Skip to ContentGo to accessibility pageKeyboard shortcuts menu
OpenStax Logo
Clinical Nursing Skills

13.2 Intravenous Device Insertion

Clinical Nursing Skills13.2 Intravenous Device Insertion
Search for key terms or text.

Learning Objectives

By the end of this section, you will be able to:

  • Identify common types of vascular access devices used for IV medication administration
  • Recall equipment needed for IV device insertion
  • Analyze principles for peripheral intravenous catheter site selection

To administer IV medications, providers must insert an IV device into the patient’s vein. There are several types of vascular access devices used for administering IV medications, each with their own indications for use and protocols for care. The nurse must have a clear understanding of the various types of vascular access devices to be able to safely administer medications via the IV route. This means having a clear understanding of the needle size, cannula type, and site location to determine if the site is appropriate for the medication. The nurse must also gather all necessary supplies needed to administer the IV medications prior to insertion.

Types of Vascular Access Devices

A vascular access device is a thin, flexible catheter that provides access to blood vessels without the need for repeated needlesticks. There are three main types of vascular access devices: peripheral intravenous catheters (PIVCs), midline catheters, and CVCs. The type of access device used depends on several factors, including the duration of IV therapy, type of IV solution to be administered, vein condition, as well as the patient’s condition (Figure 13.7).

A three-part diagram shows an IV catheter. Image (a) shows an arm with veins and an IV catheter. The label reads “IV catheter is too short” and “IV catheter is the correct length.” Image (b) shows a head and torso with the heart and catheter shown. The labels include “end of catheter” and “catheter entry site.” Image (c) shows a head and torso with the heart and catheter shown. The labels include “end of catheter” (shown in the heart) and “catheter entry site.”
Figure 13.7 When choosing a peripheral IV location, the nurse must take into consideration the (a) length of the catheter. Providers must also choose sites wisely when inserting (b) midline catheters and (c) central venous catheters. (attribution: Copyright Rice University, OpenStax, under CC BY 4.0 license)

Peripheral Intravenous Catheters

A peripheral intravenous catheter (PIVC) is the most common type of IV. The nurse typically places this type of IV in either the arm or hand. A single-lumen catheter, usually between ¾ and 1 in (1.9 and 2.5 cm) long, is inserted into the patient’s vein. A catheter is a small hollow tube placed in the vein. A lumen is a tube that comes out of the skin and is used to administer medications. An IV may be single lumen (one tube), double lumen (two tubes), or triple lumen (three tubes). A PIVC line usually uses a single-lumen catheter. A PIVC is usually used when treatment is only for a few days, the solution is not irritating to peripheral veins, the patient has healthy looking veins, and the peripheral circulation is normal (INS, 2024). Patients who have poor peripheral circulation, might need long-term therapy (weeks to months), and have weak or thin veins are not suitable candidates for PIVCs. Additionally, if the solution being administered has a high dextrose content or is corrosive to veins, a PIVC is not appropriate.

Midline Catheters

A midline catheter is inserted into a peripheral vein located slightly below the elbow. Midline catheters are typically 3 to 10 in (7.6 to 25.4 cm) long; they are shorter than central lines and do not go all the way to the superior vena cava. They may be a better choice than peripheral IVs for patients who have fragile veins or require IV therapies for days to weeks. They can remain in place for fourteen days or longer, depending on the patient situation (INS, 2024). Midline catheters pose less risk of infection than CVCs. Nevertheless, nurses cannot use midline catheters to administer total parenteral nutrition (TPN) or medications that are known to damage the vein, as veins appropriate for midline catheters are deeper than those for PIVCs, and signs of extravasation cannot be seen until the damage is severe.

Central Venous Catheters

A central venous catheter (CVC)—also known as a central venous access device or central line—inserts into or near a large vein that goes into the superior vena cava via an incision to the neck (jugular vein), chest (subclavian vein), or groin (femoral vein). A CVC may be the optimal choice when the patient is critically ill; has fragile, damaged, or difficult-to-locate veins; does not have an arm that can be used for IVs; necessitates a longer duration of IV therapy; needs TPN; or requires medications that may cause skin damage if leaked into the peripheral tissue. Benefits of CVCs include fewer needlesticks—meaning less pain and discomfort for the patient, reduced risk of complications such as infection, faster treatment, and decreased damage to the veins—plus the ability to infuse several medications at once, less risk of tissue damage, and ability to receive IV therapies at home.

While there are several benefits, there are also some risks associated with having a central line. The risks are similar to those for PIVCs and midline catheters, such as pain, bleeding, infection, blockage, blood clots, and migration or kinking; however, additional risks of CVCs include air embolisms, accidental removal resulting in hemorrhage, and a collapsed lung during central line placement. Patients who have a central line are at risk for developing a central line–associated bloodstream infection (CLABSI). A CLABSI is a preventable and potentially life-threatening infection that occurs when bacteria or other pathogens enter the bloodstream through a CVC. The infection can occur due to contamination of the catheter during insertion, improper maintenance and care, or secondary infections that spread from another site in the body. Symptoms of CLABSI can include fever, chills, increased heart rate, and, in severe cases, signs of sepsis such as hypotension (low blood pressure) and altered mental status. Diagnosis typically involves blood cultures to identify the causative pathogen. If a patient with a central line develops fever or other signs of infection, blood cultures are taken from both the central line and peripheral veins to determine whether the central line is the source of infection. Treatment involves administering appropriate antibiotics to target the specific pathogen causing the infection. The central line may need to be removed if it is suspected or confirmed to be the source of the infection. Key strategies for prevention include proper hand hygiene before touching the CVC lines or site, sterile techniques during central line insertion, regular maintenance, and care of the central line (including dressing changes using aseptic techniques), daily assessment of the need for the central line and prompt removal when it is no longer needed, and continuous education and training for healthcare providers on infection prevention measures.

There are several types of CVCs, including peripherally inserted central catheters (PICCs), tunneled central venous catheter (CVC)s, nontunneled percutaneous central venous catheters, and implanted ports.

Peripherally Inserted Central Catheter

A peripherally inserted central catheter (PICC) is placed into a vein in the arm, typically the cephalic or basilic vein, and passed through a vein that leads to the superior vena cava (Figure 13.8). The tip of the catheter protrudes from the arm; therefore, the patient must cover the arm with plastic while bathing because the catheter cannot get wet. Flush PICC lines before and after each use, as well as occasionally to keep the line open. A PICC may have one to three lumens to allow for more than one medication to be administered at a time. A PICC is commonly used for extended courses of IV antibiotics, chemotherapy, and total parenteral nutrition (TPN) and for patients with limited peripheral venous access. The PICC can be left in place for days to months and then removed when no longer medically necessary. A PICC is often preferred over other types of CVCs as it may be used for long-term IV treatment, is less invasive and more comfortable for the patient than tunneled and nontunneled CVCs, and does not restrict patient movement.

A diagram shows a head and torso with the heart and catheter shown. The labels include “PICC line,” “vein entry,” and “end of catheter.”
Figure 13.8 The catheter of a PICC line should enter the vein in the arm and extend into the superior vena cava. (attribution: Copyright Rice University, OpenStax, under CC BY 4.0 license)

Tunneled Central Venous Catheters

A tunneled central venous catheter, also known as Hickman or Permacath, inserts into a vein in the chest or neck, tunnels under the skin, and then comes out through a separate incision site where a cuff is wrapped around the catheter to hold it in place (Figure 13.9). Using this type of catheter reduces the risk of infection as well as the risk of accidentally pulling the line out of place. Because they are typically inserted in a controlled, sterile operating room or interventional radiology suite, the tunneling technique creates a barrier to help prevent external contaminants from entering the bloodstream, and the cuff helps to hold the catheter in place. Because the end of the catheter protrudes from the skin, this type of central line cannot get wet and must be covered with plastic while bathing or showering. Flush CVC lines before and after each use as well as occasionally to keep the line open. Tunneled CVCs may have one to three lumens to allow for multiple medications to be administered at the same time. Tunneled CVCs can be left in place for weeks to months and then removed when no longer medically necessary. Tunneled CVCs are typically chosen when long-term central venous access is required (often for several months to years) to administer long-term antibiotics, chemotherapy, or hemodialysis, as they are durable and designed for extended use.

A diagram shows a head and torso with the heart and catheter shown. The labels include “Catheter,” “vein entry site,” “subcutaneous tunnel,” and “exit site.”
Figure 13.9 A tunneled central line is tunneled under the skin to create a more secure placement for longer duration and decreased chance for infection. (attribution: Copyright Rice University, OpenStax, under CC BY 4.0 license)

Nontunneled Percutaneous Central Venous Catheters

A nontunneled percutaneous central venous catheter is placed into a large vein near the neck, chest, or groin (Figure 13.10). Unlike tunneled CVCs, nontunneled lines are not placed with a tract under the skin, nor do they have a cuff to hold them in place. Nontunneled central lines are typically used for temporary venous access, such as in emergent situations and/or when a patient requires quick delivery of medications and fluids. Additionally, they are suitable for central venous pressure monitoring and in emergent situations where quick access is crucial, as they can be inserted more rapidly and easily than PIVCs, midlines, or other CVCs. Moreover, they are preferred when patients have limited peripheral veins and other options such as PIVCs, midlines, or PICCs are not feasible.

Nontunneled CVCs pose a higher risk of infection and potential dislodgement compared to other types, as they lack a cuff to secure them in place. To reduce the risk for CLABSI, it is recommended that nontunneled CVCs that were placed in emergent situations are removed within forty-eight hours after insertion (INS, 2024). The interdisciplinary team should also evaluate the need for the nontunneled CVC daily, and remove it as soon as it is no longer needed (INS, 2024).

A diagram shows a head and torso with the heart and catheter shown. The labels include “exit site out of skin,” “vein entry,” “superior vena cava,” “catheter tail,” and “hub.”
Figure 13.10 A nontunneled central line may be placed for short-term or emergent care, when other means of access are not available or appropriate. (attribution: Copyright Rice University, OpenStax, under CC BY 4.0 license)

Implanted Ports

An implanted port, also referred to as a Mediport or port-a-cath, is surgically placed under the skin. Although usually inserted in the upper chest, implanted ports may also be placed in the arm or abdomen (Figure 13.11). Implanted ports consist of three parts: the port, the septum, and the catheter. The port is a small, round, or oval chamber that is implanted under the skin. The septum is a self-sealing, rubber-like membrane located within the port body. To access the port, a specialized needle (called a Huber needle) punctures the septum to access the reservoir. After accessing the port, the septum self-seals when the needle is removed, preventing leaks or infections. The catheter is a thin, flexible tube that connects to the port on one end, and the other end sits in the vein.

A diagram shows a head and torso with the heart and catheter shown. The labels include “port,” “vein entry,” and “superior vena cava.”
Figure 13.11 An implanted port is ideal central line access for long-term use, especially in patients receiving chemotherapy. (attribution: Copyright Rice University, OpenStax, under CC BY 4.0 license)

When a patient has an implanted port, the nurse will access the port by placing a Huber needle through the skin and into the septum of the port. This process is called cannulation. The nurse then connects the port needle to the IV tubing to administer the IV therapies. Patients with implanted ports can shower and bathe if they cover port access in plastic to prevent the site from getting wet. Ports require flushing before and after each use as well as occasionally to keep the line maintaining patency. Once the IV therapy is complete, the needle is removed from the port until IV therapy is needed again.

Implanted ports are desirable for long-term use and can remain in place for months to years. Ports have a decreased risk of infection (as compared to PICCs and other CVCs) since the port is completely beneath the skin when it is not in use. They are also more discreet than external catheters, and patients can wear regular clothing over the port. As such, ports can be a great choice for patients who require intermittent long-term chemotherapy or antibiotics, frequent blood draws, or radiation. The downside to ports is that they result in scarring where the port was implanted, as well as it results in some initial discomfort and discomfort each time it is accessed.

Equipment Needed for Intravenous Insertion

When preparing to insert an IV, the nurse must prepare the necessary equipment prior to insertion. The equipment includes an IV start kit (Figure 13.12) with a tourniquet; antiseptic to cleanse the skin prior to insertion; several pieces of gauze; tape; transparent dressing; and a sticker to label the IV site with the nurse’s initials, date and time of insertion, and gauge of the IV needle. The nurse will also need an appropriate IV needle, extension tubing or positive pressure cap to place on the end of the IV cannula, a normal saline flush to check for patency of the line, and tape to secure the IV tubing. If the patient is receiving continuous or intermittent IV therapies, the nurse will also need the appropriate IV tubing sets and an infusion pump. The nurse may also require other specialty equipment, such as vein finders and central line kits.

A color photograph shows the components of an IV kit.
Figure 13.12 A typical IV start kit provides most of the equipment needed for peripheral IV insertion. The contents may vary according to manufacturer. (attribution: Copyright Rice University, OpenStax, under CC BY 4.0 license)

Needle Size and Cannula Type

Before starting an IV, it is important to consider what type of procedures and IV therapies the patient will need. Select an appropriately sized needle based on the clinical needs of the patient. Intravenous needles are sized by gauges, with smaller gauges indicating larger needles and larger gauges indicating smaller needles. Peripheral intravenous catheter (PIVC) range from 14 gauge to 24 gauge. Catheter sizes are color-coded to allow easy identification of size of the gauge by the cannula hub after vein access.

Typically, providers use 18-, 20-, or 22-gauge IV needles. However, 24-gauge needles are used most often for pediatric patients and older adults, and 16-gauge needles are most often used in adults undergoing surgery or receiving care in the intensive care unit. Larger gauges, such as 16- or 18-gauge needles, work best to give infusions rapidly. Smaller-gauge needles, such as 22-gauge needles, may be ideal if the patient is stable and will not need fluids at a fast rate or require IV therapies for very long. The gauge size is also dependent on the size and quality of the patient’s vein. For example, a smaller needle may be required for small veins. If the patient already has an IV, the nurse must consider if the IV is appropriate for administering the ordered medications (i.e., is the IV gauge the right size for the infusion, does the IV site flush easily, are the medications compatible). Blood products, for example, are best infused through larger-gauge IVs but may be given through smaller-gauge catheters at a slower rate (INS, 2024).

Intravenous cannula types can differ by agency and manufacturer (Figure 13.13). A shielded catheter is an IV catheter with a retractable needle that has a short extension tubing added to the end of the cannula after insertion. Shielded catheters come in different variations: some include a port or a three-way stopcock, a small, plastic, Y-shaped valve with three regulating ports, while others have a blood control valve that prevents blood from flowing out of the cannula until it is attached to extension tubing, a length of tubing with a connector that can be added to the primary IV tubing to extend the reach of the IV line. A winged “butterfly” cannula is a needle with flexible plastic wings on either side of the needle hub that serve to maneuver the needle during the venipuncture procedure. They are manufactured with a short tubing attached to the cannula. These cannulas may use a combi stopper, which is a closing cone with Luer lock–fitting stoppers designed to seal the access points on IV devices to maintain sterility and prevent contamination, or an antimicrobial filter, a port protector containing alcohol that disinfects and protects the IV access point, to seal the end of Luer-lock connections.

A two-part image showing (a) a cannula and (b) a saline lock.
Figure 13.13 Facilities may use different types of IV cannulas. A (a) Luer-lock system is the most commonly used, followed by a (b) direct access IV. (credit a: “Cannula A.jpg” by Wikimedia Commons, Public Domain; credit b: “Saline lock” by Glynda Rees Doyle and Jodie Anita McCutcheon/British Columbia Institute of Technology, CC BY 4.0)

Tubing Sets

When administering IV fluids and medications, it is also important to select the correct IV tubing set. Intravenous tubing sets may be categorized as primary or secondary sets (Figure 13.14). Blood tubing, a specialized type of primary set, is specifically designed for the safe and controlled administration of blood and blood products to patients. Blood tubing contains two spikes (one for the blood and one for the flush) and a filter to trap blood clots and debris and does not contain any access ports. Another specialized type of IV tubing is filtered tubing. Filtered tubing is designed to remove particulate matter, microorganisms, and other contaminants from IV fluids or medications before they reach the patient’s bloodstream and are used when administered lipids, parenteral nutrition (PN), and some chemotherapy drugs. Selecting the correct IV tubing set is critical to ensure that fluids and medications infuse correctly.

A labeled diagram of an IV setup with tubing, bags, chambers, clamps, stand, and site of injection.
Figure 13.14 It is important that the nurse ensure proper setup of primary and secondary IV tubing before administering IV infusions. (credit: modification of “IV Primary and secondary tubing set up” by Glynda Rees Doyle and Jodie Anita McCutcheon/British Columbia Institute of Technology, CC BY 4.0)

Primary Sets

A primary set is used to infuse primary IV fluids, such as 0.9 percent normal saline, lactated Ringer solution, and D5W. Infuse primary fluids into the body on a continuous or intermittent basis, depending on the patient’s condition and provider’s orders. Primary IV tubing can be a macrodrip or microdrip solution set. A macrodrip infusion set delivers ten, fifteen, or twenty drops per milliliter, whereas a microdrip infusion set delivers sixty drops per milliliter. The drop factor is located on the packaging of the IV tubing and is important to verify when calculating medication administration rates. Macrodrip sets are used for routine primary infusions for adults. Microdrip IV tubing is used in pediatric or neonatal care where small amounts of fluids are administered over a longer period of time. Packaging displays how much fluid it takes to prime the tubing if you are giving precise doses.

Primary sets comprise a sterile spike, drip chamber, backcheck valve, access ports, and a roller clamp. The sterile spike is used to spike the IV fluid bag. It must always remain sterile to prevent contamination. The drip chamber collects any air present in the line and calculates the rate of fluid administration. The drip chamber should always be one-quarter to one-half full of solution. The backcheck valve prevents fluids and medications from traveling into the primary IV bag. Access ports administer secondary and IV push medications. Primary tubing typically has two access ports, one just below the drip chamber and one closer to the patient. The roller clamp regulates the speed of the infusion or stops the infusion when running by gravity.

Clinical Safety and Procedures (QSEN)

QSEN Competency: Initiating a Peripheral Venous Access Intravenous Infusion

See the competency checklist for Initiating a Peripheral Venous Access Intravenous Infusion. You can find the checklists on the Student resources tab of your book page on openstax.org.

Secondary Sets

A secondary set is used to intermittently infuse a secondary medication, such as an antibiotic. Secondary tubing is shorter than primary tubing, since it will be joined to the longer primary tubing at the Y-site, and is composed of a sterile spike, drip chamber, and roller clamp. Unlike primary tubing, secondary tubing does not have access ports. The secondary tubing is connected to the primary tubing via the access port closest to the drip chamber.

The secondary IV bag hangs above the height of the primary IV bag to allow gravity to infuse the secondary medication, followed by infusion of the primary fluids. The flow of fluids is determined by the height difference or pressure gradient between the IV bag and the patient’s IV access point. When the secondary bag is higher than the primary bag, gravity exerts a stronger downward force on the fluid in the secondary bag, causing it to flow into the IV tubing and then into the patient’s vein more rapidly. Conversely, the primary IV fluid bag is typically hung at a lower height relative to the secondary bag. This lower position results in a weaker gravitational force, slowing the flow rate of the primary IV fluid to allow for control over the order in which fluids or medications are infused into the patient’s bloodstream.

To ensure that the patient receives the full dose of medication, “piggyback” the secondary fluids into the primary IV line. If the medication were to be hung as a primary line, some of the medication would remain in the IV tubing once the infusion was complete, and the patient would receive less than the prescribed dose. By “piggybacking” the secondary line into the primary line, the primary fluids can flush any remaining medication in the IV line into the patient.

Flushes

A flush is a prefilled syringe used to keep the IV line free of air, open, and unobstructed. Flushes typically come into play when the IV is not connected to continuous IV fluids. The IV site should be flushed before and after administering medications, after blood sampling, after each infusion, as well as every twelve hours when the IV is not in use. An IV site may be flushed with normal saline or heparin, depending on the type of IV and provider’s orders (Figure 13.15). As such, you will hear IV sites not connected to running fluids referred to as “saline locked” or “heparin locked.”

A photograph shows an arm with IV and a gloved hand holding the arm.
Figure 13.15 Part of a nurse’s initial assessment includes flushing a saline lock IV with normal saline to ensure and maintain patency. (credit: “Flush the saline lock” by Glynda Rees Doyle and Jodie Anita McCutcheon/British Columbia Institute of Technology, CC BY 4.0)

Saline flushes contain a mixture of sodium chloride and water. Typically, use between 3 and 5 mL of normal saline to flush a peripheral IV site, depending on the agency’s policy. When flushing the IV with saline, the patient may experience a salty taste in their mouth. If this occurs, you may explain to the patient that it is harmless and happens to many people. An open, correctly inserted IV should flush easily. If you feel resistance, do not force the flush, because the force may cause the vein to rupture or propel a potential blood clot into the bloodstream.

Heparin flushes contain varying strengths of the anticoagulant mixed with saline. Heparin is used to prevent clots from forming inside the IV catheter. When specifically prescribed by a healthcare provider, heparin flushes may be used on CVC or peripheral IV lines; however, careful monitoring is required due to the risk of adverse drug events related to the interference with the clotting process that results in a risk of bleeding (Institute for Healthcare Improvement, 2023). When flushing CVCs, always use a 10 mL syringe; smaller syringes may cause increased pressure in the catheter and subsequently cause the catheter to rupture.

Clinical Safety and Procedures (QSEN)

QSEN Competency: Capping for Intermittent Use and Flushing a Peripheral Venous Access Device

See the competency checklist for Capping for Intermittent Use and Flushing a Peripheral Venous Access Device. You can find the checklists on the Student resources tab of your book page on openstax.org.

Infusion Pumps

An infusion pump is a medical device used to deliver IV fluids in controlled amounts (Figure 13.16). Using built-in software, the nurse can program the rate and duration of the IV fluid delivery. Infusion pumps offer significant advantages over administration of fluids by gravity, including the ability to deliver fluids in very small volumes and in precisely programmed rates and automated intervals.

A photograph showing an infusion pump in a medical setting.
Figure 13.16 Infusion pumps can have multiple channels to control primary fluids, intermittent infusions, and patient-controlled analgesia. (credit: “211221-F-DO876-004.JPG” by Airman Seth Haddix/U.S. Air Force, Public Domain)

Infusion pumps add safety measures when administering IV therapies. For instance, they are equipped with alarms to notify the nurse of problems, such as occluded tubing or air in the line, and the end of an infusion. Newer infusion pumps, known as smart pumps, may also alert the nurse of potential adverse drug interactions or when the pump is programmed outside of the established safety parameters. When it comes to administering critical fluids, such as high-risk medications and blood, agencies generally require infusion pumps to ensure that the patient receives the correct amount of fluid over the intended duration of time (INS, 2024; Institute for Safe Medication Practices, 2024).

Infusion pumps can be used for infusion of fluids and medications prepared in IV bags or syringes. Whereas IV bags are positioned on an IV pole above the pump with the IV tubing placed inside the pump, the syringe is placed in a syringe holder inside the infusion pump when using a syringe pump (Figure 13.17). The syringe pump controls the movement of the syringe plunger to deliver the medication or fluid at a precise rate. Syringe pumps are designed to minimize the risk of medication errors and ensure accurate and safe delivery of treatments due to their high level of precision and accuracy, ability to infuse low flow rates, and decreased risk of unintentional boluses (INS, 2024). Syringe pumps are particularly suitable for situations where precise control over the infusion rate is critical, such as in pediatric care, neonatal care, or when administering potent medications, such as chemotherapy or opioids (INS, 2024).

A photograph shows a syringe pump.
Figure 13.17 Syringe pumps are motorized devices that accurately control the movement of fluid from a syringe by mechanically engaging the plunger. Syringe pumps are the preferred choice for lower volume and low-flow-rate infusions. (credit: “Injectomat1.jpg” by Stefan Bellini/Wikimedia Commons, Public Domain)

Specialty Equipment

You may need additional equipment in special circumstances. For example, a vein finder can help assist with peripheral IV insertion when it is difficult to visually locate the veins. Vein finders are devices that use infrared radiation reflection technology to create a map of veins. The vein map is projected onto the patient’s skin, indicating to the nurse locations of the veins.

Only practitioners with advanced specialized training can insert CV access catheters. Special equipment needed includes a central line kit (Figure 13.18). Central line kits are sterile packages that include lidocaine, a syringe and needle to administer local anesthetic, syringe and introducer needle, scalpel, guidewire, tissue dilator, sterile dressing, suture and needle, and central line catheter. In addition, you will need a sterile gown, cap, gloves, sterile gauze, sterile saline, face mask, and chlorhexidine (or other antiseptic solution approved by the agency) when placing the central line. Nurses who are not certified to insert central lines can assist the practitioner by gathering the supplies needed to insert the line and assisting during the procedure. Ultrasound may be used to visualize the veins prior to beginning the procedure and to guide the central line placement. Once the central line is in place, a chest x-ray will verify correct placement of the central line prior to the line being used, if it was placed in the superior vena cava (Figure 13.19).

A photograph shows a CVC kit with the following elements: syringe with local anesthetic, scalpel in case venous cutdown is needed, sterile gel for ultrasound guidance, Introducer needle (here 18 gauge) on syringe with saline to detect backflow of blood upon vein penetration, guidewire, tissue dilator, indwelling catheter (here 16 gauge), additional fasteners, and corresponding surgical thread, dressing.
Figure 13.18 A sterile central line kit conveniently includes all the equipment needed to place central venous access in a patient. (credit: modification of “Central venous catheter set.jpg” by Mikael Häggström/Wikimedia Commons, Public Domain)
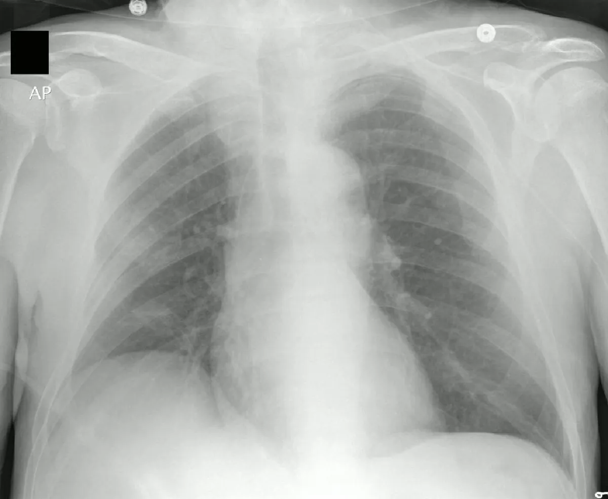
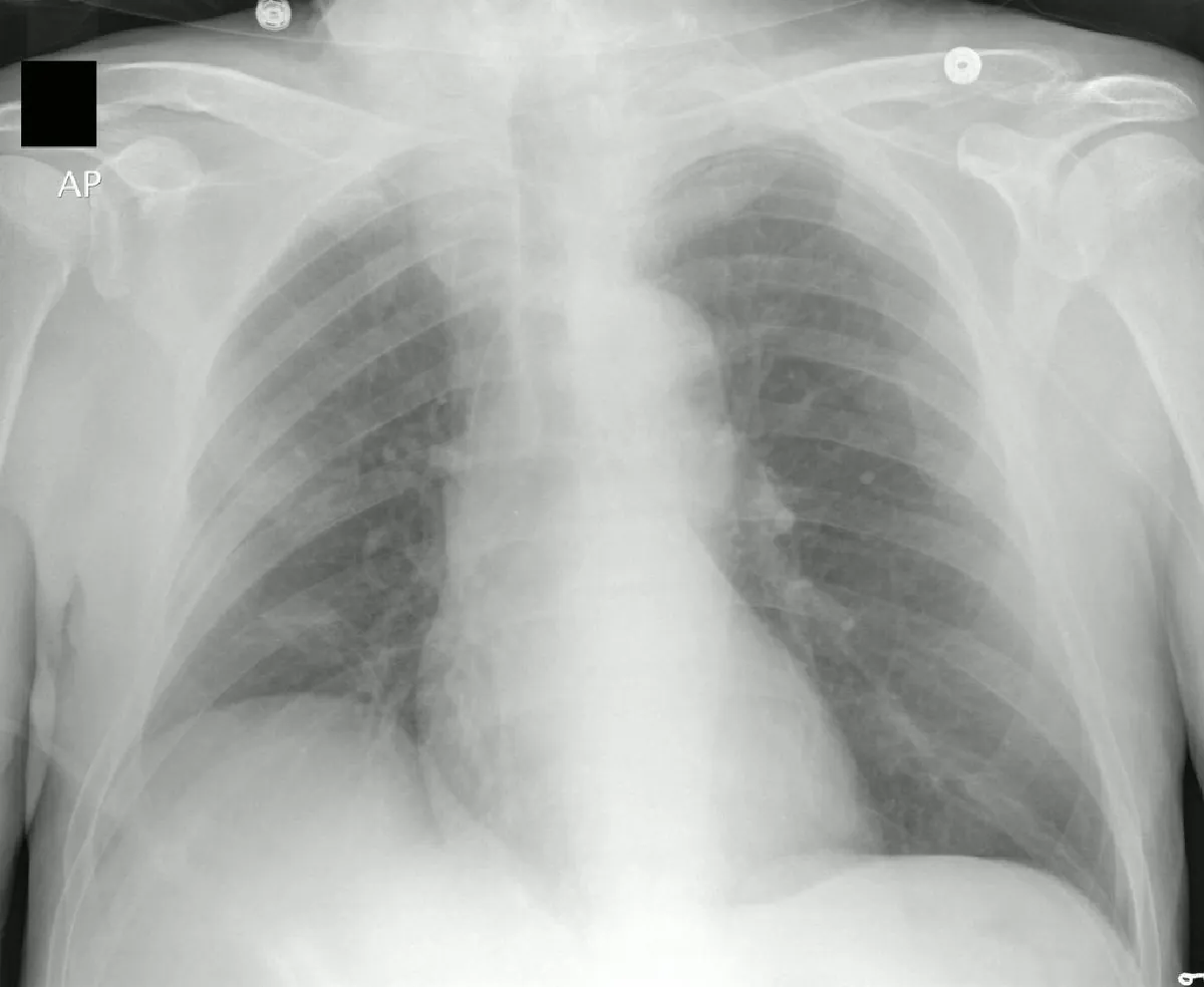
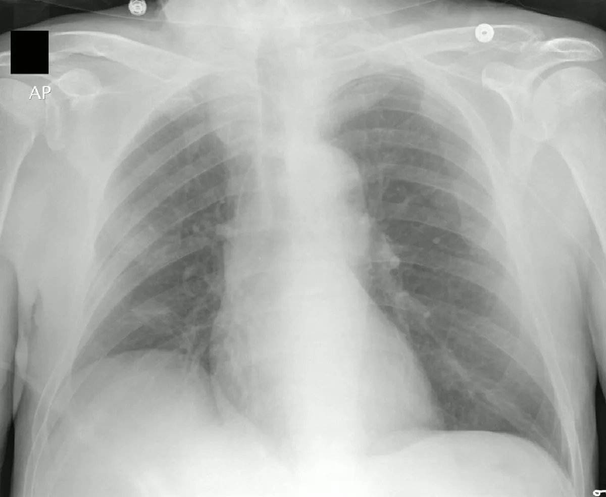
An X-ray image of a human chest with the tip of PICC line visible.
Figure 13.19 A chest x-ray confirms correct placement of the central line in the superior vena cava before use. (credit: “PICC line-correct position.jpg” by "Octavio L"/Wikimedia Commons, CC BY 2.5)

Peripheral Intravenous Catheter Site Selection

Nurses place PIVCs while at the patient’s bedside. Upper extremity veins commonly used for peripheral IV insertion include the dorsal venous network (back of the hand), median cubital (bend of the arm), accessory cephalic (upper forearm), and median antebrachial (inner forearm) (Figure 13.20).

In neonates or infants, you can also use the frontal, occipital, superficial temporal, or posterior auricular veins of the scalp. In some cases, the veins of the lower extremities may be used. Carefully select an insertion site that is according to agency policy and most appropriate for the patient.

A two-part image shows (a) a hand with veins and (b) an arm with veins. Image (a) includes the following labels: “basilica vein,” “cephalic vein,” “dorsal venous network,” “dorsal metacarpal veins,” and “digital dorsal veins.” Image (b) includes the follow labels: “basilica vein,” “cephalic vein,” “media cubital vein,” and “median antebrachial vein.”
Figure 13.20 It is important to recall the anatomy of veins commonly used for peripheral IV placement, especially in the (a) hand and (b) arm. (attribution: Copyright Rice University, OpenStax, under CC BY 4.0 license)

When selecting a peripheral IV site, it is important to start with the distal veins, such as the hands, before working your way up. This technique helps to preserve future access sites that may have to be placed more proximal than the vein selected. Placing subsequent IVs distal to the current IV site may cause IV fluids to leak into the intravascular space. The site of an IV insertion is like the site of a possible traffic jam. If you choose a site higher up on any limb, then if the vein infiltrates or has a traffic jam, all veins below it can no longer be used for IV insertion. Blood will still circulate to that area through smaller veins, but you cannot use those lower veins for an IV. The general rule is to try to choose a vein on the distal section of the limb first. Then if that vein infiltrates, go farther up the limb.

Veins should be large, smooth, and pliable. Avoid veins on the palmar side of the wrist due to potential nerve damage. Do not use the patient’s dominant arm, if possible. Other factors that influence vein selection include the patient’s general condition, type of solution to be administered, duration of the IV therapy, and availability and condition of the veins. Avoid veins that are in an upper extremity on the same side as a breast surgery with axillary node dissection or in an extremity with lymphedema or an arteriovenous fistula or graft. Veins should also be avoided on the side of a body that has had radiation therapy or in an extremity affected by a cerebrovascular accident.

Patient’s General Condition

The patient’s general condition may influence the choice of vein selection. For example, when the patient requires STAT IV therapy that needs to be initiated as quickly as possible, the nurse will likely select the largest vein that can be visually inspected or palpated, which is usually a median cubital vein within the antecubital region. While antecubital veins can typically be accessed rather easily, the IV will limit the patient’s mobility of that arm, so you may opt to use the antecubital in the nondominant hand to ensure that the patient has full movement in their dominant arm. Avoid areas that are painful, open wounds, sites of infection, and areas of planned procedures.

Type of Solution to Be Administered

Another consideration for IV site placement is the type of solution to be administered. Vesicants, such as vancomycin, potassium chloride, dopamine, and phenytoin, require a larger vein, such as an antecubital vein. Rapid infusions and blood products must be administered through a large-gauge IV. Most veins in the hands are too small to accommodate a large-gauge IV, so you will typically use a vein in the upper arm for these infusions. If the patient requires total parenteral nutrition (TPN) or medications that may cause skin damage if leaked into the peripheral tissue, such as chemotherapy, administer a central line.

Duration of the Intravenous Therapy

It is also important to consider the duration of the IV therapy. For example, if a patient requires continuous IV fluids for several days, avoid sites such as the antecubital, wrist, and hand. Due to the bend in the arm, antecubital veins will frequently occlude and are not conducive to long-term, continuous IV therapy. The wrist and hand are also not ideal sites for long-term IV therapy, because they also frequently bend and can be quite painful with movement. When a patient needs long-term IV therapy, as in weeks or months, consider placing a central line.

Availability and Condition of Veins

When selecting a vein, consider how straight the vein is. Straight veins are better than curvy veins to reduce the risk of the IV catheter infiltrating the subcutaneous tissue. The vein should feel spongy and nonpulsatile when palpated. Avoid veins that are branched, hard, curved, knobby, or pulsatile. Also steer away from veins that are compromised (bruised, infiltrated, sclerosed, engorged) or exhibit signs of phlebitis or other IV complications.

While there are several factors to consider when selecting an IV site, there are times in which the conditions of the veins are so poor that you must use whatever vein is available. For example, those with severe kidney or cardiac disease may not have great vein access. If veins are fragile, damaged, or difficult to locate, or one or both arms cannot be used for IVs, the provider may consider the patient to be a candidate for a central line.

Citation/Attribution

This book may not be used in the training of large language models or otherwise be ingested into large language models or generative AI offerings without OpenStax's permission.

Want to cite, share, or modify this book? This book uses the Creative Commons Attribution License and you must attribute OpenStax.

Attribution information
  • If you are redistributing all or part of this book in a print format, then you must include on every physical page the following attribution:

    Access for free at https://openstax.org/books/clinical-nursing-skills/pages/1-introduction

  • If you are redistributing all or part of this book in a digital format, then you must include on every digital page view the following attribution:

    Access for free at https://openstax.org/books/clinical-nursing-skills/pages/1-introduction

Citation information

© Jun 25, 2024 OpenStax. Textbook content produced by OpenStax is licensed under a Creative Commons Attribution License . The OpenStax name, OpenStax logo, OpenStax book covers, OpenStax CNX name, and OpenStax CNX logo are not subject to the Creative Commons license and may not be reproduced without the prior and express written consent of Rice University.