Skip to ContentGo to accessibility pageKeyboard shortcuts menu
OpenStax Logo
Medical-Surgical Nursing

15.3 Hemorrhagic Stroke

Medical-Surgical Nursing15.3 Hemorrhagic Stroke
Search for key terms or text.

Learning Objectives

By the end of this section, you will be able to:

  • Discuss the pathophysiology, risk factors, and clinical manifestations for hemorrhagic stroke
  • Describe assessment and diagnostics in hemorrhagic stroke
  • Apply nursing concepts and plan associated nursing care for the patient with a hemorrhagic stroke
  • Evaluate the efficacy of nursing care for the patient with a hemorrhagic stroke
  • Describe the medical therapies that apply to the care of a patient with a hemorrhagic stroke

A hemorrhagic stroke is less common than an ischemic stroke but often more devastating and debilitating; it is also much more likely to be fatal (Cleveland Clinic, 2022). A hemorrhage is a bleed, which can be from a rupture or leak in a cerebral vessel, either within the brain or around the brain. Bleeding in either location can take up room in the finite space of the skull, causing increased cerebral pressure and cerebral edema. This change in volume puts pressure on the brain and increases the intracranial pressure (ICP); increased pressure inside the cranium can result in neurological damage. Refer to Chapter 17 Nervous System and Chronic Diseases of the Nervous System for more details on ICP. Bleeds tend to expand quickly, so the patient’s neurological status could change as well. Once again, the adage “time is brain” rings true: The faster a person can receive treatment, the lesser the damage and the better the outcome.

Pathophysiology

A hemorrhagic stroke is caused by the absence of proper perfusion to the cells of the brain, resulting from a rupture of either a vessel within the cerebral vasculature or around the brain. A hemorrhage, or bleed, in the cranium is called an intracranial hemorrhage. If the intracranial hemorrhage is within the cerebral vasculature, it is an intracerebral hemorrhage (ICH). A bleed that occurs in the subarachnoid space directly surrounding the brain but still under the skull is called a subarachnoid hemorrhage (SAH) (Figure 15.8).

A diagram of a hemorrhagic stroke, labeling Subarachnoid hemorrhage and Intracerebral hemorrhage.
Figure 15.8 A hemorrhagic stroke is blood found between the various meninges or within the brain itself. The two different types of hemorrhagic stroke are an intracerebral hemorrhage (ICH), which is a bleed inside the brain, and a subarachnoid hemorrhage (SAH), which is a bleed in the area surrounding the brain. (attribution: Copyright Rice University, OpenStax, under CC BY 4.0 license)

Intracerebral hemorrhages are most often caused by hypertension. Over time, hypertension can degrade vessels, and the increased pressure within the vessel can cause the weakened vessel to burst. The small vessel disease arteriosclerosis also increases ICH risk by changing the vessel walls into stretched and weakened versions of themselves, increasing the risk of rupture. Finally, ICH may be caused by cerebral amyloid angiopathy (CAA), which is a disease that increases the fragility of the cerebral vessels, making them prone to bleeding. Arteriosclerosis and CAA are generally age related, whereas hypertension can develop at any age.

Patients taking anticoagulants or antiplatelets are at risk for ICH because their blood is “thinner,” meaning that clotting times are increased. This makes a bleed from a vessel more likely to occur. Likewise, those who have chronic liver disease are also at greater risk for an ICH because of the associated coagulopathy and thrombocytopenia. Heavy alcohol use and cigarette smoking, as well as substance use (particularly of sympathomimetic drugs like cocaine, heroin, and methamphetamine), increase ICH risk. Cerebral trauma and bleeding from a brain tumor can cause ICH, as well as aneurysm ruptures and arteriovenous malformations. However, the latter two are more likely to cause SAHs (or subarachnoid hemorrhages).

SAH is most often caused by a just-ruptured aneurysm, a thinned or weakened spot in the vasculature that balloons and fills with blood. Another common cause is arteriovenous malformation (AVM), an abnormal formation of blood vessels in which the arteries and veins can become tangled and form connections. AVMs can rupture and cause uncontrolled bleeding. SAH also occurs in cases of vasculitis and cerebral artery dissection. People at increased risk for SAH are those with hypertension or substance use disorders, as well as those who are pregnant or use estrogen-containing oral contraceptives.

Modifiable risk factors for hemorrhagic stroke are:

  • hypertension
  • smoking
  • alcohol consumption
  • antiplatelet or anticoagulant therapy
  • sympathomimetic drug usage

Nonmodifiable risk factors for hemorrhagic stroke include:

  • assigned male at birth
  • advanced age
  • Asian ethnicity
  • chronic kidney disease
  • cerebral amyloid angiopathy (CAA)

Clinical Manifestations

The clinical presentation of a hemorrhagic stroke may mimic that of an ischemic stroke because the same areas of the brain may be deprived of proper perfusion, resulting in the same deficits. The nurse is likely to observe aphasia, hemiplegia, dysphagia, and sensory changes. The deficits a patient displays depend on the location and size of the bleed. Because of the nature of a hemorrhage within the brain, a bleed is also likely to cause additional signs and symptoms that reflect the change in volume within the closed space of the skull. These include:

  • decreased level of consciousness or coma
  • thunderclap headache, a severe, sudden headache that peaks in intensity in seconds, lasts at least five minutes, and lingers and fades within a few hours
  • vomiting
  • seizure activity
  • neck stiffness or pain
  • photophobia
  • increases in blood pressure

Real RN Stories

Nurse: Margaret, RN
Years in Practice: Two
Clinical Setting: Adult emergency room
Geographic Location: Urban

I have worked as an emergency room (ER) nurse for two years now. I commonly see patients coming in to be treated for unrelieved severe headaches. Most of time the headaches are diagnosed and treated as migraines. These often coincide with electrolyte imbalances or dehydration. Occasionally some of these patients’ headaches include additional symptoms and are the result of meningitis or other infections.

One day, a 62-year-old male was brought in by ambulance. He complained of the worst headache of his life, which had started only a half an hour before and become so severe that his coworkers called 911 for emergency response. The EMTs reported vital signs of BP: 266/120, HR: 98, RR: 22, and SpO2: 96 percent on room air. The patient was afebrile and had no other deficits.

I used clinical judgment to recognize cues of the headache’s immediate onset and severity and to analyze the patient’s vital signs. I then hypothesized that the patient could be experiencing a thunderclap headache. I knew thunderclap headaches are a symptom of hemorrhagic stroke. Taking action, I immediately notified the stroke response team and prepared to transport the patient for head CT upon arrival. Whether nurses are novice or experienced, critical thinking is imperative to providing quality patient care.

(Sekhon et al., 2023)

Blood accumulates most rapidly in the first four hours after initial leak or rupture, but expansion continues up to twenty-four hours. Though the initial injury in ICH is vessel damage, further damage can be caused by blood leakage and increased ICP, evolving cerebral edema, and ischemia that may linger for days or weeks (Hickey & Strayer, 2020). Complications can include inflammation, vascular compression, ventricular compression, brain herniation, brainstem compression causing cardiorespiratory failure, and blood product toxicity.

Assessment and Diagnostics

It may not be possible to differentiate hemorrhagic stroke from ischemic stroke based on clinical manifestations alone. Hemorrhagic stroke presentation is acute and progresses rapidly. A thorough neurological assessment is critical, but diagnostic tests—including imaging and laboratory testing—are necessary to determine the type and cause of the stroke.

Obtaining and monitoring for changes in vital signs are important assessments. Hemorrhagic strokes often result from increased blood pressure and can continue to rise because of factors triggered by the bleed, such as elevated ICP, stress response, and damage to the central autonomic center. The evolving nature of the hemorrhage and cerebral edema can cause continued and rapid deterioration in neurological status. Neurological exams should be conducted regularly to monitor symptoms.

Decreases in level of consciousness associated with hemorrhagic stroke can be assessed using the Glasgow Coma Scale (GCS) (Table 15.4), which rates impairment of consciousness by scoring in three areas: eye opening, verbal response, and motor response. A completely unimpaired score is 15, and the lowest possible score is 3. Due to the evolving nature of the bleed and cerebral edema associated with hemorrhagic stroke, GCS may decrease as the stroke progresses—sometimes very rapidly. GCS must be reassessed at regular intervals.

Category Score
Eye opening 4: Spontaneously
3: To speech
2: To pain
1: No response
Verbal response 5: Oriented to time, person, and place
4: Confused
3: Inappropriate words
2: Incomprehensible sounds
1: No response
Motor response 6: Obeys command
5: Localizes pain
4: Withdraws from pain
3: Abnormal flexion
2: Abnormal extension
1: No response
Table 15.4 Glasgow Coma Scale

Several additional scales exist for classifying ICH and SAH. They describe severity, prognosticate, or assess surgical risk. Table 15.5 lists three scales that are commonly used. Which scale is used depends on institutional protocol.

Scale Name Purpose
Intracerebral hemorrhage (ICH) score To standardize ICH rating for improved communication
Hunt and Hess classification To assess SAH severity; to predict mortality
Fisher scale
Modified Fisher scale
To index risk for vasospasm and delayed cerebral ischemia related to vasospasm after SAH
Table 15.5 Classification Scales for ICH and SAH

Diagnostics and Laboratory Values

Laboratory studies in hemorrhagic stroke mainly serve to find the reason for the bleed. Studies often include:

  • complete blood count (CBC) and basic metabolic panel (BMP), blood glucose, and electrolyte levels to determine if underlying medical complications are present;
  • prothrombin time (PT), international normalized ratio (INR), partial thromboplastin time (PTT), and clotting factor Xa to measure clotting times;
  • liver and renal function tests to look for hepatic or renal cause;
  • inflammatory markers produced in patients with CAA;
  • urine toxicology screen to test for the presence of drugs in the system;
  • pregnancy test for patients capable of becoming pregnant because pregnancy increases the risk of brain bleeds because of changes in circulating blood volume, hormonal changes, water retention, and hemostatic system changes.

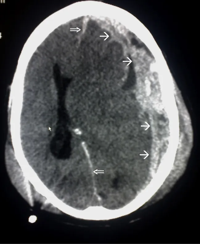
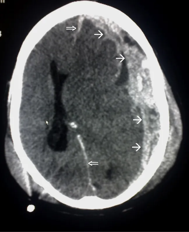
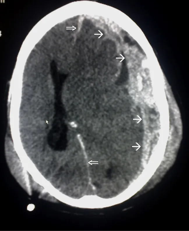
Diagnostic imaging for hemorrhagic stroke always begins with a non-contrast head CT. A head CT is the first imaging done in response to the signs and symptoms of a stroke because it determines whether a bleed is present, dictating the course of treatment. When a bleed is present, an MRI can be used to investigate further. An MRI can be useful in measuring the volume of the hematoma; differentiating between primary hemorrhage and hemorrhagic transformation of pre-existing ischemic stroke; and identifying underlying causes of the bleed, such as AVMs, tumors, and vascular disease. Serial imaging monitors for changes in hematoma and edema, as well as the possible mass effect (compression of and injury to surrounding brain tissue because of the hematoma), midline shift (a displacement of brain tissue across the midline, shown in Figure 15.9), and the development of hydrocephalus (an increase in cerebrospinal fluid in the ventricles of the brain). Computerized tomography angiography (CTA) allows for visualization of hematoma expansion and the “spot sign” that shows active contrast extravasation and indicates active hematoma expansion. Ongoing bleeding evidenced in CTA is associated with higher fatality rates (Unnithan et al., 2023).

A CT image showing a midline shift due to a hematoma.
Figure 15.9 This CT image shows a midline shift (double arrows) due to a hematoma (single arrows). The brain tissue has been displaced so that the center, or midline, of the brain is no longer in the middle. (credit: Trauma subdural arrows by Glitzy queen00/Wikimedia Commons, Public Domain)

Finally, cerebral angiography may be performed to detect an aneurysm; this is the definitive diagnostic tool used. An AVM, or arteriovenous malformation, diagnosis can be made with cerebral angiography, too. In this procedure, the provider inserts a catheter into the patient’s artery at the wrist or groin to explore the vessels of the neck and head. The aneurysms and malformations can be visualized, and the provider may intervene during the procedure. One intervention performed is a coil embolization for a ruptured aneurysm, described later in the chapter.

Nursing Care of the Patient with Hemorrhagic Stroke

A nurse on a neurological unit has an admission from the ICU: a patient who is three days post-hemorrhagic stroke. The next sections describe how the nurse uses clinical judgment in the case.

Recognizing and Analyzing Cues

The nurse performs an initial assessment on the patient and obtains vital signs. Vital signs are all within normal limits. The nurse notes the blood pressure is 128/88; looking at the trend in vital signs, the nurse notes that there has been a steady downward trend since admission, when the blood pressure was 210/102. The patient is sleeping and does not follow commands; however, the patient opens their eyes, groans, and mutters as the nurse stimulates the patient by squeezing their hand. The patient’s pupils are equal and responsive to light. All other systems are within normal limits except for the skin. The nurse notes some redness on the patient’s sacral area. In the nursing orders, the nurse notes the patient has not been ordered a diet but all the medications that were administered intravenously in the ICU are now ordered orally.

When analyzing the cues, the nurse notes the GCS to be 9 and does not notice any other neurological deficits. The nurse knows the importance of obtaining a baseline right away to note any changes, which can occur rapidly with a hemorrhagic stroke. The fact that the patient has redness on the sacral area alerts the nurse to the potential for skin breakdown. The nurse is also concerned that, even though the patient is not eating or drinking, they have been ordered oral medications that used to be given intravenously, an action that should not be taken until a formal swallow evaluation is given.

Prioritizing Hypotheses, Generating Solutions, and Taking Action

When caring for a patient with a low GCS who cannot speak for themself, the nurse knows they will have to be diligent about and advocate for the patient’s safety. The nurse prioritizes monitoring for changes in neurological status, which would indicate an evolution in the hemorrhagic stroke. The actions the nurse will take include reassessing vital signs and neurological status every four hours as ordered.

As far as safety is concerned, the nurse will clarify the order for oral administration of medications with the provider. Because the nurse is regular staff on this neurological unit, they are aware of the AHA stroke measure that states patients should have a formal swallow evaluation before anything is taken by mouth. By holding all PO medications and contacting the provider for alternate routes of medication administration, the nurse may save the patient from aspiration.

The patient has limited consciousness and mobility and already exhibits redness in the sacral area. The nurse will be sure to reposition the patient every two hours, check if the patient had any episodes of incontinence at these regular intervals, and provide perineal and general skin care. The nurse will also prioritize their own safety by asking a colleague to help reposition the patient rather than try to move them alone, which could risk back injury. Also, because the patient has limited mobility, the nurse will ensure the patient is on appropriate venous thromboembolism (VTE) prophylaxis.

Evaluation of Nursing Care for the Patient with Hemorrhagic Stroke

When evaluating outcomes related to hemorrhagic stroke, the nurse focuses on recognizing changes pointing toward evolution of the stroke and maintaining stability. Evaluation allows the nurse to determine whether their interventions were effective or revised interventions are needed.

Evaluating Outcomes

In this case, the nurse continued performing vital sign and neurological checks every four hours to discover clues of worsening hemorrhage. Nothing was found, and the nurse will continue to monitor. As the nurse was unable to perform a swallow screen, based on the patient’s mental status, the provider agreed that the patient should remain NPO. Medications were ordered to be administered IV and per rectum (PR). The fact that the sacral skin redness did not worsen but in fact improved a bit indicates that the nurse’s skin integrity–related interventions are helping. Finally, the provider ordered sequential compression devices and subcutaneous heparin administration to prevent VTEs. The patient has no heat, swelling, warmth, or redness in the extremities.

Medical Therapies and Related Care

Medical treatment for hemorrhagic stroke depends on the cause of the bleeding. In general, once the cause of the bleed has been determined, therapies aimed at controlling the bleed, blood pressure, and ICP can be implemented more specifically. Treatments can be both surgical and nonsurgical.

One of the most important nonsurgical interventions is stopping medications that could increase bleeding; alternatively, the patient may be given medications to counteract the effects of the bleeding-increasing medications and promote clotting. For example, patients with an elevated prothrombin time may need to receive intravenous vitamin K to reduce progression of the bleed. Blood pressure management is another area of nonsurgical treatment focus. Hemorrhagic stroke is commonly caused by high blood pressure or pressure rises in response to the bleed. In either case, the American Stroke Association states that acute lowering of blood pressure is safe for patients with initial systolic blood pressures (SBP) ranging from 150 to 20; patients presenting with a SBP above 220 need aggressive reduction with continuous intravenous medications. Another nonsurgical treatment is monitoring for and treating seizure activity. Prophylactic antiepileptic drugs have no known benefits for treating strokes, but as many as 28 percent of patients have a seizure within the first twenty-four hours of a stroke and will require such medications (Greenberg et al., 2022).

Finally, the nonsurgical interventions associated with treating increased ICP are raising the head of the bed and administering osmotic diuretic drugs like mannitol. For continuous ICP monitoring, the best method is an invasive technique called a ventriculostomy (Figure 15.10). During a ventriculostomy, a hole is drilled through the skull and a catheter for measuring pressure is placed directly into the ventricle. The result is a display on a monitor that reads the intracranial pressure. This is often coupled with an external ventricular drain (EVD) that provides a way to drain cerebrospinal fluid (CSF) from the ventricles if the ICP becomes too high.

A diagram showing a ventriculostomy, labeling Intracranial pressure monitor bolt, Catheter, and Ventricle.
Figure 15.10 A ventriculostomy is an invasive technique for monitoring ICP. It can also include a drainage system (EVD) to drain CSF if needed. (credit: modification of work from Anatomy and Physiology 2e. attribution: Copyright Rice University, OpenStax, under CC BY 4.0 license)

Surgical interventions for hemorrhagic stroke aim to stop bleeding, aspirate the hematoma, or relieve pressure on the brain. Patients with an aneurysm often require a surgical procedure that exposes the brain aneurysm. The surgeon can then place a clamp or clip at the base of the aneurysm, which prevents it from bleeding or rebleeding. In a less-invasive, alternative procedure, a surgeon uses a catheter to place small coils in the aneurysm, which will eventually develop clots that prevent blood from flowing into the aneurysm.

A decompressive craniectomy is the removal of part of the skull to open the cranial vault and relieve pressure from cerebral edema. The skull piece is usually stored in the patient’s abdomen or in a bone bank to be reinserted later. The care team must treat the patient with extra caution, such as using helmets to cover the unprotected brain when ambulating.

Hematoma evacuation via stereotactic aspiration is generally a minimally invasive surgery. Other options are endoscopic aspirations and catheter aspirations. A small opening is made in the skull and instruments are inserted to evacuate the hematoma. AVMs are treated with surgery, radiosurgery, or embolization.

The care for patients with hemorrhagic stroke is multi-faceted and ongoing. Health-care professionals across the interdisciplinary team need to be involved in the care to maintain safety, limit complications, and recognize symptoms of worsening neurologic status due to evolution or a rebleed.

Citation/Attribution

This book may not be used in the training of large language models or otherwise be ingested into large language models or generative AI offerings without OpenStax's permission.

Want to cite, share, or modify this book? This book uses the Creative Commons Attribution License and you must attribute OpenStax.

Attribution information
  • If you are redistributing all or part of this book in a print format, then you must include on every physical page the following attribution:

    Access for free at https://openstax.org/books/medical-surgical-nursing/pages/1-introduction

  • If you are redistributing all or part of this book in a digital format, then you must include on every digital page view the following attribution:

    Access for free at https://openstax.org/books/medical-surgical-nursing/pages/1-introduction

Citation information

© Sep 20, 2024 OpenStax. Textbook content produced by OpenStax is licensed under a Creative Commons Attribution License . The OpenStax name, OpenStax logo, OpenStax book covers, OpenStax CNX name, and OpenStax CNX logo are not subject to the Creative Commons license and may not be reproduced without the prior and express written consent of Rice University.