Skip to ContentGo to accessibility pageKeyboard shortcuts menu
OpenStax Logo
Search for key terms or text.

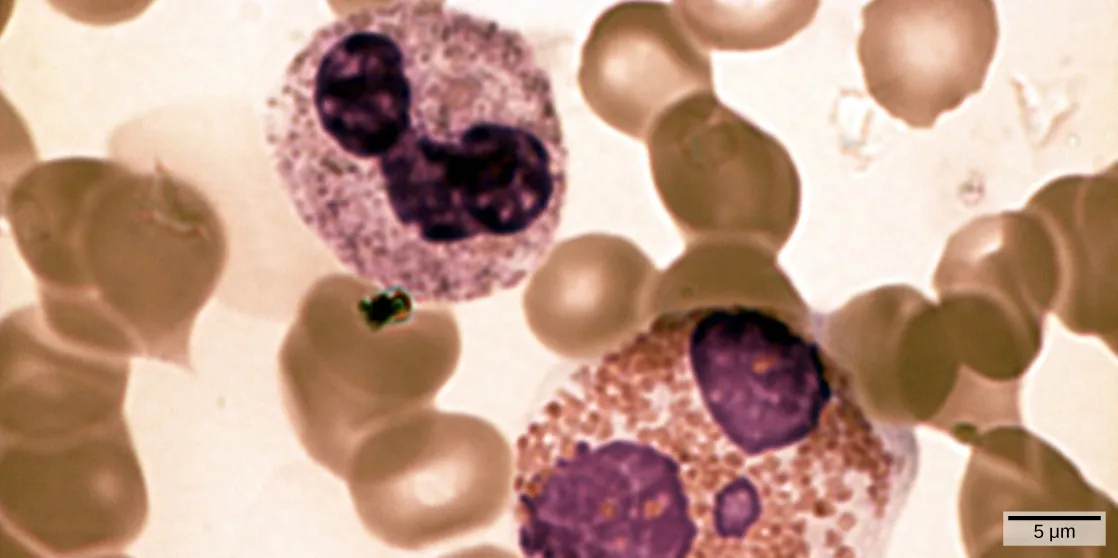
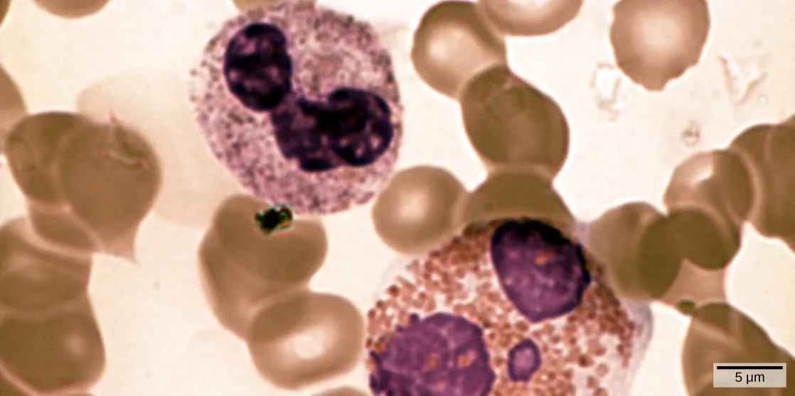
Micrograph shows a blood smear. The neutrophil and eosinophil are similar in structure, but the eosinophil is larger. Both are filled with granular structures, and have three purple-stained nuclei. These white blood cells are surrounded with donut-shaped red blood cells.
Figure 33.1 In this compound light micrograph purple-stained neutrophil (upper left) and eosinophil (lower right) are white blood cells that float among red blood cells in this blood smear. Neutrophils provide an early, rapid, and nonspecific defense against invading pathogens. Eosinophils play a variety of roles in the immune response. Red blood cells are about 7–8 µm in diameter, and a neutrophil is about 10–12µm. (credit: modification of work by Dr. David Csaba)

The environment consists of numerous pathogens, which are agents, usually microorganisms, that cause diseases in their hosts. A host is the organism that is invaded and often harmed by a pathogen. Pathogens include bacteria, protists, fungi and other infectious organisms. We are constantly exposed to pathogens in food and water, on surfaces, and in the air. Mammalian immune systems evolved for protection from such pathogens; they are composed of an extremely diverse array of specialized cells and soluble molecules that coordinate a rapid and flexible defense system capable of providing protection from a majority of these disease agents.

Vaccines were developed to reduce the chance of infection of a particular disease, such as measles, mumps, polio, or chicken pox, by assisting the body to develop immunity. However, many diseases still do not have a vaccine, such as the deadly disease caused by the Ebola virus. Data from the World Health Organization indicates that more than 11,000 people died out of over 27,000 cases reported during the 2014–2015 outbreak. Though the majority of the cases were in Africa, Ebola did spread to other countries and prompted researchers to try to find a treatment. You can read more about this research at the Science Daily website.

Citation/Attribution

This book may not be used in the training of large language models or otherwise be ingested into large language models or generative AI offerings without OpenStax's permission.

Want to cite, share, or modify this book? This book uses the Creative Commons Attribution License and you must attribute OpenStax.

Attribution information
  • If you are redistributing all or part of this book in a print format, then you must include on every physical page the following attribution:

    Access for free at https://openstax.org/books/biology-ap-courses/pages/1-introduction

  • If you are redistributing all or part of this book in a digital format, then you must include on every digital page view the following attribution:

    Access for free at https://openstax.org/books/biology-ap-courses/pages/1-introduction

Citation information

© Jul 7, 2025 OpenStax. Textbook content produced by OpenStax is licensed under a Creative Commons Attribution License . The OpenStax name, OpenStax logo, OpenStax book covers, OpenStax CNX name, and OpenStax CNX logo are not subject to the Creative Commons license and may not be reproduced without the prior and express written consent of Rice University.