Skip to ContentGo to accessibility pageKeyboard shortcuts menu
OpenStax Logo
Maternal Newborn Nursing

23.1 Physical Assessment of the Newborn

Maternal Newborn Nursing23.1 Physical Assessment of the Newborn
Search for key terms or text.

Learning Objectives

By the end of this section, you will be able to:

  • Summarize newborn vital signs and implement techniques learned in the clinical setting with minimal disruption to the newborn
  • Identify and demonstrate the components of a head-to-toe newborn physical examination
  • Distinguish between different newborn skin variations, both normal and abnormal
  • Identify newborn neurologic reactions to maternal substance misuse and recognize the appropriate next steps for safe newborn care

The nurseโ€™s assessment of the newborn focuses on knowing and understanding the language of the newborn, their behavioral cues, and normal newborn anatomy and physiology. With that knowledge, the nurse can identify the slightest changes in the condition of the newborn in their care. Neonatal nursesโ€™ expertise in newborn behavior and communication and their ability to assess newborn behavior through vital signs, head-to-toe assessment, and neurologic behavior are imperative to caring for neonates.

Newborn Vital Signs

Obtaining newborn vital signs is a skill that takes practice. Auscultation may be challenging because of newborns moving and crying during the assessment. Focus on starting with the least invasive assessment item and saving the most invasive for last to decrease the chance of crying. Auscultation is a skill that new nurses will need to practice often, but it is vital to the care and management of a newborn. Newborn vital signs are best obtained in a warm, well-lit place where the newborn is quiet and comfortable. Start with the heart rate and respirations. If the nurse can complete those while the newborn is sleeping or in a calm, relaxed state, that is the best time to obtain them. Heart rate is always counted at the apex, which can best be found at the fourth intercostal space. This will be the same from birth to about 3 years of age.

Listen with a stethoscope for 1 full minute, followed by counting respirations with a stethoscope for 1 full minute. Normal newborn heart rates are 120 to 160 beats per minute (Stanford Medicine, Childrens Health, 2022). If no stethoscope is available in the first few minutes after birth, the base of the umbilicus can be used to assess the heart rate, although the most accurate method is with the use of a stethoscope (Johnson & Schmรถlzer, 2020). For new nurses, it is sometimes easier to listen for a minute with the stethoscope and put their other hand on the newbornโ€™s abdomen while watching for breaths to correlate with what they are hearing. Normal respirations are 30 to 60 respirations per minute (Stanford Medicine, Childrens Health, 2022) and may increase with crying. Temperatures are obtained by the axillary method, with the thermometer being placed vertically under the arm with the tip in the axilla (Figure 23.2). Expected temperatures are 36.5ยฐ C to 37.5ยฐ C (97.7ยฐ F to 99.4ยฐ F) (Stanford Medicine, Childrens Health, 2022). Pain should be assessed as a vital sign, evaluated with a neonatal pain evaluation tool. Blood pressures are not usually assessed on newborns unless they are in the neonatal intensive care unit. Table 23.1 lists expected normal newborn vital signs (Stanford Medicine, Childrens Health, 2022).

Image of thermometer being placed in infantโ€™s armpit.
Figure 23.2 Axillary Temperature Temperatures of newborns are obtained by the axillary method, with the thermometer being placed under the arm with the tip in the axilla. (attribution: Copyright Rice University, OpenStax, under CC BY 4.0 license)
Temperature Respirations Heart Rate
36.5ยฐ Cโ€“37.5ยฐ C (97.7ยฐ Fโ€“99.4ยฐ F)
  • Axillary: 36.5ยฐ Cโ€“37.5ยฐ C (97.7ยฐ Fโ€“99ยฐ F)
  • Skin: 36ยฐ Cโ€“36.5ยฐ C (96.8ยฐ Fโ€“97.7ยฐ F)
  • Rectal: 36.6ยฐ Cโ€“37.2ยฐ C (97.8ยฐ Fโ€“99ยฐ F)
  • 30โ€“60 respirations/ minute
  • Primarily diaphragmatic with abdominal movements
  • Obligate nose breathers
  • Respirations counted for 60 seconds
  • 120โ€“160 beats per minute (bpm) (Stanford Medicine, Childrens Health, 2022)
  • During deep sleep, may decrease to 70โ€“90 bpm, can increase to 180 bpm during crying
  • Apical pulse counted for 1 full minute with a stethoscope
Table 23.1 Newborn Vital Signs

Pain in the newborn cannot be expressed in the way an adult can verbally describe and locate their pain. Pain scales developed specifically for the neonatal or nonverbal population have been created and evaluated to assess this vital sign in the newborn population. The Neonatal/Infant Pain Scale (NIPS) (Sarkaria & Gruszfeld, 2022) and the Face, Legs, Activity, Cry, and Consolability (FLACC) scale are examples of pain scales specifically used in nonverbal patient populations.

Assessment of General Appearance

The nursing assessment is the part of the nursing process whereby a nurse gathers patient health information using evidence-informed tools to learn more about a patientโ€™s overall health, symptoms, and concerns (Toney-Butler & Unison-Pace, 2022). Newborn assessment begins with an evaluation of the general appearance of the newborn. A typical newborn will have a head that is disproportionately large for their body, with a neck that appears short because their chin rests on their chest. Their abdomen will be round and protruding, the chest will appear small and thin, and their arms and legs will be flexed. They will have an umbilical cord in the center of their abdomen that has a cord clamp on it. Newborns will have their hands tightly clenched, and their hands and feet may remain blue for the first 24 to 48 hours, a common finding called acrocyanosis. Their bodies should be a color that is appropriate for their ethnicity, but in general, melanin takes a while to appear after birth.

Weight and Measurements

Full term weights of newborns vary greatly depending on the race of the parents. Newborn infants of Black, Asian, and Hispanic heritage generally are somewhat smaller when born at term than White newborns (Ro et al., 2019). The average weight of a newborn in the United States in the past decade is between 5 pounds, 8 ounces (2,500 grams), and 8 pounds, 13 ounces (3,850 grams) (Desiraju, 2018). Maternal factors that can influence the weight of a newborn are health; nutrition during the pregnancy; intervals between pregnancies; use of substances including tobacco, nicotine, narcotics, and alcohol; gestational diabetes; and the size of both parents. The newborn will initially lose weightโ€”up to 10 percent of their birth weightโ€”in the first 3 days after birth (Figure 23.3). They are expected to regain their birth weight by 2 weeks of life (DiTomasso, 2019).

Newborn infant on a Scale-Tronix Pediatric Scale indicating weight of 7.6 lbs.
Figure 23.3 Weighing the Newborn The nurse will weigh the newborn at birth and again before discharge to ensure weight loss has not been excessive. (credit: โ€œNewborn Weightโ€ by Robyn Alvarez/Flickr, CC BY 4.0)

During the initial newborn period of the first week, the newborn will have a physiologic weight loss of approximately 5 to 10 percent due to fluid shifts. This occurs because about 75 percent of the newbornโ€™s body is made of water. Keep in mind that larger babies will have larger weight losses because they have more fluid in proportion to their birth weight. However, a weight loss of more than 10 to 12 percent requires further evaluation (Children's Hospital of Philadephia, 2022). After regaining their birth weight, the infant will double their weight in the first 5 or 6 months. The newborn will increase their weight by approximately 5 to 7 ounces (140 to 200 grams) per week (Children's Hospital of Philadephia, 2022). If the newborn is breast-feeding, the nurse will need to assess feeding effort and coordination, along with collaborating with the care team that includes a lactation consultant and the pediatrician. Typically, birth weight is regained in 14 days (Levinson, 2020).

Cultural Context

Health-Care Disparities of the Newborn

Cultural, racial, and ethnic related disparities in newborn medical care is a chronic issue within health care. Newborn infants, particularly preterm infants, who are from Black, Hispanic, Native American, and Puerto Rican populations have been shown to be more likely to experience serious complications or disparities in health outcomes. The long-term possible consequences of disparities in health care include increased risks of morbidity, poor neurodevelopmental outcomes and behavioral deficits that influence health and quality of life over the lifetime (Ravi et al., 2021).

To measure the length of the newborn, the nurse will place the newborn in a supine position with their legs extended as much as possible, remembering that newborns prefer to keep their legs flexed and tense (Figure 23.4). The average length is 50 cm (20 inches), with a range of 46 to 56 cm (18 to 22 inches) determined by a combination of genetics and environmental factors. The newborn will grow approximately one-half inch to one inch (1.5 to 2.5 cm) per month (Stanford Medicine, Childrenโ€™s Health, 2022). During their lifetime, this is the period of most rapid growth.

Tape measures indicating places newborn is measured: head circumference (tape around head), chest circumference (tape around torse), and length (tape running from top of head to bottom of heel).
Figure 23.4 Newborn Measurements The nurse will measure the length of the newborn at birth, their head circumference, and their chest circumference. To measure the full length of the newborn, place the tape measure at the top of the newbornโ€™s head, stretching the newbornโ€™s legs out to ensure accurate length. (attribution: Copyright Rice University, OpenStax, under CC BY 4.0 license)

Head circumference is measured at birth and regularly during the first 2 years of life. Growth averages 0.5 cm a week during the first 2 months of life and then slows to half that rate. Place the measuring tape at the widest point of the head, from the most prominent point of the forehead around to the back of the head.

Chest circumference is measured at birth or shortly after by using a measuring tape aligned to the nipples (Azevedo et al., 2019). This measurement can help determine if an infant is small for gestational age from intrauterine growth retardation with a small chest-to-head circumference ratio. The infant of a person with gestational diabetes would have a relatively large chest-to-head ratio (Nichols, 1996).

Monitoring Temperature in the Newborn

Newborns are unable to regulate their temperatures. For the first 24 hours of their lives, it is important that the nurse monitor the temperature and assist the parents in maintaining the newbornโ€™s temperature. Keeping newborns in a thermal-neutral environment, between 36.5ยฐ C and 37.5ยฐ C (97.7ยฐ Fโ€“99.4ยฐ F), is a high priority for nurses. This is a vital function and one that is reflective of physiologic maturity. The earlier the gestational age of the infant, the more difficult it is for them to maintain their temperature (Gardner, 2020).

The nurseโ€™s responsibility in thermoregulation is to monitor the newbornโ€™s temperature and provide an environment that reduces heat loss and avoids cold stress (Gardner, 2020). Thermoregulation by the nurse and caregivers is necessary due to the unique physiologic mechanisms competing within the newborn.

Ideally, placing the newborn skin to skin with one of the parents can aid in thermoregulation. However, if a newbornโ€™s temperature drops too low, the nurse will need to move the infant to a warmer or incubator (Isolette) because skin-to-skin care cannot reverse hypothermia quickly enough.

Excessive heat loss triggers compensatory mechanisms in the newborn, including increased respirations and nonshivering thermogenesis, which are indications of cold stress. These behaviors are the infantโ€™s effort to produce heat and maintain core body temperature. If the newborn is not kept warm, cold stress can lead to hypoglycemia, poor feeding, and even respiratory distress. While inside the uterus, the fetusโ€™s temperature was the same as or slightly higher than that of the pregnant person. When a newborn enters the world, their temperature drops significantly, and the newborn is unable to thermoregulate for themselves. Newborns have very thin skin, their blood vessels are very close to the surface, they have very little brown or subcutaneous fat, and their ratio of body surface to body mass is three times that of adults. Therefore, it is important that the nurse manage the newbornโ€™s environment to help maintain their body temperature.

Clinical Judgment Measurement Model

Take Action: Maintaining Normothermic Temperature in a Newborn

The nurse is preparing to settle a newborn in a bassinet next to their parent in the shared delivery and postpartum room. The nurse knows that the newborn is unable to thermoregulate themselves well and that the environment may decrease their body temperature by evaporation, convection, conduction, and radiation. By both placing a hat on the newbornโ€™s head and swaddling them in a thin blanket, the nurse is modeling behavior for home caregiver behavior and managing the newbornโ€™s environment to maintain their body temperature.

Newborns lose heat in their environments in four ways: evaporation, convection, conduction, and radiation (see Figure 22.11). When heat is lost from liquid on the newbornโ€™s skin, converting to a vapor in the air, it is called evaporation (Gardner, 2020). For example, after the newborn bath when they are wet, they are losing heat in the room by the water evaporating off their skin. That is the reason postpartum nurses will provide sponge baths for newborns around 24 hours of age while keeping most of their bodies covered. When heat is transferred from the body surface to the surrounding air by a current, like a fan in a room, it is called convection. When heat from a newborn is transferred because the newborn is lying naked on something very cold, like a newborn scale that is metal, it is called conduction. And finally, radiation is the transfer of heat to cool, solid objects not in direct contact with the newborn. An example of radiation would be placing a newborn crib too close to a cold hospital wall. It is imperative that a newbornโ€™s temperature be checked often and that nurses manage those temperatures. The nurse can do this by drying the newborn as soon as possible after birth or a bath to prevent evaporation, warming any items that will touch the newborn, keeping the newborn out of drafts and keeping preterm newborns in incubators, and keeping all newborns away from walls and windows.

Auscultation

Auscultation is the act of listening, with a stethoscope, to the chest for both heart and lung sounds, and to the abdomen for abdominal activity. When the nurse assesses the heart, auscultating on the left side of the chest while listening is focused on heart rate, rhythm, regularity, and heart sounds. The stethoscope is moved to the front and back of the chest along with moving it left and right laterally to assess breath sounds, listening for equal clear air entry on both sides. The nurse listens for a full minute to count the respirations over a full minute. Abdominal assessment also includes auscultation of the four quadrants, starting with the right lower quadrant. The nurse listens for bowel sounds from each quadrant up to 5 minutes each.

Before conducting a respiratory or cardiovascular assessment of the newborn, the nurse must ensure that the bell of the stethoscope is warmed. A cold stethoscope can startle the newborn, artificially increasing heart and respiratory rates. In addition, the newborn can lose heat due to the cold instrument.

Respiratory Assessment

Normal respirations will be easy, nonlabored, and without the use of accessory muscles, with no evidence of grunting, retractions, or nasal flaring. There should be no adventitious lung sounds auscultated, though fluid may be noted in the lungs of an infant delivered via cesarean section. The normal newborn respiratory rate is 30 to 60 breaths per minute, and newborns are obligate nose breathers. Periodic breathing in newborns is expected (Kondamudi et al., 2023), along with diaphragmatic breathing. This is a good time for the nurse to give anticipatory guidance to new parents about newborn periodic breathing to avoid panic when they notice irregular breathing at home. Newborns have periodic breathing where the rate of breaths changes over time, sometimes faster and sometimes pausing. When breathing has stopped for 20 seconds or longer, it is considered apnea.

Upper airway noises and bowel sounds in a newborn can be heard over the chest wall, making auscultation of newborn breath sounds more difficult. Listening for a full minute with a stethoscope and watching the abdomen rise and fall with the breaths can help the nurse identify what they are hearing. For new nurses performing a newborn respiratory assessment, it is sometimes easier to listen for a minute with the stethoscope while placing the other hand on the newbornโ€™s abdomen to watch for breaths. This will help correlate what they are hearing and seeing.

Unfolding Case Study

Newborn Care: Part 2

See Newborn Care: Part 1 for a review of the patient data.

Flow Chart Newborn assessment data at 30 minutes of age
Temp: 97.8ยฐ F/36.5ยฐ C (ax)
Heart rate: 160 bpm
Respiration rate: 66 breaths/min
Pulse oximetry: 92%
Color: acrocyanosis present
Respirations: shallow, irregular
Nasal flaring
Marcus has not been interested in nursing.
Capillary glucose: 42
1.
Fill in the blanks using one choice for options 1 and 2 from each of the lists. Based on the prenatal problems and newborn assessment data, the nurse identifies the priority problem for Marcus is OPTION 1.
  1. hypoglycemia
  2. respiratory distress
  3. periodic breathing
The priority diagnosis is supported by OPTION 2.
  1. newbornโ€™s color and mild shoulder dystocia
  2. nasal flaring and gestational diabetes
  3. capillary glucose and gestational diabetes
2.

Based on the assessment data at 30 minutes of age, the nurse notifies the HCP.

What recommendations would the nurse include when providing the SBAR to the HCP at this time? Select 5 that apply.
  1. encourage skin-to-skin contact with parent
  2. continuous oxygen
  3. transfer infant to transitional (intermediate care) nursery
  4. transfer to admission nursery
  5. place infant under radiant warmer
  6. NPO
  7. continuous pulse oximetry
  8. breast-feeding on demand

Cardiovascular Assessment

Heart rate in a newborn can be as rapid as 180 beats per minute if the newborn is crying or moving. The normal newborn heart rate is 120 to 160 beats per minute (Tveiten et al., 2021). Auscultating a newborn heart rate is done with the stethoscope at the apex of the heart for 1 full minute. The nurse will listen for rate, rhythm, and intensity and will count the beats, preferably when the newborn is quietly awake or sleeping. The heart is relatively large at birth and is located mid to left chest and high in the chest, with the apex somewhere between the fourth and fifth intercostal spaces.

Assessing a Newbornโ€™s Cry

Newbornsโ€™ primary way of communication is crying. Cries should be of normal pitch, steady, and consolable by a nurse or the parents. High-pitched cries that are piercing and not consolable can be, and often are, a sign of narcotic withdrawal, birth injury, genetic anomaly, and/or other neurobehavioral insults. A weak cry would indicate the newborn may need resuscitation measures.

Heart Murmurs

Normally, the heart has a โ€œlub dubโ€ sound, but because of the physiologic fetal shunts that close functionally during the newbornโ€™s transition from intrauterine life to extrauterine life, a murmur often remains. All the fetal shunts close functionally at birth but will not close structurally for another 3 to 7 days after delivery. Physiologic murmurs in newborns are an expected finding. When auscultated, they will sound like whooshing in addition to the โ€œlub dubโ€ on S1 and S2. It can be difficult to differentiate heart sounds from lung sounds in a newborn. The nurse must monitor the respiratory pattern to isolate the heart sounds. Ninety percent of murmurs are temporary, lasting only 90 days or so. Many are secondary to closing of the patent ductus arteriosus or the patent foramen ovale. Normally, those will close 1 to 2 days after birth. Rarely, aortic or pulmonary stenosis occurs, or a congenital defect is found. All murmurs must be evaluated by a health-care provider.

Head-to-Toe Physical Assessment

Once auscultation is complete, the head-to-toe physical assessment can begin. This is the first time this person will have ever been examined. A systematic, thoughtful, and thorough approach is the best way to comprehensively examine the entire infant.

Head

For the newborn that moved through the vagina, the head may have some molding and bruising. The evolution of bruising and the return to typical head shape will occur over the first 24 to 48 hours. A newborn delivered via cesarean section may or may not have molding, depending on whether there was a second stage of labor or if the fetus spent time low in the pelvic cavity. The size of the newbornโ€™s head is one-fourth the size of an adultโ€™s head, and the circumference is approximately 32 to 37 cm (12.6 to 14.6 inches). The nurse will measure the newbornโ€™s head by placing the tape over the most prominent part of the occiput, just above the ears, and bring it just above the eyebrows. The circumference of the newbornโ€™s head should be greater than that of the newbornโ€™s chest at birth and will remain that way for the next few months. If the newborn experienced significant trauma during birth, the nurse should reassess the shape of the head and remeasure the head circumference the next day (see Figure 23.4).

Fontanelles

A fontanelle is one of the soft spots located on the newbornโ€™s head where the cranial bones meet and leave openings to allow for molding of the head during birth. Over the first 24 months of life, the anterior and posterior fontanelle will close. Fontanelles should be palpated during this part of the assessment. The anterior fontanelle is the larger of the two that the nurse will assess and can be felt as a diamond shape ranging in size from 0.6 cm to 3.6 cm between the two frontal bones. The posterior fontanelle is a triangle shape approximately 0.5 cm in size and located at the junction of the parietal bones and the occipital bone on the newborn. The average time of closure for the anterior fontanelle ranges from 13 to 24 months. In contrast, the posterior fontanelle will close within approximately 6 to 8 weeks after birth (Lipsett et al, 2022). Both fontanelles should feel soft and flat upon palpation. Bulging or tense fontanelles indicate issues such as hydrocephalus, increased intracranial pressure, meningitis, trauma, or hemorrhage. A sunken or depressed fontanelle indicates dehydration. Pulsatility may be noted later in infancy as an expected variability.

Abnormal Variations Commonly Occurring in Newborns

Abnormal variations that are commonly seen in newborn heads include caput succedaneum and cephalohematoma. The condition in which edema is observed on a newbornโ€™s scalp at birth and is related to the labor and birth process is caput succedaneum. This is a benign condition in which the edema crosses cranial suture lines and feels soft and boggy (spongy). It is often related to extended pushing during vaginal births because the fetal head is subjected to pressure from the uterine contractions and the vaginal walls as it passes through the cervix. This condition has also been associated with forceps-assisted and vacuum-assisted births. Caput succedaneum usually resolves within the first few days following birth with no complications (Lipsett et al, 2022) (Figure 23.5). (For more on the topic of forceps-assisted birth and risk for trauma, see Chapter 25 Care of the Newborn at Risk.)

Photo of newborn with elongated head.
Figure 23.5 Caput Succedaneum Caput succedaneum can occur after extended pushing during vaginal births or with forceps- or vacuum-assisted births. (credit: โ€œCaput succedaneumโ€ by โ€œMuagoโ€/Wikimedia Commons, CC0 1.0)

The condition in which serosanguineous or bloody fluid accumulates below the periosteum of the skull is called cephalohematoma (Figure 23.6). This can result from instrument-assisted births, when the fetusโ€™s head is occiput-posterior or occiput-anterior, or when a scalp electrode has been placed during labor. However, it can also occur spontaneously (Remien & Majmundar, 2022). This is a much deeper injury than caput succedaneum, it does not cross the suture lines, and it requires assessment after birth by the nurse for signs and symptoms of increased or prolonged bleeding, jaundice, and infection. Cephalohematoma should resolve in 2 to 6 weeks after birth (Lipsett et al, 2022; Remien & Majmundar, 2022).

(left) Photo of infant with right back side of head protruding out. (right) MRI showing large mass on right back side of skull.
Figure 23.6 Cephalohematoma Related to Birth Trauma This 5-week-old newborn suffered trauma during birth, resulting in a cephalohematoma that became infected, as shown in magnetic resonance imaging.(credit: โ€œClinical presentation and magnetic resonance imaging findings of the 5-week-old girl with infected cephalhaematomaโ€ by Petra Zimmermann and Andrea Duppenthaler/BMC Infectious Diseases, CC BY 4.0)

Hair

The nurse assesses the amount of hair, color, hairlines, and any cowlicks in the pattern. There will be very dramatic differences in newborn hair. Some newborns have a lot of hair at birth, and some have almost none. Lanugo is a soft, fine body hair covering a fetus while inside the uterus that may still be present right after birth. It helps to protect the fetus and keeps them warm while they grow. It is more commonly found in newborns born prematurely. The nurse should document what is observed, including hairline, quantity of hair, quality of hair, whether curly or straight, and color.

Face

Newbornsโ€™ faces are designed to help them breast-feed, so their chins are recessed, their lips are sensitive to touch, and they demonstrate the rooting reflex when the nurse touches the cheek. Eyes and ears should be symmetrical, as should facial movements. Any facial asymmetry or facial paralysis is not an expected variation. This abnormal finding may appear when the newborn cries and would require follow-up with a pediatrician or other health-care provider.

Eyes

Eye examination should be done when the newborn is in a quiet, awake, alert state. Tipping a newborn backward slightly can result in slight eye opening. Eyes should be equal in size bilaterally and align with the ears. Term newborns can fix and focus on an object that is 8 to 10 inches from their face and can sometimes follow it vertically and horizontally. The nurse will assess the eyes for the ability to fully open, pupil size and shape, and placement on the face. Facial swelling or edema may prevent the newborn from opening their eyes fully in the first few hours after birth. The sclera, the area of the eye around the iris and pupil, should be whitish or white, or have a blue tint; and the iris is often blue, gray, or brown. Pupils should be equal, round, and reactive to light. Permanent eye color may appear in 9 months but can take up to 3 years to be fully permanent (Boyd, 2022).

Nose

Assessment of size, shape, and patency of each nostril is important during the assessment of the newbornโ€™s nose. The nose should be symmetrical and midline on the face. The nurse will use a finger to close one of the newbornโ€™s nostrils and assess patency of the other, then repeat on the opposite side. It is important that the nurse assess this soon after delivery because infants are obligate nose breathers (i.e., they can breathe only through their nose) with an acute sense of smell that assists them in learning to breast-feed. Naris patency is supported by observing continued respiratory effort or by feeling the presence of air movement during breaths. Newborns also use sneezing to clear mucus or to indicate they are overstimulated.

Mouth

All newborns will have their mouth assessed for mobility and anatomy. The mouth should be moist, without drool, pink, and mobile. The nurse places a gloved finger into the newbornโ€™s mouth, assesses the hard and soft palate continuity, and assesses whether the mucous membranes are pink and moist, indicating adequate hydration and oxygenation. The nurse assesses the gums for Epstein pearls, which are small, harmless, firm white cysts that contain keratin and which will resolve spontaneously within 1 to 2 weeks. However, if the Epstein pearls are loose, they should be reported to a provider so that they can be removed to prevent choking.

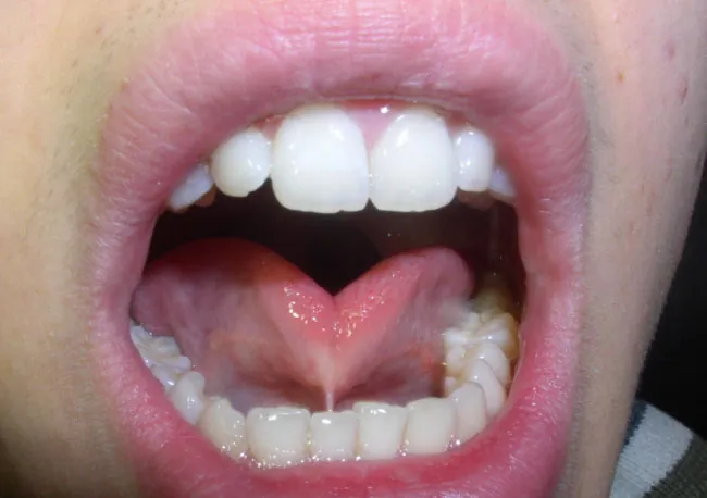
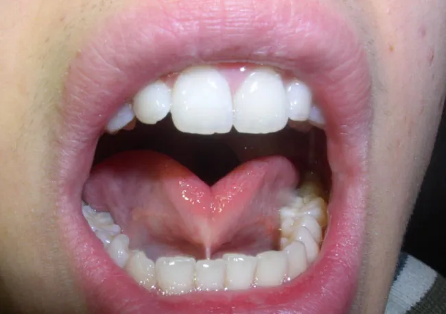
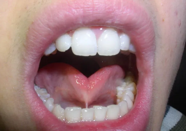
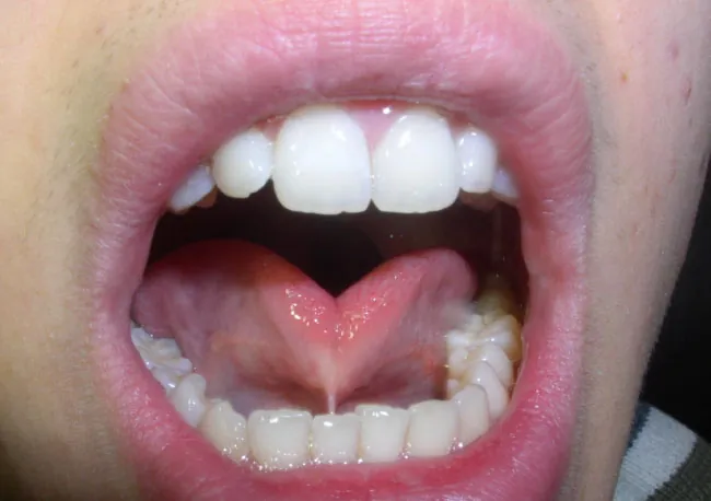
The frenulum of the tongue is a tiny fold of mucous membrane that runs from the floor of the mouth to the midline of the tongueโ€™s underside. Its purpose is to regulate tongue movements. An abnormally short frenulum or a frenulum that is attached near the bottom of the tongue is a condition known as tongue-tie, or ankyloglossia. This can be a cause for feeding issues (Figure 23.7). The nurse checks the newbornโ€™s frenulum to assess for tongue-tie to avoid issues with breast-feeding. The clinician should be notified early if the nurse notices this during assessment so that an intervention can occur. With intervention, the breast-feeding person can improve the breast-feeding latch and improve the feeding relationship with the newborn. However, intervention is not always necessary at this age.

Real RN Stories

Nurse: Jan, MSN, NP
Years in practice: 33
Clinical setting: Cardiology unit
Geographic location: Inner city of a medium-sized city in Ohio

We serve a diverse patient population, but many of our patients are middle class, college-educated, and engaged parents who want to advocate for their newborn. In meeting a new birthing parent with a 5-day-old baby boy, we learn that the birthing parent wants to breast-feed but is having difficulties. The new parent has done multiple Google searches and is worried that they do not have enough breast milk supply and that they are doing โ€œsomething wrongโ€ when attempting to help their newborn latch. A lactation consultation was placed and the trained lactation consultant evaluated both the hold and latch of the newborn during an attempted breast-feeding. Finding a significant tongue-tie led to an ENT consultation and a concrete answer for the parent as to why they were having difficulties with breast-feeding. Ultimately, after working with both ENT and the lactation consultant, the newborn was able to breast-feed successfully.

Photo of an open mouth showing the tongue attached by a frenulum to the bottom of the mouth.
Figure 23.7 Tongue-tie Condition This child has a mild tongue-tie due to a frenulum that is attached near the bottom of the tongue. (credit: โ€œFrenulum linguaeโ€ by Klaus D. Peter/Wikimedia Commons, CC BY 3.0)

Ears

Newborn ears should feel firm, flexible, and pliable, and recoil briskly when assessed. The nurse will assess placement of the ear by imagining a line that is parallel to the outer and inner canthus of the eye. If the pinna of the ear is touching the top of the imaginary line, it is correctly placed. If not, the top of the pinna will be below the line, and the ears are deemed low set (Figure 23.8) Ears should be symmetrical, similar in size, and in the same position. Ears can be an indicator of many congenital and chromosomal disorders, like renal agenesis, because kidneys and ears develop at the same time in the womb. Newborns will all have a hearing screen completed before discharge from the hospital, and if they do not pass, they will be rescreened at their pediatricianโ€™s office or referred to a pediatric audiologist after discharge. Nurses are responsible for ensuring that the hearing screen is complete. Knowing that language development begins at birth, it is vital that the nurses assess newborns for hearing loss.

Photo of infant sleeping. Dotted line shows top of ear lines up with middle of eyes.
Figure 23.8 Ear Placement The newbornโ€™s eyes are appropriately placed in relation to the top of the ears. (credit: โ€œNewborn Sleepingโ€ by Vera Kratochvil/PublicDomainPictures, Public Domain)

Neck

All newborns have a short neck that should be freely movable in all directions with no webbing present. Asymmetry of the neck is usually due to positioning in utero. The nurse performs range of motion of the neck. The thyroid cannot be palpated.

Chest

The newborn chest should be cylindrical, symmetrical, and have an anterior-posterior diameter of 1:1. Chest circumference should be measured by placing the measuring tape flat on the warmer and laying the newborn supine on top of it with the tape at the scapulae. The tape will then be brought around anteriorly, directly over the nipple line (see Figure 23.4). Average chest circumference in a newborn is 33 cm (13 inches), or 2 cm (1 inch) less than the head circumference. Due to maternal hormones still circulating in the newbornโ€™s body, breast buds will appear enlarged and swollen, and female newborns may experience breast discharge. The nurse should assess the clavicles for crepitus, lumps, or masses, which could indicate an injury during birth.

Assessment of Abdomen

Upon inspection, the newbornโ€™s abdomen is symmetrical, round, cylindrical and protruding. The newbornโ€™s abdomen should move with respiration. Abnormal findings include distention, hernias (Figure 23.9), and visibly engorged vessels. Upon auscultation, the nurse hears bowel sounds present in all four quadrants by 1 to 2 hours of life. On palpation, the abdomen is soft, and the liver can be palpated 1 to 2 cm below the right costal margin.

Image of an umbilical hernia shown under the infantโ€™s skin.
Figure 23.9 Umbilical Hernia This is a newborn with an umbilical hernia. (attribution: Copyright Rice University, OpenStax, under CC BY 4.0 license)

The umbilical stump contains three vessels: two arteries and one vein (AVA). The cord will begin drying soon after birth. It should remain free of redness and drainage. The nurse will provide education to the family to keep the umbilical stump open to air to facilitate drying. The cord will fall off independently in 7 to 10 days. Along with educating the parents about care of the umbilical stump, the nurse also instructs the parents to call their health-care provider if they notice any redness, persistent bleeding, or bad smell coming from the umbilical stump (Figure 23.10).

Photo of newborn with an umbilical clamp and wrist and leg tags in a hospital bassinet.
Figure 23.10 Umbilical Clamp Newborn with a clamped umbilical cord. (credit: modification of โ€œUntitled - panoramio - Pedro Martha (7)โ€ by Pedro Marth/Wikimedia Commons, CC BY 3.0)

Genitourinary Assessment

It is important that the nurse perform a complete and thorough assessment of the genitalia of the newborn. This assessment should be completed at the end of the physical examination, since this is often the most invasive part. If this is the parentsโ€™ first child, it is also an appropriate time to teach them how to change a diaper.

Female

The nurse should assess the labia majora, which are slightly swollen from maternal hormones and cover the labia minora and clitoris. Milky discharge and even a reddish discharge, called pseudomenstruation, from the vagina are expected findings for the first 3 to 4 days after birth due to maternal hormones. There may be a vaginal tag, which can be normal and representative of a visible hymenal ring. This will disappear in a few weeks. It is important for the nurse to educate parents about these normal findings in female newborns because they can cause concern if red discharge is found in diapers and parents have not heard this is expected.

Male

Assessment of genitalia in male newborns includes the placement of the urethra, to ensure that it is at the tip of the penis, midline, and patent. Abnormal variations in male genitalia include hypospadias, which occurs when the urethral meatus is located on the ventral side of the penis; alternatively, epispadias is an abnormal condition in which the urethral meatus is located on the dorsal side of the penis. Male newborns with epispadias and hypospadias are not candidates for circumcision until they have a pediatric urology consultation to ensure that there are no additional anatomic abnormalities. Once the newborn is seen by pediatric urology providers after discharge from the hospital, the pediatric urologist will schedule a surgery to correct the meatus and, if the parents choose, may perform a circumcision at the same time. Another abnormal variation in male genitalia the nurse should assess for is phimosis, a condition in which the opening of the foreskin is small and cannot be pulled back over the tip of the penis at all. This can interfere with urination and needs immediate intervention.

Assessment of the scrotum includes noting whether both testes have descended and can be palpated. The abnormal assessment finding in which the testes have not descended is called cryptorchidism. In a newborn, this can be a normal variation that should be followed by the health-care provider to ensure that they do descend in the future. There should be no evidence of hydrocele, which is an abnormal collection of fluid in the scrotal sac.

For newborn boys having a circumcision, that surgical procedure is often performed prior to discharge. The nurse will provide the parents with education regarding care of the surgical site. The nurse will explain to the parents that it is vital not to allow any gauze to adhere to the surgical site and disrupt the clotting that occurs on the tip of the penis. Some circumcision sites may have a device that is left in place until it falls off in 7 to 10 days. Parents will be instructed to use unscented, clear ointment on the tip of the newly circumcised penis and then place a 2-inch ร— 2-inch gauze pad gently over the surgical site. When it is time to change the dressing, they should remove the gauze and very gently wipe off any meconium or stool waste, using caution not to disrupt the clot. It is not necessary to remove all the ointment. Then, the parents will be told to apply fresh ointment and gauze with every diaper change for the next 7 to 10 days. Newborns would likely have had vitamin K prior to the procedure. If bleeding occurs that will not stop, the parents will be told by the nurse to take the newborn to the emergency department (ED) or for evaluation immediately. (See Chapter 22 Immediate Care of the Newborn.)

Atypical Genitalia

Some newborns are born with enlarged clitoris, labial fusion, and/or urethral openings not ventral to vaginal openings, making it difficult for the nurse to assign their sex. These newborns are among the one in 4,500 births that have atypical genitalia (Cleveland Clinic, 2022). The most common cause of atypical genitalia (sometimes called intersex genitals) in XX chromosome newborns is congenital adrenal hyperplasia (in the United States the overall incidence is 1:13,000 to 1:16,000 live births) (Krone & Arlt, 2009). Genital ambiguity in XY chromosome newborns is rare (de Omena Filho et al., 2022.)

Anus

The nurse will inspect the anal area to verify that it is patent and has no fissure. A missing or blocked opening to the anus is abnormal and is termed an imperforate anus. This is ruled out by visual assessment; no digital exam is necessary by the nurse. The passage of meconium can also be noted. When there is no passage of meconium in the first 24 to 48 hours after birth, the newborn is diagnosed with meconium ileus with obstruction, an abnormal finding in the newborn (Cleveland Clinic, 2022).

Musculoskeletal

In the musculoskeletal assessment, the nurse inspects the newbornโ€™s extremities for gross deformities. The nurse assesses for extra digits, webbing, clubfoot, range of motion, short extremities, flexibility, and symmetrical movement. During the first few weeks of life and specifically in the first 24 hours, the newbornโ€™s preferred position will be one that resembles their position in the uterus. They will remain in the fetal position with arms and legs flexed closely to the front of their body, hands clenched, with elbows and knees bent. This posture will change as the newborn develops more control over their body movements and becomes more comfortable with the outside world. Hypotonia, laxity, or a relaxed overall position may be related to maternal medication or an underlying genetic condition.

Arms and Hands

In a full-term newborn, fingernails will extend beyond the end of the fingertip and are often slightly adhered to the skin. The nurse counts all the digits in each hand. The abnormal condition of extra digits in the hand is known as polydactyly. Another abnormal finding of the hand, syndactyly, is the presence of webbing, or fusion, of fingers and toes that can be associated with trisomy 21 (Down syndrome) or be the result of heredity (Figure 23.11). Hands are assessed for palmar creases. A single palmer crease is associated with newborns with trisomy 21.

Images of three infant hands: a hand with all five fingers, a hand with extra pinkies at 90ยฐ angles sticking out from hand, and hand with three fingers fused together.
Figure 23.11 Abnormal Conditions of the Hand. (a) This newbornโ€™s clenched fist is a normal hand. (b) This infant exhibits the condition of polydactyly. (c) This infant exhibits the condition of syndactyly. (credit: (a) โ€œHand of crop black infant on leg of anonymous African American motherโ€ by William Fortunate/Pexels, CC0; (b) โ€œBilateral polydactyly with short fingers in Ellis-van Creveld syndrome patientโ€ by G. Baujat and M. LeMerer/Orphanet Journal of Rare Diseases, CC BY 2.0; (c) โ€œNew born baby hand showing complete complex syndactyly of two fingers (III & IV)โ€ by Dumplestilskin/Wikimedia Commons, Public Domain)

A partial or complete paralysis of portions of the arm that results from trauma to the brachial plexus nerve is called brachial palsy. This can be caused by too much downward pressure being applied during the delivery of the head to deliver the shoulders. From this same motion, it is possible to fracture the clavicle. A fractured clavicle does not always indicate brachial plexus injury. It is important that the nurse assess for full range of motion in both limbs. Brachial palsy occurs most often when there is strong traction applied to the newbornโ€™s head to dislodge the shoulder behind the symphysis pubis in the presence of shoulder dystocia. The portion of the arm affected is determined by the nerves damaged.

Erb-Duchenne paralysis, also known as Erb palsy, involves damage to the upper arm and is the most common nerve injury for newborns. With this injury, the newbornโ€™s arm may lie limply at the side of the body, or the newborn may avoid moving their arm when encouraged to do so. The nurse can see this by initiating the startle reflex. The nurse will place their fingers on the newbornโ€™s clavicle, starting in the center of body and then palpating to the outer body and feeling for crepitus, lumps, or masses on the clavicle, paying attention to grimaces or crying from the newborn. (For a full discussion of Erb-Duchenne paralysis and brachial plexus injury, see Chapter 25 Care of the Newborn at Risk.)

Assessment of Legs and Feet

Newborn legs should be of equal length and with symmetrical folds. The newbornโ€™s legs will likely still be in a flexed position, but the nurse should be able to extend the legs with ease. Range of motion should be symmetrical. The nurse performs the Barlow maneuver to assess the newborn for congenital hip dysplasia by placing the newborn in a supine position in a warm, well-lit place. The nurse will then bring the newbornโ€™s thighs to their chest, adducting the hip while applying pressure on the knee to direct the force posteriorly. If the hip can be dislocated, it will pop out of the socket, and the nurse will hear and feel a click or pop. This is considered a positive test that needs to be reported and documented. The Ortolani maneuver is the second assessment for congenital hip dysplasia, in which the nurse keeps the newbornโ€™s thighs at the midline in the Barlow position, places anterior pressure on the greater trochanters, then uses their thumbs to abduct the newbornโ€™s legs gently and smoothly. If the hips can be dislocated, the nurse will hear or feel a pop. That is considered a positive test that needs to be documented and, though it is not highly sensitive, reported to the health-care provider. A negative exam is free of clicking.

(a) Image of a newborns hips being adducted. (b) Image of a newbornโ€™s hips being abducted.
Figure 23.12 Barlow and Ortolani Maneuvers (a) In the Barlow maneuver, the provider adducts the newbornโ€™s hip. (b) In the Ortolani maneuver, the provider abducts the newbornโ€™s hip. (attribution: Copyright Rice University, OpenStax, under CC BY 4.0 license)

The nurse assesses the newborn feet for symmetry and mobility. An abnormal finding of asymmetry or lack of movement may indicate a talipes deformity, also known as clubfoot. If this condition is noted (see Figure 25.11), the nurse should document it and notify a clinician for follow-up. See Chapter 25 Care of the Newborn at Risk for more information on this topic.

Back and Spine

To assess the back and spine, the nurse rotates the newborn to a prone position. The nurse places one finger on either side of the newbornโ€™s spine, gently pressing as they run their fingers down the length of the spine. In doing so, the nurse assesses that the spine is straight and flat, with no deviations to the right or left. At the base of the spine, there should be no hair tufts, dimples, or breaks in the skin. During fetal development the spinal column comes together caudal to pedal (head to toe). If this process is stopped prior to full alignment, a dimple, cyst, or opening may be found at the base of the spine, potentially indicating misplacement of the nerves found at the base of the spinal column, or spina bifida. Spina bifida is a condition that may not be diagnosed until late childhood, but it will be monitored by pediatric health-care providers. Any deviations should be reported to the health-care provider.

Pharmacology Connections

The Hepatitis B Vaccine

A large part of the nurseโ€™s responsibility during their time with the new family on the postpartum unit is providing education about the newbornโ€™s first vaccination, hepatitis B. The hepatitis B vaccine is given to the newborn within the first 24 hours after birth and is the first in a three-dose series the newborn will receive over an 18-month period. The nurse should allow plenty of time to answer any questions from the new parents before administering the injection to the newborn.

  • Generic Name: Hepatitis B immune globulin
  • Trade Name: Engerix-B, Recombivax HB, Heplisav-B
  • Class/Action: vaccines, inactivated, viral
  • Route/Dosage: 5 mcg/0.5 mL (Recombivax HB), 10 mcg/0.5mL (Engerix-B).
  • The hepatitis B vaccine is given to the infant as a 0.5 mL intramuscular injection in the anterior thigh. It is a three-dose immunization: The first dose is administered to the newborn within 24 hours of birth, the second between 1 and 2 months of age, and the third and final dose between 6 and 18 months of age.
  • High Alert/Black Box Warning:
  • Indications: The Centers for Disease Control and Prevention (CDC) recommends administration of the hepatitis B vaccine to all newborns within 24 hours of birth or at hospital discharge, whichever comes first.
  • Mechanism of Action: Immunization with hepatitis B vaccine stimulates the immune system to produce specific humoral antibodies (HBsAG) against the hepatitis B virus.
  • Contraindications: hypersensitivity to yeast
  • Adverse Reactions/Side Effects: soreness at the site of the injection, severe itching, redness at the injection site, weakness, feeling unwell, nausea, vomiting
  • Nursing Implications: Witness consent. Review patient education with the family. Administer the IM injection in the middle vastus lateralis muscle. Document in the patientโ€™s chart.
  • Parent/Family Education: The nurse will provide education to the parents via the CDC vaccine information statement (VIS). It is mandatory that, while providing this information to the parents, the nurse provide a copy of the VIS statement to them so that they can follow along and make an informed decision. The nurse should educate the parents that the risk of reaction for this injection is soreness at the site of the injection. The nurse will also advise the parents that they will need to follow up with their pediatrician and schedule the next appointment for immunization between 1 and 2 months of age and then again for the newbornโ€™s final dose between 6 and 18 months.

Skin Assessment

Newborn skin should look well perfused and an appropriate color for the race of the newborn. Capillary refill for newborns should be less than 3 seconds (Singh, 2015), and well-hydrated newborns have flat fontanelles and moist mucosal membranes. It is a normal variation to see dry, cracked skin on hands, legs, and feet. Some variations in newborn skin are identified and defined in Table 23.2.

Skin Presentation Assessment Findings Comments
Acrocyanosis
Photo of infant with splotches on their face and body with a bluish tint to their skin.
(credit: modification of โ€œCyanotic neonateโ€ by Jules Atkins/Wikipedia Commons, Public Domain)
Bluish discoloration of hands and feet after birth Peripheral cyanosis is normal in the first 24โ€“48 hours after birth and resolves on its own. This is due to an immature cardiac system. If this is seen after that period, it is due to cold stress or sepsis and requires further evaluation.
Erythema toxicum
Photo of infant with splotches on torso.
(credit: โ€œErythema toxicum neonatorumโ€ by F. T. T. S. Haveri and A. C. Inamadar/ISRN Dermatology, CC BY 1.0)
Normal newborn rash abruptly occurring as yellow or white papules over an erythematous base on the newbornโ€™s body except the palms; occurs in 30%โ€“70% of newborns This condition is of unknown cause but thought to be an awakening of the immature immune system.
Milia
Photo of infant with little white dots on nose.
(credit: โ€œNewborn Milia (Milk Spots)โ€ by โ€œSerephineโ€/Wikimedia Commons, CC0)
Exposed sebaceous glands that look like โ€œbaby acneโ€ on the newbornโ€™s face, nose, or chin, or all three Milia disappear within the first month of life; no additional treatment is needed.
Telangiectatic nevus (stork bite)
Image of back of infantโ€™s neck displaying red splotches.
(credit: โ€œHere's Maddie's โ€˜stork biteโ€™ birth mark.โ€ By Abigail Batchelder/Flickr, CC BY 2.0)
Pale pink or reddish discoloration at the base of the neck, lower axilla, nasal bridge, or eyelids Stork bites are often more noticeable when the newborn is crying or upset; they usually disappears by the second birthday but sometimes do not; they require no intervention.
Dermal melanocytosis
Photo of backside of infant marked with blue splotches.
(credit: โ€œ6 month old Taiwanese baby girlโ€ by Abby Lu/flickr, CC BY 2.0)
Formerly referred to as Mongolian spots, bluish-gray spots that can occur across the shoulders, on the hips, on the lower back near the buttocks, and on the legs Commonly seen in newborns with darker skin, these spots will resolve on their own in the first few years of life; they resemble bruising and so can be confused with nonaccidental trauma, so the nurse should document location and size during neonatal assessment.
Strawberry hemangioma
Photo of an irregularly shaped cluster of raised, red bumps on an infantโ€™s abdomen.
(credit: โ€œCapillary haemangiomaโ€ by โ€œUser:Zeimusuโ€/Wikimedia Commons, Public Domain)
Raised capillary nevi, occurring anywhere on the body, that often increase in size for the first few months of life, slowly decreasing in size over time, and disappearing by 10 years of age No referral is needed unless these are interfering with vision or are very close to the eyes.
Lanugo
Photo of soft, black hair covering skin of infant.
(credit: โ€œLanugoโ€ by โ€œRaumkaโ€/Wikimedia Commons, CC BY 1.0)
Fine, soft hair that covers the newbornโ€™s back, shoulders, cheeks, forehead, and scalp; more common in newborns that are born early and often disappears within the 4 weeks after birth No referral is needed.
Vernix caseosa
Photo of white, dry, cheese-like substance covering infantโ€™s purple-looking feet.
(credit: โ€œVernix feetโ€ by โ€œNp0xโ€/Wikimedia Commons, Public Domain)
Cheesy, white substance covering and protecting the skin during intrauterine life; coverage at birth related to gestational age Vernix caseosa diminishes the closer to term the fetus gets.
Table 23.2 Newborn Skin Variations

Cultural Context

Skin Color in Black and Biracial Newborns

Newborns of Black or biracial descent are born with variations in skin color. These newborns often have very sensitive skin that is prone to dryness and hyperpigmentation. Their skin is likely to be a shade or two lighter than their eventual skin color will be. This is so because it takes melanin 2 to 3 weeks to appear at the surface of the skin after being produced by cells called melanocytes (Lucock, 2023). If parents are concerned about the newbornโ€™s light skin color, the nurse can use this as a teaching opportunity.

Assessing Jaundice in a Newborn

The condition of neonatal jaundice arises from an excess of bilirubin in the blood due to an increase in breakdown of red blood cells and manifests in a newborn as a yellowish discoloration of the skin, sclera, and mucous membranes. Approximately 75 percent of jaundice cases in newborns is caused by physiologic jaundice, which results from an increased bilirubin load, decreased ability to clear the bilirubin, and impaired activity from the enzyme needed for bilirubin conjugation in immature newborn livers. Physiologic jaundice typically appears after 24 hours of age, peaks at around 48 to 96 hours, and resolves by 2 to 3 weeks in full-term newborns.

To assess for newborn jaundice, the nurse will press on the newbornโ€™s forehead and nose for 1 second with a gloved finger and observe for any underlying yellow tinge to the skin. If there is a yellow tinge, the nurse will also assess the sternum, palms, and soles by blanching the skin. In darker skinned newborns, jaundice may be more difficult to assess. Under the tongue and the sclera of the newbornโ€™s eyes are other areas that should be assessed for jaundice or yellowing, as those areas work equally well for all skin colors. Jaundice progresses from head to toe. Jaundice is observable in the face and neck when bilirubin levels reach 4 to 8 mg/dL and can be seen on hands and feet when levels are greater than 15 mg/dL. The first notable finding is often seen in the sclera, and it is also the last area to clear. If the newborn appears jaundiced, a total serum bilirubin or transcutaneous bilirubin (TcB) level needs to be checked with the transcutaneous bilirubin meter (Figure 23.13). A diagnosis of pathologic jaundice, or nonphysiologic jaundice, occurs if the jaundice is present on the first day of life, and the newbornโ€™s total serum bilirubin (TSB) rises by more than 5 mg/dL, more than 0.2 mg/dL/hour, or is higher than 17 mg/dL, or when the newborn has signs and symptoms suggestive of serious illness, like lethargy, respiratory distress, and decreased feeding. (For further discussion, refer 24.2 Care of Common Problems in the Newborn.)

Image of a transcutaneous bilirubinometer being hold to an infantโ€™s chest.
Figure 23.13 Transcutaneous Bilirubinometer A transcutaneous bilirubinometer is used to measure bilirubin levels in the subcutaneous tissue in a newborn. (attribution: Copyright Rice University, OpenStax, under CC BY 4.0 license)

Assessment of Neurologic Status

The assessment of neurologic status should be ongoing throughout the entire assessment of the newborn and throughout the nurseโ€™s shift. Neurologic assessment of a newborn is different from a neurologic assessment in an adult. In the newborn, the nurse assesses physical characteristics including resting posture, muscle tone, motor activity, state of alertness, cry, and, most importantly, the ability to be consoled. Newborns like to be in a flexed position and should be using their extremities bilaterally. Typical newborns move their upper extremities erratically with uncoordinated movements. Any decreased, absent, or unilateral movements need further evaluation, as they may be indicative of a neurologic issue.

Any observation of consistently long-lasting, ongoing tremors or jitteriness in a full-term newborn must be evaluated for a cause. Tremors can be related to hypoglycemia, hypocalcemia, substance withdrawal, or convulsions. Neonatal seizures can look like many things but can also simply be chewing or swallowing movements, deviations of the eyes, rigidity, or flaccidity due to immaturity of the central nervous system.

To assess the sucking reflex, the nurse will insert a gloved finger into the newbornโ€™s mouth to elicit a response. Once the newborn is sucking, the nurse will assess hearing and vision responses by noting sucking changes in the presence of noise by a rattle or voice, and a change in sucking when a penlight is shined near the newbornโ€™s eyes. The newborn responds with a brief stop in sucking followed by restarting sucking.

A normal neurologic examination indicates a functional neurologic system in the newborn. Nurses will be on alert for neurologic changes to be recognized as possible alterations and injuries that have occurred. Table 23.3 lists possible injuries that could occur during birth or after and the signs that a nurse may observe during a physical examination.

Immaturity of the central nervous system in the newborn is demonstrated by reflex responses. The newbornโ€™s movements are uncoordinated, and methods of communication are very limited, so reflexes in newborns serve specific purposes. Some of them are protective, like blink, gag, and sneeze. Some newborn reflexes help with feeding, such as rooting and sucking, and some are for stimulating human interaction, such as yawning. Additionally, newborns can draw back from pain (protective), and they can even push up and try to crawl (prone crawl).

Potential Injury Example
Eye injuries Subconjunctival and retinal hemorrhages
Intracranial hemorrhage Subdural, subarachnoid
Bone fracture Clavicle, facial bone, skull, humerus, femur
Nasal injuries Dislocation, fractures
Scalp laceration abscess Fetal scalp electrode, scalpel injuries related to cesarean birth
Soft-tissue injuries Cephalohematoma, brachial plexus
Table 23.3 Possible Injuries That Can Occur in Newborns

Moro Reflex

The Moro, or startle, reflex is present at birth and usually disappears around 2 months of age. This is a primitive protective reflex that occurs when the newborn is startled by a loud sound or sudden movement. The newborn will throw back their head, extend arms and legs, and sometimes begin to cry. A lack of Moro reflex warrants a call to the primary health-care provider for further evaluation (Figure 23.14).

Photo of infant laying down with arms and legs sticking straight out and up.
Figure 23.14 Moro Reflex This startled newborn extends their arms, demonstrating the Moro reflex. (credit: โ€œMoro reflexโ€ by โ€œPatty 2โ€/Wikimedia Commons, Public Domain)

Palmar Grasp Reflex

The palmar grasp reflex, present at 16 weeksโ€™ gestation in utero, is a primitive reflex that can be elicited in preterm newborns as early as 25 weeks (Anekar & Brodoni, 2022). This reflex integrates with other newborn behaviors at 4 to 6 months to allow grasping of objects. It is possible that this reflex began as a way create interaction and bonding between the newborn and the parent (Anekar & Brodoni, 2022). The nurse can assess for the grasp reflex by placing their finger into the newbornโ€™s palm. The newborn will grasp hard enough bilaterally that the nurse will be able to raise the newbornโ€™s trunk for a few seconds (Figure 23.15).

Photo of infant grasping personโ€™s finger.
Figure 23.15 Palmar Grasp Reflex New parents are often surprised by the strength of their newbornโ€™s palmar grasp reflex. (credit: โ€œA Person Touching an Infantโ€™s Handโ€ by Steven Morissette/Pexels, CC0)

Rooting Reflex

The rooting reflex that assists the infant in eating is present at birth and disappears around 3 to 4 months of age. The nurse can elicit this response by stroking the newbornโ€™s cheek or the corner of the newbornโ€™s mouth. The newborn will turn toward the nurse and open their mouth, anticipating the nipple or a bottle (Figure 23.16). Lack of response can indicate facial paralysis or neurologic depression, and the nurse should contact the primary care practitioner for follow-up.

Image of infant turning its head toward a finger extended towards them.
Figure 23.16 Rooting Reflex The rooting reflex aims the infantโ€™s mouth toward a possible source of food. (attribution: Copyright Rice University, OpenStax, under CC BY 4.0 license)

Sucking Reflex

The sucking reflex begins in utero around 23 weeksโ€™ gestation but does not fully develop until 36 weeksโ€™ gestation. Premature newborns may have a weak, uncoordinated sucking ability, and it may be difficult for them to feed (Stanford Medicine, Childrens Health, 2022). The nurse can elicit this response by placing a gloved finger in the newbornโ€™s mouth and assessing the strength of the suck (Figure 23.17). During this assessment, the nurse can also assess for any soft and hard palate abnormalities. Absence of a suck reflex may indicate neurologic depression from CNS conditions, neonatal abstinence syndrome, or developmental immaturity, and the nurse will report this to the primary care practitioner for further follow-up.

Photo of infant breastfeeding.
Figure 23.17 Suck Reflex The newbornโ€™s suck reflex responds to anything placed in the mouth. (credit: โ€œNewborn Baby Breastfeedingโ€ by Jonathan Borba/Pexels, CC0)

Tonic Neck Reflex

The tonic neck reflex is present at birth and integrates at 4 to 6 months with other newborn behaviors like rolling over, sitting up, and developing hand-eye coordination to reach for items (Frothingham, 2020). Some hypotheses suggest that this reflex occurs to help the fetus move down the birth canal (Frothingham, 2020). The nurse can assess for tonic neck reflex by placing the newborn supine, gently rotating the head to one side, and holding it in position for 15 seconds. A positive response is when the arm and leg extend on the facial side and flex on the other (Figure 23.18). No response to the assessment indicates the need to report that finding to the newbornโ€™s primary clinician.

Photo of infant facing to the left with left arm extended out, while right arm is bent at the elbow and the fist is close to the shoulder.
Figure 23.18 Tonic Neck Reflex This newborn demonstrates a positive response to assessment of the tonic neck reflex. (credit: โ€œAsymmetrical tonic neck reflex (ATNR) at Two Monthsโ€ by โ€œMjlissnerโ€/Wikimedia Commons, CC0)

Stepping Reflex

The final reflex assessed is the stepping reflex, present from birth and designed to assist the newborn in moving to the birthing personโ€™s breast to begin feeding. The nurse can assess this reflex in two ways. They can leave the newborn prone on the birthing personโ€™s abdomen and observe the newborn crawl to the birthing personโ€™s breast using the toes and knees, as though they are taking steps (Stanford Medicine, Childrens Health, 2022). Alternatively, the nurse can hold the newborn, place their feet on the bed, and observe the newborn try to stand on their feet and take steps (Figure 23.19). This reflex will disappear at around 8 weeks of age.

Image of hands holding infant while one leg is on the ground and one leg is bent at the knee and in the air.
Figure 23.19 Stepping Reflex Parents often enjoy having their newborn demonstrate the stepping reflex for family and friends. (credit: (attribution: Copyright Rice University, OpenStax, under CC BY 4.0 license)

Clinical Safety and Procedures (QSEN)

QSEN Competency: Patient-Centered Care: Use of a Pacifier

Definition: Recognize the patient or designee as the source of control and full partner in providing compassionate and coordinated care based on respect for patientsโ€™ preferences, values, and needs.

Knowledge: The nurse integrates understanding of multiple dimensions of patient-centered care:

  • patient/family/community preferences, values
  • coordination and integration of care
  • information, communication, and education
  • physical comfort and emotional support
  • involvement of family and friends
  • transition and continuity

Describe how diverse cultural, ethnic, and social backgrounds function as sources of patient family and community values

Skill: Communicate patient values, preferences, and expressed needs to other members of health-care team. The nurse will do the following:

  • Listen to the patient and explore any concerns they may express.
  • Share the preference the birthing parent has for the newborn to utilize a pacifier to self-soothe when not feeding.
  • Provide the materials requested.

Attitude: Respect and encourage individual expression of patient values, preferences, and expressed needs.

(QSEN Institute, n.d.)

Citation/Attribution

This book may not be used in the training of large language models or otherwise be ingested into large language models or generative AI offerings without OpenStax's permission.

Want to cite, share, or modify this book? This book uses the Creative Commons Attribution License and you must attribute OpenStax.

Attribution information
  • If you are redistributing all or part of this book in a print format, then you must include on every physical page the following attribution:

    Access for free at https://openstax.org/books/maternal-newborn-nursing/pages/1-introduction

  • If you are redistributing all or part of this book in a digital format, then you must include on every digital page view the following attribution:

    Access for free at https://openstax.org/books/maternal-newborn-nursing/pages/1-introduction

Citation information

ยฉ Jun 25, 2024 OpenStax. Textbook content produced by OpenStax is licensed under a Creative Commons Attribution License . The OpenStax name, OpenStax logo, OpenStax book covers, OpenStax CNX name, and OpenStax CNX logo are not subject to the Creative Commons license and may not be reproduced without the prior and express written consent of Rice University.