Skip to ContentGo to accessibility pageKeyboard shortcuts menu
OpenStax Logo
Psychology 2e

Introduction

Psychology 2eIntroduction
Search for key terms or text.

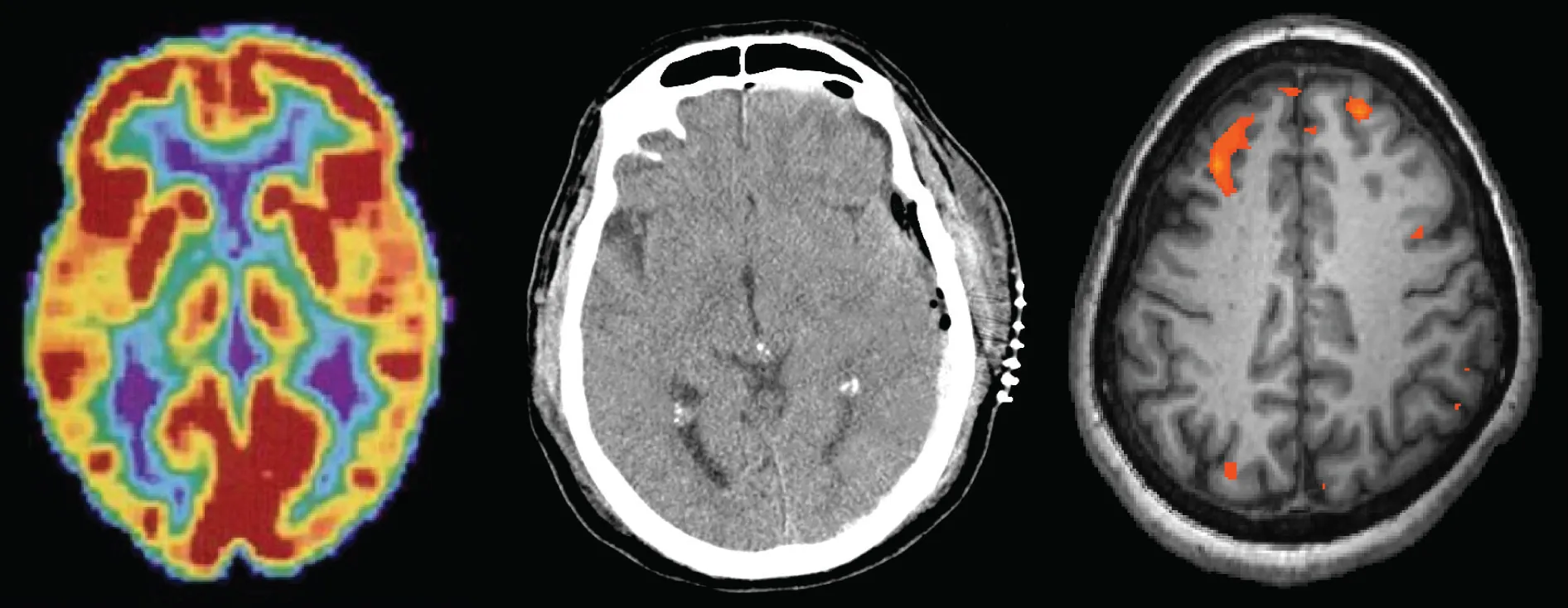
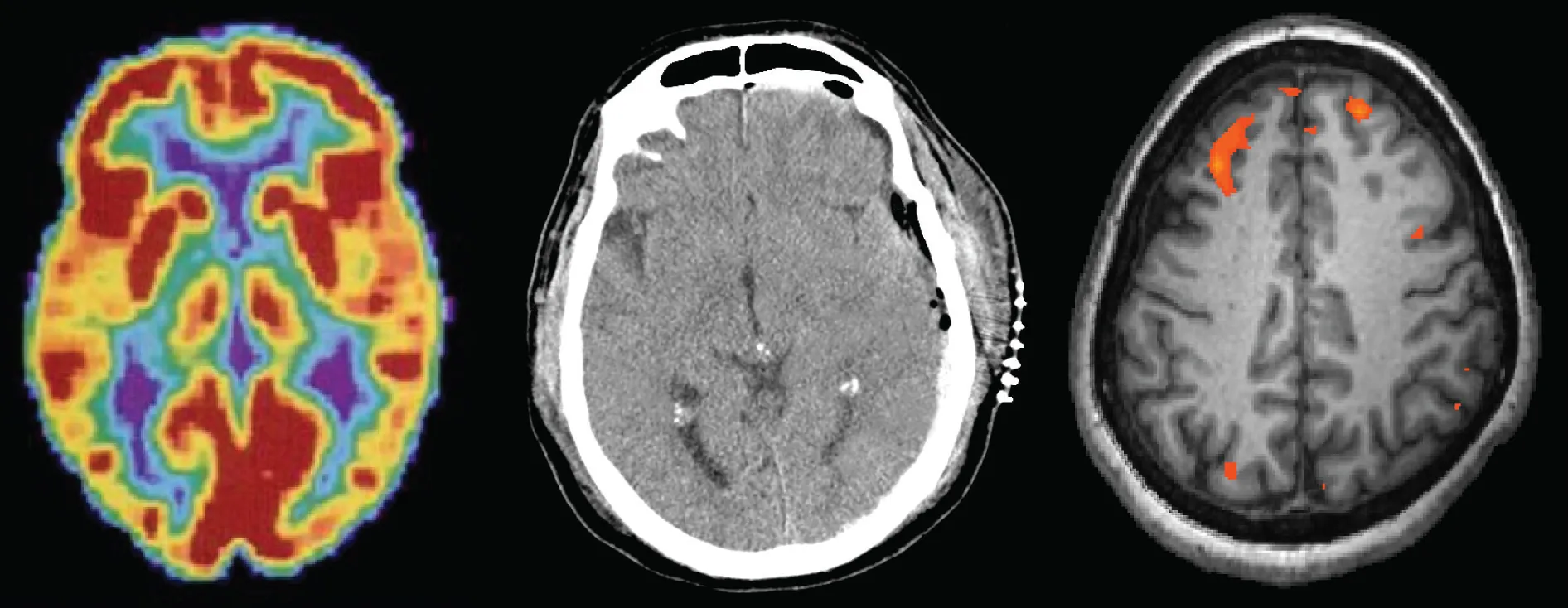
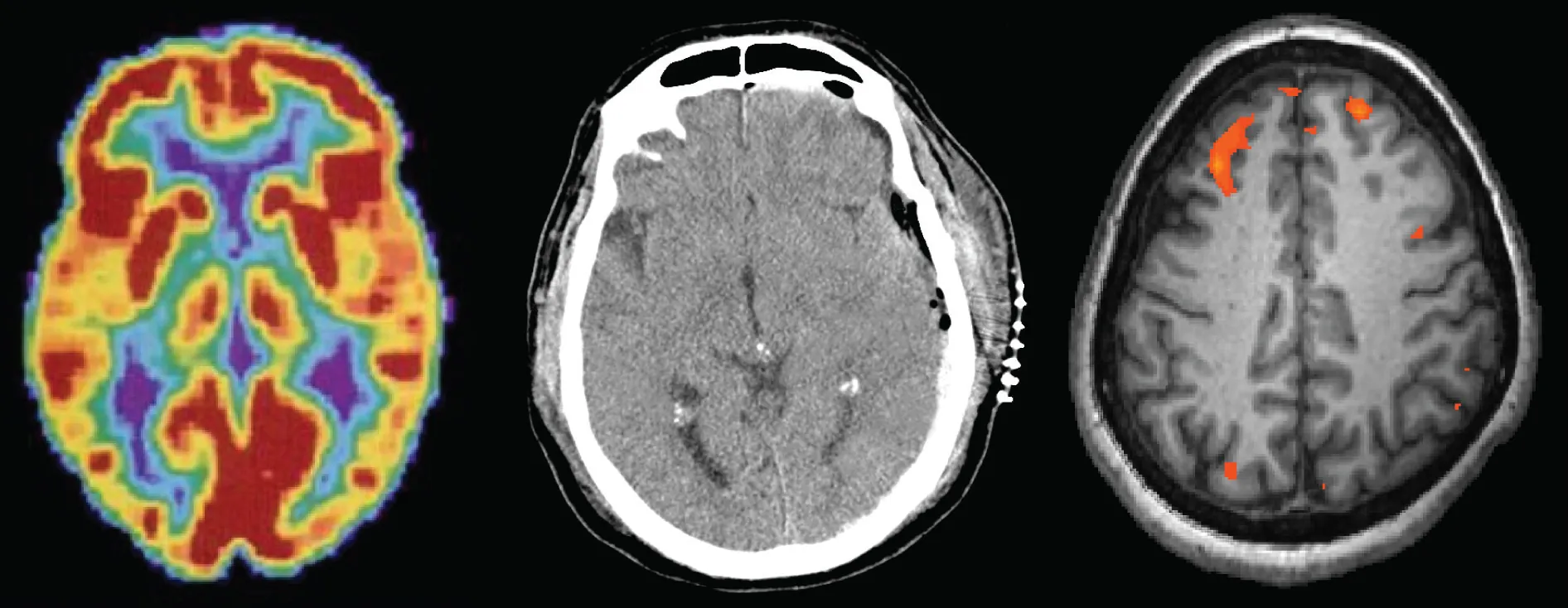
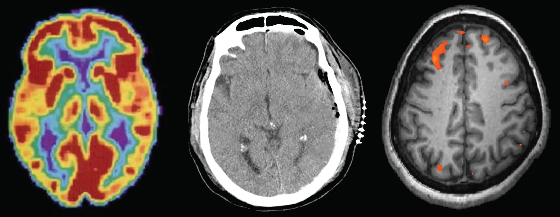
Three brain-imaging scans are shown.
Figure 3.1 Different brain imaging techniques provide scientists with insight into different aspects of how the human brain functions. Left to right, PET scan (positron emission tomography), CT scan (computerized tomography), and fMRI (functional magnetic resonance imaging) are three types of scans. (credit “left”: modification of work by Health and Human Services Department, National Institutes of Health; credit “center": modification of work by "Aceofhearts1968"/Wikimedia Commons; credit “right”: modification of work by Kim J, Matthews NL, Park S.)

Have you ever taken a device apart to find out how it works? Many of us have done so, whether to attempt a repair or simply to satisfy our curiosity. A device’s internal workings are often distinct from its user interface on the outside. For example, we don’t think about microchips and circuits when we turn up the volume on a mobile phone; instead, we think about getting the volume just right. Similarly, the inner workings of the human body are often distinct from the external expression of those workings. It is the job of psychologists to find the connection between these—for example, to figure out how the firings of millions of neurons become a thought.

This chapter strives to explain the biological mechanisms that underlie behavior. These physiological and anatomical foundations are the basis for many areas of psychology. In this chapter, you will learn how genetics influence both physiological and psychological traits. You will become familiar with the structure and function of the nervous system. And, finally, you will learn how the nervous system interacts with the endocrine system.

Citation/Attribution

This book may not be used in the training of large language models or otherwise be ingested into large language models or generative AI offerings without OpenStax's permission.

Want to cite, share, or modify this book? This book uses the Creative Commons Attribution License and you must attribute OpenStax.

Attribution information
  • If you are redistributing all or part of this book in a print format, then you must include on every physical page the following attribution:

    Access for free at https://openstax.org/books/psychology-2e/pages/1-introduction

  • If you are redistributing all or part of this book in a digital format, then you must include on every digital page view the following attribution:

    Access for free at https://openstax.org/books/psychology-2e/pages/1-introduction

Citation information

© Jul 9, 2025 OpenStax. Textbook content produced by OpenStax is licensed under a Creative Commons Attribution License . The OpenStax name, OpenStax logo, OpenStax book covers, OpenStax CNX name, and OpenStax CNX logo are not subject to the Creative Commons license and may not be reproduced without the prior and express written consent of Rice University.