Skip to ContentGo to accessibility pageKeyboard shortcuts menu
OpenStax Logo
Search for key terms or text.

Learning Objectives

By the end of this section, you will be able to:

  • Identify the characteristics of autosomal dominant, autosomal recessive, and X-linked recessive genetic disorders
  • Compare prenatal and postnatal testing to determine genetic disorders

No discussion of reproduction would be complete without an explanation of how genetic traits are passed from one generation to the next. In addition to obvious traits such as hair color and eye color, genes that encode for the synthesis of thousands of proteins that are crucial to normal functioning of the body are also inherited. Missteps in any of the genetic replication processes can lead to abnormalities in chromosome number, structure, or function, and can dramatically affect the personโ€™s health and well-being. This section will discuss chromosomal inheritance patterns and analysis, as well as prenatal and postnatal genetic testing options for couples trying to conceive.

Genetic Disorders

Humans typically have a total of 46 chromosomes organized in pairs: 22 pairs of autosomes (body chromosomes) and 1 pair of sex chromosomes (XX in people who are genetically female or XY in people who are genetically male). One set of chromosomes (22 autosomes and 1 sex chromosome) is inherited from each parent. Each chromosome contains thousands of genes, which make up the basic unit of heredity and are composed of proteins and DNA. Analyzing the chromosomes of both partners can provide insight into the causes of infertility. It can also prevent transmission of genetic abnormalities that can have a profound effect on the developing fetus.

Chromosome Analysis

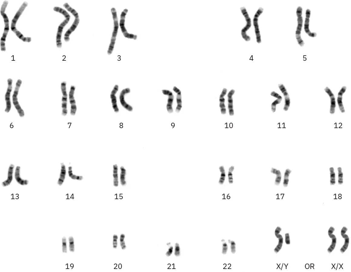
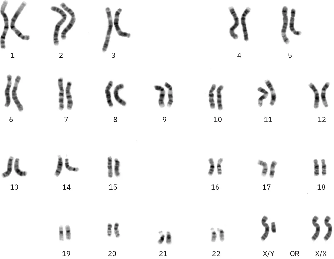
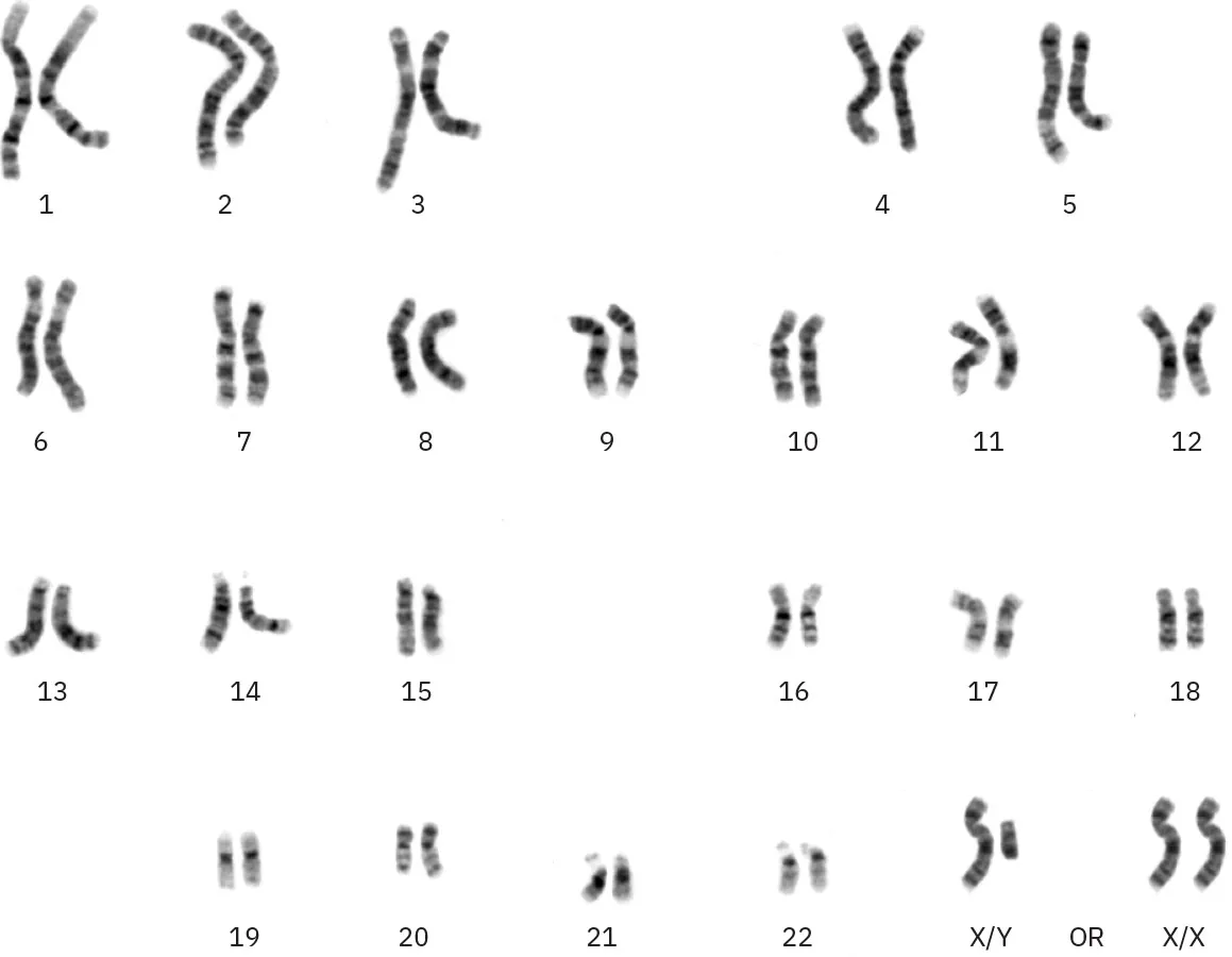
A chromosome analysis is a simple blood test that can be performed on either partner and can provide information about the chromosomal number and structure. The blood sample is treated with a special stain that allows the chromosomes to be visualized. This gives them the appearance of banded strings. The chromosomes can then be sorted into their 23 matching pairs so that they can be identified and evaluated. This test, known as a karyotype, may be indicated for patients based on information gleaned during the history, physical exam, or other assessment findings (Figure 4.7).

Image of autosomes (body cell chromosomes) and sex chromosomes (XX or XY).
Figure 4.7 Karyotype Humans have a total of 22 pairs of autosomes (body cell chromosomes) and one pair of sex chromosomes (XX in genetic females or XY in genetic males). (credit: "Human male karyotype" by National Human Genome Research Institute, Public Domain)

Abnormal Chromosome Number

All body cells contain the diploid number (2N) of chromosomes, 46. The sex cells (egg and sperm), on the other hand, contain only the haploid number (N), or 23 chromosomes. Sometimes, a replication error occurs, and a cell contains an abnormal number of chromosomes. There are two types of numerical chromosomal abnormalities: aneuploidy, which is an abnormal number of chromosomes, and polyploidy, which is an abnormal number of chromosome sets (Milani & Tadi, 2023). Aneuploidies can take the form of a monosomy, which is when a cell is missing a chromosome, or the more common trisomy, which is when the cell has an extra chromosome. An example of polyploidy is triploid cells (3N), which have 3 full sets of chromosomes, or 69 chromosomes.

These chromosomal numerical errors most commonly occur as a result of faulty mitotic or meiotic divisions of the egg or sperm, but they can also occur during embryonic development or through parental inheritance (Milani & Tadi, 2023).

During meiosis, the paired chromosomes normally separate, allowing one complete set of chromosomes to be found in each daughter cell. However, if this separation process doesnโ€™t happen correctly, an extra chromosome or set of chromosomes can be found in one daughter cell, with the other daughter cell missing chromosomes (Figure 4.8). This is known as nondisjunction. Nondisjunction is more common in older persons assigned female at birth and in patients exposed to certain environmental toxins (Wasielak-Politowska & Kordowitzki, 2022).

Chart of Nondisjunction during meiosis I and II.
Figure 4.8 Nondisjunction in Sperm Cells Abnormal chromosomal numbers occur because of nondisjunction, the improper division of chromosomes during meiosis or mitosis. In sperm cells, nondisjunction can occur at either meiosis I or meiosis II. (credit: modification of work from Concepts of Biology. attribution: Copyright Rice University, OpenStax, under CC BY 4.0 license)

Many aneuploidies are incompatible with life, but a few relatively common conditions are caused by either trisomies or monosomies. See 10.4 Fetal Growth and Development for more information about common aneuploidies. If patients desire genetic testing, screening can be done starting in the first trimester.

Abnormal Chromosome Structure

Structural chromosomal abnormalities occur when there are changes to the chromosomeโ€™s structure, such as missing or extra genetic material. These changes can be balanced (there are changes to the arrangement of the genes, but there is no loss or gain of genetic material) or unbalanced (there is a loss or gain of genetic material). People with balanced mutations are less likely to have a phenotypic effect, though it is possible, because they retain all the genetic material (Yahaya et al., 2021).

Like numerical abnormalities, structural chromosomal abnormalities also occur because of errors in cell division, parental inheritance, or early embryonic division (National Human Genome Research Institute, 2020). Many different types of mutations can cause these types of errors to occur (Yahaya et al., 2021):

  • Deletion: A piece of the chromosome is missing.
  • Duplication: A piece of the chromosome is repeated, causing additional genetic material.
  • Inversion: One piece of the chromosome is taken out and turned upside down before reconnecting with the chromosome.
  • Translocation: A piece of the chromosome is moved to a different location on the same chromosome or to a different chromosome.
    • Reciprocal translocation: Pieces from two chromosomes are exchanged.
    • Robertsonian translocation: The short arm of two chromosomes breaks off, allowing the two long arms to stick together in one long chromosome.

These mutations can occur in any chromosome or group of chromosomes and can cause a wide variety of effects, ranging from phenotypically normal to incompatible with life. Even very small unbalanced mutations can have significant effects on the person.

Abnormal Sex Chromosomes

The sex chromosomes, X and Y, can also be affected by both numerical and structural chromosomal abnormalities. These conditions are more likely to cause reproductive problems and infertility (Wang et al., 2022). The most common sex chromosome abnormalities are presented in Table 4.2.

Condition Abnormality Incidence Clinical Features
Turner syndrome Monosomy X, or XO 1 in 2,000 female live births
  • short stature
  • characteristic physical features (short, webbed neck, low-set ears, abnormalities in hands and feet)
  • premature ovarian failure
  • abnormal onset of puberty
  • learning challenges
  • cardiovascular abnormalities
Klinefelter syndrome XXY 1 in 600 male live births
  • small, firm testes
  • sparse body and facial hair
  • gynecomastia
  • tall stature
  • abnormal body structure
  • infertility
Triple X syndrome XXX 1 in 1,000 female live births
  • epicanthal folds
  • widely spaced eyes
  • inward bowed breastbone
  • seizures
  • hypotonia
  • taller than average height
  • very curved pinky fingers
XYY XYY 1 in 1,000 male live births
  • tall stature
  • problems with language
  • problems with coordination
  • behavioral problems
  • hypotonia
  • widely spaced eyes
  • very curved pinky finger
Table 4.2 Disorders Caused by Sex Chromosome Abnormalities (Li et al., 2021)

Inheritance

The Human Genome Project, a massive international scientific collaboration, was published in 2001. The goal of this project was to sequence the entire human genome. Scientists found approximately 20,000 protein-coding genes, along with thousands of other pseudo-genes and RNA coding genes (Jackson et al., 2018). Mutations in those genes are widespread and are linked to thousands of diseases.

The genes found on chromosomes are passed from generation to generation. The pattern of inheritance responsible for this transmission can vary depending on the number of genes responsible for trait expression. Some traits, such as cleft lip/palate, neural tube defects, and pyloric stenosis, are controlled by multiple genes, known as multifactorial inheritance. Other traits are controlled by single genes, known as unifactorial inheritance.

Genes are either dominant or recessive. When both genes of a pair are present, the phenotypic trait of the dominant gene is expressed. If both genes that are present are recessive, the recessive trait will be expressed. Three types of unifactorial inheritance are autosomal dominant, autosomal recessive, and X-linked recessive (National Library of Medicine, 2021b).

Autosomal Dominant Inheritance

An autosomal dominant inheritance disorder is caused when only one copy of the dominant allele is needed to express the trait. Because only one gene is needed to express the trait, there is a 50 percent chance of inheritance from an affected, heterozygous parent (Figure 4.9). These types of disorders tend to run in families across multiple generations, known as vertical transmission. The severity of the disorder can sometimes range significantly, even between one generation and the next. It is also possible for these diseases to form because of a new mutation that has not been inherited from the previous generation. Patients who have a family member with an autosomal dominant disease may request genetic testing to see if they are a carrier, particularly if the disorder does not cause symptoms until later in life, as in Huntington disease. In some cases, the result can affect childbearing decisions or other major life choices (Severijns et al., 2021).

Autosomal dominant chart displaying how Affected parent and Unaffected parent combine and children are Unaffected and Affected.
Figure 4.9 Autosomal Dominant Inheritance This diagram demonstrates the inheritance of autosomal dominant traits. Note how 50 percent of the children of a parent with the gene will also inherit the genetic trait or disorder. (attribution: Copyright Rice University, OpenStax, under CC BY 4.0 license)

Autosomal Recessive Inheritance

Genes that are autosomal recessive require the presence of both recessive alleles for the trait to be expressed. Someone who is affected by these types of disorders must have inherited the recessive gene from both parents (National Human Genome Research Institute, 2023). Heterozygous individuals, those who carry both the dominant and recessive alleles, have a 50 percent chance of passing the recessive allele to their children. If both parents carry the gene, their child has a 25 percent chance of contracting the disease (Figure 4.10). Offering carrier testing to couples trying to conceive may help to identify and reduce the risk of these diseases. Autosomal recessive diseases have a horizontal pattern of inheritance, meaning that they are found among siblings, but not people of earlier generations. They are found equally in males and females but may be found more frequently in particular ethnicities or populations.

Chart showing how Autosomal recessive Carrier parents combine into Unaffected child and Carrier child.
Figure 4.10 Autosomal Recessive Inheritance In the autosomal recessive pattern of inheritance, when two carriers have children, each child has a 25 percent chance of having the disease and a 50 percent chance of being carrier. (attribution: Copyright Rice University, OpenStax, under CC BY 4.0 license)

Some of the more common diseases that follow the autosomal patterns of inheritance are presented in Table 4.3.

Disease Pattern of Inheritance Description
Huntington disease Autosomal dominant Causes the nerve cells in the brain to break down, causing changes in behavior, motor skills, and personality
Factor V Leiden Autosomal dominant Causes an increased risk of thrombosis, particularly in people who are homozygous for the allele, which can sometimes affect a personโ€™s ability to get or stay pregnant
Cystic fibrosis Autosomal recessive Causes very thick and sticky mucus, which blocks the airways, increases the risk for infection, and affects the ability of the body to absorb nutrients from food
Tay-Sachs Autosomal recessive Causes progressive damage and death of cells in the brain
Phenylketonuria (PKU) Autosomal recessive Causes increase of the amino acid phenylalanine in the body because it blocks the conversion of phenylalanine to tyrosine
Sickle cell disease Autosomal recessive Causes sickle-shaped red blood cells that are unable to properly move through the blood vessels and can accumulate in clumps, causing severe pain and other complications (Centers for Disease Control and Prevention, 2022b)
Table 4.3 Common Autosomal Dominant and Autosomal Recessive Disorders

X-Linked Recessive Inheritance

X-linked genes are carried on the X chromosome. When these diseases are passed down to the next generation, this is referred to as X-linked inheritance. These diseases disproportionately affect more males than females because males must inherit only one affected X chromosome to be affected. Females must inherit two copies, one from each parent, to have the disease.

Female carriers have a 50 percent chance of passing the affected X chromosome to their children. Affected males will pass the carrier gene on to any female children. Those female children will be carriers if they receive a normal X chromosome from their female parent, but they will have the disease if they inherit an affected X chromosome instead (Figure 4.11). Examples of X-linked recessive disorders include hemophilia and color-blindness.

Chart of how diseases are transmitted to children from X-linked recessive, affected XY parent and x-linked recessive, carrier XX parent.
Figure 4.11 X-Linked Inheritance The genes for some diseases are carried on the X chromosome. Male offspring have a 50 percent chance of inheriting the disorder from a carrier mother. (attribution: Copyright Rice University, OpenStax, under CC BY 4.0 license)

Fragile X syndrome is another X-linked recessive disease with a complicated inheritance pattern. It occurs during replication of the X chromosome where specific proteins are skipped instead of replicated. This pattern can occur only a few times (5 to 44 skipped), causing fewer complications, or many times (>200 skipped), causing the full condition (The National Fragile X Foundation, n.d.). Complications of fragile X include intellectual disability, behavior problems, and physical differences, such as large, protruding ears, prominent forehead, and hypermobile joints (The National Fragile X Foundation, n.d.).

Genetic Testing

Genetic testing is an important component in the management of reproductive care, both in patients who are newly pregnant, and in those planning to conceive. This type of testing can identify or diagnose genetic disorders early in the pregnancy, allowing for termination, if desired, or for a greater level of care through pregnancy, birth, and the newborn period if indicated.

Carrier Screening

Genetic carrier screening can occur either before pregnancy, such as at a preconception visit or before initiating an infertility treatment cycle, or at the first prenatal visit. It is a simple blood test that can provide information about whether the patient is a carrier of common genetic diseases. The options for these tests range from screening for a single disease, such as cystic fibrosis, to extensive panels that test for the genes for over 500 diseases. These panels mostly screen for autosomal recessive disorders. Most providers will begin by testing the partner assigned female at birth, and then test the partner assigned male at birth if there is positive result on the initial screening test (ACOG, 2022a).

It is important to recognize that carrier screening is an individual choice; some couples may prefer the extensive testing panel, while others may prefer a more targeted approach, testing only for diseases common to their ethnic or family background. The nurse may need to provide information about autosomal recessive inheritance, the benefits of carrier testing, what positive testing results indicate, and their impact on a potential pregnancy. Referral to a genetic counselor or specialist may be indicated if either partner has a positive screening test (ACOG, 2022a).

Prenatal Testing

There are two types of prenatal genetic testing: prenatal screening and prenatal diagnosis. Both types of testing occur during pregnancy.

Preimplantation Genetic Screening/Diagnosis (PGS/D)

Preimplantation genetic screening/diagnosis (PGS/D) is a form of very early prenatal screening that can occur only in conjunction with in vitro fertilization (IVF). During this procedure, a single cell is removed for biopsy from an embryo that was formed in the lab (University of California San Francisco, n.d.).

  • PGS occurs when the embryo is screened for chromosomal aneuploidies, such as Down syndrome.
  • PGD occurs when the embryo is analyzed for the presence of a particular gene, such as the gene associated with cystic fibrosis. This testing is particularly helpful in couples who have had carrier screening that identifies both partners as carrying a particular genetic disorder.

Healthy embryos can then be selected for later embryo transfer.

Prenatal Screening

The series of tests that are performed during pregnancy to determine the risk of the fetus having an aneuploidy, a neural tube defect, or another abnormality suggestive of a genetic disorder is called the prenatal screening. The tests include the following:

  • First Trimester Screening: Performed between 10 and 13 weeks of pregnancy, the first trimester screen consists of a blood test and ultrasound. The blood test looks at two substances: pregnancy-associated plasma protein-A (PAPP-A) and human chorionic gonadotropin (hCG). Abnormal levels of either of these could indicate a chromosomal abnormality. The ultrasound, called a fetal nuchal translucency test, looks at the back of the fetusโ€™s neck. Increased thickening or fluid is an abnormal result and could indicate a chromosomal abnormality.
  • Second Trimester Screening: The second trimester screening consists of a blood test between 15 and 22 weeks of pregnancy measuring alpha-fetoprotein, hCG, unconjugated estriol, and inhibin A. An ultrasound can also be performed between 18 and 22 weeks of pregnancy. The blood test looks for markers that suggest Down syndrome, Edwards syndrome, and neural tube defects. The ultrasound is a comprehensive test that measures the fetusโ€™s abdominal organs, limbs, brain, spine, and facial features for signs of a chromosomal abnormality.
  • Noninvasive Prenatal Testing (NIPT): NIPT is a maternal blood test that is offered early in the first trimester. The test looks at small fragments of fetal DNA that are found in the pregnant personโ€™s bloodstream. Those cells are from the placenta and are shed throughout the pregnancy. While this type of test does not definitively diagnose a genetic disorder, it does screen for chromosomal abnormalities, like trisomies and aneuploidy (Goldwaser & Klugman, 2018).

Prenatal Diagnosis

Prenatal diagnostic testing is more specific than screening. Patients with positive results on their screening test or those who are at higher risk for having a fetus with a genetic disorder (such as older patients) are good candidates for this type of testing. Samples are taken directly from the fetal tissues and used for chromosomal analysis. Table 4.4 compares the two main types of procedures used for prenatal diagnosis: chorionic villus sampling, which analyzes placental cells, and amniocentesis, which evaluates the amniotic fluid surrounding the fetus.

Chorionic Villus Sampling (CVS) Amniocentesis
Timing Anytime in the first or second trimester, but ideally between 10 and 12 weeksโ€™ gestation Between 15 and 20 weeksโ€™ gestation
Source of sample Chorionic villi of the placenta Amniotic fluid
Procedure Sample of placental tissue obtained transcervically or transabdominally under ultrasound guidance Sterile needle introduced into the amnion sac under ultrasound guidance
Advantages
  • the only diagnostic test available in the first trimester for earlier diagnosis
  • allows direct examination of the chromosomes
  • allows for direct examination of fetal chromosomes
  • can also be used to detect intraamniotic or fetal infection
  • can be used to detect neural tube defects
Disadvantages
  • may reflect confined placental mosaicism (the placenta has an abnormal number of chromosomes, but the fetus is chromosomally normal) in a small percentage of results
  • does not test for neural tube defects
  • not performed in the first trimester, delaying decisions about pregnancy outcomes
  • higher risk of complications earlier in the pregnancy
Risk of pregnancy loss 1 in 455 1 in 900
Table 4.4 Comparison of Chorionic Villus Sampling and Amniocentesis (Carlson & Vora, 2017)

Postnatal Testing

Postnatal testing, or the newborn screen, occurs after the baby is born and consists of a capillary blood test collected after the first 24 hours of life before discharge or 6 days of age. This universal testing program is mandated by U.S. law but is run by each state. The program recommends testing for 31 core disorders and an additional secondary 26 disorders that do not present at birth with symptoms (Advisory Committee on Heritable Disorders in Newborns and Children, 2023). The most common disorders on the newborn screen are cystic fibrosis, galactosemia, PKU, thyroid dysfunction, and sickle cell disease. The hope is that early detection and treatment of these conditions improves the quality of life for newborns who test positive. Chapter 23 Newborn Assessment provides additional information on the newborn screen and assessing the newborn for possible genetic conditions.

It is the nurseโ€™s responsibility to collect the sample by heel stick, usually 2 to 3 days after birth and after the baby has had a chance to feed. If collected before the 24-hour mark, the test may not be valid and may yield a false-negative result. It is important for the nurse to recognize that the results may have a profound impact on the patientโ€™s reproductive future as well. The parents may not have realized that they are both carriers for these conditions until their newborn tests positive.

Citation/Attribution

This book may not be used in the training of large language models or otherwise be ingested into large language models or generative AI offerings without OpenStax's permission.

Want to cite, share, or modify this book? This book uses the Creative Commons Attribution License and you must attribute OpenStax.

Attribution information
  • If you are redistributing all or part of this book in a print format, then you must include on every physical page the following attribution:

    Access for free at https://openstax.org/books/maternal-newborn-nursing/pages/1-introduction

  • If you are redistributing all or part of this book in a digital format, then you must include on every digital page view the following attribution:

    Access for free at https://openstax.org/books/maternal-newborn-nursing/pages/1-introduction

Citation information

ยฉ Jun 25, 2024 OpenStax. Textbook content produced by OpenStax is licensed under a Creative Commons Attribution License . The OpenStax name, OpenStax logo, OpenStax book covers, OpenStax CNX name, and OpenStax CNX logo are not subject to the Creative Commons license and may not be reproduced without the prior and express written consent of Rice University.