Skip to ContentGo to accessibility pageKeyboard shortcuts menu
OpenStax Logo
Medical-Surgical Nursing

30.2 Patterns of Inheritance and Mutations

Medical-Surgical Nursing30.2 Patterns of Inheritance and Mutations
Search for key terms or text.

Learning Objectives

By the end of this section, you will be able to:

  • Explain the pattern of inheritance
  • Differentiate between autosomal and recessive patterns of inheritance
  • Discuss the pathophysiology of genetic mutations
  • Explain the varying types of genetic mutations
  • Discuss the nurse’s role in providing patient support through genetic diagnoses and care

Our contemporary understanding of genetics rests on the work of a nineteenth-century monk. Working in the mid-1800s, long before anyone knew about genes or chromosomes, Gregor Mendel discovered that garden peas transmit their physical characteristics to subsequent generations in a discrete and predictable fashion. When he mated, or crossed, two pure-breeding pea plants that differed by a certain characteristic, the first-generation offspring all looked like one of the parents. For instance, when he crossed tall and dwarf pure-breeding pea plants, all of the offspring were tall. Mendel called tallness dominant because it was expressed in offspring when it was present in a purebred parent. He called dwarfism recessive because it was masked in the offspring if one of the purebred parents possessed the dominant characteristic.

This section will explore the pattern of inheritance, as well as the different types and pathophysiology of genetic mutations, and how that translates into providing nursing care.

From Genotype to Phenotype

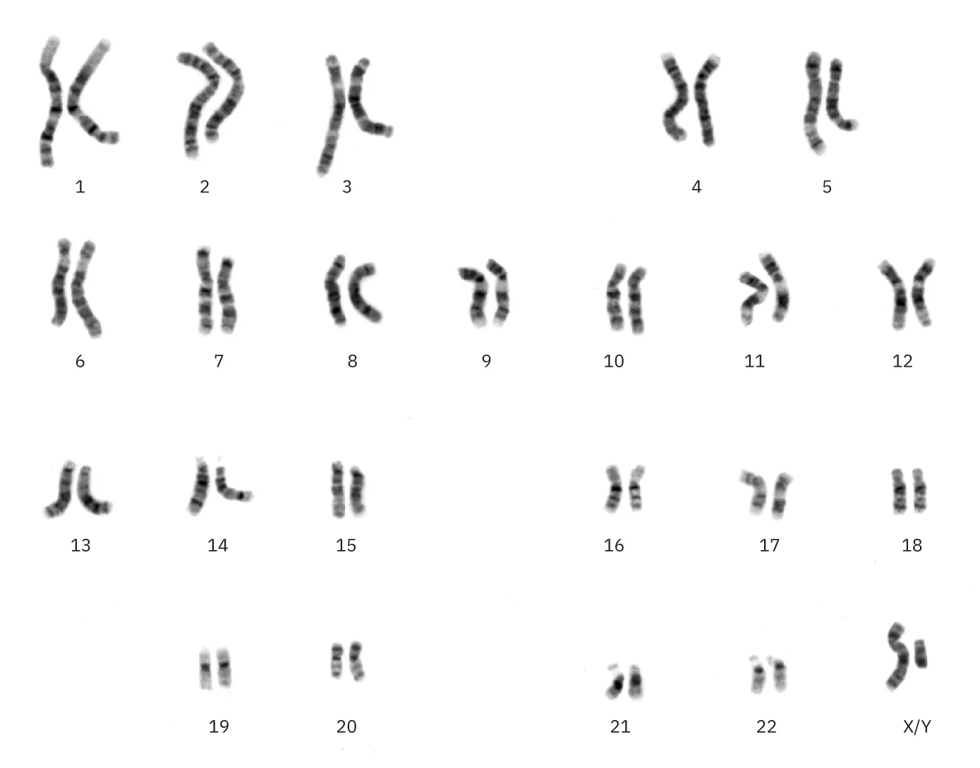
Each human body cell has a full complement of DNA stored in twenty-three pairs of chromosomes. Figure 30.3 shows the pairs in a systematic arrangement called a karyotype. Among these is one pair of chromosomes, called the sex chromosomes, that determines the sex of the individual (XX in females, XY in males). The remaining twenty-two chromosome pairs are called autosomal chromosomes. Each of these chromosomes carries hundreds or even thousands of genes, each of which codes for the assembly of a particular protein—that is, genes are “expressed” as proteins. An individual’s complete genetic makeup is referred to as their genotype. The characteristics that the genes express, whether they are physical, behavioral, or biochemical, are a person’s phenotype.

Image of autosomes (body cell chromosomes) and sex chromosomes (XX or XY).
Figure 30.3 Each pair of chromosomes contains hundreds to thousands of genes. The banding patterns are nearly identical for the two chromosomes within each pair, indicating the same organization of genes. As is visible in this karyotype, the only exception to this is the XY sex chromosome pair in males. (credit: National Human Genome Research Institute, Public Domain)

In genetics and reproduction, parent is often used to describe the individual organisms that contribute genetic material to offspring, usually in the form of gamete, or sex, cells and their chromosomes. The concept of a genetic parent is distinct from social and legal concepts of parenthood, and may differ from those whom people consider their parents.

Individuals inherit one chromosome in each pair—a full complement of twenty-three—from each parent. This occurs when the sperm and oocyte combine at the moment of conception. Homologous chromosomes—those that make up a complementary pair—have genes for the same characteristics in the same location on the chromosome. Because one copy of a gene, an allele, is inherited from each parent, the alleles in these complementary pairs may vary. Take for example an allele that encodes for dimples. A child may inherit the allele encoding for dimples on the chromosome from the one parent and the allele that encodes for smooth skin (no dimples) on the chromosome from the other parent.

Although a person can have two identical alleles for a single gene (a homozygous state), it is also possible for a person to have two different alleles (a heterozygous state). The two alleles can interact in several different ways. The expression of an allele can be dominant, for which the activity of this gene will mask the expression of a nondominant, or recessive, allele. Sometimes dominance is complete; at other times, it is incomplete. In some cases, both alleles are expressed at the same time in a form of expression known as codominance.

In the simplest scenario, a single pair of genes will determine a single heritable characteristic. However, it is quite common for multiple genes to interact to confer a feature. For instance, eight or more genes—each with their own alleles—determine eye color in humans. Moreover, although any one person can only have two alleles corresponding to a given gene, more than two alleles commonly exist in a population. This phenomenon is called multiple alleles. For example, there are three different alleles that encode ABO blood type; these are designated IA, IB, and i.

More than 100 years of theoretical and experimental genetics studies, and the more recent sequencing and annotation of the human genome, have helped scientists to develop a better understanding of how an individual’s genotype is expressed as their phenotype. This body of knowledge can help scientists and medical professionals to predict, or at least estimate, some of the features that an offspring will inherit by examining the genotypes or phenotypes of the parents. One important application of this knowledge is to identify an individual’s risk for certain heritable genetic disorders. However, most diseases have a multigenic pattern of inheritance and can also be affected by the environment, so examining the genotypes or phenotypes of a person’s parents will provide only limited information about the risk of inheriting a disease. Only for a handful of single-gene disorders can genetic testing allow clinicians to calculate the probability with which a child born to the two parents tested may inherit a specific disease.

Pattern of Inheritance

As a result of a series of studies of the heredity of traits among pea plants, Gregor Mendel observed “units of inheritance,” now referred to as genes. Mendel’s research resulted in the development of the principles of inheritance, the “laws” defining how genetic traits are inherited and expressed (Table 30.1).

Law of Inheritance Description
Law of segregation Each inherited trait is defined by a gene pair. Offspring inherit one gene from each parent.
Law of independent assortment Genes for different traits are sorted separately from one another. Inheritance of any specific trait is not dependent on the presence of any other.
Law of dominance When there are alternate forms of a gene in a pair, offspring will express the dominant trait.
Table 30.1 Mendel’s Principles of Inheritance

The pattern of inheritance describes the way certain conditions are passed from parent to offspring through a single gene. These include autosomal, X-linked, mitochondrial, Y-linked, and codominant patterns.

Autosomal Dominant

When the dominant allele is located on one of the twenty-two pairs of autosomes (non-sex chromosomes), we refer to its inheritance pattern as autosomal dominant. An example of an autosomal dominant disorder is neurofibromatosis type I, a disease that induces tumor formation within the nervous system that leads to skin and skeletal deformities. Consider a two individuals in a relationship in which one parent is heterozygous for this disorder (and who therefore has neurofibromatosis), Nn, and one parent is homozygous for the normal gene, nn. The heterozygous parent would have a 50 percent chance of passing the dominant allele for this disorder to their offspring, and the homozygous parent would always pass the normal allele. Therefore, four possible offspring genotypes are equally likely to occur: Nn, Nn, nn, and nn. That is, every child of this couple would have a 50 percent chance of inheriting neurofibromatosis.

Autosomal Recessive

When a genetic disorder is inherited in an autosomal recessive pattern, the disorder corresponds to the recessive phenotype. Heterozygous individuals will not display symptoms of this disorder, because their unaffected gene will compensate. Such an individual is called a carrier. Carriers for an autosomal recessive disorder may never know their genotype unless they have a child with the disorder.

An example of an autosomal recessive disorder is cystic fibrosis (CF). CF is characterized by the chronic accumulation of a thick, tenacious mucus in the lungs and digestive tract. Decades ago, children with CF rarely lived to adulthood. With advances in medical technology, the average life span in developed countries has increased into middle adulthood. CF is a relatively common disorder that occurs in approximately 30,000 people in the United States. A child born to two CF carriers would have a 25 percent chance of inheriting the disease. This is the same 3:1 dominant: recessive ratio that Mendel observed in his pea plants, which applies here.

On the other hand, a child born to a CF carrier and someone with two unaffected alleles would have a 0 percent probability of inheriting CF but would have a 50 percent chance of being a carrier. Other examples of autosome recessive genetic illnesses include the blood disorder sickle cell disease, the fatal neurological disorder Tay-Sachs disease, and the metabolic disorder phenylketonuria.

X-linked Dominant or Recessive Inheritance

An X-linked transmission pattern of inheritance involves genes located on the X chromosome of the twenty-third pair. Recall that a male has one X and one Y chromosome. When a male parent transmits a Y chromosome, the child is male, and when a male parent transmits an X chromosome, the child is female. A female can transmit only an X chromosome, as both her sex chromosomes are X chromosomes.

X-linked Dominant

When an abnormal allele for a gene that occurs on the X chromosome is dominant over the normal allele, the pattern is described as X-linked dominant. This is the case with vitamin D–resistant rickets: an affected male would pass the disease gene to all of the female offspring, but none of the male offspring, because the male transmits only the Y chromosome to male offspring. If it is the female parent who is affected, all of the offspring—male or female—would have a 50 percent chance of inheriting the disorder because the female parent can only pass an X chromosome on to children. For an affected female, the inheritance pattern would be identical to that of an autosomal dominant inheritance pattern in which one parent is heterozygous and the other is homozygous for the normal gene (Figure 30.4).

This image shows the generations resulting from an X-linked dominant, affected XY parent in the top panel and the generations resulting from an X-linked dominant, affected XX parent in the bottom panel.
Figure 30.4 X-linked dominant inheritance patterns differ depending on which parent is affected with the disease. (a) When the XY parent is affected, 100% of XX children are also affected. (b) When the XX parent is affected, all children have a 50% chance of being affected. (credit: modification of work from U.S. National Library of Medicine, Public Domain)

X-Linked Recessive

X-linked recessive inheritance is much more common because females can be carriers of the disease yet still have a normal phenotype. Diseases transmitted by X-linked recessive inheritance include color blindness, the blood-clotting disorder hemophilia, and some forms of muscular dystrophy. For an example of X-linked recessive inheritance, consider parents in which the female is an unaffected carrier and the male is normal. None of the female offspring would have the disease because they receive a normal gene from their male parent. However, they have a 50 percent chance of receiving the disease gene from their female parent and becoming a carrier. In contrast, 50 percent of the male offspring would be affected (Figure 30.5).

With X-linked recessive diseases, males either have the disease or are genotypically normal—they cannot be carriers. Females, however, can be genotypically normal, a carrier who is phenotypically normal, or affected with the disease. A female can inherit the gene for an X-linked recessive illness when the female parent is a carrier or affected, or the male parent is affected. Female offspring will be affected by the disease only if they inherit an X-linked recessive gene from both parents. As you can imagine, X-linked recessive disorders affect many more males than females. For example, color blindness affects at least one in twenty males, but only about one in 400 females.

This figure shows the offspring from a carrier mother with the X-linked recessive inheritance.
Figure 30.5 Given two parents in which the male is normal and the female is a carrier of an X-linked recessive disorder, a male offspring would have a 50 percent probability of being affected with the disorder, whereas female offspring would either be carriers or entirely unaffected. (credit: modification of work from U.S. National Library of Medicine, Public Domain)

Mitochondrial

A mitochondrion (plural = mitochondria) is a membranous, bean-shaped organelle that is the energy-conversion factory of the cell. The pattern of mitochondrial inheritance is transmitted only by mothers because mitochondrial genes are only inherited from the mother. Both male and female offspring can be affected, but only mothers can pass the pattern on to their children, whether or not they have any signs or symptoms. An example of mitochondrial inheritance is Leber hereditary optic neuropathy (LHON). LHON an inherited form of central vision loss that usually begins during the teens or twenties.

Y-linked Inheritance

A pattern of inheritance that comes from one of the Y chromosomes of the father is called Y-linked inheritance. Because Y chromosomes are only present in males, expression and transmission is exclusively from father to son (MedlinePlus, 2021). Examples include Y chromosome infertility, hypertrichosis of the ears (hairy ears), and retinitis pigmentosa.

Incomplete Dominance

Not all genetic disorders are inherited in a dominant–recessive pattern. In incomplete dominance, the offspring express a heterozygous phenotype that is intermediate between one parent’s homozygous dominant trait and the other parent’s homozygous recessive trait. An example of this can be seen in snapdragons when red-flowered plants and white-flowered plants are crossed to produce pink-flowered plants. In humans, incomplete dominance occurs with one of the genes for hair texture. When one parent passes a curly hair allele (the incompletely dominant allele) and the other parent passes a straight-hair allele, the effect on the offspring will be intermediate, resulting in hair that is wavy.

Codominant Inheritance

The equal, distinct, and simultaneous expression of both parents’ different alleles is called codominance. A classic example of codominance in humans is ABO blood type. People are blood type A if they have an allele for an enzyme that facilitates the production of surface antigen A on their erythrocytes. This allele is designated IA. In the same manner, people are blood type B if they express an enzyme for the production of surface antigen B. People who have alleles for both enzymes (IA and IB) produce both surface antigens A and B. As a result, they are blood type AB. Because the effect of both alleles (or enzymes) is observed, we say that the IA and IB alleles are codominant. There is also a third allele that determines blood type. This allele (i) produces a nonfunctional enzyme. People who have two i alleles do not produce either A or B surface antigens: they have type O blood. If a person has IA and i alleles, the person will have blood type A. Notice that it does not make any difference whether a person has two IA alleles or one IA and one i allele. In both cases, the person is blood type A. Because IA masks i, we say that IA is dominant to i. See Table 30.2 for a summary of the expression of blood type.

Blood Type Genotype Pattern of Inheritance
A IAIA or IAi IA is dominant to i
B IBIB or IBi IB is dominant to i
AB IAIB IA is codominant to IB
O ii Two recessive alleles
Table 30.2 Expression of Blood Types

Lethal Alleles

Certain combinations of alleles can be lethal, meaning they prevent the individual from developing in utero, or cause a shortened life span. In recessive lethal inheritance patterns, a child who is born to two heterozygous (carrier) parents and who inherited the faulty allele from both would not survive. An example of this is Tay-Sachs, a fatal disorder of the nervous system. In this disorder, parents with one copy of the allele for the disorder are carriers. If they both transmit their abnormal allele, their offspring will develop the disease and will die in childhood, usually before age 5.

In dominant lethal inheritance patterns, neither heterozygotes nor homozygotes survive; therefore, they are much rarer. Of course, dominant lethal alleles that arise naturally through mutation and cause miscarriages or stillbirths are never transmitted to subsequent generations. However, some dominant lethal alleles, such as the allele for Huntington disease, cause a shortened life span but may not be identified until after the person reaches reproductive age and has children. Huntington disease causes irreversible nerve cell degeneration and death in 100 percent of affected individuals, but it may not be expressed until the individual reaches middle age. In this way, dominant lethal alleles can be maintained in the human population. Individuals with a family history of Huntington disease are typically offered genetic counseling, which can help them decide whether or not they wish to be tested for the faulty gene.

Genetic Mutations

Mutations can arise spontaneously from errors during DNA replication, or they can result from environmental insults such as radiation, certain viruses, or exposure to tobacco smoke or other toxic chemicals. Because genes encode for the assembly of proteins, a mutation in the nucleotide sequence of a gene can change the amino acid sequence and, consequently, a protein’s structure and function. Spontaneous mutations occurring during meiosis (creation of sperm and egg cells) are thought to account for many spontaneous abortions (miscarriages).

Beneficial and Harmful Mutations

Beneficial mutations help an organism to adapt to changes in the environment. As beneficial mutations increase an organism’s chances of survival and thus increase the chance to reproduce, they are likely to become more prevalent over time. In recent years, scientific interest has been piqued by the discovery of a few individuals from northern Europe who are resistant to HIV infection. In 1998, American geneticist Stephen J. O’Brien at the National Institutes of Health (NIH) and colleagues published the results of their genetic analysis of more than four thousand individuals. These results indicated that many individuals of Eurasian descent (up to 14 percent in some ethnic groups) have a deletion mutation, called CCR5-delta 32, in the gene encoding CCR5 (O’Brien & Nelson, 2004). CCR5 is a coreceptor found on the surface of T cells that is necessary for many strains of the virus to enter the host cell. The mutation leads to the production of a receptor to which HIV cannot effectively bind and thus blocks viral entry. People homozygous for this mutation have greatly reduced susceptibility to HIV infection, and those who are heterozygous have some protection from infection as well. Other examples include mutations that serve as protection against developing heart disease or diabetes, regardless of factors such as tobacco use or obesity.

In contrast, harmful mutations may result in harmful genetic disorders, such as cystic fibrosis, or a predisposition to develop cancer. Cancer is associated with mutations affecting genes that regulate the cell cycle during two main phases of this cycle, interphase and mitosis, allowing abnormal cells to proliferate into masses of cells. It is thought that a random change in DNA is more likely to result in a protein that does not function normally, or may not function at all, leading to a harmful effect (Mercadante & Kasi, 2023).

Types of Genetic Mutations

In genetic mutations, a change in the DNA sequence is conferred to mRNA through transcription, and may lead to an altered amino acid sequence in a protein on translation. Because proteins carry out the vast majority of cellular functions, a change in amino acid sequence in a protein may lead to an altered phenotype for the cell and organism. Mutations can be categorized in several ways. One that results from extraneous exposure is an induced mutation, and one that occurs due to processes within the body is a spontaneous mutation. Three major types of mutation are base substitutions, deletions, and insertions.

A base substitution, or point mutation, is when a single nucleotide in a DNA sequence is substituted by another nucleotide. Different types of point mutations include silent mutation, missense mutations, and nonsense mutations (Table 30.3).

Type of Mutation Definition Example
Silent mutation One single nucleotide in a DNA sequence is substituted by another, but has no effect on the codon, amino acid sequence, or protein produced. A DNA sequence is mutated from AGC to AGA, changing corresponding RNA from UCG to UCU. Because both codons translate to the same amino acid, the protein created remains the same.
Missense mutation One single nucleotide in a DNA sequence is substituted by another. This changes the codon to encode for a different amino acid sequence that may or may not alter the protein produced. In sickle cell disease, a single substitution in the beta-hemoglobin gene causes an alteration in the amino acid sequence and the protein produced, affecting the shape of red blood cells.
Nonsense mutation One single nucleotide in a DNA sequence is substituted by another. This converts a codon encoding an amino acid into a stop codon (a nonsense codon), resulting in the synthesis of a protein that is typically not functional. A nonsense mutation occurring in the gene that encodes the CFCR protein can lead to cystic fibrosis.
Table 30.3 Types of Point Mutations

Because codons are triplets of nucleotides, insertions or deletions in groups of three nucleotides may lead to the insertion or deletion of one or more amino acids and may not cause significant effects on the resulting protein’s functionality. However, a frameshift mutation, caused by insertions or deletions of a number of nucleotides that are not a multiple of three are extremely problematic because they cause a shift in the reading frame. Because ribosomes read the mRNA in triplet codons, frameshift mutations can change every amino acid after the point of the mutation. The new reading frame may also include a stop codon before the end of the coding sequence. Consequently, proteins made from genes containing frameshift mutations are nearly always nonfunctional.

An example of a frameshift mutation is fragile X syndrome, where about two hundred CGC nucleotide repeats are inserted to the FMR1 gene, making it nonfunctional. Another example is Prader-Willi syndrome, which is caused by the deletion of a portion of chromosome 15.

Germline Mutation

A germline mutation originates in the parent’s reproductive cells (eggs or sperm) and is generally passed into every cell of the offspring’s body. Germline mutation is implicated in the occurrence of genetically inherited predispositions for cancer. An example is Lynch syndrome, which is an inherited syndrome caused my germline mutations of the MLH1 and MSH2 genes; it is associated with colorectal cancer (Momma et al., 2019).

Somatic Mutation

A somatic mutation is any mutation that arises in cells at some point after fertilization and does not involve the germline. Somatic mutations are a normal part of the aging process, occurring throughout the life cycle. They may occur as spontaneous mutations or may be induced by environmental exposures, such as to ultraviolet radiation or toxic chemicals. Somatic mutations are associated with triggering the formation of cancer by affecting genes that have the potential to cause cancer, tumor-suppressor genes, and DNA repair mechanisms, therefore allowing tumor growth and survival (Miles & Tadi, 2023).

Nursing Practice Considerations

Competencies for nursing practice include nursing assessment and analysis of findings to identify risk factors. Steps in risk assessment can be summarized using the acronym RISK, beginning with the primary care nurse, as follows:

  • Thoroughly assess collected data related to personal and three-generation family histories, including any related ancillary or laboratory information along with findings of the physical exam.
  • Identify data to determine elements of risk.
    • Known genetic disorder in family
      • two affected immediate relatives (mother, father, siblings)
      • three or more affected parental relatives (grandparents, parents’ siblings)
      • risk factors on both sides of the pedigree
    • Early onset of disease (< 50–60 years old)
      • breast, ovarian, endometrial cancers
      • colon cancer
      • prostate cancer
      • coronary artery disease
      • type 2 diabetes
      • dementia
    • Sudden unexpected cardiac death
    • Ethnic predisposition
      • Black and African American—sickle cell disease
      • Ashkenazi Jewish—Tay-Sachs disease
      • Southeast Asian—alpha thalassemia
  • Select the level of probable risk of occurrence.
    • Average population risk
    • Moderate risk
    • High risk
  • Keep the patient informed.
    • Risk communication; likelihood of disease occurrence
    • Management strategies
      • improve health
      • reduce risk
    • Referrals
      • genetic specialist

(Montgomery, 2021)

Patient Resources and Education

On completion and review of the assessment, results should be shared and appropriate referrals provided. If a risk for an inherited disorder is identified, referrals may include genetic counseling and/or genetic testing. A genetic counselor will provide information about the genetic disorder of concern and discuss genetic testing and implications of positive results. Genetic testing may be used to determine whether there is a mutation present that may not occur until later in life, such as those related to MLH1 mutation. It can assist in identifying measures that may reduce the risk of disorder occurrence, strategies for management of care, and appropriate therapeutic interventions (Montgomery, 2021).

Citation/Attribution

This book may not be used in the training of large language models or otherwise be ingested into large language models or generative AI offerings without OpenStax's permission.

Want to cite, share, or modify this book? This book uses the Creative Commons Attribution License and you must attribute OpenStax.

Attribution information
  • If you are redistributing all or part of this book in a print format, then you must include on every physical page the following attribution:

    Access for free at https://openstax.org/books/medical-surgical-nursing/pages/1-introduction

  • If you are redistributing all or part of this book in a digital format, then you must include on every digital page view the following attribution:

    Access for free at https://openstax.org/books/medical-surgical-nursing/pages/1-introduction

Citation information

© Sep 20, 2024 OpenStax. Textbook content produced by OpenStax is licensed under a Creative Commons Attribution License . The OpenStax name, OpenStax logo, OpenStax book covers, OpenStax CNX name, and OpenStax CNX logo are not subject to the Creative Commons license and may not be reproduced without the prior and express written consent of Rice University.