Skip to ContentGo to accessibility pageKeyboard shortcuts menu
OpenStax Logo
Anatomy and Physiology

4.2 Epithelial Tissue

Anatomy and Physiology4.2 Epithelial Tissue
Search for key terms or text.

Learning Objectives

By the end of this section, you will be able to:

  • Explain the structure and function of epithelial tissue
  • Distinguish between tight junctions, anchoring junctions, and gap junctions
  • Distinguish between simple epithelia and stratified epithelia, as well as between squamous, cuboidal, and columnar epithelia
  • Describe the structure and function of endocrine and exocrine glands and their respective secretions

Most epithelial tissues are essentially large sheets of cells covering all the surfaces of the body exposed to the outside world and lining the outside of organs. Epithelium also forms much of the glandular tissue of the body. Skin is not the only area of the body exposed to the outside. Other areas include the airways, the digestive tract, as well as the urinary and reproductive systems, all of which are lined by an epithelium. Hollow organs and body cavities that do not connect to the exterior of the body, which includes, blood vessels and serous membranes, are lined by endothelium (plural = endothelia), which is a type of epithelium.

Epithelial cells derive from all three major embryonic layers. The epithelia lining the skin, parts of the mouth and nose, and the anus develop from the ectoderm. Cells lining the airways and most of the digestive system originate in the endoderm. The epithelium that lines vessels in the lymphatic and cardiovascular system derives from the mesoderm and is called an endothelium.

All epithelia share some important structural and functional features. This tissue is highly cellular, with little or no extracellular material present between cells. Adjoining cells form a specialized intercellular connection between their cell membranes called a cell junction. The epithelial cells exhibit polarity with differences in structure and function between the exposed or apical facing surface of the cell and the basal surface close to the underlying body structures. The basal lamina, a mixture of glycoproteins and collagen, provides an attachment site for the epithelium, separating it from underlying connective tissue. The basal lamina attaches to a reticular lamina, which is secreted by the underlying connective tissue, forming a basement membrane that helps hold it all together.

Epithelial tissues are nearly completely avascular. For instance, no blood vessels cross the basement membrane to enter the tissue, and nutrients must come by diffusion or absorption from underlying tissues or the surface. Many epithelial tissues are capable of rapidly replacing damaged and dead cells. Sloughing off of damaged or dead cells is a characteristic of surface epithelium and allows our airways and digestive tracts to rapidly replace damaged cells with new cells.

Generalized Functions of Epithelial Tissue

Epithelial tissues provide the body’s first line of protection from physical, chemical, and biological wear and tear. The cells of an epithelium act as gatekeepers of the body controlling permeability and allowing selective transfer of materials across a physical barrier. All substances that enter the body must cross an epithelium. Some epithelia often include structural features that allow the selective transport of molecules and ions across their cell membranes.

Many epithelial cells are capable of secretion and release mucous and specific chemical compounds onto their apical surfaces. The epithelium of the small intestine releases digestive enzymes, for example. Cells lining the respiratory tract secrete mucous that traps incoming microorganisms and particles. A glandular epithelium contains many secretory cells.

The Epithelial Cell

Epithelial cells are typically characterized by the polarized distribution of organelles and membrane-bound proteins between their basal and apical surfaces. Particular structures found in some epithelial cells are an adaptation to specific functions. Certain organelles are segregated to the basal sides, whereas other organelles and extensions, such as cilia, when present, are on the apical surface.

Cilia are microscopic extensions of the apical cell membrane that are supported by microtubules. They beat in unison and move fluids as well as trapped particles. Ciliated epithelium lines the ventricles of the brain where it helps circulate the cerebrospinal fluid. The ciliated epithelium of your airway forms a mucociliary escalator that sweeps particles of dust and pathogens trapped in the secreted mucous toward the throat. It is called an escalator because it continuously pushes mucous with trapped particles upward. In contrast, nasal cilia sweep the mucous blanket down towards your throat. In both cases, the transported materials are usually swallowed, and end up in the acidic environment of your stomach.

Cell to Cell Junctions

Cells of epithelia are closely connected and are not separated by intracellular material. Three basic types of connections allow varying degrees of interaction between the cells: tight junctions, anchoring junctions, and gap junctions (Figure 4.5).

These three illustrations each show the edges of two vertical cell membranes. The cell membranes are viewed partially from the side so that the inside edge of the right cell membrane is visible. The upper left image shows a tight junction. The two cell membranes are bound by transmembrane protein strands. The proteins travel the inside edge of the right cell membrane and cross over to the left cell membrane, cinching the two membranes together. The cell membranes are still somewhat separated in between neighboring strands, creating intercellular spaces. The upper right diagram shows a gap junction. The gap junctions are composed of two interlocking connexins, which are round, hollow tubes that extend through the cell membranes. Two connexins, one from the left cell membrane and the other from the right cell membrane, meet between the two cells, forming a connexon. Even at the site of the connexon, there is a small gap between the cell membranes. On the inside edge of the right cell membrane, the gap junction appears as a depression. Three connexins are embedded into the membranes like buttons on a shirt. The bottom images show the three types of anchoring junctions. The left image shows a desmosome. Here, the inside edge of both the right and left cell membranes have brown, round plaques. Each plaque has tentacle-like intermediate filaments (keratin) that extend into each cell’s cytoplasm. The two plaques are connected across the intercellular space by several interlocking transmembrane glycoproteins (cadherin). The connected glycoproteins look similar to a zipped-up zipper between the right and left cell membranes. The right image shows an adheren. These are similar to desmosomes, with two plaques on the inside edge of each cell membrane connected across the intercellular space by glycoproteins. However, the plaques do not contain the tentacle-like intermediate filaments branching into the cytoplasm. Instead, the plaques are ribbed with green actin filaments. The filaments are neatly arranged in parallel, horizontal strands on the surface of the plaque facing the cytoplasm. The bottom image shows a hemidesmosome. Rather than located between two neighboring cells, the hemidesmosome is located between the bottom of a cell and the basement membrane. A hemidesmosome contains a single plaque on the inside edge of the cell membrane. Like the desmosome, intermediate filaments project from the plaque into the cytoplasm. The opposite side of the plaque has purple, knob-shaped integrins extending out to the basal lamina of the basement membrane.
Figure 4.5 Types of Cell Junctions The three basic types of cell-to-cell junctions are tight junctions, gap junctions, and anchoring junctions.

At one end of the spectrum is the tight junction, which separates the cells into apical and basal compartments. When two adjacent epithelial cells form a tight junction, there is no extracellular space between them and the movement of substances through the extracellular space between the cells is blocked. This enables the epithelia to act as selective barriers. An anchoring junction includes several types of cell junctions that help stabilize epithelial tissues. Anchoring junctions are common on the lateral and basal surfaces of cells where they provide strong and flexible connections. There are three types of anchoring junctions: desmosomes, hemidesmosomes, and adherens. Desmosomes occur in patches on the membranes of cells. The patches are structural proteins on the inner surface of the cell’s membrane. The adhesion molecule, cadherin, is embedded in these patches and projects through the cell membrane to link with the cadherin molecules of adjacent cells. These connections are especially important in holding cells together. Hemidesmosomes, which look like half a desmosome, link cells to the extracellular matrix, for example, the basal lamina. While similar in appearance to desmosomes, they include the adhesion proteins called integrins rather than cadherins. Adherens junctions use either cadherins or integrins depending on whether they are linking to other cells or matrix. The junctions are characterized by the presence of the contractile protein actin located on the cytoplasmic surface of the cell membrane. The actin can connect isolated patches or form a belt-like structure inside the cell. These junctions influence the shape and folding of the epithelial tissue.

In contrast with the tight and anchoring junctions, a gap junction forms an intercellular passageway between the membranes of adjacent cells to facilitate the movement of small molecules and ions between the cytoplasm of adjacent cells. These junctions allow electrical and metabolic coupling of adjacent cells, which coordinates function in large groups of cells.

Classification of Epithelial Tissues

Epithelial tissues are classified according to the shape of the cells and number of the cell layers formed (Figure 4.6). Cell shapes can be squamous (flattened and thin), cuboidal (boxy, as wide as it is tall), or columnar (rectangular, taller than it is wide). Similarly, the number of cell layers in the tissue can be one—where every cell rests on the basal lamina—which is a simple epithelium, or more than one, which is a stratified epithelium and only the basal layer of cells rests on the basal lamina. Pseudostratified (pseudo- = “false”) describes tissue with a single layer of irregularly shaped cells that give the appearance of more than one layer. Transitional describes a form of specialized stratified epithelium in which the shape of the cells can vary.

This figure is a table showing the appearance of squamous, cuboidal and columnar epithelial tissues. Simple and compound forms are shown for each tissue type. In a simple squamous epithelium, the cells are flattened and single layered. In a simple cuboidal epithelium, the cells are cube shaped and single layered. In a simple columnar epithelium, the cells are rectangular and are attached to the basement membrane on one of their narrow sides, so that each cell is standing up like a column. There is only one layer of cells. In a pseudostratified columnar epithelium, the cells are column-like in appearance, but they vary in height. The taller cells bend over the tops of the shorter cells so that the top of the epithelial tissue is continuous. There is only one layer of cells. A stratified squamous epithelium contains many layers of flattened cells. Stratified cuboidal epithelium contains many layers of cube-shaped cells. Stratified columnar epithelium contains many layers of rectangular, column-shaped cells.
Figure 4.6 Cells of Epithelial Tissue Simple epithelial tissue is organized as a single layer of cells and stratified epithelial tissue is formed by several layers of cells.

Simple Epithelium

The shape of the cells in the single cell layer of simple epithelium reflects the functioning of those cells. The cells in simple squamous epithelium have the appearance of thin scales. Squamous cell nuclei tend to be flat, horizontal, and elliptical, mirroring the form of the cell. The endothelium is the epithelial tissue that lines vessels of the lymphatic and cardiovascular system, and it is made up of a single layer of squamous cells. Simple squamous epithelium, because of the thinness of the cell, is present where rapid passage of chemical compounds is observed. The alveoli of lungs where gases diffuse, segments of kidney tubules, and the lining of capillaries are also made of simple squamous epithelial tissue. The mesothelium is a simple squamous epithelium that forms the surface layer of the serous membrane that lines body cavities and internal organs. Its primary function is to provide a smooth and protective surface. Mesothelial cells are squamous epithelial cells that secrete a fluid that lubricates the mesothelium.

In simple cuboidal epithelium, the nucleus of the box-like cells appears round and is generally located near the center of the cell. These epithelia are active in the secretion and absorptions of molecules. Simple cuboidal epithelia are observed in the lining of the kidney tubules and in the ducts of glands.

In simple columnar epithelium, the nucleus of the tall column-like cells tends to be elongated and located in the basal end of the cells. Like the cuboidal epithelia, this epithelium is active in the absorption and secretion of molecules. Simple columnar epithelium forms the lining of some sections of the digestive system and parts of the female reproductive tract. Ciliated columnar epithelium is composed of simple columnar epithelial cells with cilia on their apical surfaces. These epithelial cells are found in the lining of the fallopian tubes and parts of the respiratory system, where the beating of the cilia helps remove particulate matter.

Pseudostratified columnar epithelium is a type of epithelium that appears to be stratified but instead consists of a single layer of irregularly shaped and differently sized columnar cells. In pseudostratified epithelium, nuclei of neighboring cells appear at different levels rather than clustered in the basal end. The arrangement gives the appearance of stratification; but in fact all the cells are in contact with the basal lamina, although some do not reach the apical surface. Pseudostratified columnar epithelium is found in the respiratory tract, where some of these cells have cilia.

Both simple and pseudostratified columnar epithelia are heterogeneous epithelia because they include additional types of cells interspersed among the epithelial cells. For example, a goblet cell is a mucous-secreting unicellular “gland” interspersed between the columnar epithelial cells of mucous membranes (Figure 4.7).

This illustration shows a diagram of a goblet cell. The goblet cell is shaped roughly like an upside down vase. The enlarged end at the top contains six finger like projections labeled microvilli. Between the microvilli, secretary vesicles containing mucin are moving from the upper half of the cell toward the microvilli. Below the secretory vesicles are several rough endoplasmic reticula and an irregularly shaped Golgi apparatus with secretory vesicles budding off of it. The narrow, lower half of the cell contains the oval-shaped nucleus as well as a few mitochondria and segments of the endoplasmic reticulum.
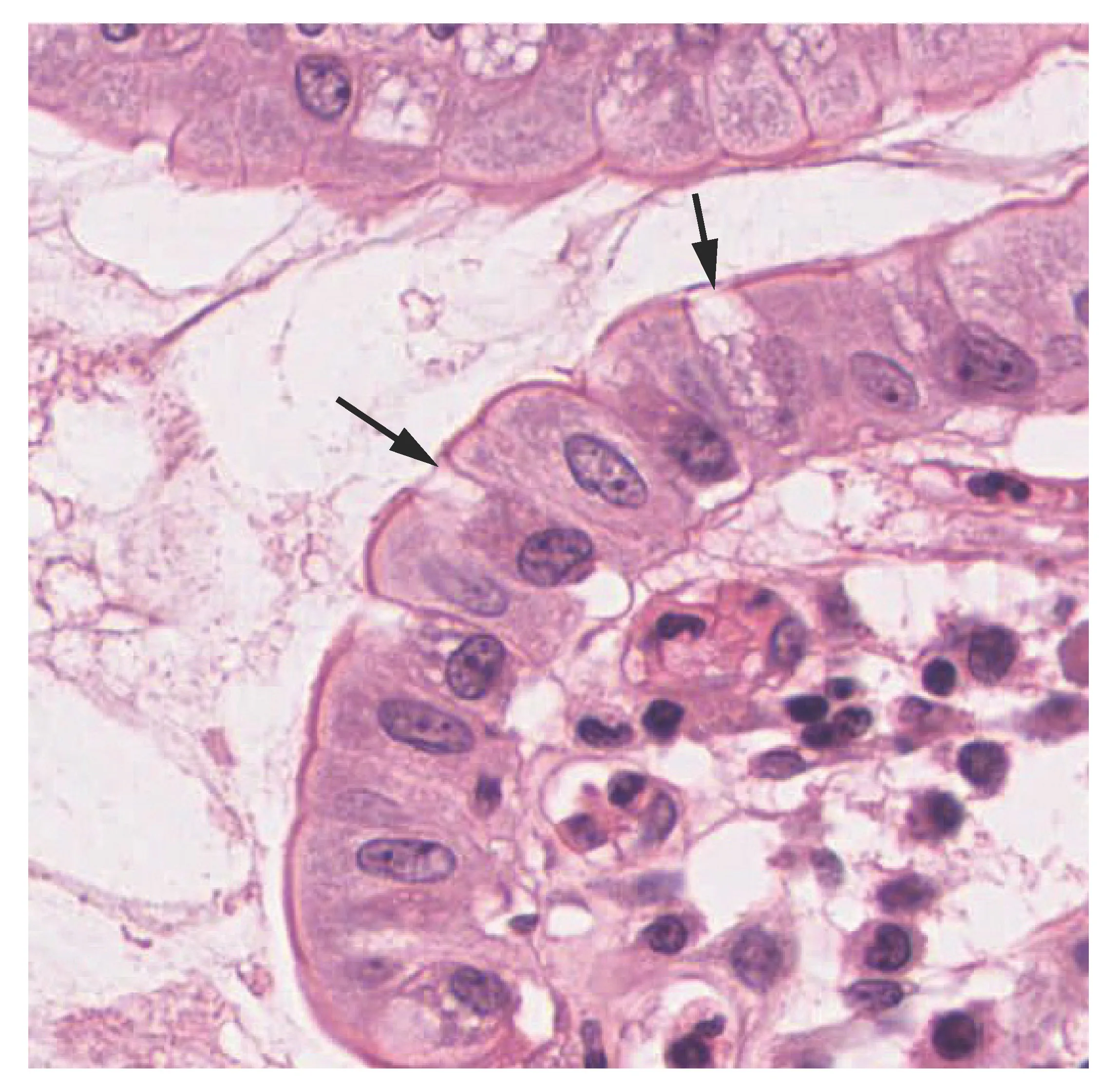
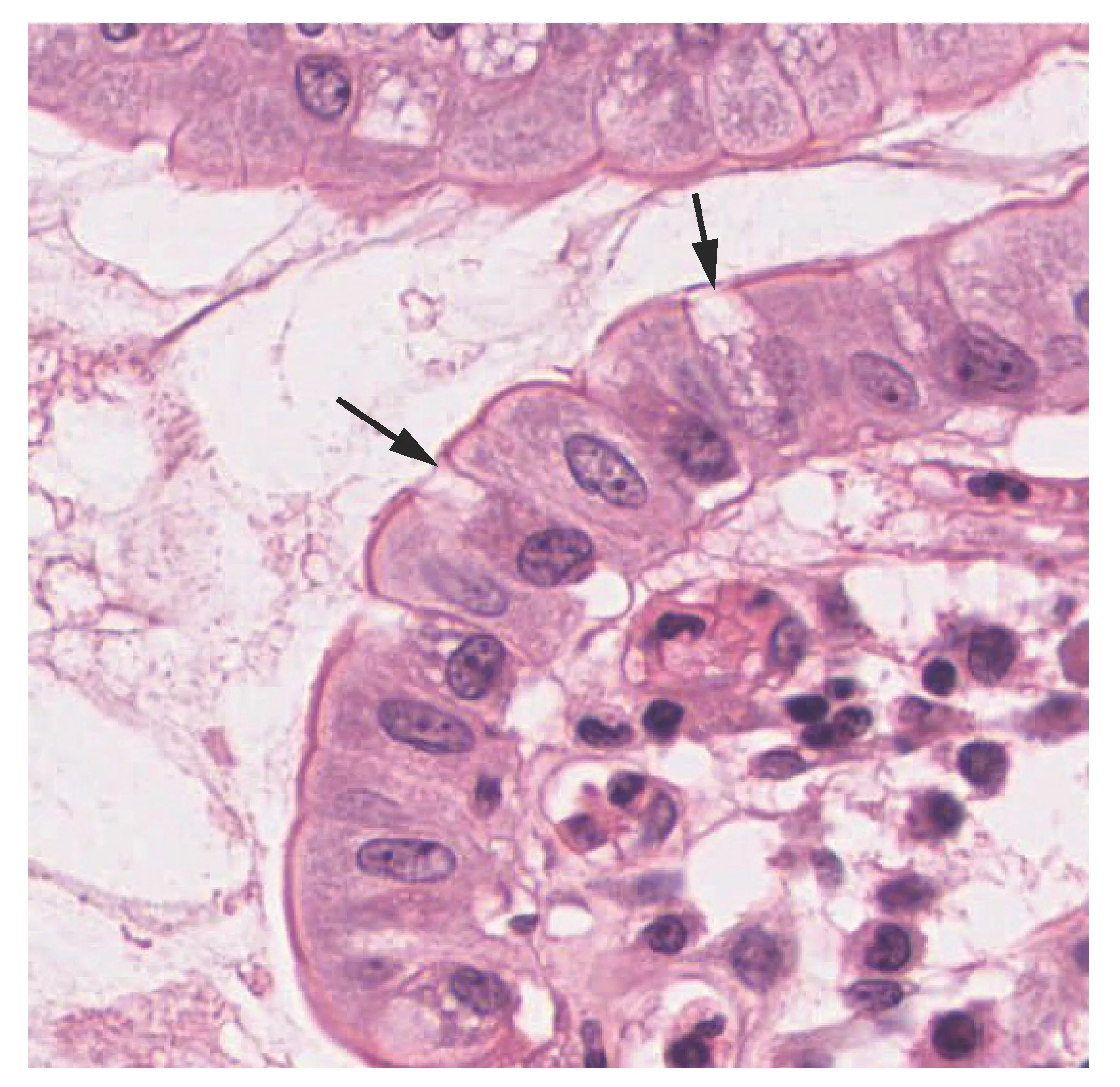
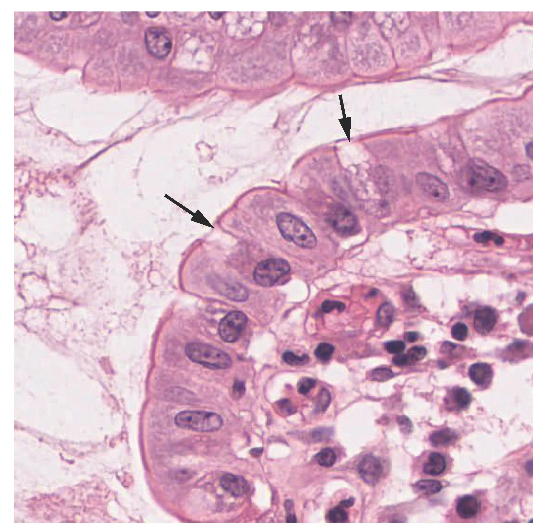
The second image is a micrograph of the innermost lining of the small intestine. This innermost lining is a simple columnar epithelium, with a single layer of rectangular cells oriented in a line. Occasionally, the line of epithelial cells is interrupted by a goblet cell. Goblet cells are thinner than the epithelial cells and appear roughly pill shaped. In this micrograph, the cells did not stain as darkly as the epithelial cells.
Figure 4.7 Goblet Cell (a) In the lining of the small intestine, columnar epithelium cells are interspersed with goblet cells. (b) The arrows in this micrograph point to the mucous-secreting goblet cells. LM × 1600. (Micrograph provided by the Regents of University of Michigan Medical School © 2012)

Interactive Link

View the University of Michigan WebScope to explore the tissue sample in greater detail.

Stratified Epithelium

A stratified epithelium consists of several stacked layers of cells. This epithelium protects against physical and chemical wear and tear. The stratified epithelium is named by the shape of the most apical layer of cells, closest to the free space. Stratified squamous epithelium is the most common type of stratified epithelium in the human body. The apical cells are squamous, whereas the basal layer contains either columnar or cuboidal cells. The top layer may be covered with dead cells filled with keratin. Mammalian skin is an example of this dry, keratinized, stratified squamous epithelium. The lining of the mouth cavity is an example of an unkeratinized, stratified squamous epithelium. Stratified cuboidal epithelium and stratified columnar epithelium can also be found in certain glands and ducts, but are uncommon in the human body.

Another kind of stratified epithelium is transitional epithelium, so-called because of the gradual changes in the shapes of the apical cells as the bladder fills with urine. It is found only in the urinary system, specifically the ureters and urinary bladder. When the bladder is empty, this epithelium is convoluted and has cuboidal apical cells with convex, umbrella shaped, apical surfaces. As the bladder fills with urine, this epithelium loses its convolutions and the apical cells transition from cuboidal to squamous. It appears thicker and more multi-layered when the bladder is empty, and more stretched out and less stratified when the bladder is full and distended. Figure 4.8 summarizes the different categories of epithelial cell tissue cells.

This figure is a table with three columns and eight rows. The leftmost column is titled cells, and contains a drawing in each row showing how epithelial cells are arranged above a basement membrane. The middle column is titled location, while the rightmost column is titled function. In a simple squamous epithelium, the cells are flattened and single-layered. Simple squamous cells are found in the air sacs of the lungs, in the lining of the heart, blood vessels and lymphatic vessels. Their function is to allow materials to pass through by diffusion and filtration, as well as to secrete lubricating substances. In a simple cuboidal epithelium, the cells are cube shaped and single layered and located in ducts and secretory portions of small glands as well as in the kidney tubules. The function of simple cuboidal epithelium is to secrete and absorb. In a simple columnar epithelium, the cells are rectangular and are attached to the basement membrane on one of their narrow sides, so that each cell is standing up like a column. There is only one layer of cells. Simple columnar epithelium is found in ciliated tissues including the larger bronchioles, uterine tubes, and uterus, as well as in smooth, nonciliated tissues such as the digestive tract bladder. The function of simple columnar epithelium is to absorb substances but also to secrete mucous and enzymes. In a pseudostratified columnar epithelium, the cells are column-like in appearance, but they vary in height. The taller cells bend over the tops of the shorter cells so that the top of the epithelial tissue is continuous. There is only one layer of cells. Pseudostratified columnar epithelium lines the bronchi, the trachea, and much of the upper respiratory tract. The function of pseudostratified columnar epithelium is to secrete mucous and also move that mucus using the hair like cilia projecting from the top of each cell. A stratified squamous epithelium contains many layers of flattened cells. Stratified squamous epithelium lines the esophagus, mouth, and vagina. The function of stratified squamous epithelium is to protect against abrasion. Stratified cuboidal epithelium contains many layers of cube-shaped cells. Stratified cuboidal epithelium is found in the sweat glands, salivary glands, and mammary glands. The function of stratified cuboidal epithelium is to protect other tissues of the body. Stratified columnar epithelium contains many layers of rectangular, column-shaped cells. Stratified columnar epithelium is located in the male and female urethrae and the ducts of some glands. The function of stratified columnar epithelium is to secrete and protect. Transitional epithelium consists of many layers of irregularly shaped cells with diverse sizes. Transitional epithelium is found lining the bladder, urethra and ureters. The function of transitional epithelium is to allow the urinary organs to expand and stretch.
Figure 4.8 Summary of Epithelial Tissue Cells

Interactive Link

Watch this video to find out more about the anatomy of epithelial tissues. Where in the body would one find non-keratinizing stratified squamous epithelium?

Glandular Epithelium

A gland is a structure made up of one or more cells modified to synthesize and secrete chemical substances. Most glands consist of groups of epithelial cells. A gland can be classified as an endocrine gland, a ductless gland that releases secretions directly into surrounding tissues and fluids (endo- = “inside”), or an exocrine gland whose secretions leave through a duct that opens directly, or indirectly, to the external environment (exo- = “outside”).

Endocrine Glands

The secretions of endocrine glands are called hormones. Hormones are released into the interstitial fluid, diffused into the bloodstream, and delivered to targets, in other words, cells that have receptors to bind the hormones. The endocrine system is part of a major regulatory system coordinating the regulation and integration of body responses. A few examples of endocrine glands include the anterior pituitary, thymus, adrenal cortex, and gonads.

Exocrine Glands

Exocrine glands release their contents through a duct that leads to the epithelial surface. Mucous, sweat, saliva, and breast milk are all examples of secretions from exocrine glands. They are all discharged through tubular ducts. Secretions into the lumen of the gastrointestinal tract, technically outside of the body, are of the exocrine category.

Glandular Structure

Exocrine glands are classified as either unicellular or multicellular. The unicellular glands are scattered single cells, such as goblet cells, found in the mucous membranes of the small and large intestine.

The multicellular exocrine glands known as serous glands develop from simple epithelium to form a secretory surface that secretes directly into an inner cavity. These glands line the internal cavities of the abdomen and chest and release their secretions directly into the cavities. Other multicellular exocrine glands release their contents through a tubular duct. The duct is single in a simple gland but in compound glands is divided into one or more branches (Figure 4.9). In tubular glands, the ducts can be straight or coiled, whereas tubes that form pockets are alveolar (acinar), such as the exocrine portion of the pancreas. Combinations of tubes and pockets are known as tubuloalveolar (tubuloacinar) compound glands. In a branched gland, a duct is connected to more than one secretory group of cells.

This table shows the different types of exocrine glands: alveolar (acinar) versus tubular and those with simple ducts versus compound ducts. Each diagram shows a single layer of columnar epithelial cells with a line of cells travelling along the surface of a tissue (surface epithelium) and then dipping into a hole in the tissue. The cells travel down the right side of the hole until they reach the bottom, then curve around the bottom of the hole and then travel up the left side. Finally, the cells emerge back onto the surface of the tissue. The surface epithelial cells are those that are on the surface of the tissue; the duct cells are those that line both walls of the hole. The gland cells are those that line the bottom of the hole. The shape of the hole differs in each gland. In the simple alvelolar (acinar) gland, the duct and gland cells are bulb shaped with the gland cells being the larger end of the bulb. Simple alveolar glands are not found in adults, as these represent an early developmental stage of simple, branched glands. In simple tubular glands, the duct and gland cells are U shaped. Simple tubular glands are found in the intestinal glands. In simple branched alveolar glands, the gland cells form three bulbs at the end of the duct, similar in appearance to a clover leaf. The sebaceous (oil) glands are examples of simple branched alveolar glands. In simple coiled tubular glands, the duct and gland cells form a U, however, the bottom of the U, which is all gland cells, is curved up to the right. Merocrine sweat glands are examples of simple coiled tubular glands. In simple branched tubular glands, the duct is very short and the gland cells divide into three lobes, similar in appearance to a bird’s foot. The gastric glands of the stomach and mucous glands of the esophagus, tongue and duodenum are examples of simple branched tubular glands. Among the glands with compound ducts, compound alveolar (acinar) glands have three sets of clover leaf bulbs, for a total of six bulbs. Two of the clover leaf shaped structures extend parallel to the surface epithelium in opposite directions to each other. The third clover leaf extends down into the tissue, perpendicular to the surface. The duct is cross-shaped. The mammary glands are an example of compound alveolar glands. Compound tubular glands have a similar structure to compound alveolar glands. However, instead of three cloverleaf shaped bulbs, the compound tubular gland has three bird’s foot shaped bulbs. The duct is also cross-shaped in the compound tubular gland. The mucous glands of the mouth and the bulbourethral glands of the male reproductive system are examples of compound tubular glands, which are also found in the seminiferous tubules of the testis. Compound tubuloalveolar glands are a hybrid between the compound alveolar gland and the compound tubular gland. The two sets of bulbs that run parallel to the surface are bird-foot shaped; however, the set of bulbs that runs perpendicularly below the surface is cloverleaf shaped. The salivary glands, glands of the respiratory passages and glands of the pancreas are all compound tubuloalveolar glands.
Figure 4.9 Types of Exocrine Glands Exocrine glands are classified by their structure.

Methods and Types of Secretion

Exocrine glands can be classified by their mode of secretion and the nature of the substances released, as well as by the structure of the glands and shape of ducts (Figure 4.10). Merocrine secretion is the most common type of exocrine secretion. The secretions are enclosed in vesicles that move to the apical surface of the cell where the contents are released by exocytosis. For example, watery mucous containing the glycoprotein mucin, a lubricant that offers some pathogen protection is a merocrine secretion. The eccrine glands that produce and secrete sweat are another example.

These three diagrams show the three modes of secretion. All three diagrams show three orange cells in a line with attached to a basement membrane. Each cell has a large nucleus in its lower half. The upper half of each cell contains a Golgi apparatus, which appears like an upside down jellyfish. Yellow secretory vesicles are budding from the top end of the Golgi apparatus. Each vesicle contains several orange circles, which are the secreted substance. In merocrine secretion, the secretory vesicles travel to the top edge of the cells and release the secretion from the cell by melding with the cell membrane. In apocrine secretion, the top third of the cell, which contains the secretory vesicles, pinches in at the sides and then completely disconnects above the Golgi complex. The pinched off portion of the cell is the secretion, as it contains the majority of the secretory vesicles. In holocrine secretion, the upper third of the cell, just above the Golgi complex, forms many finger like projections. Each projection contains several vesicles. The tips of the projections that contain secretory vesicles bud off from the cell. In this method of secretion, the mature cell eventually dies and becomes the secretory product.
Figure 4.10 Modes of Glandular Secretion (a) In merocrine secretion, the cell remains intact. (b) In apocrine secretion, the apical portion of the cell is released, as well. (c) In holocrine secretion, the cell is destroyed as it releases its product and the cell itself becomes part of the secretion.

Apocrine secretion accumulates near the apical portion of the cell. That portion of the cell and its secretory contents pinch off from the cell and are released. Apocrine sweat glands in the axillary and genital areas release fatty secretions that local bacteria break down; this causes body odor. Both merocrine and apocrine glands continue to produce and secrete their contents with little damage caused to the cell because the nucleus and golgi regions remain intact after secretion.

In contrast, the process of holocrine secretion involves the rupture and destruction of the entire gland cell. The cell accumulates its secretory products and releases them only when it bursts. New gland cells differentiate from cells in the surrounding tissue to replace those lost by secretion. The sebaceous glands that produce the oils on the skin and hair are holocrine glands/cells (Figure 4.11).

Image A depicts a cross section of the skin layers. The surface of the skin is at the top of the diagram, with the outer layer occupying about one fifth of the cross section. The outer layer has an irregular border with the inner skin layer, which occupies the remainder of the cross section. A hair follicle is embedded within the inner layer. However, the outer layer actually invaginates into the inner layer around the outside of the follicle, completely sheathing the follicle. The follicle has a bulb at its bottom that is connected to blood vessels. The hair projects from the bulb and travels through the sheath to erupt from the skin surface. The sebaceous gland is an irregular, yellow structure attached at the midpoint of the hair shaft near the border between the inner and outer layers of skin. Its duct actually connects into the side of the hair follicle. Image B shows a micrograph of a sebaceous gland connected to a hair follicle. The bulb of the hair follicle is evident in the micrograph as a bundle of cell surrounding the growing hair at its center. The sebaceous gland is connected to the right of the follicle bulb. The gland appears as an oval shaped mass of pink staining, cube shaped cells with purple nuclei.
Figure 4.11 Sebaceous Glands These glands secrete oils that lubricate and protect the skin. They are holocrine glands and they are destroyed after releasing their contents. New glandular cells form to replace the cells that are lost. LM × 400. (Micrograph provided by the Regents of University of Michigan Medical School © 2012)

Glands are also named after the products they produce. The serous gland produces watery, blood-plasma-like secretions rich in enzymes such as alpha amylase, whereas the mucous gland releases watery to viscous products rich in the glycoprotein mucin. Both serous and mucous glands are common in the salivary glands of the mouth. Mixed exocrine glands contain both serous and mucous glands and release both types of secretions.

Citation/Attribution

This book may not be used in the training of large language models or otherwise be ingested into large language models or generative AI offerings without OpenStax's permission.

Want to cite, share, or modify this book? This book uses the Creative Commons Attribution License and you must attribute OpenStax.

Attribution information
  • If you are redistributing all or part of this book in a print format, then you must include on every physical page the following attribution:

    Access for free at https://openstax.org/books/anatomy-and-physiology/pages/1-introduction

  • If you are redistributing all or part of this book in a digital format, then you must include on every digital page view the following attribution:

    Access for free at https://openstax.org/books/anatomy-and-physiology/pages/1-introduction

Citation information

© Jan 27, 2022 OpenStax. Textbook content produced by OpenStax is licensed under a Creative Commons Attribution License . The OpenStax name, OpenStax logo, OpenStax book covers, OpenStax CNX name, and OpenStax CNX logo are not subject to the Creative Commons license and may not be reproduced without the prior and express written consent of Rice University.