Skip to ContentGo to accessibility pageKeyboard shortcuts menu
OpenStax Logo
Biology

23.4 Ecology of Protists

Biology23.4 Ecology of Protists
Search for key terms or text.

Learning Objectives

By the end of this section, you will be able to:
  • Describe the role that protists play in the ecosystem
  • Describe important pathogenic species of protists

Protists function in various ecological niches. Whereas some protist species are essential components of the food chain and generators of biomass, others function in the decomposition of organic materials. Still other protists are dangerous human pathogens or causative agents of devastating plant diseases.

Primary Producers/Food Sources

Protists are essential sources of nutrition for many other organisms. In some cases, as in plankton, protists are consumed directly. Alternatively, photosynthetic protists serve as producers of nutrition for other organisms. For instance, photosynthetic dinoflagellates called zooxanthellae use sunlight to fix inorganic carbon. In this symbiotic relationship, these protists provide nutrients for coral polyps (Figure 23.29) that house them, giving corals a boost of energy to secrete a calcium carbonate skeleton. In turn, the corals provide the protist with a protected environment and the compounds needed for photosynthesis. This type of symbiotic relationship is important in nutrient-poor environments. Without dinoflagellate symbionts, corals lose algal pigments in a process called coral bleaching, and they eventually die. This explains why reef-building corals do not reside in waters deeper than 20 meters: insufficient light reaches those depths for dinoflagellates to photosynthesize.

This underwater photo shows coral polyps. Polyps are cup-shaped and have tentacles extending from the edge of the cup.
Figure 23.29 Coral polyps obtain nutrition through a symbiotic relationship with dinoflagellates.

The protists themselves and their products of photosynthesis are essential—directly or indirectly—to the survival of organisms ranging from bacteria to mammals (Figure 23.30). As primary producers, protists feed a large proportion of the world’s aquatic species. (On land, terrestrial plants serve as primary producers.) In fact, approximately one-quarter of the world’s photosynthesis is conducted by protists, particularly dinoflagellates, diatoms, and multicellular algae.

The photo collage shows mollusks, a crab, a dolphin, a penguin, and a school of fish.
Figure 23.30 Virtually all aquatic organisms depend directly or indirectly on protists for food. (credit “mollusks”: modification of work by Craig Stihler, USFWS; credit “crab”: modification of work by David Berkowitz; credit “dolphin”: modification of work by Mike Baird; credit “fish”: modification of work by Tim Sheerman-Chase; credit “penguin”: modification of work by Aaron Logan)

Protists do not create food sources only for sea-dwelling organisms. For instance, certain anaerobic parabasalid species exist in the digestive tracts of termites and wood-eating cockroaches, where they contribute an essential step in the digestion of cellulose ingested by these insects as they bore through wood.

Human Pathogens

A pathogen is anything that causes disease. Parasites live in or on an organism and harm the organism. A significant number of protists are pathogenic parasites that must infect other organisms to survive and propagate. Protist parasites include the causative agents of malaria, African sleeping sickness, and waterborne gastroenteritis in humans. Other protist pathogens prey on plants, effecting massive destruction of food crops.

Plasmodium Species

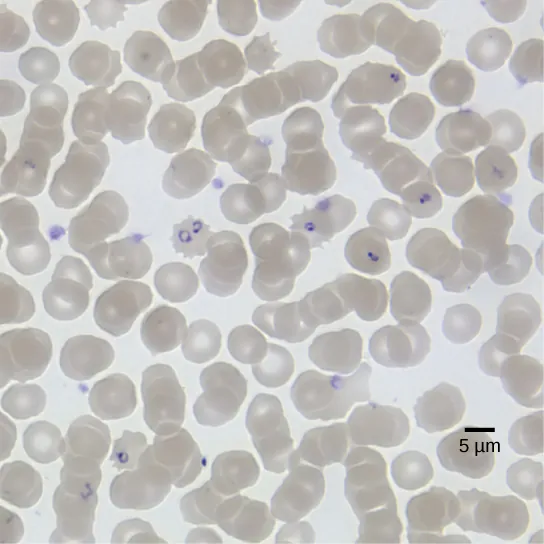
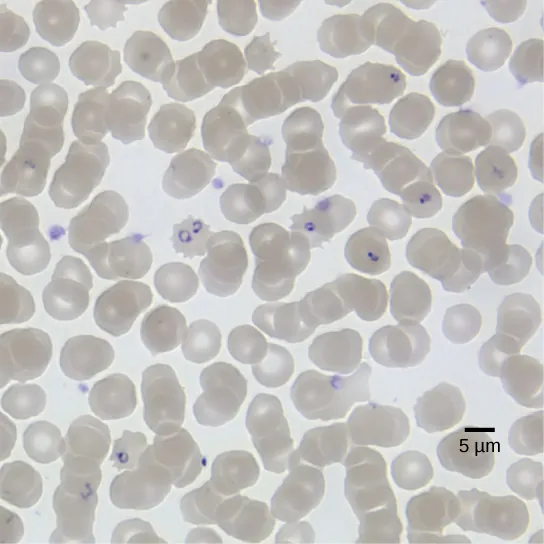
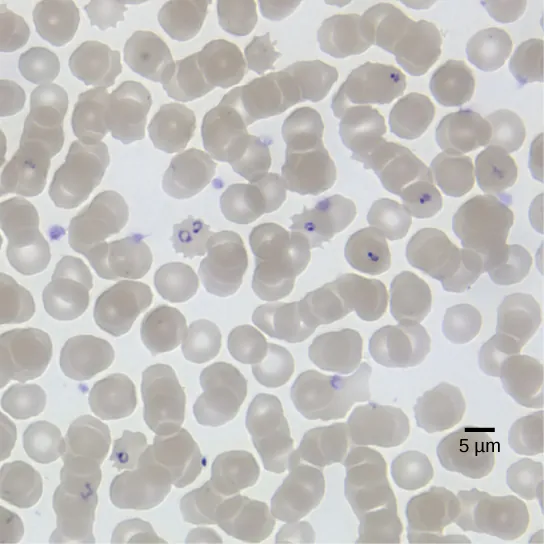
Members of the genus Plasmodium must colonize both a mosquito and a vertebrate to complete their life cycle. In vertebrates, the parasite develops in liver cells and goes on to infect red blood cells, bursting from and destroying the blood cells with each asexual replication cycle (Figure 23.31). Of the four Plasmodium species known to infect humans, P. falciparum accounts for 50 percent of all malaria cases and is the primary cause of disease-related fatalities in tropical regions of the world. In 2010, it was estimated that malaria caused between one-half and one million deaths, mostly in African children. During the course of malaria, P. falciparum can infect and destroy more than one-half of a human’s circulating blood cells, leading to severe anemia. In response to waste products released as the parasites burst from infected blood cells, the host immune system mounts a massive inflammatory response with episodes of delirium-inducing fever as parasites lyse red blood cells, spilling parasite waste into the bloodstream. P. falciparum is transmitted to humans by the African malaria mosquito, Anopheles gambiae. Techniques to kill, sterilize, or avoid exposure to this highly aggressive mosquito species are crucial to malaria control.

The micrograph shows round red blood cells, each about 8 microns across, infected with ring-shaped P falciparum.
Figure 23.31 Red blood cells are shown to be infected with P. falciparum, the causative agent of malaria. In this light microscopic image taken using a 100× oil immersion lens, the ring-shaped P. falciparum stains purple. (credit: modification of work by Michael Zahniser; scale-bar data from Matt Russell)

Link to Learning

Link to Learning

QR Code representing a URL

This movie depicts the pathogenesis of Plasmodium falciparum, the causative agent of malaria.

Trypanosomes

Trypanosoma brucei, the parasite that is responsible for African sleeping sickness, confounds the human immune system by changing its thick layer of surface glycoproteins with each infectious cycle (Figure 23.32). The glycoproteins are identified by the immune system as foreign antigens, and a specific antibody defense is mounted against the parasite. However, T. brucei has thousands of possible antigens, and with each subsequent generation, the protist switches to a glycoprotein coating with a different molecular structure. In this way, T. brucei is capable of replicating continuously without the immune system ever succeeding in clearing the parasite. Without treatment, T. brucei crosses the blood-brain barrier and infects the central nervous system, causing the patient to lapse into a coma and eventually die. During epidemic periods, mortality from the disease can be high. Greater surveillance and control measures lead to a reduction in reported cases; some of the lowest numbers reported in 50 years (fewer than 10,000 cases in all of sub-Saharan Africa) have happened since 2009.

Link to Learning

Link to Learning

QR Code representing a URL

This movie discusses the pathogenesis of Trypanosoma brucei, the causative agent of African sleeping sickness.

In Latin America, another species, T. cruzi, is responsible for Chagas disease. T. cruzi infections are mainly caused by a blood-sucking bug. The parasite inhabits heart and digestive system tissues in the chronic phase of infection, leading to malnutrition and heart failure due to abnormal heart rhythms. An estimated 10 million people are infected with Chagas disease, and it caused 10,000 deaths in 2008.

The micrograph shows round red blood cells, about 8 microns across. Swimming among the red blood cells are ribbon-like trypanosomes. The trypanosomes are about three times as long as the red blood cells are wide.
Figure 23.32 Trypanosomes are shown among red blood cells. (credit: modification of work by Dr. Myron G. Shultz; scale-bar data from Matt Russell)

Plant Parasites

Protist parasites of terrestrial plants include agents that destroy food crops. The oomycete Plasmopara viticola parasitizes grape plants, causing a disease called downy mildew (Figure 23.33). Grape plants infected with P. viticola appear stunted and have discolored, withered leaves. The spread of downy mildew nearly collapsed the French wine industry in the nineteenth century.

The photo shows a leaf infected with downy mildew (left) and powdery mildew (right). Where the leaf is infected with downy mildew, it is yellow instead of green. Powdery mildew appears as a white fuzz on the leaf.
Figure 23.33 Both downy and powdery mildews on this grape leaf are caused by an infection of P. viticola. (credit: modification of work by USDA)

Phytophthora infestans is an oomycete responsible for potato late blight, which causes potato stalks and stems to decay into black slime (Figure 23.34). Widespread potato blight caused by P. infestans precipitated the well-known Irish potato famine in the nineteenth century that claimed the lives of approximately 1 million people and led to the emigration of at least 1 million more from Ireland. Late blight continues to plague potato crops in certain parts of the United States and Russia, wiping out as much as 70 percent of crops when no pesticides are applied.

The photo shows a slice of potato that has browned and appears rotten.
Figure 23.34 These unappetizing remnants result from an infection with P. infestans, the causative agent of potato late blight. (credit: USDA)

Agents of Decomposition

The fungus-like protist saprobes are specialized to absorb nutrients from nonliving organic matter, such as dead organisms or their wastes. For instance, many types of oomycetes grow on dead animals or algae. Saprobic protists have the essential function of returning inorganic nutrients to the soil and water. This process allows for new plant growth, which in turn generates sustenance for other organisms along the food chain. Indeed, without saprobe species, such as protists, fungi, and bacteria, life would cease to exist as all organic carbon became “tied up” in dead organisms.

Citation/Attribution

This book may not be used in the training of large language models or otherwise be ingested into large language models or generative AI offerings without OpenStax's permission.

Want to cite, share, or modify this book? This book uses the Creative Commons Attribution License and you must attribute OpenStax.

Attribution information
  • If you are redistributing all or part of this book in a print format, then you must include on every physical page the following attribution:

    Access for free at https://openstax.org/books/biology/pages/1-introduction

  • If you are redistributing all or part of this book in a digital format, then you must include on every digital page view the following attribution:

    Access for free at https://openstax.org/books/biology/pages/1-introduction

Citation information

© Feb 14, 2022 OpenStax. Textbook content produced by OpenStax is licensed under a Creative Commons Attribution License . The OpenStax name, OpenStax logo, OpenStax book covers, OpenStax CNX name, and OpenStax CNX logo are not subject to the Creative Commons license and may not be reproduced without the prior and express written consent of Rice University.