Skip to ContentGo to accessibility pageKeyboard shortcuts menu
OpenStax Logo
Clinical Nursing Skills

25.2 Physical Assessment

Clinical Nursing Skills25.2 Physical Assessment
Search for key terms or text.

Learning Objectives

By the end of this section, you will be able to:

  • Analyze how to perform a comprehensive musculoskeletal assessment
  • Explain abnormalities identified during the assessment of the musculoskeletal system
  • Recall proper documentation of musculoskeletal assessment

Nurses are responsible for different types of assessments, based on the circumstances and the patient’s status. A complete assessment is typical as part of an annual physical examination or on admission to the hospital. Nurses also perform such thorough head-to-toe assessments at the beginning of a shift—to establish baseline or compare to the previous nurse’s findings. During a shift, assessments tend to focus on a particular body system or a couple of related systems, because it is rare for one organ system to function in isolation. Focused assessments tend to be more quickly accomplished and can be broadened in scope if abnormal findings are identified.

An assessment of the musculoskeletal system is an example of such an assessment. As part of clinical judgment and vigilant professional nursing practice, the nurse demonstrates awareness of the relationship of musculoskeletal structure and function with other organs and body systems and explores any abnormal or unusual findings or concerns the patient expresses.

Comprehensive Musculoskeletal Assessment

A patient’s mobility status and their need for assistance affect nursing care decisions, such as handling and transferring procedures, ambulation, and implementation of fall precautions. Initial mobility assessments are typically performed by a physical therapist (PT) on admission to a facility. Specific limitations are prescribed by the healthcare provider during the admission process, patient care rounds, or after a procedure or surgery. Specific facility and unit policies and procedures also provide guidelines as to frequency of assessments and changes for which prescriber notification is indicated. Nursing assessment of the musculoskeletal patient should include pain assessment, before and after administration of pain medication and/or nonpharmacological interventions, as well as frequent circulatory, motor, and sensation (CMS) assessment of the affected region(s).

Prescriptions for activity by the healthcare provider or PT may indicate total bed rest, authorization for getting out of bed to use a bedside commode, or more freedom. Patients with lower extremity fractures or those recovering from knee or hip replacement often progress through stages of weight-bearing activity (Table 25.1).

Type of Weight-Bearing Description
Non-weight-bearing
  • The affected leg must not touch the floor and is not permitted to support any weight.
  • Crutches or other devices are used for mobility.
Toe-touch weight-bearing (TTWB)
  • The foot or toes may touch the floor to maintain balance only.
  • No weight should be placed on the affected leg.
Partial weight-bearing
  • A small amount of weight may be supported on the affected leg, with gradual increase to 50 percent of body weight.
  • Permits the person to stand with body weight evenly supported by both feet.
  • No walking.
Weight-bearing as tolerated
  • Patient can support 50 to 100 percent of weight on the affected leg.
  • Patient can independently choose the weight supported by the extremity based on their tolerance and the circumstances.
Full weight-bearing
  • Affected leg can support 100 percent of a person’s body weight.
  • Walking is permitted.
Table 25.1 Weight-Bearing Prescriptions

Assistance levels, from the need for full support to independence, are exemplified in Table 25.2.

Assistance Type Required Description
Dependent
  • Patient is unable to help at all.
  • Mechanical lift and/or assistance by other personnel is required to perform tasks.
Maximum assistance
  • Patient can perform 25 percent of the mobility task with caregiver assistance of 75 percent.
Moderate assistance
  • Patient can perform 50 percent of the mobility task with caregiver assistance of 50 percent.
Minimal assistance
  • Patient can perform 75 percent of the mobility task with caregiver assistance of 25 percent.
Contact guard assist
  • Patient can perform the mobility task with caregiver assistance with balance, by placing one or two hands on the patient’s body.
Stand-by assist
  • Patient can perform the mobility task without hands-on assistance.
  • Caregiver remains close to the patient for safety in case they lose their balance or need help during performance of the task.
Independent
  • Patient can safely perform the functional task on their own; assistance is not needed.
Table 25.2 Types of Mobility Assistance Needs

In addition to reviewing orders regarding weight-bearing and assistance required, all staff should assess patient mobility before and during interventions, such as transferring from surface to surface or during ambulation. To perform a comprehensive musculoskeletal assessment, the nurse focuses on obtaining focused subjective and objective data.

Subjective Data

Collect subjective data from the patient and pay particular attention to what the patient is reporting about current symptoms as well as past history of musculoskeletal injuries and disease. Information during the subjective assessment should be compared to expectations for the patient’s age group or that patient’s baseline. For example, an older client may have chronic limited range of motion (ROM) in the knee due to osteoarthritis, whereas a child may have new, limited ROM due to a knee sprain that occurred during a sports activity.

If the patient reports a current symptom, use the PQRSTU method to obtain more information about this chief complaint (Table 25.3).

PQRSTU Questions
Provocation/palliation What makes your pain worse?
What makes your pain feel better?
Quality What does your pain feel like?
Region Where exactly do you feel the pain? Does it move around or radiate elsewhere?
Severity How would you rate your pain on a scale of 0 to 10, with 0 being no pain and 10 being the worst pain you ever experienced?
Timing/treatment When did the pain start?
What were you doing when the pain started?
Is the pain constant, or does it come and go?
If the pain is intermittent, when does it occur?
How long does the pain last?
Have you taken anything to help relieve the pain?
Understanding What do you think is causing the pain?
Table 25.3 Sample PQRSTU Focused Questions

If the patient is experiencing acute pain or recent injury, focus on providing pain relief and/or stabilization of the injury prior to proceeding with the interview. Use information obtained during the subjective assessment to guide your physical examination (Table 25.4). The first question of the musculoskeletal interview is based on the six most common symptoms related to musculoskeletal disease.

Interview Questions Follow-up Example
Are you experiencing any current musculoskeletal symptoms such as muscle weakness, pain, swelling, redness, warmth, or stiffness? Describe your concern today.
How is it affecting your ability to complete daily activities?
P: Does anything bring on the symptom, such as activity, weight-bearing, or rest? If activity brings on the symptom, how much activity is required to bring on the symptom? Does it occur at a certain time of day? Is there anything that makes it better or go away?
Q: Describe the characteristics of the pain (aching, throbbing, sharp,
dull).
R: Is the pain localized or does it radiate to another part or area of the body?
S: How severe is the pain on a scale of 0 to 10?
T: When did the pain first start? Is it constant, or does it come and go? Have you taken anything to relieve the pain?
“My lower back has been hurting for the past week.”
“I can barely walk, as I feel I have to lean over and my legs are awkward. I have trouble leaning over when I brush my teeth.”
P: “I don’t remember anything specific that I did that made my back start hurting, but one morning a week ago, I woke up and could barely get out of bed. The only thing that helps is a hot shower.”
Q: “When I’m just lying down, my back aches, but when I try to walk, I’d say throbbing and sometimes a sharp jab.”
R: “My lower back, just above my butt. It hurts more on the left.”
S: “Most of the time, like right now, 4, maybe 5. But when I feel that sharp jab of a knife, it’s 8 to 10.”
T: “It started a week ago, when I tried to get out of bed, it was bad. It’s continual pain at a 4 or 5, and then those jabs of really bad pain—they come and go. I took some ibuprofen when the constant pain was like a 7 one day, and it took it to a 3 but never went away. I never know when the stabbing pain will happen, so I can’t know when to take something.”
Have you ever been diagnosed with a chronic musculoskeletal disease such as osteoporosis, osteoarthritis, or rheumatoid arthritis? Please describe the conditions and treatments. “No, I haven’t. But I don’t see a doctor very often.”
Have you ever been diagnosed with a neurological condition that affected the use of your muscles? Please describe. “No. Nothing like that.”
Have you had any previous surgeries on your bones or muscles, such as fracture repair or knee or hip surgery? Please describe. “I broke my right arm when I was a kid. Wore a cast for a couple months. Nothing with my back or legs.”
Are you currently taking any medications, herbs, or supplements for your muscles, bones, or the health of your musculoskeletal system? Please describe. “I take a water pill for my blood pressure. I’ve never had something like this happen before, so no, I don’t take anything for my back. Well, I did try some ibuprofen a couple days ago, like I said.”
Have you ever had a broken bone, strain, or other injury to a muscle, joint, tendon, or ligament? Please describe. “My broken arm, when I was a kid. That’s the only thing.”
Table 25.4 Focused Interview Questions Related to the Musculoskeletal System

Life-Stage Context

Musculoskeletal Assessment Questions for the Older Adult

When assessing older adults, it is important to assess their mobility and their ability to perform ADLs:

  • Do you use any assistive devices, such as a brace, cane, walker, or wheelchair?
  • Have you fallen or had any near falls in the past few months? If so, was there any injury or did you seek medical care?
  • Describe your mobility as of today. Have you noticed any changes in your ability to complete your usual daily activities such as walking, going to the bathroom, bathing, doing laundry, or preparing meals? If so, do you have any assistance available?

Medications also should be explored, to include prescriptions, over-the-counter medications, vitamins, and herbals, as all these sources have chemical properties that affect the human body. Effects may be intended and desired or undesired and accidental; interactions between drugs of all types should be noted in the patient’s medical record.

Objective Data

The purpose of a routine physical examination of the musculoskeletal system by a registered nurse is to assess function and to screen for abnormalities. Most information about function and mobility is gathered during the patient interview, but the nurse also observes the patient’s posture, walking, and movement of their extremities during the physical examination.

During a routine assessment of a patient during inpatient care, a registered nurse typically completes the following musculoskeletal assessments:

  • Assess gait.
  • Inspect the spine.
  • Observe the ROM of joints.
  • Inspect muscles and extremities for size and symmetry.
  • Assess muscle strength.
  • Palpate extremities for tenderness.

While assessing an older adult, keep in mind they may have limited mobility and ROM due to age-related degeneration of joints and muscle weakness. Be considerate of these limitations, and never examine any areas to the point of pain or discomfort. Support the joints and muscles as you assess them to avoid pain or muscle spasm. Compare bilateral sides simultaneously and expect symmetry of structure and function of the corresponding body area.

Inspection

General inspection begins by observing the patient in the standing position for postural abnormalities. Observe their stance and note any abnormal curvature of the spine. Ask the patient to walk away from you, turn, and walk back toward you while observing their gait and balance. Ask the patient to sit. Inspect the size and contour of the muscles and joints and if the corresponding parts are symmetrical. Notice the skin over the joints and muscles and observe if there is tenderness, swelling, erythema, deformity, or asymmetry. Observe how the patient moves their extremities and note if there is pain with movement or any limitations in active ROM. Active ROM is the degree of movement the patient can voluntarily achieve in a joint without assistance.

Palpation

Palpation is typically done simultaneously during inspection. As you observe, palpate each joint for warmth, swelling, or tenderness. If you observe decreased active ROM, gently attempt passive ROM by stabilizing the joint with one hand while using the other hand to gently move the joint to its limit of movement. The passive range of motion is the degree of ROM demonstrated in a joint when the examiner is providing the movement. During palpation, a feeling of popping accompanied by a crackling noise is considered normal as long as it is not associated with pain. As the joint moves, there should not be any reported pain or tenderness.

Assess muscle strength. Muscle strength should be equal bilaterally, and the patient should be able to fully resist an opposing force. Muscle strength varies among people depending on their activity level, genetic predisposition, lifestyle, and history. A common method of evaluating muscle strength is the Medical Research Council Manual Muscle Testing scale (Naqvi & Sherman, 2023). This method involves testing key muscles from the upper and lower extremities against gravity and the examiner’s resistance and grading the patient’s strength on a 0 to 5 scale (Table 25.5).

0—No muscle contraction
1—Trace muscle contraction, such as a twitch
2—Active movement only when gravity eliminated
3—Active movement against gravity but not against resistance
4—Active movement against gravity and some resistance
5—Active movement against gravity and examiner’s full resistance
Table 25.5 Muscle Strength Scale (Source: Naqvi & Sherman, 2023.)

To assess upper extremity strength, first begin by assessing bilateral handgrip strength. Extend your index and second fingers on each hand toward the patient and ask them to squeeze them as tightly as possible. Then, ask the patient to extend their arms with their palms up. As you provide resistance on their forearms, ask the patient to pull their arms toward them. Finally, ask the patient to place their palms against yours and press while you provide resistance. Figure 25.10 shows images of a nurse assessing upper body strength.

The image is a triptych showing a young man in a gray t-shirt performing three different physical therapy exercises, assisted by a therapist whose face is not visible. The first frame shows wrist manipulation, the second a grip strength test, and the third a resistance exercise with palms pressed together.
Figure 25.10 A nurse tests a patient’s (a) handgrip, (b) ability to pull toward themselves, and (c) ability to push away from themselves. (credit: “Neuro Exam image 38.png,” Neuro Exam image 41.png,” and “Neuro Exam image 39 .jpg” by Meredith Pomietlo/Chippewa Valley Technical College, CC BY 4.0)

To assess lower extremity strength, perform the following maneuvers with a seated patient. Place your palms on the patient’s thighs and ask them to lift their legs while providing resistance. Second, place your hands behind the patient’s calves and ask them to pull their legs backward while you provide resistance. Place your hands on the top of their feet and ask them to pull their feet upward against your resistance. Finally, place your hands on the soles of their feet and ask them to press downward while you provide resistance, instructing them to “press downward like pressing the gas pedal on a car” (Figure 25.11).

The image is a series of three photos of a young man seated, engaging in lower limb exercises with a therapist. In the first, the therapist stabilizes the patient's knee; in the second, the therapist assists with ankle mobilization; and in the third, they guide the patient through a foot strengthening exercise.
Figure 25.11 A nurse assesses lower body strength by having the patient (a) lift their legs, (b) push their legs back, and (c) push up their feet against resistance. (credit: "Musculoskeletal Exam image 2.png," "Neuro Exam image 6.png," and "Musculoskeletal Exam Image 7.png" by Meredith Pomietlo/Chippewa Valley Technical College, CC BY)

A comparison of expected versus unexpected findings when assessing the musculoskeletal system is summarized in Table 25.6.

Assessment Expected Findings Unexpected Findings (document and notify provider if a new finding)
Inspection
  • Erect posture with good balance and normal gait while walking
  • Symmetrical joints and muscles with no swelling, redness, or deformity
  • Active ROM of all joints without difficulty
  • No spine curvature
  • Spinal curvature present
  • Poor balance or unsteady gait while walking
  • Swelling, bruising, erythema, or tenderness over joints or muscles
  • Deformity of joints
  • Decreased active ROM
  • Contracture or foot drop present
Auscultation
  • Not applicable
  • Crepitus (a grating or crackling sound) associated with pain on movement
Palpation
  • No palpable tenderness or warmth of joints, bones, or muscles
  • Muscle strength 5/5 against resistance
  • Warmth or tenderness on palpation of joints, bones, or muscles
  • Decreased passive ROM
  • Muscle strength of 3/5 or less
CRITICAL CONDITIONS to report immediately  
  • Hot, swollen, painful joint
  • Suspected fracture, dislocation, sprain, or strain
Table 25.6 Expected Versus Unexpected Findings on Musculoskeletal Assessment

Life-Stage Context

Age-Related Musculoskeletal Differences

Patients at the extremes of age, neonates and older adults, have some age-related musculoskeletal differences based on their age. The normal newborn skull bones are not fused, and assessment includes the fontanelles: depression or puffiness provides data about the baby’s fluid balance. Muscle development and strength are immature, but the normal neonate is able to move the head and all extremities; ROM is assessed passively. The spine is assessed, including inspection for the presence of a dimple and/or tuft of hair, which are associated with spina bifida occulta (Mayo Clinic, 2022).

Changes associated with advanced age include sarcopenia (muscle loss), degenerative joint disease (DJD) or degenerative disk disease, a tendency of the tendons to lose elasticity, calcification of joint capsules, possible osteoporosis, and arthritis-related changes. These alterations to normal structure and function may lead to reduced flexibility and strength that may cause slower movement and impaired mobility and, in many cases, may place patients at increased risk for falls. While sarcopenia is common in older adults, it actually begins in about the third decade. There are steps that can be taken to prevent frailty and injuries, including exercise and proper nutrition. Resistance exercises show the most positive effect in the prevention of sarcopenia.

Abnormalities of the Musculoskeletal Assessment

The number of potential abnormalities that may present in the musculoskeletal assessment is vast and beyond the scope of this book and chapter. To narrow the range of possibilities, the focus herein is primarily on some of the most common aberrations, to assist the student and generalist nurse in identifying deviations from the normal assessment. Diagnosing the specific cause of abnormal findings is within the scope of the advanced practice nurse and other such healthcare providers. In addition to the common abnormalities, exposure to a serious complication of musculoskeletal injury—compartment syndrome—is presented. Prompt recognition of signs and symptoms of compartment syndrome is essential to reduce development of more extensive injury and possible limb loss.

Change in Bone Alignment

Normal musculoskeletal function relies on bones to be aligned appropriately. Alterations to the alignment of bones can be genetic or occur from injury, infection, neoplasm, or metastasis. Even with medical or surgical intervention, fractures may heal with misalignment in bone structure, from location of the injury, abnormal healing process, or subsequent infection or inflammation.

Dislocations also cause misalignment in bone structure, at least temporarily. Some dislocations, like many fractures, are urgent or emergent, requiring prompt or immediate intervention and realignment.

Some other changes in bone alignment include the following:

  • Intoeing: Commonly referred to as “pigeon-toed,” is when the feet turn in; this is especially notable when walking.
  • Spinal disorders: Degenerative disk disease, osteoarthritis, herniated disk, spondylolisthesis, and spina bifida are all disorders that can affect spinal alignment.
  • Neoplasms and metastases: Certain cancers can cause misalignment of bone structure either by primary tumors or metastases from other regions.
  • Blount disease: Also called “tibia vara,” Blount disease is not a very common finding. It is a C-shaped bowing of the legs after toddlerhood caused by a growth disorder at the proximal epiphyseal plate of the tibia. It may be unilateral or bilateral.
  • Accessory navicular bone: Not a particularly common finding, an accessory navicular bone is an extra bone in the center of the inner arch of the foot.

Change in Shape of Bone

Similar to bone alignment, bones are particular shapes for particular reasons—structurally and/or functionally. Because bones interact with other bones and connective tissues like cartilage, ligaments, and tendons, abnormal shapes can impact these related tissues and surrounding tissues. Changes in bone shape may lead to dysfunctions or, in mild cases and depending on where the shape change is, may not be symptomatic or apparent.

There are a variety of causes for changes in the shapes of bones throughout the life span. Following are some examples:

  • Bone spurs may develop.
  • Osteoarthritis may cause changes.
  • Unicameral bone cysts, cavities filled with fluid, change the shape of (primarily) long bones in children.
  • Certain cancers affect the shape of bones, including multiple myeloma and primary bone marrow lymphoma.
  • Skeletal surgeries may have resultant shape changes—bone grafts, repair of fractures, and joint replacements have this potential.

Change in Length of Bone

According to Boston Children’s Hospital (2005–2023) and Nationwide Children’s Hospital (2023), the chief causes of discrepancies in bone length are congenital, injury or infection, or neoplasm. The impact of impaired growth on the length of bones is reduced in adulthood, as once the epiphyses calcify, growth is halted. Adults can still be affected by changes in the length of bones from residual effects of traumatic injuries, infections, or neoplasms.

Symptomatic discrepancies in bone length are most apparent in long bones, most commonly the femur and tibia (OrthoInfo, 1995–2023). The bearing of injuries, infections, or cancers on bone growth are especially significant when the epiphysis of the bone is impacted, as this is the source of long bone growth. Healing after fracture is commonly associated with slower growth; however, childhood fracture of the femur may lead to growth acceleration after the break, causing that leg to be longer than the uninjured side (OrthoInfo, 1995–2023).

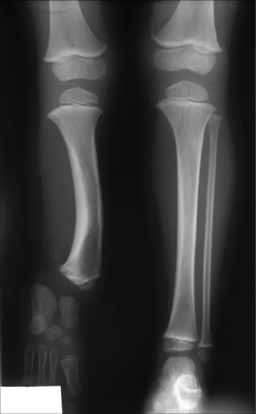
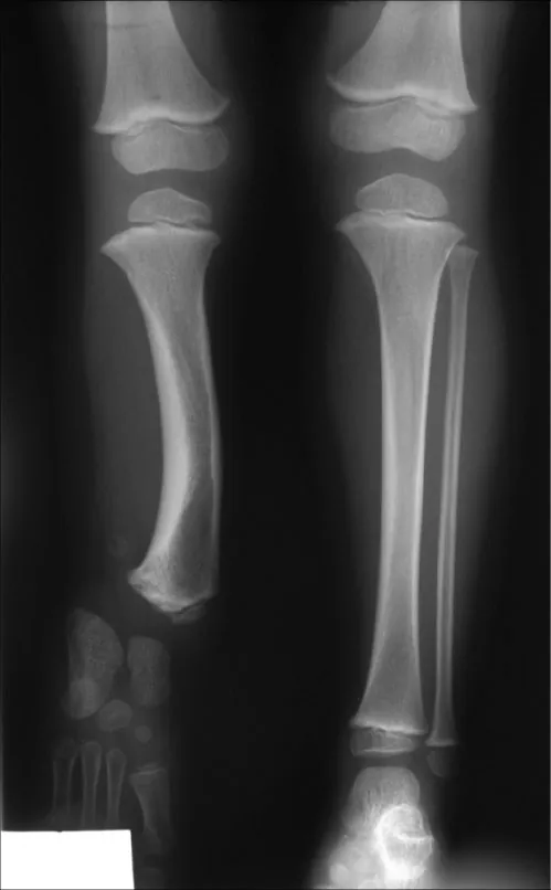
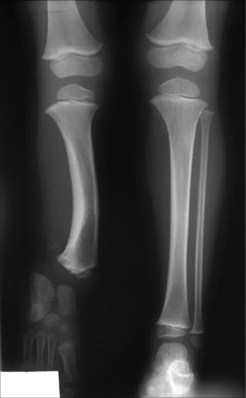
More than 50 percent of people have discrepancies in leg length (OrthoInfo, 1995–2023), but when the difference is less than 1.5 centimeters, it is often not apparent, is often without symptoms, and may not even be measured and confirmed. When the discrepancy between limbs is approximately 1.5 to 2 centimeters (or more), patients are likely to seek care and are evaluated for treatment (Figure 25.12).

The image is an X-ray showing the lower legs and feet of a child, presenting a clear view of the tibia, fibula, knee, and ankle joints, as well as the bones of the feet.
Figure 25.12 Discrepancy in leg length: this patient’s left leg is shorter than the right, with a missing fibula and notable bowing of the tibia. (credit: "Radiographic presentation of a 6 years old patient with fibular hemimelia type II" by National Library of Medicine, CC BY 2.0)

Surgical interventions include shortening the longer leg or lengthening the shorter leg (Boston Children’s Hospital, 2005–2023). The following are three methods for shortening a leg:

  • Resection of bone: This involves removal of a piece of bone from the longer leg; this is done after reaching adult height.
  • Stapling the epiphysis: Both sides of the epiphysis are temporarily stapled; when length is equalized, the staples are removed.
  • Epiphysiodesis: In epiphysiodesis, the epiphysis of the longer extremity is temporarily or permanently fused.

Crepitus

The term crepitus refers to a grating or crackling sound, or a finding with palpation that is described as akin to feeling crisped puffed rice under the fingers. In relation to the musculoskeletal system, it is associated with the sound of bones rubbing together. This is often apparent with joint movement. Crepitus can be a normal finding, but it is considered abnormal when accompanied by pain. In such circumstances, ROM may also be limited, and complete assessment of the joint may require passive instead of active ROM.

Pain

Many musculoskeletal issues can cause the patient to feel pain. Examples include the result of arthritis, injury, infection, joint dislocation, surgery, and some of the misshapes or misalignments previously discussed. Pain results from acute events and may also become chronic. Chronic musculoskeletal pain is a major contributor to worldwide disability (El-Tallawy et al., 2021). The most common regions of musculoskeletal pain include the low back, neck, and shoulders. Patients are affected by pain in various ways and in their abilities to perform self-care activities, work, and maintain an acceptable quality of life. With increasing age, the potential for experiencing musculoskeletal pain increases.

Life-Stage Context

Older Adults and Joint Pain

Osteoarthritis (OA) is a degenerative disorder with repeated episodes of inflammation and joint damage leading to loss of cartilage within joints. Pain results as bones move within the joint without the cushion normally provided by cartilage. Limited movement may follow as pain and deterioration advance. Older adults are more prone to OA as it is known as a disorder of use; therefore, advancing age shows the results of years of use and perhaps overuse.

Chronic pain also places a burden on healthcare systems and costs, which can be seen in the number of visits to healthcare providers, surgeries, assistive devices, and disability (El-Tallawy et al., 2021). Use of over-the-counter (OTC) and prescription medications are another example of high use and high impact on healthcare costs. When patients are prescribed medications to treat musculoskeletal pain, prescription may focus strictly on pain, as is apparent with opioids, or aim to treat inflammation as the source of pain. Because musculoskeletal pain often involves muscle spasms, a medication regimen may include a drug for pain, an anti-inflammatory, and a muscle relaxant.

It is important for nurses to assess a patient’s pain before and after administering medications. Commonly, a numeric scale is used for adults who are able to comprehend a 0 to 10 scale of pain from none through severe (Figure 25.13). Alternatively, there are pain scales with faces showing different expressions denoting levels of pain—these are helpful for pediatric patients and adults who do not understand a number-based scale.

The image displays a pain scale ranging from 0 to 10, with illustrated faces showing varying degrees of discomfort corresponding to each level: from 'No pain' at 0 to 'Worst pain possible' at 10. The scale is color-coded, transitioning from green to red as the intensity of pain increases.
Figure 25.13 This example of a pain scale includes numbers, expressive faces, and verbal descriptions, which can be used with different patient populations. (attribution: Copyright Rice University, OpenStax, under CC BY 4.0 license)

Nurses must use different techniques for assessing pain in patients who are unconscious or otherwise unresponsive. Those nurses who work with such patients rely heavily on their assessment skills relative to nonverbal cues to evaluate patients’ pain and their responses to varied interventions. The critical-care pain observation tool (CPOT) allows nurses to score such patients objectively through four parameters: facial expression, body movements, ventilator compliance, and muscle tension.

Decreased Range of Motion

Limitations to ROM can fall anywhere along a spectrum from mild decrease of ROM to a total lack of movement. Such immobility may be physiological, as in the case of residual damage after an injury or a cardiac event like myocardial infarction or stroke. Decreased ROM may also reflect treatment as in the case of certain internal or external fixation devices, braces, and supports. Inflammation, pain, wounds, stiffness, muscle spasm, and contracture can all limit ROM, as can the neurological system. Because movement begins with a neurological signal, anything impacting the transmission of such signals can impact movement and ROM.

Assessment of a decrease in ROM may be diagnostic on its own or contributory to diagnosis, as certain traits direct advanced practitioners to differential diagnoses. Treatments prescribed may also contribute to limitations in ROM; examples are varied and may include muscle relaxants and/or analgesics. There are multiple subclassifications of drugs used to treat muscle spasm and pain, and selection by the prescriber is often based on the mechanism of action (MoA) of the drug. Pain medicines may be focused purely on analgesia, or the MoA may be anti-inflammatory. Therefore, identifying the cause or mechanism of injury or restriction is important for the most effective treatment plan and results.

Compartment Syndrome

The condition known as compartment syndrome occurs when increased pressure in a confined body space compromises blood flow to muscles and nerves, causing tissue ischemia (lack of blood and oxygen). If not treated promptly, this has the potential to cause tissue death. Compartment syndrome tends to occur following an injury and subsequent inflammation of the limbs or torso. This inflammation increases the pressure in these compartments leading to ischemia. Compartment syndrome can be acute or chronic. Acute compartment syndrome is an emergency and is most often seen after traumatic injuries (penetrating, crush, fractures), with tight-fitting casts, and after revascularization procedures (Torlincasi et al., 2023). Chronic compartment syndrome is caused by pressure from swelling of muscle during exercise but usually resolves with rest.

Signs and symptoms of compartment syndrome include the following:

  • Positive findings for the five P’s:
    • pain out of proportion to extent of injury, worsened by the passive stretch of the muscle
    • pallor, poor/pale skin color, and delayed capillary refill in distal extremity
    • pulselessness, lack of palpable pulse in distal extremity
    • paresthesia, loss of sensation or tingling in the extremity
    • paralysis, inability to move, or loss of function of the limb, a late sign indicating muscle damage
  • Tightness or fullness in the compartment affected
  • Difficulty moving the affected compartment
  • Coolness felt distal to the area

When caring for a patient who is at risk for developing compartment syndrome, frequent assessment of the affected limb should be performed. This should include measurement of the diameter of the limb with a tape measure, in addition to frequent inspection and palpation of the affected area for any change in appearance or temperature. The location of measurement should be marked upon the first measurement, and subsequently, the same site should be used in order to ensure measurement comparisons are accurate. These serial measurements are extremely important. Comparison of the limb with the other limb is also helpful. The appearance of any of these symptoms is urgent, and the provider should be notified immediately for medical and/or surgical intervention.

Validating and Documenting Findings

After completion of the nursing assessment, whether it be initial or a follow-up, the nurse should promptly document the data collected. It is recommended for charting to be done as soon as possible after the assessment or event, to avoid forgetting key details. Another reason for prompt documentation is to avoid confusing the details of one patient with another. Remember to include any interventions performed during your assessment.

Clinical Judgment Measurement Model

Take Action: Postoperative Total Hip Replacement Patient

The nurse is assisting and educating a patient who has had total hip replacement surgery with positioning and mobility. Priority interventions are focused on avoiding dislocation of the operative joint. This involves avoiding adduction of the operative leg. The following points should be followed and explained to the patient:

  • Avoid twisting or adduction of the operative leg; do not cross legs.
  • Use the abduction pillow for proper positioning while in bed.
  • Do not bend more than 90 degrees forward.
  • Use raised seats (including toilets) to maintain knees lower than hips.
  • When ambulating, use rolling walker and remember, “nose over toes”:
  • Slide the operative leg forward first, followed by the nonsurgical leg forward.

Here is sample documentation of expected findings after a musculoskeletal assessment:

Patient reports no previous history for bone trauma, disease, infection, injury, or deformity. No symptoms of joint stiffness, pain, swelling, limited function, or muscle weakness. Patient is able to perform and manage regular daily activities without limitations and reports consistent exercise consisting of walking 2 miles for five days a week. Joints and muscles are symmetrical bilaterally. No swelling, deformity, masses, or redness upon inspection. Nontender palpation of joints without crepitus. Full ROM of the arms and legs with smooth movement. Upper and lower extremity strength is rated at five out of five. Patient is able to maintain full resistance of muscle without tenderness or discomfort.

Here is sample documentation of unexpected findings after a musculoskeletal assessment:

Patient reports, “I felt a pop in my right ankle while playing basketball this afternoon” and “My right ankle hurts when trying to walk on it.” Pain is constant and worsens with weight-bearing.

Patient rates pain at 4/10 at rest and 9/10 with walking and describes pain as an “aching, burning feeling.” Ibuprofen and ice decrease pain. Right ankle is moderately swollen laterally and anteriorly with tenderness to palpation but no erythema, warmth, or obvious deformity. Color, motion, and sensation are intact distal to the ankle. ROM of the right ankle is limited and produces moderate pain. Minimal eversion and inversion demonstrated. Patient is unable to bear weight on the right ankle. Dr. Smith notified, and an order for an ankle x-ray received. The right ankle was elevated and ice applied while the patient waits for the x-ray.

Citation/Attribution

This book may not be used in the training of large language models or otherwise be ingested into large language models or generative AI offerings without OpenStax's permission.

Want to cite, share, or modify this book? This book uses the Creative Commons Attribution License and you must attribute OpenStax.

Attribution information
  • If you are redistributing all or part of this book in a print format, then you must include on every physical page the following attribution:

    Access for free at https://openstax.org/books/clinical-nursing-skills/pages/1-introduction

  • If you are redistributing all or part of this book in a digital format, then you must include on every digital page view the following attribution:

    Access for free at https://openstax.org/books/clinical-nursing-skills/pages/1-introduction

Citation information

© Jun 25, 2024 OpenStax. Textbook content produced by OpenStax is licensed under a Creative Commons Attribution License . The OpenStax name, OpenStax logo, OpenStax book covers, OpenStax CNX name, and OpenStax CNX logo are not subject to the Creative Commons license and may not be reproduced without the prior and express written consent of Rice University.