Skip to ContentGo to accessibility pageKeyboard shortcuts menu
OpenStax Logo
Medical-Surgical Nursing

18.1 Disorders of the Eye

Medical-Surgical Nursing18.1 Disorders of the Eye
Search for key terms or text.

Learning Objectives

By the end of this section, you will be able to:

  • Discuss pathophysiology, risk factors, and clinical manifestations for ocular diseases and disorders
  • Describe the diagnostics and laboratory values for ocular diseases and disorders
  • Apply nursing concepts and plan associated nursing care for patients with ocular diseases and disorders
  • Evaluate the efficacy of nursing care for patients with ocular diseases and disorders
  • Describe the medical therapies that apply to the care of ocular diseases and disorders

Nurses need to possess knowledge about ocular disorders such as cataracts, glaucoma, and macular degeneration, as these conditions can significantly impair visual acuity and affect a patient's quality of life. By recognizing the signs and symptoms, nurses can promptly refer patients for specialized ophthalmic evaluation and treatment, promoting early intervention and preventing irreversible vision loss. Moreover, nurses must be well-versed in the administration of eye medications, understanding proper dosing, potential side effects, and appropriate patient education. With this knowledge, nurses can collaborate effectively with ophthalmologists and optometrists to provide optimal care and support to patients with ocular disorders, facilitating their recovery and adaptation to visual impairments.

Assessment of the Eye

The eye is a vital sensory organ, playing a fundamental role in a person's daily activities, independence, and overall quality of life. By conducting a comprehensive eye assessment, nurses can identify any abnormalities, changes, or potential disorders of the eye. Early detection of such disorders is critical in preventing or minimizing irreversible damage to the patient's vision. Deteriorating vision can also suggest underlying conditions. For example, both diabetes and hypertension can cause disease of the retina, or retinopathy. Certain medications, such as corticosteroids, can increase the risk of developing conditions like glaucoma or cataracts. By regularly assessing the eye, nurses can help to address such issues.

Anatomy and Physiology of the Eye

The eye consists of three layers: the outer fibrous layer, the middle vascular layer, and the inner neural layer (Ball et al., 2020) (Figure 18.2).

  • The outermost layer consists of the cornea and sclera. The cornea is a transparent, dome-shaped structure that refracts, or bends, and focuses light onto the retina. The sclera, or white of the eye, provides protection and maintains the shape of the eyeball.
  • The middle layer includes the iris, which—a bit like an onion—consists of multiple pigmented layers; each layer contributes to eye color. The muscles of the iris regulate the amount of light entering the eye through the pupil.
  • The innermost layer consists of the retina. The retina’s photoreceptor cells convert light into electrical impulses, which are then transmitted to the brain for visual interpretation.
lateral view of a human eye
Figure 18.2 This cross-section of a human eye reveals the key ocular structures and their various connections. (credit: modification of work from Anatomy and Physiology, 2e. attribution: Copyright Rice University, OpenStax, under CC BY 4.0 license)

When light enters the eye, it passes through the cornea, which refracts the light rays to focus them on the retina at the back of the eyeball. The lens, controlled by the ciliary muscles, adjusts its shape to further focus the light onto the retina. The retina has two types of photoreceptor cells: rods and cones. Rods are responsible for vision in low-light conditions, as well as peripheral vision. Cones are responsible for color vision and visual acuity. The rods and cones generate electrical impulses that travel through the neural layers of the retina to the optic nerve. The optic nerve then carries these electrical signals to the brain's visual cortex, which interprets the visual stimuli.

Nurses need to know and understand basic eye anatomy and physiology to perform an effective physical assessment. For example, knowing the sclera should generally be white helps a nurse identify redness, swelling, or streaks as abnormal. When using a penlight, a nurse will recognize whether both pupils are equally sized or whether the patient has anisocoria. When using an ophthalmoscope, a nurse will recognize a normal retina and be able to compare it to an abnormal one.

Physical Assessment

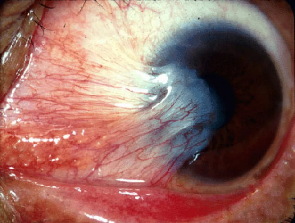
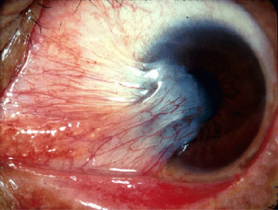
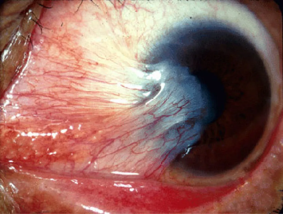
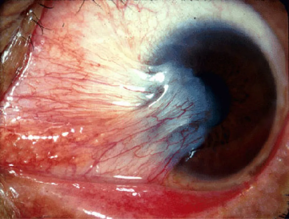
A comprehensive eye examination is important for early detection, assessment, and management of ocular disorders. The first step in an eye examination is to obtain a thorough patient history. This history should gather information about the patient's chief complaint, previous eye conditions or surgeries, family history of vision disorders, current medications, and any systemic conditions that may affect ocular health. It is also important to collect information on the patient’s occupation, hobbies, and exposure to environmental hazards, all of which may contribute to ocular disorders. For example, a pterygium—a raised thickening of the conjunctiva: the thin, clear membrane that covers and protects the eye—may be caused by the eye’s efforts to protect itself from environmental irritants such as wind, UV light, or dust (Figure 18.3).

Pterygium of the right eye
Figure 18.3 This pterygium of the right eye shows thickened tissue extending from the lateral side across the iris. (credit: “Pterygium” by Jonathan Trobe, M.D., University of Michigan Kellogg Eye Center/ Wikimedia Commons, CCBY 3.0)

When you think of an exam examination, you may imagine a Snellen chart, which shows the patient rows of letters of varying sizes. However, a complete eye examination has multiple components (Table 18.1).

Component Nursing Action Tools Disorders to Identify
Visual acuity Measure vision at different distances for each eye. Snellen chart Hyperopia
myopia
External eye exam Palpate structures surrounding the eye.
Inspect eyelids, eyelashes, conjunctiva, sclera, lacrimal glands, movement of eyelids, tear production, and presence of discharge.
Visual inspection
penlight
Infection
nerve disorders affecting the eyes
eye damage or trauma
Pupil assessment Assess size, shape, equality, and reaction to light.
Assess accommodation, or the eye’s ability to focus.
Visual inspection
penlight
Abnormalities such as anisocoria, sluggish or nonreactive pupils, or abnormal constriction or dilation may indicate underlying neurological or ophthalmic conditions.
Ocular motility Evaluate movements of both eyes. Penlight Nystagmus or muscle weakness may indicate underlying neurological or ocular abnormalities.
Intraocular pressure (IOP) Evaluate pressure behind the eyes. Tonometer Elevated IOP may warrant further evaluation by an ophthalmologist or optometrist.
Fundoscopic exam Dilate the eyes to view the fundus. Ophthalmoscope Disorders of the retina, optic disc, blood vessels, and macula
Table 18.1 Components of an Eye Assessment

Impaired Vision

Vision impairment encompasses a range of conditions that can significantly affect an individual's quality of life and independence. Although an ophthalmologist must make a detailed assessment of a patient’s vision, the nurse plays a crucial role in understanding and managing vision impairment. Nurses should understand the common causes of blindness, including cataracts, glaucoma, macular degeneration, diabetic retinopathy, and retinal detachment. They should also be aware of congenital conditions such as congenital cataracts or retinopathy of prematurity.

Real RN Stories

Nurse: Julietta
Years in Practice: 7
Clinical Setting: Primary care office
Geographic Location: Kansas City, KS

Julietta, a registered nurse, worked with Mr. Johnson, who was diagnosed with age-related macular degeneration (AMD), a progressive eye condition that can cause severe vision loss. Mr. Johnson was devastated and felt helpless as his visual impairment affected his independence and quality of life.

Julietta took the initiative to provide compassionate support. She engaged in therapeutic communication with Mr. Johnson, allowing him to express his fears and concerns about living with visual impairment. She provided information on low vision aids, such as magnifiers, large-print materials, and adaptive technologies that could enhance his remaining vision and promote independence. She connected Mr. Johnson with a local support group for individuals with visual impairments. She also arranged for a vision rehabilitation specialist to visit Mr. Johnson at home and assist with environmental modifications to enhance safety and navigation. Julietta collaborated closely with the interdisciplinary health-care team. She invited Mr. Johnson’s wife and children to participate in education sessions, teaching them how to provide appropriate support and understanding for someone with visual impairment.

Through the nurse’s holistic approach, Mr. Johnson's quality of life improved significantly. Despite his visual impairment, he regained a sense of independence and purpose.

Refractive Errors

Refractive disorders are common visual conditions that result from abnormalities in the eye's ability to refract light properly. Common ocular disorders include myopia (commonly called nearsightedness); hyperopia (commonly called farsightedness); astigmatism, or blurred vision; and age-related macular degeneration (AMD) (Table 18.2).

Disorder Definition Causes Diagnosis Treatment
Myopia (nearsightedness) Difficulty seeing distant objects clearly Genetics
Environmental factors
Eye strain
Anatomical changes
Visual acuity test
Retinoscopy
Autorefraction
Corrective contact lenses (orthokeratology)
Refractive surgery (LASIK)
Hyperopia (farsightedness) Difficulty seeing close objects clearly Insufficiently curved cornea
Aging
Damage to the lens
Visual acuity test
Retinoscopy
Autorefraction
Reading glasses
Surgery
Astigmatism Blurred vision Irregularly shaped cornea or lens Visual acuity test
Retinoscopy
Autorefraction
Corrective lenses
Age-related macular degeneration (AMD) Degenerative eye disease affecting the macula Unknown causes but attributed to aging, smoking, hypertension, or atherosclerosis Amsler grid test Treat the causative factor with, for example, antihypertensives, antihyperlipidemic, surgery, or intravitreal injections of anti-vascular endothelial growth factor (VEGF) medications to inhibit abnormal blood vessel growth.
Cataracts Clouding of the lens Aging
Congenital
Visual inspection Surgery to remove and replace lens
Glaucoma Blurred vision from high intraocular pressure Hypertension
Smoking
Aging
Tonometry Medicated eye drops
Diabetic retinopathy Blindness caused by overgrowth of vessels in the retina Chronic hyperglycemia
Hypertension
Retina scan Blood glucose control
Antihypertensive medications
Table 18.2 Common Ocular Disorders

Glaucoma

Glaucoma is a leading cause of irreversible blindness worldwide. This progressive eye disease is typically characterized by increased intraocular pressure (IOP), which can damage the optic nerve and lead to irreversible vision loss if left untreated. Lifelong management is necessary to preserve vision (Kanski & Bowling, 2020).

There are several causes of glaucoma. Some individuals develop glaucoma as they progress past the age of 60. Other individuals—particularly those with a family medical history of glaucoma—may be diagnosed before the age of 60. Pre-existing medical conditions such as diabetes and hypertension can trigger glaucoma development. Glaucoma can also be caused by chronic steroid use or previous eye injuries or surgeries. Understanding the pathophysiology of glaucoma is crucial for nursing professionals as it helps in recognizing early signs and symptoms; treating the condition as soon as possible minimizes vision loss.

Normal IOP is between 11 and 21 mm Hg and shifts throughout the day, with the lowest measurement being in the morning (Assi et al., 2021). It also commonly increases with aging but still should not measure greater than 21 mm Hg. Elevated IOP results when the balance is disrupted between the production and drainage of aqueous humor, a clear fluid inside the eye. This leads to an accumulation of fluid and increased pressure within the eye, which damages the optic nerve. Over time, this damage leads to the gradual loss of peripheral and central vision; if left untreated, it can lead to total blindness. It is important to note that whereas increased IOP is a significant risk factor, there are cases of glaucoma where optic nerve damage can occur even with normal IOP. Glaucoma can easily go untreated because early stages of peripheral vision loss can go unnoticed. It is often only when the central vision is affected that patients take steps to treat the illness. At that point, the lost vision can no longer be regained.

There are two general types of glaucoma: open-angle and closed-angle. In the most common type, open-angle glaucoma, the drainage angle between the cornea and the iris remains open, but the fluid outflow is impeded. In closed-angle glaucoma, the drainage angle suddenly becomes blocked, leading to a rapid increase in IOP and severe symptoms. Elevated IOP can lead to compression of and damage to the optic nerve fibers.

Clinical manifestations of glaucoma can vary depending on the type and stage of the disease. Common clinical manifestations of glaucoma include

  • blurred vision,
  • gradual loss of peripheral vision,
  • halos and glares around lights,
  • headaches around the temples or brow region,
  • optical nerve changes,
  • redness and discomfort in the eye(s), and
  • nausea, vomiting, and in some cases abdominal pain.

Assessment and Diagnostics

Assessment and diagnostics play a crucial role in identifying and managing glaucoma. The scope of nurses is supportive, as the optometrist or ophthalmologist makes the formal diagnosis. Nurses may administer medications, educate patients, collect a patient’s health history, and assess their symptoms, and even help with visual acuity testing.

Diagnostics and Laboratory Values

Glaucoma diagnosis primarily relies on clinical assessment and specialized eye examinations. There are no specific laboratory tests to diagnose glaucoma. However, certain diagnostic procedures and tests can provide valuable information to aid in the diagnosis and management of glaucoma. Testing includes tonometry, or the measuring intraocular pressure (IOP) (Figure 18.4), as well as visual field testing, optic nerve imaging, and measurements of the corneal thickness and blood flow.

Tonometry test for glaucoma
Figure 18.4 Tonometry is a test used to check for glaucoma. (credit: “Glaucoma Awareness” by Staff Sgt. Liliana Moreno/ U.S. Air Force, Public Domain)

Nursing Care of the Patient with Glaucoma

Treatment and management of glaucoma focus on reducing IOP to slow down or halt the progression of the disease. Early detection and proactive management can help prevent or delay vision loss. Treatment options include eye drops that lower IOP and prevent optic nerve damage, oral medications that lower IOP, laser therapy, and surgery. Regular monitoring of vision, adherence to treatment, and lifestyle modifications such as avoiding activities that increase IOP (like straining or exercising with a lowered head) are essential components of glaucoma management.

Regardless of the treatment plan, nurses should provide support and education, address concerns, and promote medication compliance to prevent disease progression and vision loss. Nurses should also be aware of complications that result from some treatment options. For example, a major category of medication for glaucoma is a beta blocker, which helps open the eye canals to decrease pressure. A side effect of beta blockers is a decrease in blood pressure if the medication is absorbed systemically. Consequently, it is important for nurses to regularly monitor the blood pressure of glaucoma patients treated with beta blockers.

Clinical Safety and Procedures (QSEN)

Quality Improvement Strategies to Guide Patient Care

The Quality and Safety Education for Nurses (QSEN) competencies are essential in guiding nursing practice and ensuring the provision of safe, quality care to patients. When working with patients with ocular disorders, nurses can apply the following QSEN competencies:

  • Patient-Centered Care: Nurses prioritize patient-centered care by considering the unique needs, preferences, and goals of patients with ocular disorders. They involve patients in the decision-making process, actively listen to their concerns, and provide education and support tailored to their specific condition.
  • Evidence-Based Practice: Nurses use evidence-based practice to inform their interventions and decision-making when caring for patients with ocular disorders. They stay updated with current research, guidelines, and best practices in the field of ophthalmology to provide the most effective and appropriate care.
  • Safety: Ensuring patient safety is of utmost importance when working with individuals with ocular disorders. Nurses assess environmental factors that may contribute to falls or accidents related to visual impairment.
  • Informatics: Nurses utilize informatics to manage and communicate patient information effectively when caring for patients with ocular disorders. They utilize electronic health records (EHRs) to document and retrieve patient data, including ophthalmic assessments, treatment plans, and medication administration records.
  • Teamwork and Collaboration: Collaboration is essential when caring for patients with ocular disorders, as it involves an interdisciplinary approach. Nurses work closely with ophthalmologists, optometrists, ophthalmic technicians, and other health-care professionals to provide comprehensive care.
  • Quality Improvement: Nurses embrace the competency of quality improvement to identify areas for improvement and implement changes in the care of patients with ocular disorders.

Medical Therapies and Related Care

Collaborative care and interprofessional communication are essential components of providing comprehensive treatment for patients with glaucoma. Given the multifaceted nature of glaucoma management, involving various health-care professionals in a collaborative, coordinated approach ensures optimal patient outcomes. Collaborative care involves the active participation of different health-care professionals working together to provide comprehensive and holistic care for patients with glaucoma.

Interdisciplinary Plan of Care

Taking on Glaucoma Care as an Interdisciplinary Team

The interdisciplinary plan of care for a patient with glaucoma includes a variety of health-care professionals who work together to coordinate care. Their goal is to provide continued care management and preventive measures to reduce progression of the disease and improve the patient’s quality of life. The interdisciplinary team includes the following members:

  • a pharmacist to manage medications and verify compatibility;
  • a social worker to coordinate post-discharge resources and referrals;
  • an occupational therapist to provide interventions as part of the vision rehabilitation team;
  • an ophthalmologist to manage and oversee the patient’s plan of care;
  • an optometrist to monitor and correct changes to the patient’s vision; and
  • a nurse educator to provide best practices for preventing disease progression and improving quality of life at home.

Nurses are pivotal members of the glaucoma care team. They assess patients, educate them about the disease, provide information on medication administration and side effects, and reinforce and promote adherence to treatment plans. Nurses also monitor IOP, administer eye drops, and provide guidance on proper technique. They play a vital role in patient education, emphasizing the importance of regular follow-up appointments, lifestyle modifications, and eye health maintenance. Nurses act as advocates, ensuring patients receive appropriate referrals, support, and access to resources.

Clinical Judgment Measurement Model

Recognize and Analyze Cues

Before a nurse can analyze cues to form a hypothesis, they must first make sure they have enough information about a patient’s situation to correctly interpret the information and develop a plan of care. Suppose you are educating a patient with diabetes on the need to get a yearly eye examination for early detection of glaucoma. You explain that eye examinations are a preventive measure that can reduce the risk of undiagnosed glaucoma. The patient is hesitant, due to lack of eye care insurance, and claims that yearly eye exams are unnecessary and a waste of money. You explain to the patient that any medical diagnosis that results in eye disease covers one yearly exam. You also explain that although glaucoma cannot be cured, medications can stop the progression and deterioration of vision if caught in the early stages.

In this situation the nurse recognized the patient did not oppose an eye exam but was instead concerned about their lack of vision insurance. Having obtained sufficient information, the nurse is able to address the patient’s concerns and develop the most appropriate plan of care.

Cataracts

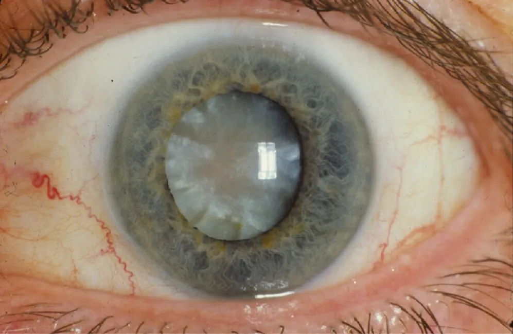
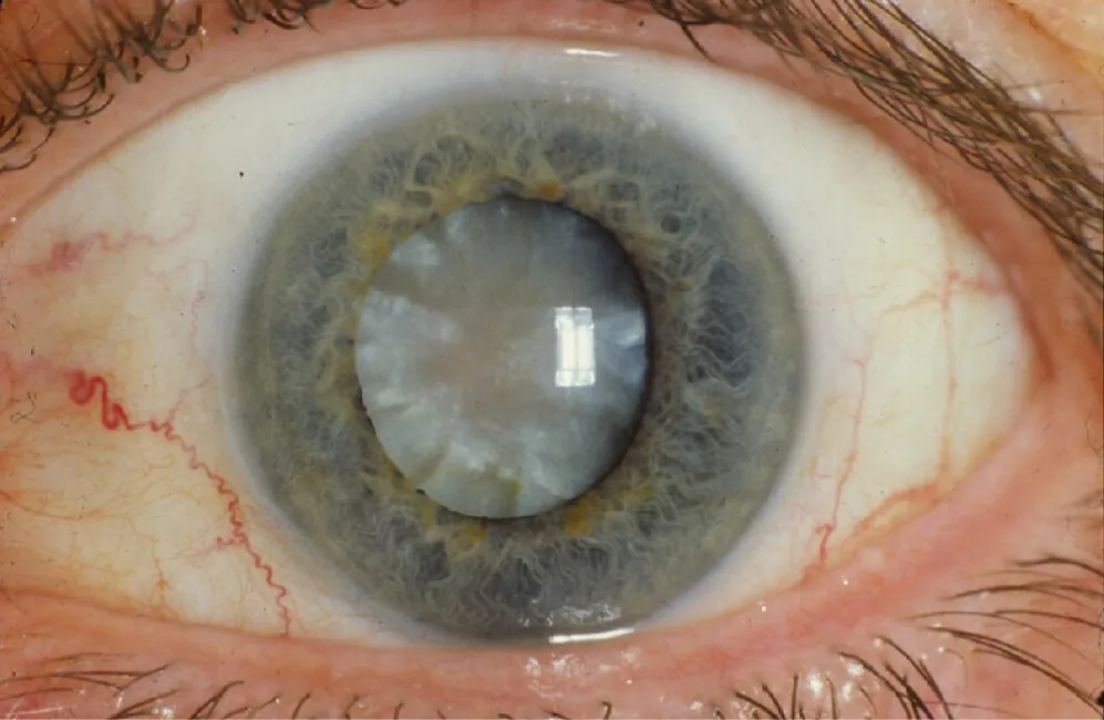
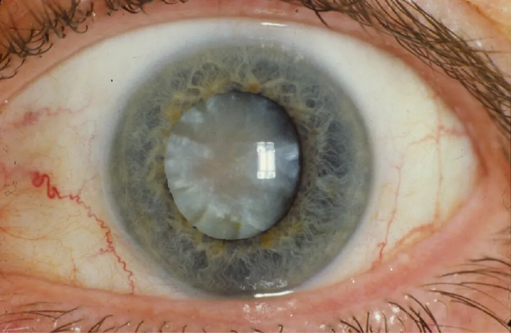
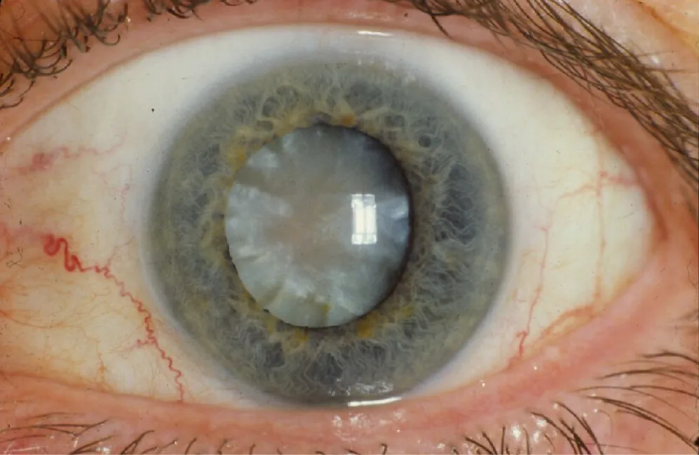
A cataract—the clouding of the lens within the eye—is another common vision disorder and a leading cause of impaired vision (Figure 18.5). Cataracts occur when the balance between water and proteins in the lens is disrupted. When this happens, the proteins undergo structural changes that cause them to clump together and aggregate. This aggregation clouds the lens, making it more difficult for light to pass through it. Consequently, the affected lens becomes increasingly opaque, leading to visual impairment.

Cataract
Figure 18.5 A cataract looks like an opaque circle in the center of the eye. (credit: “Cataract” by NIH Image Gallery/ Flickr, Public Domain)

The development of cataracts is often age-related, caused by factors such as long-term exposure to ultraviolet light, oxidative stress (periods of reduced oxygenation to the eye), or metabolic changes within the lens. However, younger people can also develop cataracts due to factors such as genetic predisposition, trauma, certain medications, or underlying medical conditions such as metabolic disorders. It is essential to note that the progression and impact of cataracts on vision can vary among individuals. Some may experience gradual deterioration over years, whereas others may notice more rapid changes. Common clinical symptoms associated with cataracts include

  • blurred vision,
  • increased sensitivity to glare,
  • difficulty perceiving colors and contrasts,
  • reduced night vision, and
  • altered depth perception.

Assessment and Diagnostics

The assessment and diagnostic process for cataracts involves a comprehensive evaluation of the patient's visual symptoms, a medical history, and a thorough eye examination (Table 18.3). Nurses play a vital role in assisting with this process by gathering relevant information, performing initial screenings, and collaborating with other health-care professionals.

Nursing Action Includes . . .
Take patient history
  • Medical history
  • Onset and duration of symptoms
  • Health conditions
  • Smoking history
  • Trauma
  • Medications
Assess symptoms
  • Vision changes
  • Sensitivity to light
  • Difficulty with night vision or depth perception
Test visual acuity
  • Use of Snellen chart and penlight
  • Test for accommodation and confrontation (visual field)
  • Test for cranial nerves 2, 3, and 6
Table 18.3 Cataract Assessment (Ball et al., 2020)

Diagnostics and Laboratory Values

The diagnosis of cataracts is primarily based on the patient's reported symptoms and a comprehensive eye examination by an optometrist or ophthalmologist. Lab tests are not typically used as primary diagnostic tools for cataracts.

Nursing Care of the Patient with Cataracts

Nurses play a role in coordinating care and ensuring optimal outcomes for individuals with cataracts. They do this by providing education about the condition, assisting with visual aids (e.g., glasses, magnifiers), and supporting patients through the surgical process if indicated. Collaborative care with ophthalmologists is vital to determine the appropriate treatment approach, which may involve cataract extraction surgery to replace the clouded lens with an artificial intraocular lens (IOL).

Nurses also help to develop a care plan, which involves reviewing and understanding the patient's medical history, visual assessment findings, and reported symptoms. The next step is to identify interventions and strategies to address the diagnosis. These may include helping the patient to adapt to visual changes, recommending regular eye examinations, promoting compliance with prescribed medications or eye drops, collaborating with the health-care team to arrange for surgical interventions, helping the patient to access necessary visual aids or devices, and educating the patient on lifestyle modifications to prevent further cataract progression. Once the plan of action has been established, the nurse should continue to evaluate outcomes and communicate regularly with the patient to determine if modifications are necessary. As always, nurses should aim to involve the patient in the decision-making process to promote patient-centered care.

Medical Therapies and Related Care

Medical therapies and collaborative care for cataracts involve a combination of conservative management strategies, patient education, and coordination with health-care professionals. Although cataract surgery remains the definitive treatment, medical therapies and collaborative care play a crucial role in managing the condition and optimizing visual function. Conservative management involves offering visual aids such as corrective glasses. Collaborative care includes involving the specialist who may plan for and perform any needed surgery.

Corneal Disorders

Common corneal disorders encompass a range of conditions that affect the transparent outermost layer of the eye, the cornea. These include corneal abrasion, corneal ulcer, keratoconus, and corneal dystrophies, all of which may cause vision distortions (National Eye Institute, 2024).

Corneal Abrasion

A corneal abrasion is the loss or disruption of the corneal epithelium, the outermost layer of the cornea. It can occur due to trauma, foreign bodies in the eye, or misused contact lenses. A corneal abrasion can produce eye pain, foreign body sensation, excessive tearing, redness, blurred vision, increased sensitivity to light, and conjunctival injection.

Corneal Ulcer

A corneal ulcer is an area of tissue breakdown in the cornea. It is usually caused by a bacterial, viral, or fungal infection. When the infection breaches the corneal epithelial barrier, it leads to inflammation and tissue damage. A corneal ulcer can produce severe eye pain, redness, sensitivity to light, blurred vision, foreign body sensation, and excessive tearing. Additionally, a corneal ulcer may present with a visible white or yellowish opacity on the cornea, along with surrounding corneal edema, or swelling.

Keratoconus

A progressive corneal disorder, keratoconus is characterized by the thinning and distortion of the cornea, resulting in a conical shape. The weakened corneal structure leads to corneal irregularities and astigmatism. The exact cause is unclear, but genetic factors and chronic eye rubbing may contribute. Patients with keratoconus often experience progressive myopia and astigmatism. Corneal scarring, corneal hydrops (sudden corneal swelling), and contact lens intolerance may develop as the condition advances.

Corneal Dystrophies

The corneal dystrophies are a group of inherited disorders characterized by abnormal deposits or changes in corneal structure. Patients with these conditions may experience gradual vision loss, corneal clouding, recurrent corneal erosions, sensitivity to light, and decreased visual acuity. In some cases, corneal dystrophies may lead to corneal opacities, irregular astigmatism, and visual distortion.

Assessment and Diagnostics

Like most other ocular disorders, the assessment and diagnostic process for corneal disorders involves a comprehensive evaluation of the patient's symptoms and medical history and a thorough ophthalmic examination. Testing for corneal disorders should include a visual acuity test and an external eye examination looking for signs of inflammation, swelling, discharge, or eyelid abnormalities. Patients may also require a slit lamp examination to assess the corneal surface for irregularities, opacities, infiltrates, lesions, ulcers, dystrophic changes, or signs of infection. Other necessary tests may include corneal topography imaging to map the corneal surface and tests to identify infections and guide appropriate antimicrobial treatment.

Nursing Care of the Patient with Corneal Disorders

Recognizing and analyzing cues of corneal disorders requires keen observation and assessment skills on the part of the nurse. Nurses can identify potential corneal disorders by listening to patient reports of eye pain, blurred vision, sensitivity to light, grittiness in the eye, or decreased visual acuity. With a physical assessment, nurses can observe the appearance of the conjunctiva and sclera, the transparency of the cornea, localized or diffuse redness, the presence of excessive tearing (epiphora) or ocular discharge, and irregularities or changes in corneal curvature. Patients may demonstrate eye rubbing or shielding their eyes from light. It is important to note that the assessment and analysis of cues should happen in conjunction with a comprehensive eye examination conducted by an eye care professional.

Medical Therapies and Related Care

Medical therapies for corneal disorders vary depending on the specific condition and its underlying cause. Table 18.4 lists some common medical therapies used in the management of corneal disorders.

Type of Management Examples Uses
Topical medications Antibiotics
  • Treat bacterial corneal infections
  • Prevent secondary infections in corneal ulcers
Antivirals
  • Treat viral corneal infections such as herpes simplex keratitis
Antifungals
  • Treat fungal infections
Anti-inflammatory agents (corticosteroids or NSAIDs)
  • Reduce inflammation and associated symptoms in certain corneal disorders
Lubricants and tear substitutes Artificial tears
  • Alleviate dryness
  • Soothe discomfort
  • Protect the cornea from further damage
Tear substitutes
  • Provide long-lasting lubrication to treat severe dry eye or inadequate tear production
More-complex treatments Bandage contact lenses
  • Protect the cornea
  • Promote healing
  • Improve patient comfort in conditions such as corneal erosions, recurrent corneal erosions, or persistent epithelial defects
Amniotic membrane transplantation (placement of a thin layer of dehydrated amniotic membrane onto the cornea)
  • Promote healing
  • Reduce inflammation
  • Improve corneal surface integrity in conditions like corneal ulcers or severe ocular surface diseases
Collagen cross-linking (application of riboflavin eye drops followed by ultraviolet light exposure)
  • Used primarily for the treatment of progressive keratoconus to strengthen the cornea and slow down the progression of the disease
Corneal transplantation (replacing the damaged cornea with a healthy donor cornea)
  • Used to treat advanced corneal disorders
  • Improve vision and restore corneal integrity when conservative measures fail
Table 18.4 Management of Corneal Disorders

Ocular and Orbital Trauma

Nurses should be familiar with common ocular and orbital trauma conditions to provide prompt and effective care. Table 18.5 lists some of the conditions that nurses should be knowledgeable about.

Condition Clinical Symptoms Nursing Actions
Chemical eye burn
  • Severe eye pain
  • Redness
  • Tearing
  • Blurred vision
  • Tissue damage
  • Eye irrigation with sterile saline or water
Orbital fracture
  • Periorbital swelling
  • Ecchymosis
  • Diplopia
  • Limited eye movement
  • Pain management
  • Application of cold compress to reduce swelling
  • Eye protection
  • Immediate referral for ophthalmic evaluation
Hyphemia
  • Blood in the anterior chamber of the eye
  • Eye pain
  • Decreased vision
  • Photophobia
  • Strict bed rest
  • Elevation of head of bed (HOB)
  • Administration of prescribed medications (topical corticosteroids)
Globe rupture
  • Severe eye pain
  • Decreased vision
  • Blood in eye
  • Application of rigid eye shield
  • Elevation of HOB
  • Administration of IV antibiotics
  • Consultation with ophthalmic specialist
Blowout fracture
  • Periorbital edema
  • Ecchymosis
  • Restricted eye movement
  • Infraorbital numbness
  • Pain
  • Pain management
  • Application of cold compress
  • Eye protection
Table 18.5 Common Ocular and Orbital Trauma Conditions (Yanoff & Duker, 2018)

Assessment and Diagnostics

Following the collection of a patient history and physical exam of the eyes and orbits of the eyes, nurses should obtain a detailed history of the trauma, time of occurrence, and any associated symptoms. The physical examination should include inspection for signs of injury such as swelling, ecchymosis, deformities, lacerations, and symptoms like pain, as well as changes in visual acuity, signs of orbital or globe penetration, and diplopia (or “double vision”). Nurses should also evaluate eye movements, visual acuity, pupillary reactions, and extraocular muscle function. It is also important to conduct a visual acuity test and examine the anterior and posterior segments of the eye.

Diagnostic tests that may be necessary for ocular and orbital traumas include x-rays to identify fractures or foreign bodies in the orbit or eye socket, computed tomography (CT) scans to check for hemorrhage and globe ruptures, and magnetic resonance imaging (MRI) to assess for soft tissue injuries and nerve involvement or to rule out associated intracranial pathology. Other tests include measuring IOP and using ultrasonography to check for globe rupture, intraocular hemorrhage, or retinal detachment. In some cases, providers order blood tests, such as a complete blood count (CBC) or coagulation profile, to assess for bleeding disorders or evaluate the extent of systemic involvement in traumatic injuries.

Nursing Care of the Patient with Ocular and Orbital Trauma

When providing care for patients with ocular and orbital trauma, nurses play a crucial role in implementing appropriate nursing interventions. Throughout the period of assessment and treatment, nurses listen carefully to the patient's self-reported symptoms, concerns, and observations. They should pay attention to nonverbal cues, such as facial expressions, body language, and signs of distress. It is important to also document all assessment findings, including objective data, subjective complaints, and changes in the patient's condition over time. Any significant cues or changes should be promptly and accurately reported to the health-care team. Vigilant and attentive assessment of cues can assist nurses in ensuring timely interventions, preventing complications, and optimizing outcomes for patients with ocular or orbital trauma.

After the nurse has collected and analyzed data, the nurse will move to prioritize possible diagnoses and plan appropriate interventions. The specific interventions may vary depending on the severity and nature of the injury. Table 18.6 lists some general nursing interventions for ocular and orbital trauma.

Nursing Action Notes
Assess and monitor
  • Document vital signs.
Manage pain
  • Use pain assessment tools.
  • Apply cold compresses to reduce swelling.
Protect eye
  • Use eye patch, shield, or cup to protect from further trauma.
Maintain proper positioning
  • Keep HOB above 30 degrees to minimize edema.
  • Support with pillows.
Promote eye care and hygiene
  • Use eye irrigation and cleaning as needed.
Administer medication
  • Properly apply eye drops or ointments.
Educate patient
  • Teach patient to avoid rubbing the eye.
Assist with ADLs
  • Help patient with grooming, dressing, and eating to promote independence and comfort.
Offer emotional support
  • Offer support for impaired vision.
  • Include family members in the recovery process.
Collaborate with health-care team
  • Collaborate with ophthalmologists, ophthalmic specialists, and other health-care professionals to ensure coordinated care and timely interventions.
Table 18.6 Nursing Interventions for Ocular and Orbital Trauma (Yanoff & Duker, 2018)

Evaluation of Nursing Care for the Patient with Ocular and Orbital Trauma

Part of evaluating outcomes requires the continuous collection of data from the patient. This means measuring the response of the patient to the nursing interventions—for example, with visual acuity testing, ophthalmic examinations, pain assessments, and observations of the healing process. All data—including any changes from the baseline assessment—should be carefully documented, allowing the nurse to compare the collected data to the established expected outcomes. Based on the evaluation of outcomes and collaboration with the health-care team, nurses can assist in modifying the care plan, as necessary.

Medical Therapies and Related Care

Medical therapies and collaborative care for ocular and orbital trauma involve an interdisciplinary approach to address the specific needs of the patient. Table 18.7 lists some common medical therapies and collaborative care strategies for ocular and orbital trauma.

Therapy or Strategy Description
Ophthalmologic consultation
  • For diagnosis and treatment
Pharmacological interventions
  • Topical antibiotics or ointments
  • Analgesics
  • NSAIDs
Surgical interventions
  • To repair lacerations, ruptures, or orbital trauma
Wound management
  • To ensure proper healing
Pain management
  • Cold compresses
  • Elevation of head
  • Relaxation techniques
Visual rehabilitation
  • Visual aids
  • Adaptive techniques
Patient education and support
  • Eye care
  • Eye hygiene
  • Safety measures
Table 18.7 Medical Therapies and Collaborative Care Strategies for Ocular and Orbital Trauma (Yanoff & Duker, 2018)

Other Common Ocular Disorders

In addition to refractive or trauma disorders, other common ocular disorders include conjunctivitis, retinal vascular disorders, dry eye, retinitis, trauma, and diabetic retinopathy.

Conjunctivitis

Commonly known as “pink eye,” conjunctivitis is the inflammation of the conjunctiva. Conjunctivitis can have various causes, including viral, bacterial, or allergic reactions. Viral conjunctivitis is commonly caused by adenovirus, whereas bacterial conjunctivitis is often caused by Staphylococcus aureus, Streptococcus pneumoniae, or Haemophilus influenzae. Allergic conjunctivitis occurs due to an immune response triggered by allergens such as pollen, dust mites, or pet dander. Patients with conjunctivitis often experience redness in the eye, eye discharge, itching and irritation, tearing, swelling, and sensitivity to light.

The diagnosis of conjunctivitis is primarily based on a thorough patient history and clinical examination. Specific diagnostic tests may include visually inspecting the eye, obtaining and analyzing microbiological cultures, and testing for allergies. The choice of medical treatment for conjunctivitis depends on the underlying cause. Viral conjunctivitis, for example, is self-limiting and resolves without specific treatment. To alleviate symptoms, patients can use cold compresses, artificial tears, and good hygiene practices, such as washing their face and eyes daily. For bacterial conjunctivitis, patients typically are administered topical antibiotic eye drops or ointments. Allergic conjunctivitis is usually treated with antihistamine eye drops, mast cell stabilizers, or corticosteroid eye drops. Nurses play an important role in the care of patients with conjunctivitis by educating patients on the condition and the importance of good hygiene practices and compliance with medication regimens.

Retinal Vascular Disorders

A retinal vascular disorder is any condition that affects the blood vessels supplying the retina. These disorders comprise two main types: occlusive and proliferative. Occlusive disorders involve the obstruction or narrowing of retinal blood vessels, whereas proliferative disorders are characterized by the abnormal growth of new blood vessels in the retina. Common consequences of retinal vascular disorders include blurred vision, floaters (spots or lines in the field of vision), or sudden vision loss. These symptoms may have a variety of causes.

  • Retinal hemorrhages happen when damaged blood vessels bleed in the retina.
  • Retinal ischemia, or inadequate blood flow to the retina, results in altered metabolic function due to the lack of oxygen flow. Examples of damage include reduced visual acuity, visual field defects, or even complete vision loss.
  • Neovascularization is the growth of abnormal blood vessels on the retina's surface.

The diagnosis of retinal vascular disorders involves a comprehensive evaluation and may include visual acuity testing, ophthalmoscopy, optical coherence tomography (OTC), and fluorescein angiography (a test that uses a camera and dye to assess blood vessels in the eye). Depending on the specific condition, retinal vascular disorders may be treated with a variety of procedures including laser photocoagulation, intravitreal injections, and retinal detachment repair.

To manage retinal vascular disorders, it is important to address any underlying conditions, such as controlling blood pressure, blood glucose levels, or cholesterol levels. Nurses can help by providing patient education and visual and emotional support and by facilitating collaboration within the health-care team.

Dry Eye

Dry eye, also known as keratoconjunctivitis sicca, is a common ocular disorder characterized by insufficient tear production or poor tear quality, leading to dryness and discomfort of the eyes. Dry eye results from an imbalance between tear production and tear evaporation. In dry eye, there may be decreased tear production from the lacrimal glands or increased evaporation of tears due to factors such as reduced lipid layer integrity. This results in an unstable tear film, leading to dryness, inflammation, and irritation of the ocular surface. Signs and symptoms of dry eye include:

  • blurred vision,
  • burning,
  • dryness,
  • excessive tearing,
  • foreign body sensation,
  • redness,
  • scratchiness, and
  • sensitivity to light.

The diagnosis of dry eye is typically based on clinical evaluation and patient history. Specific diagnostic tests may include tests that measure the amount of tear production and irregularities on the ocular surface.

The medical treatment of dry eye aims to alleviate symptoms, improve tear film stability, and promote ocular surface health. This can be done with artificial tears to lubricate the eyes, topical medications to reduce inflammation, plugs to reduce tear drainage, moisture chamber glasses to reduce evaporation. Nurses can support patients with dry eye by educating patients on proper eye hygiene and the importance of consistently using prescribed artificial tears or medications.

Ocular Tumors

Ocular tumors refer to abnormal growths that occur within the structures of the eye. These tumors can develop in various parts of the eye, including the retina, iris, choroid, or conjunctiva. Ocular tumors result from the uncontrolled proliferation of cells within the eye. These tumors can be either benign or malignant. Malignant tumors have the potential to invade surrounding tissues and spread to other parts of the body, known as metastasis. The specific type and location of the tumor determines its effects on ocular function and the overall prognosis. Common signs and symptoms of the presence of ocular tumors include blurred vision or vision loss, eye pain and discomfort, redness and swelling, abnormal eye movements, and the presence of a visible mass on the eye. To diagnose the presence of ocular tumors, health-care specialists use visual acuity testing, ophthalmoscopy to examine the structure of the eye, biopsies to analyze the tumor itself, and different types of imaging, such as CT and MRI, to identify and evaluate the extent of the tumor.

The treatment of ocular tumors depends on various factors, including the type, location, size, and stage of the tumor. Treatment options may include

  • surgically removing the tumor with the assistance of advanced technologies, such as laser or cryotherapy;
  • using high-energy radiation to target and destroy cancer cells in the eye;
  • using chemotherapy to kill cancer cells or inhibit their growth; and
  • using specialized medications designed to specifically target cancer cells while minimizing damage to healthy cells.

Nursing interventions for patients with ocular tumors focus on providing comprehensive care and support throughout the treatment process. Nurses should assist in providing patients and their families with information about the diagnosis, treatment options, and potential side effects.

Cytomegalovirus Retinitis

The ocular infection caused by the cytomegalovirus (CMV) that primarily affects the retina is CMV retinitis. It occurs most commonly in individuals with weakened immune systems, such as those with advanced human immunodeficiency virus (HIV) and acquired immunodeficiency syndrome (AIDS), organ transplant recipients, or individuals receiving immunosuppressive therapy. The virus can spread to the retina through the bloodstream, leading to inflammation and damage to the retinal cells. If left untreated, CMV retinitis can progress to cause retinal detachment and vision loss. Patients with CMV retinitis may experience blurred vision, floaters, dark spots or flashes of light, and vision loss.

The diagnosis of CMV retinitis involves a combination of clinical evaluation and specialized tests.

  • Ophthalmoscopy is the examination of the retina using an ophthalmoscope to visualize characteristic signs of CMV retinitis, such as areas of retinal inflammation, hemorrhages, or retinal detachment.
  • Fluorescein angiography is the injection of a fluorescent dye into the bloodstream, followed by the capturing of sequential images of the retina. This test helps identify abnormal blood vessel growth, leakage, and areas of compromised blood flow.
  • Polymerase chain reaction (PCR) is a laboratory test that detects and amplifies the genetic material of the CMV virus to confirm the presence of active infection.

The medical treatment of CMV retinitis aims to control viral replication, manage inflammation, and preserve vision. The condition can be treated with antiviral medications such as ganciclovir, valganciclovir, or foscarnet to inhibit CMV replication and reduce the progression of retinal damage. Nurses can assist in the treatment process by supporting patients in managing their symptoms and educating patients on treatment options and the value of proper medical adherence and follow-up visits.

Diabetic Retinopathy

Diabetic retinopathy is a progressive eye disease that affects individuals with diabetes. It results from long-standing high blood sugar levels and is a leading cause of visual impairment and blindness. Prolonged exposure to high blood sugar levels causes blood vessel abnormalities, including weakened vessel walls, leakage, and the formation of new, fragile blood vessels. These changes disrupt the normal blood supply to the retina, leading to ischemia (decreased tissue perfusion) and subsequent tissue damage. Patients with diabetic retinopathy can experience blurred vision, floaters, blind spots, or vision loss and have difficulty perceiving colors accurately.

The diagnosis and monitoring of diabetic retinopathy involve several specialized tests, including a dilated eye examination, a visual acuity test, fundus photography to monitor changes in the blood vessels, a fluorescein angiography to identify areas of abnormal blood vessel growth, and optical coherence tomography (OCT) to observe the retinal thickness and the presence of fluid or swelling.

The medical treatment of diabetic retinopathy aims to manage the underlying diabetes and prevent or slow down the progression of retinal damage. This can be accomplished by managing the patient’s blood sugar, blood pressure, and cholesterol through lifestyle changes and medications. Here are some other treatments.

  • Medications such as anti-vascular endothelial growth factor (anti-VEGF) agents or corticosteroids are injected into the vitreous gel of the eye to reduce retinal swelling, prevent abnormal blood vessel growth, and improve visual outcomes.
  • Laser photocoagulation is a procedure that uses a laser to treat areas of leaking blood vessels or create small burns on the retina to promote the regression of abnormal blood vessels and the reduction of edema.
  • Surgery to remove the vitreous gel (vitrectomy) or repair the retina may be necessary in advanced cases with significant vitreous hemorrhage or retinal detachment.

Visual Changes Due to Hypertension

Chronic hypertension can lead to vascular changes, including arteriosclerosis and endothelial dysfunction, which can affect the small blood vessels in the retina and optic nerve. These changes disrupt the normal blood flow and oxygen supply to the eye structures, leading to various visual problems, such as blurred vision, visual field defects, retinopathy, diplopia, and optic neuropathy in severe cases.

Assessing visual changes related to hypertension often involves a comprehensive eye examination by an ophthalmologist or optometrist, a fundoscopy to examine the retina and blood vessels, an optical coherence tomography to view cross-sectional images of the retina and optic nerve, and regular blood pressure monitoring to evaluate the severity and control of hypertension. Treating visual changes related to hypertension involves managing blood pressure with lifestyle changes around diet and exercise as well as using antihypertensive medications such as angiotensin-converting enzyme (ACE) inhibitors, angiotensin II receptor blockers (ARBs), beta-blockers, diuretics, or calcium channel blockers.

Life-Stage Context

Age-Related Considerations in Ocular Disorders

Age-related ocular disorders, such as cataracts, macular degeneration, and glaucoma, are more prevalent among older adults. Nurses should be aware of the unique challenges and physiological changes that occur with aging, such as decreased visual acuity, reduced contrast sensitivity, and increased susceptibility to eye conditions. Providing additional support, patient education, and appropriate visual aids can improve communication and ensure patient safety.

Pediatric patients with ocular disorders require special attention. Nurses must adapt their communication techniques and provide age-appropriate explanations to children and their caregivers. Collaboration with pediatric ophthalmologists and child life specialists can help alleviate anxiety and facilitate child-friendly interventions.

Citation/Attribution

This book may not be used in the training of large language models or otherwise be ingested into large language models or generative AI offerings without OpenStax's permission.

Want to cite, share, or modify this book? This book uses the Creative Commons Attribution License and you must attribute OpenStax.

Attribution information
  • If you are redistributing all or part of this book in a print format, then you must include on every physical page the following attribution:

    Access for free at https://openstax.org/books/medical-surgical-nursing/pages/1-introduction

  • If you are redistributing all or part of this book in a digital format, then you must include on every digital page view the following attribution:

    Access for free at https://openstax.org/books/medical-surgical-nursing/pages/1-introduction

Citation information

© Sep 20, 2024 OpenStax. Textbook content produced by OpenStax is licensed under a Creative Commons Attribution License . The OpenStax name, OpenStax logo, OpenStax book covers, OpenStax CNX name, and OpenStax CNX logo are not subject to the Creative Commons license and may not be reproduced without the prior and express written consent of Rice University.