Skip to ContentGo to accessibility pageKeyboard shortcuts menu
OpenStax Logo
Biology for AP® Courses

30.4 Transport of Gases in Human Bodily Fluids

Biology for AP® Courses30.4 Transport of Gases in Human Bodily Fluids
Search for key terms or text.

Learning Objectives

In this section, you will explore the following questions:

  • How is oxygen bound to hemoglobin and transported to body tissues?
  • How is carbon dioxide transported from body tissues to the lungs?

Connection for AP® Courses

Gas exchange at the tissue level also occurs by diffusion. The majority of oxygen transported from the lungs to body tissue is bound to a protein called hemoglobin. Hemoglobin is a quaternary protein comprise of four iron-containing heme groups; iron has a great affinity for oxygen. (We know this because iron rusts when exposed to air.)

Information presented and the examples highlighted in the section support concepts outlined in Big Idea 4 of the AP® Biology Curriculum Framework. The AP® Learning Objectives listed in the Curriculum Framework provide a transparent foundation for the AP® Biology course, an inquiry-based laboratory experience, instructional activities, and AP® exam questions. A learning objective merges required content with one or more of the seven science practices.

Big Idea 4 Biological systems interact, and these systems and their interactions possess complex properties.
Enduring Understanding 4.A Interactions within biological systems lead to complex properties.
Essential Knowledge 4.A.1 The subcomponents of biological molecules and their sequence determine the properties of that molecule.
Science Practice 6.1 The student can justify claims with evidence.
Science Practice 6.4 The student can make claims and predictions about natural phenomena based on scientific theories and models.
Learning Objective 4.3 The student is able to use models to predict and justify that changes in the subcomponents of a biological polymer affect the functionality of the molecule.

Once the oxygen diffuses across the alveoli, it enters the bloodstream and is transported to the tissues where it is unloaded, and carbon dioxide diffuses out of the blood and into the alveoli to be expelled from the body. Although gas exchange is a continuous process, the oxygen and carbon dioxide are transported by different mechanisms.

Transport of Oxygen in the Blood

Although oxygen dissolves in blood, only a small amount of oxygen is transported this way. Only 1.5 percent of oxygen in the blood is dissolved directly into the blood itself. Most oxygen—98.5 percent—is bound to a protein called hemoglobin and carried to the tissues.

Hemoglobin

Hemoglobin, or Hb, is a protein molecule found in red blood cells (erythrocytes) made of four subunits: two alpha subunits and two beta subunits (Figure 30.19). Each subunit surrounds a central heme group that contains iron and binds one oxygen molecule, allowing each hemoglobin molecule to bind four oxygen molecules. Molecules with more oxygen bound to the heme groups are brighter red. As a result, oxygenated arterial blood where the Hb is carrying four oxygen molecules is bright red, while venous blood that is deoxygenated is darker red.

Part a shows disc-shaped red blood cells. An arrow points from a red blood cell to the hemoglobin in part b. Hemoglobin is made up of coiled helices. The left, right, bottom, and top parts of the molecule are symmetrical. Four small heme groups are associated with hemoglobin. Oxygen is bound to the heme.
Figure 30.19 The protein inside (a) red blood cells that carries oxygen to cells and carbon dioxide to the lungs is (b) hemoglobin. Hemoglobin is made up of four symmetrical subunits and four heme groups. Iron associated with the heme binds oxygen. It is the iron in hemoglobin that gives blood its red color.

It is easier to bind a second and third oxygen molecule to Hb than the first molecule. This is because the hemoglobin molecule changes its shape, or conformation, as oxygen binds. The fourth oxygen is then more difficult to bind. The binding of oxygen to hemoglobin can be plotted as a function of the partial pressure of oxygen in the blood (x-axis) versus the relative Hb-oxygen saturation (y-axis). The resulting graph—an oxygen dissociation curve—is sigmoidal, or S-shaped (Figure 30.20). As the partial pressure of oxygen increases, the hemoglobin becomes increasingly saturated with oxygen.

Visual Connection

The graph plots percent oxygen saturation of hemoglobin on the Y axis as a function of oxygen partial pressure measured in mm Hg on the X axis. Oxygen saturation increases in an S shaped curve. The curve rises slowly at first, then curves upward. It rises quickly from about 20 percent saturation at 20 mm Hg of partial pressure to about 60 percent saturation at 30 mm Hg of partial pressure. The curve then starts leveling out, gradually rising to nearly 100 percent saturation at 100 mm Hg of partial pressure. The curve shifts to the left under conditions of low carbon dioxide, high pH, and low temperature, and to the right in conditions of high carbon dioxide, low pH, or high temperature.
Figure 30.20 The oxygen dissociation curve demonstrates that, as the partial pressure of oxygen increases, more oxygen binds hemoglobin. However, the affinity of hemoglobin for oxygen may shift to the left or the right depending on environmental conditions.
The kidneys are responsible for removing excess hydrogen ions from the blood. If the kidneys fail, what would happen to blood pH and hemoglobin affinity for oxygen?
  1. The blood pH will drop and hemoglobin affinity for oxygen will increase.
  2. The blood pH will increase and hemoglobin affinity for oxygen will drop.
  3. The blood pH will drop and hemoglobin affinity for oxygen will decrease.
  4. The blood pH will increase and hemoglobin affinity for oxygen will also increase.

Factors That Affect Oxygen Binding

The oxygen-carrying capacity of hemoglobin determines how much oxygen is carried in the blood. In addition to P O 2 P O 2 , other environmental factors and diseases can affect oxygen carrying capacity and delivery.

Carbon dioxide levels, blood pH, and body temperature affect oxygen-carrying capacity (Figure 30.20). When carbon dioxide is in the blood, it reacts with water to form bicarbonate (HCO 3 ) (HCO 3 ) and hydrogen ions (H+). As the level of carbon dioxide in the blood increases, more H+ is produced and the pH decreases. This increase in carbon dioxide and subsequent decrease in pH reduce the affinity of hemoglobin for oxygen. The oxygen dissociates from the Hb molecule, shifting the oxygen dissociation curve to the right. Therefore, more oxygen is needed to reach the same hemoglobin saturation level as when the pH was higher. A similar shift in the curve also results from an increase in body temperature. Increased temperature, such as from increased activity of skeletal muscle, causes the affinity of hemoglobin for oxygen to be reduced.

Diseases like sickle cell anemia and thalassemia decrease the blood’s ability to deliver oxygen to tissues and its oxygen-carrying capacity. In sickle cell anemia, the shape of the red blood cell is crescent-shaped, elongated, and stiffened, reducing its ability to deliver oxygen (Figure 30.21). In this form, red blood cells cannot pass through the capillaries. This is painful when it occurs. Thalassemia is a rare genetic disease caused by a defect in either the alpha or the beta subunit of Hb. Patients with thalassemia produce a high number of red blood cells, but these cells have lower-than-normal levels of hemoglobin. Therefore, the oxygen-carrying capacity is diminished.

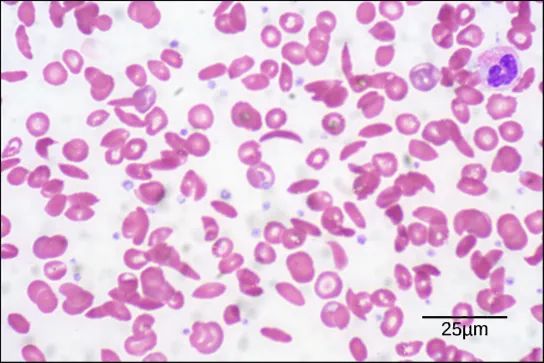
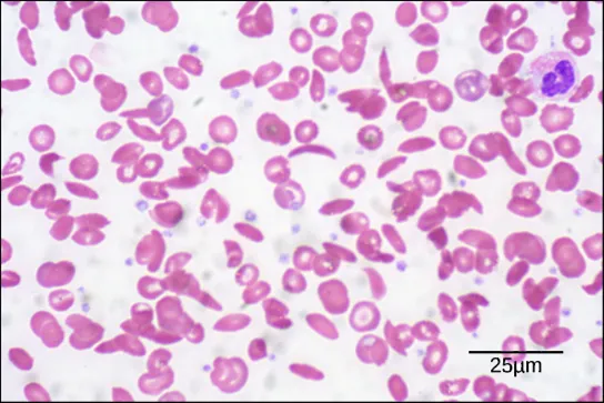
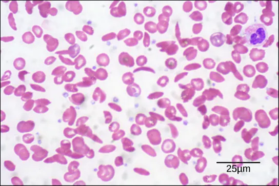
The micrograph shows a smear of red blood cells, some are disc-shaped and compressed in the center, whereas some are crescent-shaped. Each red blood cell is about five microns across.
Figure 30.21 Individuals with sickle cell anemia have crescent-shaped red blood cells. (credit: modification of work by Ed Uthman; scale-bar data from Matt Russell)

Transport of Carbon Dioxide in the Blood

Carbon dioxide molecules are transported in the blood from body tissues to the lungs by one of three methods: dissolution directly into the blood, binding to hemoglobin, or carried as a bicarbonate ion. Several properties of carbon dioxide in the blood affect its transport. First, carbon dioxide is more soluble in blood than oxygen. About 5 to 7 percent of all carbon dioxide is dissolved in the plasma. Second, carbon dioxide can bind to plasma proteins or can enter red blood cells and bind to hemoglobin. This form transports about 10 percent of the carbon dioxide. When carbon dioxide binds to hemoglobin, a molecule called carbaminohemoglobin is formed. Binding of carbon dioxide to hemoglobin is reversible. Therefore, when it reaches the lungs, the carbon dioxide can freely dissociate from the hemoglobin and be expelled from the body.

Third, the majority of carbon dioxide molecules (85 percent) are carried as part of the bicarbonate buffer system. In this system, carbon dioxide diffuses into the red blood cells. Carbonic anhydrase (CA) within the red blood cells quickly converts the carbon dioxide into carbonic acid (H2CO3). Carbonic acid is an unstable intermediate molecule that immediately dissociates into bicarbonate ions (HCO 3 ) (HCO 3 ) and hydrogen (H+) ions. Since carbon dioxide is quickly converted into bicarbonate ions, this reaction allows for the continued uptake of carbon dioxide into the blood down its concentration gradient. It also results in the production of H+ ions. If too much H+ is produced, it can alter blood pH. However, hemoglobin binds to the free H+ ions and thus limits shifts in pH. The newly synthesized bicarbonate ion is transported out of the red blood cell into the liquid component of the blood in exchange for a chloride ion (Cl-); this is called the chloride shift. When the blood reaches the lungs, the bicarbonate ion is transported back into the red blood cell in exchange for the chloride ion. The H+ ion dissociates from the hemoglobin and binds to the bicarbonate ion. This produces the carbonic acid intermediate, which is converted back into carbon dioxide through the enzymatic action of CA. The carbon dioxide produced is expelled through the lungs during exhalation.

CO 2  + H 2 O H 2 CO 3 (carbonic acid)   HCO 3  + H + (bicarbonate)   CO 2  + H 2 O H 2 CO 3 (carbonic acid)   HCO 3  + H + (bicarbonate)  

The benefit of the bicarbonate buffer system is that carbon dioxide is “soaked up” into the blood with little change to the pH of the system. This is important because it takes only a small change in the overall pH of the body for severe injury or death to result. The presence of this bicarbonate buffer system also allows for people to travel and live at high altitudes: When the partial pressure of oxygen and carbon dioxide change at high altitudes, the bicarbonate buffer system adjusts to regulate carbon dioxide while maintaining the correct pH in the body.

Carbon Monoxide Poisoning

While carbon dioxide can readily associate and dissociate from hemoglobin, other molecules such as carbon monoxide (CO) cannot. Carbon monoxide has a greater affinity for hemoglobin than oxygen. Therefore, when carbon monoxide is present, it binds to hemoglobin preferentially over oxygen. As a result, oxygen cannot bind to hemoglobin, so very little oxygen is transported through the body (Figure 30.22). Carbon monoxide is a colorless, odorless gas and is therefore difficult to detect. It is produced by gas-powered vehicles and tools. Carbon monoxide can cause headaches, confusion, and nausea; long-term exposure can cause brain damage or death. Administering 100 percent (pure) oxygen is the usual treatment for carbon monoxide poisoning. Administration of pure oxygen speeds up the separation of carbon monoxide from hemoglobin.

Percent oxygen saturation of hemoglobin at an oxygen pressure of 100 millimeters of mercury decreases as percent carbon monoxide increases. In the absence of carbon monoxide, hemoglobin is 98 percent saturated with oxygen. At twenty percent carbon monoxide, hemoglobin is 77 percent  saturated with oxygen.  At forty percent carbon monoxide, hemoglobin is 68 percent saturated with oxygen. At sixty percent carbon monoxide, hemoglobin is 40 percent saturated with oxygen. At eighty percent carbon monoxide, hemoglobin is 20 percent saturated with oxygen.
Figure 30.22 As percent CO increases, the oxygen saturation of hemoglobin decreases.

Science Practice Connection for AP® Courses

Think About It

How does the administration of 100 percent oxygen save a patient from carbon monoxide poisoning? Why wouldn’t giving carbon dioxide work?

Teacher Support

The Think About It question is an application of AP® Learning Objective 4.3 and Science Practices 6.1 and 6.4 because students are using a model of structure-function at the molecular level (hemoglobin) to make a prediction about how changes can affect the functionality of the molecule.

Everyday Connection for AP® Courses

Fuel burning items around the home can leak carbon monoxide gas. Because it is tasteless and odorless, people might not be aware of the leak, putting them at great risk for carbon monoxide poisoning. Carbon monoxide detectors, such as the one pictured here, have saved countless lives by alerting people to a dangerous build-up of carbon monoxide.

A carbon monoxide detecting device.
Figure 30.23 (credit: Sideroxylon, Wikimedia Commons)
Why is it more important to have a detector for carbon monoxide than other household gases, such as ammonia or natural gas?
  1. Because carbon monoxide is tasteless and has a light odor, which is detected very late in exposure.
  2. Because carbon monoxide has a stronger odor, making it more unpleasant and dangerous.
  3. Because carbon monoxide is odorless and tasteless, unlike ammonia and household natural gas which have distinct smells.
  4. Because carbon monoxide should not be present in the environment at all.
Citation/Attribution

This book may not be used in the training of large language models or otherwise be ingested into large language models or generative AI offerings without OpenStax's permission.

Want to cite, share, or modify this book? This book uses the Creative Commons Attribution License and you must attribute OpenStax.

Attribution information
  • If you are redistributing all or part of this book in a print format, then you must include on every physical page the following attribution:

    Access for free at https://openstax.org/books/biology-ap-courses/pages/1-introduction

  • If you are redistributing all or part of this book in a digital format, then you must include on every digital page view the following attribution:

    Access for free at https://openstax.org/books/biology-ap-courses/pages/1-introduction

Citation information

© Jul 7, 2025 OpenStax. Textbook content produced by OpenStax is licensed under a Creative Commons Attribution License . The OpenStax name, OpenStax logo, OpenStax book covers, OpenStax CNX name, and OpenStax CNX logo are not subject to the Creative Commons license and may not be reproduced without the prior and express written consent of Rice University.