the tracer arm rotates on the pivot.

Media

Watch a short animation of a planimeter in action.

Begin the analysis by considering the motion of the tracer as it moves from point (x,y)(x,y) counterclockwise to point (x+dx,y+dy)(x+dx,y+dy) that is close to (x,y)(x,y) (Figure 6.49). The pivot also moves, from point (0,Y)(0,Y) to nearby point (0,Y+dY).(0,Y+dY). How much does the wheel turn as a result of this motion? To answer this question, break the motion into two parts. First, roll the pivot along the y-axis from (0,Y)(0,Y) to (0,Y+dY)(0,Y+dY) without rotating the tracer arm. The tracer arm then ends up at point (x,y+dY)(x,y+dY) while maintaining a constant angle ϕϕ with the x-axis. Second, rotate the tracer arm by an angle dθdθ without moving the roller. Now the tracer is at point (x+dx,y+dy).(x+dx,y+dy). Let ll be the distance from the pivot to the wheel and let L be the distance from the pivot to the tracer (the length of the tracer arm).

A diagram in quadrants 1 and 2 showing the motion of the planimeter. Two points are labeled on the y axis: (0, Y) and (0, Y + dY), where Y is less than Y + dY. The first point is the pivot. Three points are labeled further up and to the right in quadrant 1: (x, y), (x, y + dy), and (x + dx, y + dy). Note that the uppercase Y and the lowercase y are not the same; y is much larger. A line segment is drawn between (0,Y) and (x,y). About midway down this line is a mark labeled for the wheel, and the (x,y) endpoint is labeled for the tracer. Let l be the distance from the pivot to the wheel, and let L be the distance from the pivot to the tracer. Line segments are also drawn from (0, Y + dY) to each of the other points in quadrant 1. The angle between the line segment with (0,Y) as an endpoint and the y axis is labeled phi. The angle between the line segments with (0, Y+dY) as an endpoint is “d theta.” A curve is drawn going through the wheel, the tracer, and the three points in quadrant 1, up and across the y axis, down and back across the y axis at a smaller y value lose to the height of the tracer, and down across the line segments and back to the wheel.
Figure 6.49 Mathematical analysis of the motion of the planimeter.
  1. Explain why the total distance through which the wheel rolls the small motion just described is sinϕdY+ldθ=xLdY+ldθ.sinϕdY+ldθ=xLdY+ldθ.
  2. Show that Cdθ=0.Cdθ=0.
  3. Use step 2 to show that the total rolling distance of the wheel as the tracer traverses curve C is
    Total wheel roll =1LCxdY.=1LCxdY.
    Now that you have an equation for the total rolling distance of the wheel, connect this equation to Green’s theorem to calculate area D enclosed by C.
  4. Show that x2+(yY)2=L2.x2+(yY)2=L2.
  5. Assume the orientation of the planimeter is as shown in Figure 6.49. Explain why Yy,Yy, and use this inequality to show there is a unique value of Y for each point (x,y):(x,y): Y=y-L2x2.Y=y-L2x2.
  6. Use step 5 to show that dY=dy+xL2x2dx.dY=dy+xL2x2dx.
  7. Use Green’s theorem to show that CxL2x2dx=0.CxL2x2dx=0.
  8. Use step 7 to show that the total wheel roll is
    Total wheel roll =1LCxdy.=1LCxdy.
    It took a bit of work, but this equation says that the variable of integration Y in step 3 can be replaced with y.
  9. Use Green’s theorem to show that the area of D is Cxdy.Cxdy. The logic is similar to the logic used to show that the area of D=12Cydx+xdy.D=12Cydx+xdy.
  10. Conclude that the area of D equals the length of the tracer arm multiplied by the total rolling distance of the wheel.
    You now know how a planimeter works and you have used Green’s theorem to justify that it works. To calculate the area of a planar region D, use a planimeter to trace the boundary of the region. The area of the region is the length of the tracer arm multiplied by the distance the wheel rolled.

Section 6.4 Exercises

For the following exercises, evaluate the line integrals by applying Green’s theorem.

146.

C2xydx+(x+y)dy,C2xydx+(x+y)dy, where C is the path from (0, 0) to (1, 1) along the graph of y=x3y=x3 and from (1, 1) to (0, 0) along the graph of y=xy=x oriented in the counterclockwise direction

147.

C2xydx+(x+y)dy,C2xydx+(x+y)dy, where C is the boundary of the region lying between the graphs of y=0y=0 and y=4x2y=4x2 oriented in the counterclockwise direction

148.

C2arctan(yx)dx+ln(x2+y2)dy,C2arctan(yx)dx+ln(x2+y2)dy, where C is defined by x=4+2cosθ,y=4sinθx=4+2cosθ,y=4sinθ oriented in the counterclockwise direction

149.

Csinxcosydx+(xy+cosxsiny)dy,Csinxcosydx+(xy+cosxsiny)dy, where C is the boundary of the region lying between the graphs of y=xy=x and y=xy=x oriented in the counterclockwise direction

150.

Cxydx+(x+y)dy,Cxydx+(x+y)dy, where C is the boundary of the region lying between the graphs of x2+y2=1x2+y2=1 and x2+y2=9x2+y2=9 oriented in the counterclockwise direction

151.

C(ydx+xdy),C(ydx+xdy), where C consists of line segment C1 from (−1,0)(−1,0) to (1, 0), followed by the semicircular arc C2 from (1, 0) back to (–1, 0)

For the following exercises, use Green’s theorem.

152.

Let C be the curve consisting of line segments from (0, 0) to (1, 1) to (0, 1) and back to (0, 0). Find the value of Cxydx+y2+1dy.Cxydx+y2+1dy.

153.

Evaluate line integral Cxe−2xdx+(x4+2x2y2)dy,Cxe−2xdx+(x4+2x2y2)dy, where C is the boundary of the region between circles x2+y2=1x2+y2=1 and x2+y2=4,x2+y2=4, and is a positively oriented curve.

154.

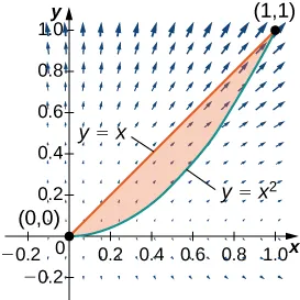
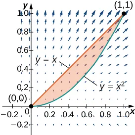
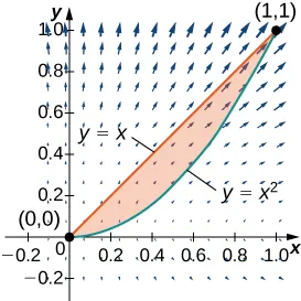
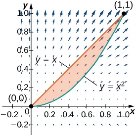
Find the counterclockwise circulation of field F(x,y)=xyi+y2jF(x,y)=xyi+y2j around and over the boundary of the region enclosed by curves y=x2y=x2 and y=xy=x in the first quadrant and oriented in the counterclockwise direction.

A vector field with focus on quadrant 1. A line is drawn from (0,0) to (1,1) according to function y=x, and a curve is also drawn according to the function y=x^2. The region enclosed between the two functions is shaded. Te=he arrows closer to the origin are much smaller than those further away, particularly vertically. The arrows point up and away from the origin to the right in the part of quadrant 1 shown.
155.

Evaluate Cy3dxx3y2dy,Cy3dxx3y2dy, where C is the positively oriented circle of radius 2 centered at the origin.

156.

Evaluate Cy3dxx3dy,Cy3dxx3dy, where C includes the two circles of radius 2 and radius 1 centered at the origin, both with positive orientation.

A vector field in two dimensions. The arrows surround the origin in a clockwise circular motion. Those close to the origin are much smaller than those further away. A circle of radius 2 and a circle of radius with centers at the origin is drawn in, and the region between the two is shaded.
157.

Calculate Cx2ydx+xy2dy,Cx2ydx+xy2dy, where C is a circle of radius 2 centered at the origin and oriented in the counterclockwise direction.

158.

Calculate integral C2[y+xsin(y)]dx+[x2cos(y)3y2]dyC2[y+xsin(y)]dx+[x2cos(y)3y2]dy along triangle C with vertices (0, 0), (1, 0) and (1, 1), oriented counterclockwise, using Green’s theorem.

159.

Evaluate integral C(x2+y2)dx+2xydy,C(x2+y2)dx+2xydy, where C is the curve that follows parabola y=x2from(0,0) to (2,4),y=x2from(0,0) to (2,4), then the line from (2, 4) to (2, 0), and finally the line from (2, 0) to (0, 0).

A vector field in quadrant 1. The arrows are much smaller closer to the origin. They point up and away from the origin, with increasing slope the further they are to the right. The curve follows the parabola y=x^2 from the origin to (2,4), the line from (2,4) to (2,0), and the line from (2,0) to (0,0). The area under y=2x and above the parabola is shaded.
160.

Evaluate line integral C(ysin(y)cos(y))dx+2xsin2(y)dy,C(ysin(y)cos(y))dx+2xsin2(y)dy, where C is oriented in a counterclockwise path around the region bounded by x=−1,x=2,y=4x2,x=−1,x=2,y=4x2, and y=x2.y=x2.

A vector field in two dimensions. The arrows are smaller the closer they are to the origin, particular vertically. Curve C follows a counterclockwise path around the region bounded by x=-1, x=2, y = 4-x^2, and y = x-2. The region is shaded.

For the following exercises, use Green’s theorem to find the area.

161.

Find the area between ellipse x29+y24=1x29+y24=1 and circle x2+y2=25.x2+y2=25.

162.

Find the area of the region enclosed by parametric equation

p ( θ ) = ( cos ( θ ) cos 2 ( θ ) ) i + ( sin ( θ ) cos ( θ ) sin ( θ ) ) j for 0 θ 2 π . p ( θ ) = ( cos ( θ ) cos 2 ( θ ) ) i + ( sin ( θ ) cos ( θ ) sin ( θ ) ) j for 0 θ 2 π .
A cardioid beginning at the origin, going through (0,1), (-2,0), (0,-1), and back to the origin.
163.

Find the area of the region bounded by hypocycloid r(t)=cos3(t)i+sin3(t)j.r(t)=cos3(t)i+sin3(t)j. The curve is parameterized by t[0,2π].t[0,2π].

164.

Find the area of a pentagon with vertices (0,4),(4,1),(3,0),(−1,−1),(0,4),(4,1),(3,0),(−1,−1), and (−2,2).(−2,2).

165.

Use Green’s theorem to evaluate C+(y2+x3)dx+x4dy,C+(y2+x3)dx+x4dy, where C+C+ is the perimeter of square [0,1]×[0,1][0,1]×[0,1] oriented counterclockwise.

166.

Use Green’s theorem to prove the area of a disk with radius aa is A=πa2.A=πa2.

167.

Use Green’s theorem to find the area of one loop of a four-leaf rose r=3sin2θ.r=3sin2θ. (Hint: xdyydx=r2dθ).xdyydx=r2dθ).

168.

Use Green’s theorem to find the area under one arch of the cycloid given by parametric plane x=tsint,y=1cost,t0.x=tsint,y=1cost,t0.

169.

Use Green’s theorem to find the area of the region enclosed by curve

r ( t ) = t 2 i + ( t 3 3 t ) j , 3 t 3 . r ( t ) = t 2 i + ( t 3 3 t ) j , 3 t 3 .
A horizontal teardrop-shaped region symmetric about the x axis and a-intercepts at the origin and (3,0). The larger, curved end is at the origin, and the pointed end is at (3,0).
170.

[T] Verify Green’s theorem by using a computer algebra system to evaluate the integral Cxeydx+exdy,Cxeydx+exdy, where C is the circle given by x2+y2=4x2+y2=4 and is oriented in the counterclockwise direction.

171.

Evaluate C(x2y2xy+y2)ds,C(x2y2xy+y2)ds, where C is the boundary of the unit square 0x1,0y1,0x1,0y1, traversed counterclockwise. Use ds = dx + dyds = dx + dy for this exercise.

172.

Evaluate C(y+2)dx+(x1)dy(x1)2+(y+2)2,C(y+2)dx+(x1)dy(x1)2+(y+2)2, where C is any simple closed curve with an interior that does not contain point (1,−2)(1,−2) traversed counterclockwise.

173.

Evaluate Cxdx+ydyx2+y2,Cxdx+ydyx2+y2, where C is any piecewise, smooth simple closed curve enclosing the origin, traversed counterclockwise.

For the following exercises, use Green’s theorem to calculate the work done by force F on a particle that is moving counterclockwise around closed path C.

174.

F(x,y)=xyi+(x+y)j,F(x,y)=xyi+(x+y)j, C:x2+y2=4C:x2+y2=4

175.

F(x,y)=(x3/23y)i+(6x+5y)j,F(x,y)=(x3/23y)i+(6x+5y)j, C : boundary of a triangle with vertices (0, 0), (5, 0), and (0, 5)

176.

Evaluate C(2x3y3)dx+(x3+y3)dy,C(2x3y3)dx+(x3+y3)dy, where C is a unit circle oriented in the counterclockwise direction.

177.

A particle starts at point (−2,0),(−2,0), moves along the x-axis to (2, 0), and then travels along semicircle y=4x2y=4x2 to the starting point. Use Green’s theorem to find the work done on this particle by force field F(x,y)=xi+(x3+3xy2)j.F(x,y)=xi+(x3+3xy2)j.

178.

David and Sandra are skating on a frictionless pond in the wind. David skates on the inside, going along a circle of radius 2 in a counterclockwise direction. Sandra skates once around a circle of radius 3, also in the counterclockwise direction. Suppose the force of the wind at point (x,y)(x,y) (x,y)(x,y) (x,y)(x,y) is F(x,y)=(x2y+10y)i+(x3+2xy2)j.F(x,y)=(x2y+10y)i+(x3+2xy2)j. Use Green’s theorem to determine who does more work.

179.

Use Green’s theorem to find the work done by force field F(x,y)=(3y4x)i+(4xy)jF(x,y)=(3y4x)i+(4xy)j when an object moves once counterclockwise around ellipse 4x2+y2=4.4x2+y2=4.

180.

Use Green’s theorem to evaluate line integral Ce2xsin2ydx+e2xcos2ydy,Ce2xsin2ydx+e2xcos2ydy, where C is ellipse 9(x1)2+4(y3)2=369(x1)2+4(y3)2=36 oriented counterclockwise.

181.

Evaluate line integral Cy2dx+x2dy,Cy2dx+x2dy, where C is the boundary of a triangle with vertices (0,0),(1,1),and(1,0),(0,0),(1,1),and(1,0), with the counterclockwise orientation.

182.

Use Green’s theorem to evaluate line integral Ch·drCh·dr if h(x,y)=eyisinπxj,h(x,y)=eyisinπxj, where C is a triangle with vertices (1, 0), (0, 1), and (–1, 0) traversed counterclockwise.

183.

Use Green’s theorem to evaluate line integral C1+x3dx+2xydyC1+x3dx+2xydy where C is a triangle with vertices (0, 0), (1, 0), and (1, 3) oriented clockwise.

184.

Use Green’s theorem to evaluate line integral Cx2ydxxy2dyCx2ydxxy2dy where C is a circle x2+y2=4x2+y2=4 oriented counterclockwise.

185.

Use Green’s theorem to evaluate line integral C(3yesinx)dx+(7x+y4+1)dyC(3yesinx)dx+(7x+y4+1)dy where C is circle x2+y2=9x2+y2=9 oriented in the counterclockwise direction.

186.

Use Green’s theorem to evaluate line integral C(3x5y)dx+(x6y)dy,C(3x5y)dx+(x6y)dy, where C is ellipse x24+y2=1x24+y2=1 and is oriented in the counterclockwise direction.

A horizontal oval oriented counterclockwise with vertices at (-2,0), (0,-1), (2,0), and (0,1). The region enclosed is shaded.
187.

Let C be a triangular closed curve from (0, 0) to (1, 0) to (1, 1) and finally back to (0, 0). Let F(x,y)=4yi+6x2j.F(x,y)=4yi+6x2j. Use Green’s theorem to evaluate CF·ds.CF·ds.

188.

Use Green’s theorem to evaluate line integral Cydxxdy,Cydxxdy, where C is circle x2+y2=a2x2+y2=a2 oriented in the clockwise direction.

189.

Use Green’s theorem to evaluate line integral C(y+x)dx+(x+siny)dy,C(y+x)dx+(x+siny)dy, where C is any smooth simple closed curve joining the origin to itself oriented in the counterclockwise direction.

190.

Use Green’s theorem to evaluate line integral C(yln(x2+y2))dx+(2arctanyx)dy,C(yln(x2+y2))dx+(2arctanyx)dy, where C is the positively oriented circle (x2)2+(y3)2=1.(x2)2+(y3)2=1.

191.

Use Green’s theorem to evaluate Cxydx+x3y3dy,Cxydx+x3y3dy, where C is a triangle with vertices (0, 0), (1, 0), and (1, 2) with positive orientation.

192.

Use Green’s theorem to evaluate line integral Csinydx+xcosydy,Csinydx+xcosydy, where C is ellipse x2+xy+y2=1x2+xy+y2=1 oriented in the counterclockwise direction.

193.

Let F(x,y)=(cos(x5))13y3i+13x3j.F(x,y)=(cos(x5))13y3i+13x3j. Find the counterclockwise circulation CF·dr,CF·dr, where C is a curve consisting of the line segment joining (−2,0)and(−1,0),(−2,0)and(−1,0), half circle y=1x2,y=1x2, the line segment joining (1, 0) and (2, 0), and half circle y=4x2.y=4x2.

194.

Use Green’s theorem to evaluate line integral Csin(x3)dx+2yex2dy,Csin(x3)dx+2yex2dy, where C is a triangular closed curve that connects the points (0, 0), (2, 2), and (0, 2) counterclockwise.

195.

Let C be the boundary of square 0xπ,0yπ,0xπ,0yπ, traversed counterclockwise. Use Green’s theorem to find Csin(x+y)dx+cos(x+y)dy.Csin(x+y)dx+cos(x+y)dy.

196.

Use Green’s theorem to evaluate line integral CF·dr,CF·dr, where F(x,y)=(y2x2)i+(x2+y2)j,F(x,y)=(y2x2)i+(x2+y2)j, and C is a triangle bounded by y=0,x=3,andy=x,y=0,x=3,andy=x, oriented counterclockwise.

197.

Use Green’s Theorem to evaluate integral CF·dr,CF·dr, where F(x,y)=(xy2)i+xj,F(x,y)=(xy2)i+xj, and C is a unit circle oriented in the counterclockwise direction.

198.

Use Green’s theorem in a plane to evaluate line integral C(xy+y2)dx+x2dy,C(xy+y2)dx+x2dy, where C is a closed curve of a region bounded by y=xandy=x2y=xandy=x2 oriented in the counterclockwise direction.

199.

Calculate the outward flux of F=xi+2yjF=xi+2yj over a square with corners (±1,±1),(±1,±1), where the unit normal is outward pointing and oriented in the counterclockwise direction.

200.

[T] Let C be circle x2+y2=4x2+y2=4 oriented in the counterclockwise direction. Evaluate C[(3yetan1x)dx+(7x+y4+1)dy]C[(3yetan1x)dx+(7x+y4+1)dy] using a computer algebra system.

201.

Find the flux of field F=xi+yjF=xi+yj across x2+y2=16x2+y2=16 oriented in the counterclockwise direction.

202.

Let F=(y2x2)i+(x2+y2)j,F=(y2x2)i+(x2+y2)j, and let C be a triangle bounded by y=0,x=3,y=0,x=3, and y=xy=x oriented in the counterclockwise direction. Find the outward flux of F through C.

203.

[T] Let C be unit circle x2+y2=1x2+y2=1 traversed once counterclockwise. Evaluate C[y3+sin(xy)+xycos(xy)]dx+[x3+x2cos(xy)]dyC[y3+sin(xy)+xycos(xy)]dx+[x3+x2cos(xy)]dy by using a computer algebra system.

204.

[T] Find the outward flux of vector field F=xy2i+x2yjF=xy2i+x2yj across the boundary of annulus R={(x,y):1x2+y24}={(r,θ):1r2,0θ2π}R={(x,y):1x2+y24}={(r,θ):1r2,0θ2π} using a computer algebra system.

205.

Consider region R bounded by parabolas y=x2andx=y2.y=x2andx=y2. Let C be the boundary of R oriented counterclockwise. Use Green’s theorem to evaluate C(y+ex)dx+(2x+cos(y2))dy.C(y+ex)dx+(2x+cos(y2))dy.

Citation/Attribution

This book may not be used in the training of large language models or otherwise be ingested into large language models or generative AI offerings without OpenStax's permission.

Want to cite, share, or modify this book? This book uses the Creative Commons Attribution-NonCommercial-ShareAlike License and you must attribute OpenStax.

Attribution information
  • If you are redistributing all or part of this book in a print format, then you must include on every physical page the following attribution:

    Access for free at https://openstax.org/books/calculus-volume-3/pages/1-introduction

  • If you are redistributing all or part of this book in a digital format, then you must include on every digital page view the following attribution:

    Access for free at https://openstax.org/books/calculus-volume-3/pages/1-introduction

Citation information

© Jul 24, 2025 OpenStax. Textbook content produced by OpenStax is licensed under a Creative Commons Attribution-NonCommercial-ShareAlike License . The OpenStax name, OpenStax logo, OpenStax book covers, OpenStax CNX name, and OpenStax CNX logo are not subject to the Creative Commons license and may not be reproduced without the prior and express written consent of Rice University.