Skip to ContentGo to accessibility pageKeyboard shortcuts menu
OpenStax Logo
Medical-Surgical Nursing

13.5 Connective Tissue Disease

Medical-Surgical Nursing13.5 Connective Tissue Disease
Search for key terms or text.

Learning Objectives

By the end of this section, you will be able to:

  • Discuss the pathophysiology, risk factors, and clinical manifestations for connective tissue disease
  • Describe the diagnostics and laboratory values of connective tissue disease
  • Apply nursing concepts and plan associated nursing care for patients with connective tissue disease
  • Evaluate the efficacy of nursing care for patients with connective tissue disease
  • Describe the medical therapies that apply to the care of connective tissue disease

Connective tissue, as its name implies, binds the cells and organs of the body together and functions in the protection, support, and integration of all parts of the body. Connective tissue performs many functions in the body; most importantly, it supports and connects other tissues. It is found in many places in the body, from the connective tissue sheath that surrounds muscle cells, to the tendons that attach muscles to bones, to the skeleton that supports the positions of the body. Protection is another major function of connective tissue, in the form of fibrous capsules and bones that protect delicate organs. Specialized cells in connective tissue defend the body from microorganisms that enter the body. Transport of fluid, nutrients, waste, and chemical messengers is ensured by specialized fluid connective tissues, such as blood and lymph.

There are several disorders that affect connective tissues. In an autoimmune disorder, the body’s immune system mistakenly attacks healthy cells. Two autoimmune disorders involving connective tissue, systemic lupus erythematosus and rheumatoid arthritis, are discussed in more detail in this section.

Systemic Lupus Erythematosus

The most common form of lupus, systemic lupus erythematosus (SLE) is an autoimmune disorder that results in widespread inflammation and tissue damage. Currently, about 1.5 million Americans have some type of lupus, with 70 percent of cases classified as SLE (Lupus Foundation of America, 2016). This disorder is most often diagnosed in female patients during their childbearing years, but it can affect anyone regardless of age or sex. Lupus is two to three times more common in underrepresented racial and ethnic groups, including Hispanic and Asian/Pacific Islander populations (Hasan et al., 2022).

Pathophysiology

The underlying pathophysiology of SLE is not well understood, but it has been shown to have an autoimmune cause. Specifically, the body develops antibodies that attack healthy body cells. Additionally, the body forms many antigen-antibody complexes that can get stuck in capillaries, resulting in vasculitis, or inflammation of the blood vessels, and eventual tissue damage. In addition to autoimmune causes, several environmental factors increase the risk for developing SLE, including:

  • exposure to ultraviolet (UV) radiation,
  • viral infections,
  • cigarette smoking, and
  • emotional or physical stress.

Life-Stage Context

SLE and Pregnancy

Patients diagnosed with SLE are often of childbearing age, which can cause severe anxiety and stress about their chances of having a healthy pregnancy and childbirth. Patients with SLE who become pregnant often require more intensive monitoring throughout the pregnancy to ensure the safety of both patient and child. Many of the medications prescribed for SLE are not safe during pregnancy, so it is important for the patient to maintain frequent communication with their primary care provider and obstetrician to find a suitable treatment plan.

Clinical Manifestations

The organs most-commonly damaged by SLE include the skin, joints, heart, lungs, kidneys, and brain, so most clinical manifestations will involve these body systems. Additionally, most cases of SLE involve alternating periods of illness (“flares”) and improvement in symptoms (“remissions”). Common clinical manifestations of SLE include

  • joint pain and swelling;
  • fever;
  • fatigue;
  • cognitive impairment and neurological manifestations (e.g., headaches, personality changes, ischemic stroke, seizures);
  • abnormal hair loss, or alopecia;
  • mouth sores;
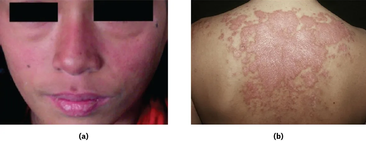
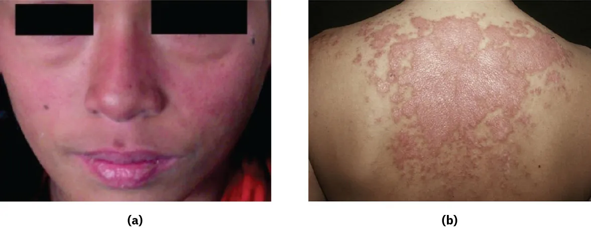
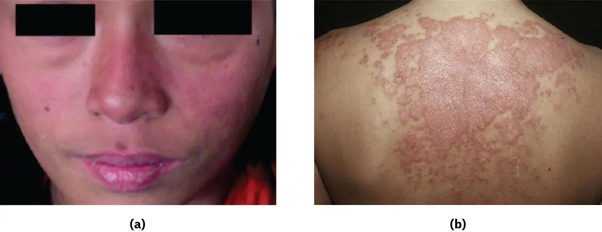
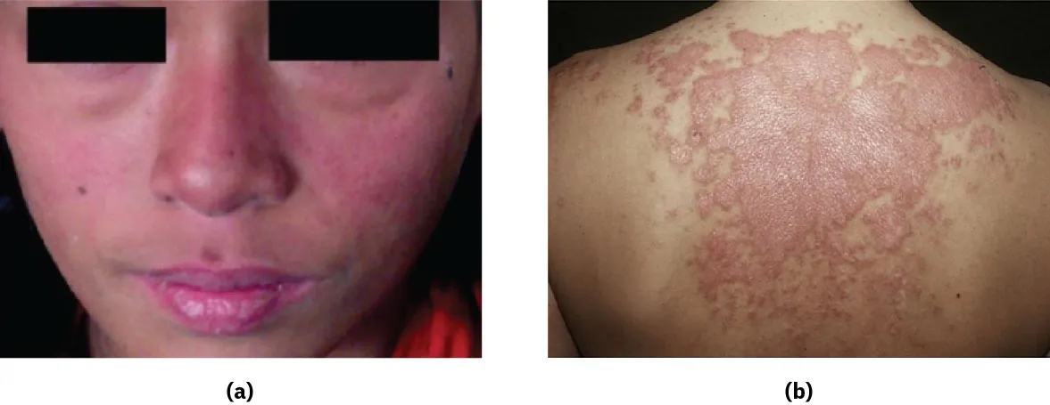
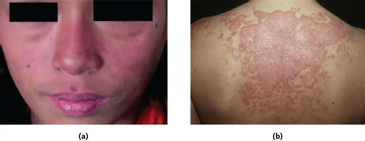
  • “butterfly” rash on the face or “discoid” rash, usually on the face or trunk (Figure 13.16);
  • inflammation of the nephrons of the kidneys, or nephritis, which causes renal damage and may lead to the development of hypertension;
  • inflammation of the pleural tissue around the lungs, or pleuritis, which causes chest pain and pain with respiration;
  • inflammation of the pericardial sac around the heart, or pericarditis, which causes substernal chest pain;
  • Raynaud’s syndrome, a condition that occurs when the fingers become pale when exposed to cold or stress states;
  • enlargement of the spleen, or splenomegaly; and
  • swelling of the lymph nodes, or lymphadenopathy.
(a) Butterfly rash across the nose and cheeks that is commonly associated with SLE; (b) Discoid rash on the back
Figure 13.16 (a) Butterfly rash across the nose and cheeks and (b) discoid rash on the back are commonly associated with SLE. (credit: (a) “Butterfly rash of lupus erythematosus” by Mikael Haggström/Wikimedia Commons, CC BY 4.0); (b) “Subacute cutaneous lupus erythematosus” by Uva et al./Autoimmune Diseases, CC BY 3.0)

Assessment and Diagnostics

Several conditions have similar clinical manifestations to SLE, so if any symptoms of SLE are assessed, further diagnostic and laboratory testing is warranted to rule out the other potential diagnoses. Many health-care providers and facilities use a standardized diagnostic tool to assess symptoms and laboratory values associated with SLE and assist in making a definitive diagnosis. One of these tools is the EULAR/ACR criteria.

Diagnostics and Laboratory Values

The most specific diagnostic test for SLE is the antinuclear antibody (ANA) test. This blood test looks for autoantibodies. An autoantibody is an antibody that attacks its own body cells; they are commonly associated with SLE. Though the presence of these autoantibodies does not always indicate SLE, they are present in most cases, so a positive test indicates the need for further diagnostic workup (LaPelusa et al., 2024). Though not specific to lupus, a complete blood count (CBC) is also indicated during the diagnostic process for SLE. Certain findings from the CBC, such as leukopenia and thrombocytopenia, may help confirm the diagnosis of SLE.

Nursing Care of the Patient with Systemic Lupus Erythematosus

The main goals of nursing care for patients with SLE are to manage symptoms, prevent or limit the effects of disease flares, and improve the patient’s overall quality of life. Additionally, the nurse will often need to provide mental and emotional support for the patient because SLE can negatively affect many different aspects of the patient’s life.

Recognizing Cues and Analyzing Cues

The nurse must remain attentive for clinical signs indicating the patient with SLE may be experiencing a disease flare. Most often, this is exhibited with changes in the skin, such as butterfly rash across the face, discoid rash on the trunk, or Raynaud’s syndrome in the fingers. It is also important for the nurse to obtain a thorough subjective report of symptoms from the patient, as they may experience fatigue, joint pain, or hair loss as part of a flare. The nurse should immediately report any significant symptoms indicating a flare so the provider can initiate treatment, thereby slowing the progression of the disease and preventing organ and tissue damage.

Prioritizing Hypotheses, Generating Solutions, and Taking Action

One of the main nursing interventions for patients with SLE is the administration of medications to treat symptoms. These include NSAIDs, corticosteroids, immunosuppressants, and biologic medications. The nurse will also provide the patient with extensive education about the prescribed medications. Most of the medications prescribed for SLE have negative side effects; the nurse must teach the patient about these side effects while still stressing the importance of taking the medications as prescribed. Because SLE is a lifelong condition, the nurse will also provide education about the importance of maintaining regular follow-up appointments and self-monitoring for symptoms of disease flares.

Evaluation of Nursing Care for the Patient with Systemic Lupus Erythematosus

Because there is no cure for SLE, it is important that the nurse, provider, and patient maintain frequent communication about the patient’s health status to determine the effectiveness of the plan of care. In some cases, the medications prescribed for SLE may no longer be effective, warranting the need for changes to the type, dose, or frequency of the drug or for more-intensive treatment options.

Evaluating Outcomes

When evaluating a patient with SLE to determine the effectiveness of their plan of care, the nurse should assess for signs indicating the treatment interventions are working. These signs include

  • less-frequent disease flares or fewer severe symptoms during flares,
  • improved skin appearance,
  • less (or no) joint pain,
  • hair regrowth, and
  • normal kidney function, as evidenced by normal serum creatinine and blood urea nitrogen (BUN) levels.

Medical Therapies and Related Care

There is currently no cure for SLE, but there are several supportive treatments for symptoms that will assist in improving the patient’s quality of life. First and foremost, anti-inflammatory medications such as NSAIDs are used to help reduce associated pain, fever, and inflammation. Corticosteroids are also often prescribed to limit inflammation associated with SLE. These can be prescribed orally but may also be administered as a topical cream to directly treat rashes or other skin conditions that occur with SLE. Because SLE is an autoimmune disorder, immunosuppressant medications may also be prescribed. These medications work by suppressing the patient’s immune system to keep it from attacking its own healthy body cells. Lastly, B-lymphocyte stimulator (BlyS) protein inhibitor is often used to decrease the lifespan of abnormal antibodies, helping to prevent the autoimmune attacks that occur with the condition. In some cases, medications lose their effectiveness and organ damage becomes too severe; when this happens, organ transplantation—most often involving the kidneys—may be necessary.

Rheumatoid Arthritis

The autoimmune disorder that causes inflammation of the synovial joints in the body is called rheumatoid arthritis (RA). This condition affects about 1 percent of the global population, including about 1.3 million American adults—a significant number, considering this disorder is a major cause of work disability and can substantially impact overall quality of life (Xu & Wu, 2021). Though RA can affect both sexes, it is two times more prevalent in females than in males (Chauhan et al., 2023).

Pathophysiology

RA is a chronic inflammatory disease of the joints. It is thought to be genetic in nature. Certain genetic mutations predispose individuals to developing this condition, and these mutations can be passed from generation to generation. In an individual with genetic mutations that put them at risk for developing RA, certain environmental triggers such as cigarette smoking or asbestos exposure can result in the development of the disorder. The environmental trigger starts the process of the body making autoantibodies that begin to attack and destroy the body’s joints, causing widespread inflammation.

Clinical Manifestations

This condition can affect all the joints in the body, but the most-commonly affected joints are in the hands. Clinical manifestations associated with RA include

  • joint pain and swelling,
  • joint stiffness that is typically worse in the morning,
  • limited range of motion, and
  • rheumatoid nodules (Figure 13.17).
Diagram of hand bones and hand showing RA nodules present on the knuckle joints
Figure 13.17 Nodules can form on the knuckle joints of the hands in rheumatoid arthritis. (credit: modification of work from Anatomy and Physiology, 2e. attribution: Copyright Rice University, OpenStax, under CC BY 4.0 license)

Assessment and Diagnostics

During the physical assessment, the nurse should first ask the patient about their symptoms, including any joint pain, swelling, or stiffness, and confirm that these symptoms are more severe upon waking in the morning. After gathering a history of the patient’s symptoms, the nurse should perform a visual inspection of the hands and feet to look for the presence of RA nodules. As part of the physical assessment, the nurse should check the patient’s range of motion and determine whether it is limited in any joints. Bilateral grip strength should also be assessed to see if the arthritis has diminished the patient’s ability to use their hands effectively. During palpation of the joint, the nurse will note any areas that feel “boggy,” which may indicate the presence of RA.

Diagnostics and Laboratory Values

A few different laboratory tests can assist in diagnosing RA. First, a blood sample can be taken to determine the presence or absence of rheumatoid factor (RF), which is an antibody found in nearly 90 percent of patients with RA (Chauhan et al., 2023). Additionally, the blood can be tested for erythrocyte sedimentation rate (ESR) and C-reactive protein (CRP), both of which indicate elevated systemic inflammation. In addition to blood tests, imaging such as x-ray, ultrasound, or MRI may be used to look for bone erosion associated with RA. However, it is important to note that imaging tests will not show bone damage until the disorder has progressed significantly, so a normal imaging test does not rule out RA.

Nursing Care of the Patient with Rheumatoid Arthritis

Unfortunately, there is no cure for RA. The main goals of nursing care are to manage symptoms, limit damage to joint tissue, and improve overall quality of life.

Recognizing Cues and Analyzing Cues

First and foremost, it is important for the nurse to conduct a thorough physical examination to assess for joint pain or swelling and other symptoms that may indicate the presence of RA. The main cue that the nurse should assess for is the hallmark sign of RA: joint pain and stiffness that are worse in the morning.

Prioritizing Hypotheses, Generating Solutions, and Taking Action

After analyzing the aforementioned cues, the nurse may hypothesize that the patient has RA. One of the main nursing interventions for patients with RA involves the administration of disease-modifying antirheumatic drugs (DMARDs), nonsteroidal anti-inflammatory drugs (NSAIDs), and corticosteroids. The nurse will work with the provider and patient to determine an effective dose and tapering plan and provide counseling about the negative side effects associated with long-term use of corticosteroids (e.g., weight gain, infections). A tapering plan for corticosteroids is important to prevent adrenal insufficiency, which can result in severe fatigue and other side effects. Other nursing interventions to promote patient comfort include the application of cold and heat, the initiation of physical therapy and other exercises as tolerated, and alternating rest and activity periods to limit stress on the joints.

Evaluation of Nursing Care for the Patient with Rheumatoid Arthritis

It is important for the nurse, provider, and patient to maintain frequent communication about the patient’s health status to determine the effectiveness of their treatment plan and disease management. Each nursing intervention will be evaluated for effectiveness or the need for revision.

Evaluating Outcomes

When evaluating a patient with RA to determine the effectiveness of their plan of care, the nurse should assess for signs indicating the treatment interventions are working. These signs include

  • improved range of motion,
  • decreased joint pain, swelling, and stiffness,
  • improved grip strength, and
  • lack of reported side effects of medications.

Medical Therapies and Related Care

The main pharmacological treatments for RA involve DMARDs, NSAIDs, or corticosteroids. DMARDs are the only kind of medication that act to slow the progression of the disease; they interfere with inflammatory pathways that cause disease symptoms. The main concern associated with this class of medications is that it greatly increases the patient’s risk for developing infections. NSAIDs are used to treat the pain and inflammation associated with RA, but they have no effect on the progression of the disease. Corticosteroids are used to reduce the inflammation associated with disease flareups; long-term use should be avoided when possible, as their side effects include weight gain, osteoporosis, and increased risk of infection.

Citation/Attribution

This book may not be used in the training of large language models or otherwise be ingested into large language models or generative AI offerings without OpenStax's permission.

Want to cite, share, or modify this book? This book uses the Creative Commons Attribution License and you must attribute OpenStax.

Attribution information
  • If you are redistributing all or part of this book in a print format, then you must include on every physical page the following attribution:

    Access for free at https://openstax.org/books/medical-surgical-nursing/pages/1-introduction

  • If you are redistributing all or part of this book in a digital format, then you must include on every digital page view the following attribution:

    Access for free at https://openstax.org/books/medical-surgical-nursing/pages/1-introduction

Citation information

© Sep 20, 2024 OpenStax. Textbook content produced by OpenStax is licensed under a Creative Commons Attribution License . The OpenStax name, OpenStax logo, OpenStax book covers, OpenStax CNX name, and OpenStax CNX logo are not subject to the Creative Commons license and may not be reproduced without the prior and express written consent of Rice University.