Skip to ContentGo to accessibility pageKeyboard shortcuts menu
OpenStax Logo
Medical-Surgical Nursing

12.3 Heart Failure

Medical-Surgical Nursing12.3 Heart Failure
Search for key terms or text.

Learning Objectives

By the end of this section, you will be able to:

  • Discuss the pathophysiology, risk factors, and clinical manifestations of heart failure
  • Describe the diagnostics and laboratory values in the disease of heart failure
  • Apply nursing concepts and plan associated nursing care for the patient with heart failure
  • Evaluate the efficacy of nursing care for the patient with heart failure
  • Describe the medical therapies that apply to the care of heart failure

A chronic condition that reduces perfusion to the body because the heart is working inefficiently is known as congestive heart failure (CHF). It is sometimes more simply referred to as heart failure (HF). HF not only affects quality of life but is costly in dollars and mortality. There are currently 6.2 million adults in the United States with congestive heart failure, costing the nation $30.7 billion each year (CDC, October 14, 2022).

Both modifiable and nonmodifiable risk factors have been identified for HF. Nonmodifiable risk factors include gender, age, and family history, whereas modifiable risk factors encompass certain lifestyle practices. The National Heart, Lung, and Blood Institute (2022) identified a myocardial infarction as a concurrent comorbidity that elevates the risk of developing HF. Damage to the heart muscle itself puts a person at risk for developing HF. Individuals who consume a diet high in sodium and fat, smoke, drink excessive alcohol, and are physically inactive have a propensity for heart disease. Disease prevalence of HF occurs in 65 percent of individuals with high blood pressure, 50 percent of individuals with ischemic heart disease, 41 percent of patients with atrial fibrillation, and 27 percent of individuals with diabetes mellitus (Lawson et al., 2020). Gender does not appear to be a factor, as the occurrence of HF is similar between females and males (Lam et al., 2019). Ethnicity does, however, impact the risk of developing HF, as Black people and Hispanic people have a higher occurrence of HF compared to White people (Breathett, 2020). Given the propensity of disease, nurses are tasked to understand the complexity of CHF and the lifespan considerations that apply to the patient.

Pathophysiology

The human heart delivers between two to four liters of newly oxygenated blood each minute from the left ventricle into the aorta and into the circulating blood supply. Oxygen-rich blood pulses through the blood vessels to supply tissues and cells with necessary nutrients for cellular metabolism. However, HF causes weakness in the ventricular muscle, resulting in lower pressure and thereby impeding the forward flow of blood. A fundamental understanding of myocardial physiology is necessary to understand HF. Recall that preload is the amount of stretch myocardial cells confront prior to contraction, or ventricular filling. In contrast, afterload is the force of blood the ventricle must overcome to eject the blood. A compensatory thickening of the ventricle, often referred to as left ventricular hypertrophy, ensues due to increased myocardial stretch from increased pressure resulting from uncontrolled high blood pressure. Over time, the myocardial muscle of the ventricle fatigues and struggles to maintain optimal pressures of blood and fluid. Consequently, valves become incompetent and create backflow of blood into the pulmonary and hepatic systems.

The American Heart Association (2022) differentiates classifications of right-sided heart failure and left-sided heart failure. A right-sided heart failure results when increased fluid pushes fluid back into the pulmonary system, and congests the right side of the heart, causing the right ventricle to fail. In contrast, left-sided heart failure develops when the left ventricle muscle is damaged and weak and can no longer pump enough blood through the body. Left-sided HF is further divided into systolic and diastolic failure (Figure 12.19). (See Figure 12.2 for the normal cycle of blood circulation.) Systole is ventricular contraction and the period in the cardiac cycle when blood is ejected from the ventricles into the lungs and aorta. Systolic failure results when the diseased ventricle is unable to eject blood forward, creating a backward flow. Diastole represents ventricular filling, caused by atrial contraction. With diastolic dysfunction, the ventricle is stiff and thick and cannot fully relax. As a result, inadequate filling of the chamber occurs.

(a) Diagram showing diastolic heart failure with thick heart walls; (b) Diagram showing systolic heart failure with thin heart walls.
Figure 12.19 Left-sided heart failure is divided into diastolic and systolic heart failure. (a) Diastolic heart failure is indicated by thick heart walls. (b) Systolic heart failure is indicated by thin heart walls. (attribution: Copyright Rice University, OpenStax, under CC BY 4.0 license)

HF can cause damage to other body systems when blood volume and flow to essential organs decreases. HF may impair the ability of the kidneys to appropriately excrete sodium and water as blood volume decreases in the kidneys. A nurse must understand the causes, clinical manifestations, diagnostic tests, medical treatment plans, and patient education for the patient with HF to help the patient achieve optimal outcomes.

Clinical Manifestations

The classic presentation of HF includes lower extremity edema, weight gain, cough, sputum production, and alterations in hemodynamics. Patients with fluid retention may have observable swelling in their digits and lower extremities. The patient may offer subjective complaints of poorly fitting socks, shoes, pants, or rings.

Upon assessment of the patient with HF, note any indentations from socks or shoes. Gently palpate the lower extremities observing for pitting or depth of residual finger marks, then grade it from 0 (no edema) to 4+ (pitting edema) (see Figure 10.9). Patients with edema often will have an elevated weight. It is best practice to have the patient void in the morning before obtaining weight, in the same garments or nude if possible. Weight gain of three pounds in a day or five pounds in a week is suggestive of HF. Other hemodynamic deviations may include blood pressure elevation due to fluid retention.

A recommended practice for the nursing assessment of HF is evaluating the patient’s airway, breathing, and circulation (ABCs). The nurse may observe dyspnea, or difficulty breathing, or it may be reported by the patient. The nurse may observe, or the patient may report, breathlessness while completing activities of daily living. Patients may allude to difficulty sleeping due to struggles with breathing while lying flat, also called orthopnea. The patient may complain of the need to sleep on more than two pillows or upright in a recliner. Other assessment findings may be a frothy pink sputum or a productive wet cough. Oxygen saturation may be less than 92 percent due to fluid backing up into the pulmonary system. A lung assessment may reveal crackles in the pulmonary bases. The patient with HF may have some or all these findings; however, patients with pulmonary edema will demonstrate respiratory distress.

The nurse should inquire if the patient is experiencing any chest pain. Chest pain occurs due to poor coronary perfusion and could result from a previous myocardial infarction. The nurse should employ an organized, detailed manner when assessing the patient’s chest pain. Utilization of the PQRST mnemonic is a recommended model to detail the patient’s chest pain:

  • P: what provokes or relieves the chest pain (chest pain from poor coronary perfusion is exacerbated by activity and relieved by rest),
  • Q: what is the quality of your pain (chest pain from ischemia is described as a dull ache in the chest or in the arms),
  • R: what region and does it radiate,
  • S: have the patient identify the severity of pain, and
  • T: timing, when did it begin? The patient may be experiencing ischemic chest pain or a myocardial infarction.

In addition to performing a thorough pain assessment, the nurse must determine if the patient is experiencing any fatigue, or tires easily during activities of daily living. Patients with HF have deficits with adequate perfusion, and reduced cardiac output can interfere with energy reserves. Due to poor ventricular blood output, the patient may experience dizziness or palpitations. Lack of perfusion to the brain may manifest with dizziness or episodes of syncope from triggered tachycardic dysrhythmias that result from ventricular failure. As HF progresses with ventricular remodeling and weakening of the heart muscle, cardiac cells change and are more “excitable,” making the patient vulnerable to tachycardic dysrhythmias. It is imperative the nurse shares with the provider the frequency of symptoms, as this suggests the severity of the disease.

Diagnostics and Laboratory Values

A comprehensive diagnostic and laboratory workup is indicated when there is a suspicion of HF. The gold standard for detecting HF is ultrasound visualization via echocardiogram. This digital image offers visualization of valve competency, filling pressures, measurements of ventricular thickness, and compliance of the ventricles. Coronary artery disease or blockages that prevent perfusion of the myocardium can cause HF. Diagnostic workup for coronary artery disease includes conducting an electrocardiogram. These tracings can detect a coronary blood defect or evidence of injury from myocardial infarction. Nuclear stress tests utilize radioactive isotopes to assess coronary patency.

The ejection fraction is a measurement of ventricular compliance that is obtained through an ultrasound done of the heart. In a healthy heart, the left ventricle’s ejection fraction is 55 to 60 percent. A hyperdynamic ejection fraction exceeding 70 percent is strongly correlated with diastolic dysfunction and means the ventricle is overcompensating for a diseased ventricular muscle. Conversely, patients with ejection fractions less than 40 percent have a higher risk for developing serious dysrhythmias.

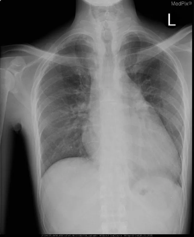
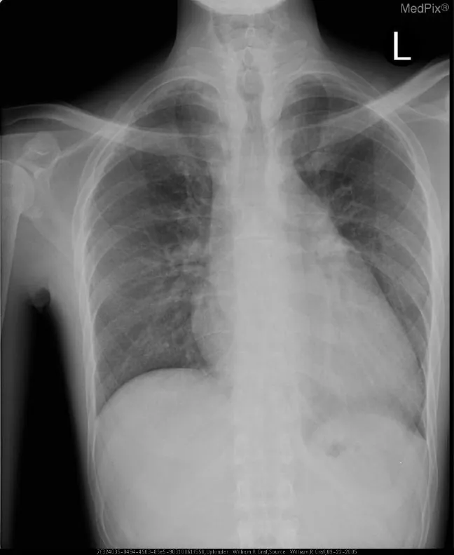
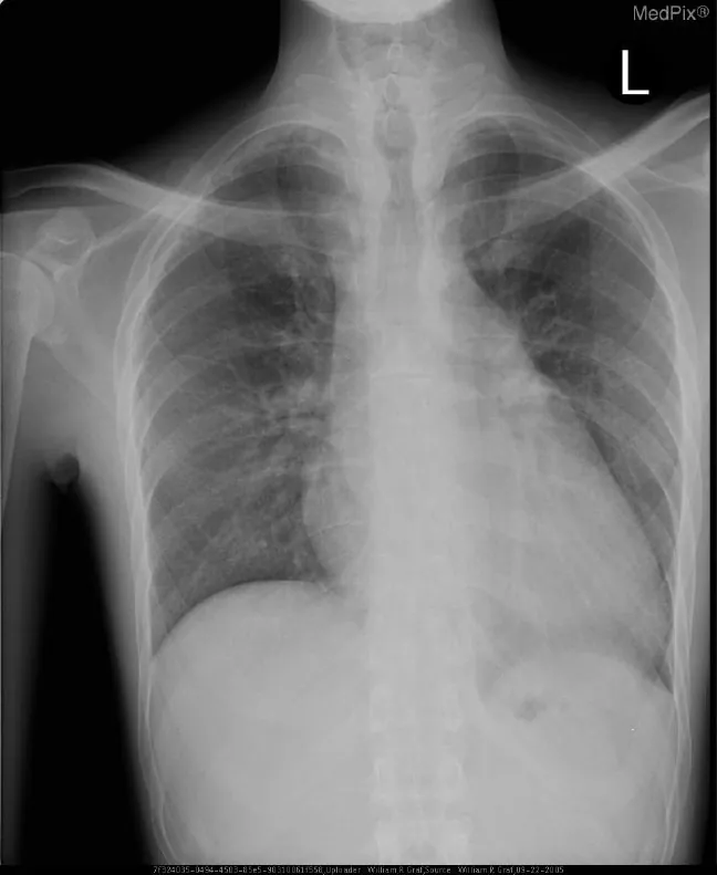
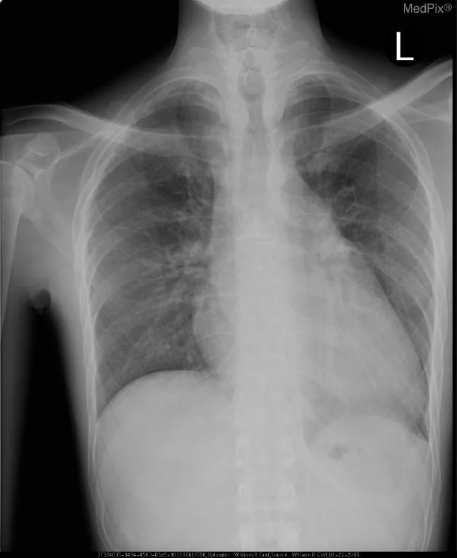
With a new diagnosis of HF, the suspicion of coronary artery disease is high and must be investigated. More invasive testing, such as percutaneous coronary intervention, can further confirm coronary artery blockage as causation. This procedure is an invasive procedure in which a catheter is threaded through the femoral artery, dye is injected, and coronary blockages can be detected through this dye. If the patient is experiencing an acute exacerbation of HF, chest X-rays assist with identifying pulmonary edema or cardiomegaly, which means ventricular enlargement to accommodate excess fluid (Figure 12.20). While diagnostic imaging is expansive in the work up of HF, other laboratory values assist with determining disease severity.

X-ray showing ventricular enlargement with apex of heart taking up right side field.
Figure 12.20 Due to enlargement, the apex of the heart is taking up the right-side field (the patient’s left lung). (credit: “Graves Disease” by Naval Medical Center Portsmouth: William R Graf/National Library of Medicine, Public Domain)

While most diagnostics of HF rely on imaging and patient presentation, there is a sensitive and specific blood test to identify an acute exacerbation of HF. Serum brain natriuretic peptide (BNP) is a prominent laboratory test utilized in diagnosing HF. The BNP hormone comes from a family of proteins that have a direct effect on blood vessels that affect constriction and dilation (Harvard Health Publishing, 2022). With the increased myocardial stretch in HF, the protein levels rise when the pressure gradients rise in the atria and ventricles. Normal levels of BNP should be less than 100 pg/mL, and may increase slightly due to age, but assessing levels along with the clinical presentations assists the nurse to evaluate the patient’s response to treatment.

Additional testing includes electrolyte panels, hemoglobin A1C, liver enzymes, and thyroid-stimulating hormone. Electrolyte panels assist with providing baseline serum potassium and serum and creatinine to consider if there is renal insufficiency. An elevated hemoglobin A1C may indicate metabolic dysfunction; comorbid diabetes that is not well controlled may exacerbate underlying cardiovascular disease. With hepatic congestion from right-sided heart failure, liver function tests may be elevated. Thyroid disorders such as hypothyroidism may trigger an event of HF. Laboratory and serial diagnostics may continue over months or annually to monitor the patient’s disease status.

Read the Electronic Health Record

Sample Laboratory Profile of Patient with HF

Mr. John Smith is admitted with a diagnosis of acute left-sided heart failure. The emergency room nurse has been caring for Mr. Smith as he awaits a bed on the telemetry unit. The nurse reviews his labs over the last 12-16 hours.

Time 0800 1700 2300
BNP 500 pg/mL 750 pg/mL 1500 pg/mL
  • Time: 2300
  • ALT: 230 units/L (normal: 7–56 units/L)
  • AST: 60 units/L (normal: 10–40 units/L)
  • LDH: 362 units/L (normal: 140–280 units/L)
4.
What explains the trend of the BNP rising? What cues would the nurse recognize to support these trends in the BNP?
5.
What do the other levels suggest? What does it indicate to the nurse? What assessment findings would the nurse expect to find consistent with these laboratory values?

Nursing Care of the Patient with Heart Failure

Nurses who practice in the cardiovascular specialty are challenged to understand and think critically about the therapies administered to the patient with HF. Most therapies center around pharmacological interventions to control blood pressure, promote diuresis, and reduce preload. Nursing responsibilities include monitoring hemodynamic stability with blood pressure and pulse assessments. It is imperative to monitor the patient’s response to the medication, including any side effects, and use clinical judgment to question if the medication should be held, for example, if a pulse is less than 60 bpm. Additionally, education in modifiable risk factors and recognizing signs of cardiac decompensation are integral in the care of a patient with HF.

Recognizing and Analyzing Cues

A general assessment begins by looking at the position of the patient, the breathing pattern, and noting the color of the patient’s skin. Note any pallor if it is appropriate for the patient’s ethnic background. Note the patient’s mentation, if they are alert and oriented, and if they are at baseline for their mental status. Auscultate anterior and posterior lung fields, noting any adventitious sounds, an associated cough (sputum color, consistency, amount), and where the adventitious breath sounds are heard. During a heart assessment, patients with HF may have murmurs, S1/S2 abnormalities, and rate irregularities. During the peripheral vascular assessment, observe for edema in the extremities and for qualities of the peripheral pulses. A gastrointestinal assessment may reveal fluid accumulation in the abdominal unit, noted as ascites, as well as hepatosplenomegaly (liver and spleen enlargement) from right-sided heart failure. Any new changes or deviations from the prior assessment would cue the nurse to consider a new complication of HF or worsening disease.

Prioritizing Hypotheses, Generating Solutions, and Taking Action

Oxygenation is the nurse’s top priority when planning care for a patient with HF. Often, the patient will report shortness of breath and dyspnea. Putting the patient in high Fowlers will alleviate dyspnea, and ordered supplemental oxygen may be necessary to maintain oxygen saturations greater than 92 percent. For the patient’s circulatory support, the administration of ordered beta-blockers, angiotensin converting enzyme (ACE) inhibitors/angiotensin-receptor blockers (ARBs), diuretics, and nitrates requires frequent hemodynamic assessment. The patient’s response to diuretic therapy is monitored by daily weights, adhering to strict intake and output. In severe cases of HF, compliance with fluid restrictions may be required. Advise the patient to rest frequently to conserve energy; clustering nursing care around the patient’s energy level will assist with reduced fatigue.

Education is critical for the patient being discharged home from an HF hospitalization. The patient should be instructed on modifiable risk factors such as smoking cessation, as nicotine is a vasoconstrictor and applies undue stress on the heart. Reduced or no alcohol consumption is recommended, as alcohol elevates blood pressure. Dietary reduction of high fatty foods and cholesterol will mitigate the development of coronary artery disease. Diets high in sodium increase fluid retention, as water molecules follow sodium molecules into the vascular space and can leak into the interstitial tissue, creating edema. The American Heart Association strongly encourages patients with HF to reduce sodium intake. Encourage the patient to keep sodium intake to less than two grams a day. Weight loss and a gradual increase in physical activity with aerobic exercise promote cardiac conditioning. Primary prevention with immunization for pneumococcal pneumonia, COVID-19, and influenza is recommended to minimize HF recurrences, as infection can strain a failing heart. The nurse must be supportive, nonjudgmental, and patient with the patient.

Evaluation of Nursing Care of the Patient with Heart Failure

Creation and evaluation of patient outcomes for HF should align with SMART considerations (specific, measurable, attainable, relevant, and timely). Goal development should center around secondary prevention interventions to prevent exacerbation of HF, and tertiary interventions to stabilize acute HF.

Evaluating Outcomes

A patient who demonstrates adequate oxygenation with a heart failure illness will be able to complete clustered activities of daily living without reporting shortness of breath and maintain oxygen saturations greater than or equal to 92 percent. For circulatory stabilization, several objective measurements may be used to evaluate to ascertain goal achievement. Patients will demonstrate reduced edema (2+ or less) and maintain blood pressure (norms may be patient-individualized) with pharmacological therapies. Other evaluation parameters may consider fluid status, stable weight, or verbalizing understanding of fluid and sodium restriction. Lastly, in consideration of safety, the patient’s medication regimen will reconcile with the provider’s orders (Table 12.2).

Outcome Area Goals Evaluation Criteria
Oxygenation Patient will complete clustered activities of daily living without shortness of breath. Maintain oxygen saturation ≥ 92%.
  • Ability to perform activities without shortness of breath
  • Oxygen saturation levels ≥ 92%
Circulatory stabilization Patient will demonstrate reduced edema (2+ or less) and maintain individualized blood pressure norms with pharmacological therapies.
  • Edema level ≤ 2+
  • Blood pressure within individualized norms
Fluid status Patient will maintain stable weight and verbalize understanding of fluid and sodium restrictions.
  • Stable weight
  • Verbalization of understanding fluid and sodium restrictions
Medication safety Patient’s medication regimen will reconcile with the provider’s orders.
  • Medication regimen matches provider’s orders
Table 12.2 Evaluating Outcomes for a Patient with Heart Failure

A comprehensive, holistic approach is necessary to evaluate the therapeutic response of the patient. HF requires continued maintenance of medication adherence, modifiable risk factor management, and self-monitoring of disease. Acute exacerbations of HF require stabilization of symptoms and, if hospitalized, management of disease to be safely discharged to the community.

Medical Therapies and Related Care

Many pharmacological therapies directed at HF are indicated to reduce symptom burden and prevent disease progression. Pharmacological agents utilized in the treatment of HF include beta-blockers, diuretics, ACE inhibitors/ARBs, and nitrates.

Beta-blockers are utilized to reduce myocardial oxygen demand, vasodilate, and reduce heart rate. Cardio-selective beta-blockers such as metoprolol work exclusively on the beta (1) sites in the heart, whereas carvedilol, a nonselective beta-blocker, works on both beta (1) and beta (2) sites. Patients with a history of asthma or broncho-constrictive disease should have a thorough lung exam, and these medications should be used cautiously, as non-cardio-selective beta-blockers may trigger bronchospasm and may be problematic for the patient. Most beta-blockers are well-tolerated by patients and are administered in long-acting forms or intermediate release. Patients should be educated on compliance with taking the medication and should contact their provider if there is a reason to stop or hold the medication.

Diuretics assist in the facilitation of fluid removal via the renal system. Considered preload reducers, potent diuretics such as furosemide work on the loop of Henle and increase fluid excretion. Nursing assessments include strict intake and output, serial potassium monitoring, and daily weight monitoring. A therapeutic response would include reduction of weight gain and edema, and increased ease of breathing. Electrolyte monitoring of serum potassium and blood tests for blood urea nitrogen and creatinine is necessary with intravenous diuretics, as potassium wasting is increased and there is a risk of acute kidney injury. If diuretics are too potent for the patient, dehydration and hypotension may complicate the patient’s response. Also, intravenous push furosemide must be administered slowly to avoid ototoxicity.

Many pharmacological therapies address the changes in preload and afterload in a failing heart. The American College of Cardiology (2016) gives a Class 1 recommendation that patients with reduced ejection fraction should be on daily ACE inhibitors or ARBs (Table 12.3). Angiotensin is converted by the lungs from angiotensinogen originating from the kidneys. Angiotensin is a hormone that is responsive to decreased perfusion to the nephrons. When perfusion to the kidneys is decreased, the angiotensin I hormone converts to angiotensin II and activates renin, which stores extra fluid and reduces excretion. While HF pathophysiology operates with a disequilibrium of fluid balance, ACE inhibitors and ARBs are indicated to combat this effect. A common example of an ACE inhibitor is lisinopril, while valsartan is an ARB.

Nursing assessments include monitoring for hyperkalemia, blood pressure response, and side effects. A new onset of cough is a common complaint with ACE inhibitors. While unpleasant, it does terminate a few months after initiation of therapy or may resolve only after discontinuation of the medication. Common practice is to switch to an ARB or another class of antihypertensive. Nurses must educate the patients on the side effects and self-monitoring of blood pressure at home.

Class Drug Dosing
ACE inhibitor Lisinopril 2.5/5/10/20/40 mg per day
Benazepril 10/20/40 mg per day
Enalapril 2.5/5/10/20 mg per day
Captopril 6.25-12.5 mg PO every 8 hours
Angiotensin-receptor blocker Losartan 25/50/100 mg per day
Valsartan 40/80/160/320 mg per day
Irbesartan 150/300 mg per day
Olmesartan 10/20/40 mg per day
Table 12.3 Common ACE Inhibitors and ARBs

Nitrates, potent coronary vasodilators, are another example of preload reduction. They may be administered as a patch, orally, sublingually, or spray-routed into the mouth. Patients on chronic nitrates should monitor blood pressure closely, as orthostatic hypotension may occur as a complication. Caregivers or family members who apply patches for patients should be directed to wear gloves. Passive absorption of the topical cream onto the administrator’s hands may produce hypotensive side effects.

Citation/Attribution

This book may not be used in the training of large language models or otherwise be ingested into large language models or generative AI offerings without OpenStax's permission.

Want to cite, share, or modify this book? This book uses the Creative Commons Attribution License and you must attribute OpenStax.

Attribution information
  • If you are redistributing all or part of this book in a print format, then you must include on every physical page the following attribution:

    Access for free at https://openstax.org/books/medical-surgical-nursing/pages/1-introduction

  • If you are redistributing all or part of this book in a digital format, then you must include on every digital page view the following attribution:

    Access for free at https://openstax.org/books/medical-surgical-nursing/pages/1-introduction

Citation information

© Sep 20, 2024 OpenStax. Textbook content produced by OpenStax is licensed under a Creative Commons Attribution License . The OpenStax name, OpenStax logo, OpenStax book covers, OpenStax CNX name, and OpenStax CNX logo are not subject to the Creative Commons license and may not be reproduced without the prior and express written consent of Rice University.