Skip to ContentGo to accessibility pageKeyboard shortcuts menu
OpenStax Logo
Fundamentals of Nursing

25.1 Hygienic Practices

Fundamentals of Nursing25.1 Hygienic Practices
Search for key terms or text.

Learning Objectives

By the end of this section, you will be able to:

  • Identify the importance of good hygiene practices
  • Describe hygiene-related diseases
  • Recognize the impact good hygiene has on mental health

The term hygiene is defined as the measures or practices conducive to preserving health and preventing disease through cleanliness. The self-care measures one would perform to preserve their own health are called personal hygiene. Examples of personal hygiene include handwashing, bathing, brushing and flossing teeth, as well as washing and combing hair. These measures may seem like basic tasks; however, they are essential procedures that aid in preserving one’s health. Hygiene practices promote medical asepsis, also known as the clean technique, inhibiting the growth and spread of disease-producing microorganisms. Hygiene practices may vary among individuals and cultures. Allowing patients to perform self-care tasks as independently as they can for the purposes of preserving the patients’ quality of life, self-worth, and autonomy is crucial to maintaining the individual’s self-esteem and independence (both present and future). Performing self-care tasks also allows the nurse to determine the patient’s ability to perform activities of daily living (ADLs) during recovery while the patient is working toward discharge. Patients may often need assistance, so the nurse’s responsibility is to oversee the patient’s privacy as well as their ability to adequately perform the various hygiene tasks. For instance, some circumstances may be presented when the patient is fully dependent on the nurse to aid in necessary bathing, elimination, bed making, oral care, or any other tasks. Nurses aiding patients with hygiene have an obligation to respect individual patient preferences while providing the care that the patient should not or is not able to provide for themselves. In addition, nurses should take into consideration the patient’s physical and emotional well-being.

Clinical Safety and Procedures (QSEN)

QSEN Competency: Patient-Centered Care

Definition: Recognize the patient or designee as the source of control and full partner in providing compassionate and coordinated care based on respect for patient’s preferences, values, and needs.

The nurse will:

  • Examine common barriers to active involvement of patients in their own healthcare process.
  • Describe strategies to empower patients or families in all aspects of the healthcare process.
  • Respect patient preferences for degree of active engagement in care process.
  • Integrate understanding of multiple dimensions of patient-centered care: patient/family/community preferences and values, coordination and integration of care, physical comfort and emotional support, involvement of family and friends, and transition and continuity.

Benefits of Good Hygiene Practices

Good hygiene practices include not only personal hygiene but also those measures that may require a nurse’s or an aid’s full or partial assistance. Hygiene practices promote medical asepsis and prohibit the growth of pathogenic microorganisms, which leads to decreased chances and/or incidence of infection. Good hygiene can not only protect an individual from becoming ill but can also prevent individuals from spreading diseases to others. Good hygiene also promotes self-esteem and can boost a patient’s mood, resulting in improved mental health.

Skin

The skin is the largest organ and the body’s first line of defense. This organ provides a barrier to protect the body from invasion of bacteria or other potential environmental hazards. The skin houses various functional body structures, such as the capillaries, vessels, and glands. For example, the dermis layer of the skin contains sebaceous glands. These glands release sebum, an oily secretion that hydrates and protects the skin. It is important to note this glandular function, as inadequate hygiene may lead to excess sebum and skin breakouts. Proper hygiene practices can help promote and maintain skin integrity. Regular exfoliation and cleansing can promote smoother, softer, and more even-toned skin, slower aging, and boost circulation. In turn, these measures allow the skin to properly perform the functions of protection, sensation, heat regulation, excretion, secretion, and absorption. Each function plays a pivotal role in maintaining homeostasis and preserving the individual’s health. For example, when the skin integrity is intact, the skin is able to prohibit the entry of pathogens, prevent water loss, and reduce the absorption of harmful chemicals or substances (World Health Organization, 2020). In addition, the regular practice of skin hygiene allows for early detection and intervention of abnormal skin growths that may appear.

The skin breakdown refers to damage or injury to the skin and underlying tissue due to prolonged pressure, friction, shear, or moisture. Examples of skin breakdown include burns, scrapes, cuts, blisters, and pressure injuries. Factors associated with skin breakdown include immobility, certain medications, incontinence, altered mental status, loss of sensation, or inadequate nutrition. Therefore, the crucial maintenance of proper skin hygiene in the healthcare setting must be ensured. Any skin breakdown that develops after a patient is admitted to a facility becomes the healthcare facility’s responsibility, including the financial burden for the treatment and recovery of the skin injury. Preventing skin breakdown through good skin hygiene can result in optimal healing of a patient’s skin and prevent an increase in healthcare costs, length of stay, and patient discomfort.

Hair

The hair is also part of the integumentary system and is found all over the body, except the palms of the hands and soles of the feet. Hair is a large part of the integumentary system and has several functions. First, hair has a protective function. By trapping bacteria, debris, and harmful particles, the hair does not allow these offensive agents to enter the skin. Hair also blocks sunlight from the scalp, protecting against excess exposure to ultraviolet radiation. Hair provides warmth by trapping air close to the skin. Hair grows from the skin and when the skin produces sebum, it can build up on the hair shaft. An overabundance of sebum can build up if the hair or body is not regularly washed. A common skin condition is folliculitis, which happens when hair follicles become inflamed; it can occur when the hair follicles become infected due to the buildup of sebum. When the scalp of the head is not regularly washed, dead skin, product residue, sweat, and dirt may also build, which results in an increased risk for infection, unpleasant odor, and greasy hair. In addition, prolonged periods of not washing the hair on the head can damage hair and impede its ability to grow. When the body is not regularly washed, the overproduction of sebum found on the skin can lead to oily skin or acne. Proper hair hygiene supports reducing those risks and aids in reducing bacterial and fungal growth. Bacteria and fungus can cause conditions such as ringworm, which is a common fungal infection of the skin, hair, or nails.

Nails

The nails are also part of the integumentary system. Proper nail hygiene prevents the spread of infection through bacteria hidden under the fingernails. Additional benefits of nail hygiene include preventing fungal infections under the nails, reduced risk of ingrown nails, and promoting proper nail growth. Therefore, proper cleaning under the fingernails and keeping the nails trimmed using clean tools are essential practices. Another benefit of properly trimmed nails is the minimized risk of lacerations that can result from a patient using unkept nails to scratch themselves or others.

Oral Cavity

Good oral hygiene aids in maintaining the mouth, gums, lips, and teeth. Regular teeth brushing removes plaque, bacteria, and food particles to prevent tooth decay. These measures also massage the gums, help break up tissue or bacteria, increase blood flow, and relieve discomfort caused by unpleasant odors and tastes. Proper oral hygiene promotes digestion and gum health, and it can affect one’s overall health status. For instance, bacteria found in gum disease from poor oral practices can travel through the body, triggering infection and inflammation in heart valves. Good oral hygiene can also provide a patient with a sense of well-being and positive self-esteem, resulting in improved mental health. A condition expressed by foul-smelling breath, halitosis, can be considered embarrassing and impede someone’s desire to speak or smile. Without adequate oral care, patients who are taking nothing by mouth (NPO) can experience negative outcomes that include aspiration pneumonia. Those patients who are NPO or on ventilators need frequent oral care to prevent ventilator-associated pneumonia. Oral hygiene can stimulate an appetite by increasing salivary flow, which supports proper chewing to break down food. Proper oral hygiene also prevents diseases such as gingivitis or periodontitis, which will be discussed later in this chapter.

Life-Stage Context

Life Span Considerations for Older Adults

As the body ages, there is a decrease in saliva production, which can lead to dry mouth, tooth decay, a sore throat, and difficulty swallowing. Saliva contributes to the overall oral health by washing bacteria and food particles from the mouth. Maintaining oral hygiene as a patient ages is especially important and may require more frequent brushing at home. For example, the caretaker or older adult may want to add oral care after meals in addition to morning and night cleanings. Good oral hygiene practices promote the preservation of the older adult’s ability to eat by promoting the production of saliva to stimulate the appetite. In addition, proper oral hygiene maintains oral health and dentition to be able to chew and digest food. Because the saliva contributes to overall oral health by washing food particles and bacteria from the mouth, proper oral hygiene promotes dental health and maintains dentition. The better oral health patients have throughout their life, the greater the probability that these individuals will have functioning teeth with aging. To promote good dental hygiene practices, it is important to educate and encourage patients in establishing dental care routines. These practices include proper denture hygiene, such as cleaning dentures with a denture brush daily followed by placing the dentures in a cleansing soak overnight.

Perineum

Perineal care includes the genital and rectal areas of the body. Because the perineal area is warm, dark, and moist, these areas become an optimal breeding ground for bacteria. Good perineal hygiene prevents infections such as urinary tract infections, removes discharges, eliminates bad odor, promotes comfort, alleviates itching, and reduces the risk of chafing and skin rashes. Perineal hygiene is of particular importance during menstruation, after bowel movements, postpartum, and when hemorrhoids are present.

Hygiene-Related Diseases

Poor hygiene can include infrequent bathing or washing of hair, inadequate oral care, wearing soiled clothing, and untrimmed or dirty nails. Poor hygiene can result in infections as well as various hygiene-related diseases, such as tooth decay, scabies, pinworm infection, ringworm, trachoma, otitis externa (swimmer’s ear), urinary tract infection (UTI), sepsis, gingivitis, and periodontitis.

Many diseases and conditions of the body systems can be prevented or controlled through regular hygiene practices. These practices include brushing teeth and routinely washing parts of the body and hair with soap and water. Implementing and encouraging regular body washing and oral care can prevent the spread of hygiene-related diseases outlined in Table 25.1.

Body System Hygiene-Related Disease or Condition Image
Integumentary Scabies is a contagious skin infestation caused by a burrowing mite.
A color photograph of a right hand with read skin rashes.
(credit: “ScabiesD03” by Unknown/Wikimedia Commons, Public Domain)
A pinworm is an intestinal worm that usually spreads when an infected individual scratches the anal area and eggs get under the fingernails.
A photograph of a pinworm.
(credit: “Threadworm” by Erich Gasboy/English Wikipedia, Public Domain)
A ringworm is a highly contagious fungal infection of the skin or scalp.
A photograph of a ringworm under the skin shown as a red ring on the surface of the skin.
(credit: Untitled by Centers for Disease Control and Prevention, Public Domain)
An infestation with lice, easily spread in crowded areas or where people are in close contact is called pediculosis.
A photograph of a louse.
(credit: Untitled by James Gathany/Centers for Disease Control and Prevention, Public Domain)
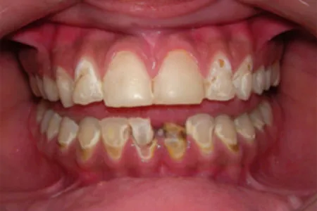
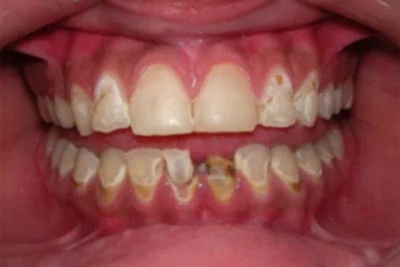
Digestive When the outer surface of a tooth decays as a result of bacteria, this is referred to as tooth decay.
A photograph of major tooth decay in the mouth of a man. The teeth are black and brown.
(credit: “Oral Rehabilitation and Management for Secondary Sjogren’s Syndrome in a Child” by Unknown/Hindawi, CC BY 4.0)
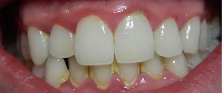
The inflammation of the gums, or gingivae, is called gingivitis.
A photograph of teeth with gingivitis. It shows dark red at the gums around the lower teeth.
(credit: modification of work “Gingivitis-before-and-after” by Wikimedia Commons, CC0)
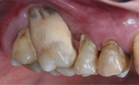
Marked inflammation of the gums that also involves degeneration of the dental bone and tissues is called periodontitis.
A photograph of teeth with seriously inflamed gums and exposed dental bone.
(credit: modification of work “Periodontitis 01” by Francisco B. Teixeira, Miki T. Saito, Filipe C. Matheus, Rui D. Prediger, Elizabeth S. Yamada, Cristiane S. F. Maia, Rafael R. Lima1/Wikimedia Commons, CC BY 4.0)
Sensory Swimmer’s ear, otitis externa, is an infection of the outer ear canal that runs from the eardrum to the outside of the head and is often caused by water remaining in the ear after swimming.
A photograph of a woman's ear with swimmer's ear. It shows infection that has left the outer ear deformed and swollen.
(credit: “Otitis externa” by Klaus D. Peter/Wikimedia Commons, CC BY 3.0)
Bacterial infection of the eyes is called trachoma.
A photograph of a man’s face with trachoma of the eyes. The eyes are very red and swollen.
(credit: modification of work by Tim Kubacki/Flickr, CC BY 2.0)
Urinary A urinary tract infection (UTI) is an infection of any part of the urinary system: urethra, bladder, or kidneys.
A photograph of urine from a urinary tract infection. The urine is milky yellow.
(credit: “Pus in urine in a severe urinary tract infection” by John Campbell/Flickr, Public Domain)
Table 25.1 Common Diseases Caused by Poor Hygiene

Many hygiene-related diseases can continue to progress if left untreated. For example, gingivitis can be treated and resolved. However, untreated gingivitis can lead to periodontitis, which is a severe stage of gum disease. As periodontitis worsens, holes form around the teeth, forming pockets. The infection and pockets can deepen as the jaw deteriorates until teeth become loose and fall out. This type of infectious process can even lead to an earache. However, with proper oral hygiene and dental care, both gingivitis and periodontitis can be prevented or resolved.

Hygiene’s Impact on Mental Health

Poor hygiene can be a sign of self-neglect and is often accompanied by depression or other mental disorders. Those with obsessive-compulsive disorder may overindulge in hygiene practices, which can take up much of their time as well as lead to skin breakdown or pain, depending on their compulsions. As previously discussed, poor oral hygiene can lead to tooth decay or bad breath. This can have a negative impact on self-esteem as one may be embarrassed to smile or socialize with others.

Good hygiene and self-care practices can improve mood, decrease stress levels, provide a sense of well-being, and prevent or limit anxiety. These measures can also boost an individual’s self-esteem and confidence. Good hygiene also supports a positive impact on relationships as hygiene impacts attraction and physical intimacy.

Real RN Stories

Assisting with Hygiene

Nurse: Stephanie, RN
Clinical setting: Acute care hospital
Years of experience: 5
Facility location: Texas

One day, I walked in to perform a shift assessment on a patient. I noticed that the patient appeared gloomy or worried. I asked her if she would like to discuss what seemed to be worrying her. She stated that her daughter was coming to visit her for the first time since admission, and that her daughter had never seen her ill before, and that she was worried about her appearance. I asked what time her daughter was arriving and if she would like to have a bath before the daughter arrived. The patient appeared excited and stated that a bath would be great. The patient suggested a time for bathing, as well as what preferences she had in assistance with the bath. I returned with towels, soap, shampoo, lotion, a comb, a toothbrush, and toothpaste. The patient required minor assistance, so I helped her with the bath, washing the areas she couldn’t reach, and styling her hair. Upon completion, the patient was smiling and even making jokes. She told me she felt better after the bath and was now looking forward to, instead of dreading, the visit from her daughter.

Citation/Attribution

This book may not be used in the training of large language models or otherwise be ingested into large language models or generative AI offerings without OpenStax's permission.

Want to cite, share, or modify this book? This book uses the Creative Commons Attribution License and you must attribute OpenStax.

Attribution information
  • If you are redistributing all or part of this book in a print format, then you must include on every physical page the following attribution:

    Access for free at https://openstax.org/books/fundamentals-nursing/pages/1-introduction

  • If you are redistributing all or part of this book in a digital format, then you must include on every digital page view the following attribution:

    Access for free at https://openstax.org/books/fundamentals-nursing/pages/1-introduction

Citation information

© Aug 20, 2024 OpenStax. Textbook content produced by OpenStax is licensed under a Creative Commons Attribution License . The OpenStax name, OpenStax logo, OpenStax book covers, OpenStax CNX name, and OpenStax CNX logo are not subject to the Creative Commons license and may not be reproduced without the prior and express written consent of Rice University.