Skip to ContentGo to accessibility pageKeyboard shortcuts menu
OpenStax Logo
Biology for AP® Courses

28.5 Endocrine Glands

Biology for AP® Courses28.5 Endocrine Glands
Search for key terms or text.

Learning Objectives

In this section, you will explore the following questions:

  • What are the roles of different glands in the endocrine system?
  • How do different glands work together to maintain homeostasis?

Connection for AP® Courses

The specific information in this section is outside the scope for AP®. You do not have to memorize a list of endocrine glands, their locations in the body, and the hormones they produce. However, you might want to focus on one or two examples and consider how endocrine glands and their hormone products work together and with the nervous system to communicate and regulate the body’s physiology to maintain homeostasis. For example, the hypothalamus in vertebrates integrates the endocrine and nervous systems. The hypothalamus is located in the brain and receives input from the body and other brain areas and initiates endocrine responses to environmental changes. The pituitary gland is attached to the hypothalamus and receives products from the hypothalamus, causing, in turn, the secretion of anterior and posterior pituitary hormones such as growth hormone (GH), follicle-stimulating hormone (FSH), luteinizing hormone (LH), and oxytocin. The thyroid gland, located in the neck just below the larynx, releases T3 and T4 in response to thyroid stimulating hormone (TSH) produced by the anterior pituitary. Another example is how frog development is disrupted by estrogen in waste water, which you can read more about at the Science News website.

Both the endocrine and nervous systems use chemical signals to communicate and regulate the body's physiology. The endocrine system releases hormones that act on target cells to regulate development, growth, energy metabolism, reproduction, and many behaviors. The nervous system releases neurotransmitters or neurohormones that regulate neurons, muscle cells, and endocrine cells. Because the neurons can regulate the release of hormones, the nervous and endocrine systems work in a coordinated manner to regulate the body's physiology.

Hypothalamic-Pituitary Axis

The hypothalamus in vertebrates integrates the endocrine and nervous systems. The hypothalamus is an endocrine organ located in the diencephalon of the brain. It receives input from the body and other brain areas and initiates endocrine responses to environmental changes. The hypothalamus acts as an endocrine organ, synthesizing hormones and transporting them along axons to the posterior pituitary gland. It synthesizes and secretes regulatory hormones that control the endocrine cells in the anterior pituitary gland. The hypothalamus contains autonomic centers that control endocrine cells in the adrenal medulla via neuronal control.

The pituitary gland, sometimes called the hypophysis or “master gland” is located at the base of the brain in the sella turcica, a groove of the sphenoid bone of the skull, illustrated in Figure 28.15. It is attached to the hypothalamus via a stalk called the pituitary stalk (or infundibulum). The anterior portion of the pituitary gland is regulated by releasing or release-inhibiting hormones produced by the hypothalamus, and the posterior pituitary receives signals via neurosecretory cells to release hormones produced by the hypothalamus. The pituitary has two distinct regions—the anterior pituitary and the posterior pituitary—which between them secrete nine different peptide or protein hormones. The posterior lobe of the pituitary gland contains axons of the hypothalamic neurons.

The pituitary gland sits at the base of the brain, just above the brain stem. It is lobe-shaped and hangs down from the hypothalamus, to which it is connected to via a narrow stalk. The anterior part of the pituitary is toward the front, and the posterior end is toward the back.
Figure 28.15 The pituitary gland is located at (a) the base of the brain and (b) connected to the hypothalamus by the pituitary stalk. (credit a: modification of work by NCI; credit b: modification of work by Gray’s Anatomy)

Anterior Pituitary

The anterior pituitary gland, or adenohypophysis, is surrounded by a capillary network that extends from the hypothalamus, down along the infundibulum, and to the anterior pituitary. This capillary network is a part of the hypophyseal portal system that carries substances from the hypothalamus to the anterior pituitary and hormones from the anterior pituitary into the circulatory system. A portal system carries blood from one capillary network to another; therefore, the hypophyseal portal system allows hormones produced by the hypothalamus to be carried directly to the anterior pituitary without first entering the circulatory system.

The anterior pituitary produces seven hormones: growth hormone (GH), prolactin (PRL), thyroid-stimulating hormone (TSH), melanin-stimulating hormone (MSH), adrenocorticotropic hormone (ACTH), follicle-stimulating hormone (FSH), and luteinizing hormone (LH). Anterior pituitary hormones are sometimes referred to as tropic hormones, because they control the functioning of other organs. While these hormones are produced by the anterior pituitary, their production is controlled by regulatory hormones produced by the hypothalamus. These regulatory hormones can be releasing hormones or inhibiting hormones, causing more or less of the anterior pituitary hormones to be secreted. These travel from the hypothalamus through the hypophyseal portal system to the anterior pituitary where they exert their effect. Negative feedback then regulates how much of these regulatory hormones are released and how much anterior pituitary hormone is secreted.

Posterior Pituitary

The posterior pituitary is significantly different in structure from the anterior pituitary. It is a part of the brain, extending down from the hypothalamus, and contains mostly nerve fibers and neuroglial cells, which support axons that extend from the hypothalamus to the posterior pituitary. The posterior pituitary and the infundibulum together are referred to as the neurohypophysis.

The hormones antidiuretic hormone (ADH), also known as vasopressin, and oxytocin are produced by neurons in the hypothalamus and transported within these axons along the infundibulum to the posterior pituitary. They are released into the circulatory system via neural signaling from the hypothalamus. These hormones are considered to be posterior pituitary hormones, even though they are produced by the hypothalamus, because that is where they are released into the circulatory system. The posterior pituitary itself does not produce hormones, but instead stores hormones produced by the hypothalamus and releases them into the blood stream.

Thyroid Gland

The thyroid gland is located in the neck, just below the larynx and in front of the trachea, as shown in Figure 28.16. It is a butterfly-shaped gland with two lobes that are connected by the isthmus. It has a dark red color due to its extensive vascular system. When the thyroid swells due to dysfunction, it can be felt under the skin of the neck.

The thyroid is located in the neck beneath the larynx and in front of the trachea. It consists of right and left lobes and a narrow central region called the isthmus of thyroid. Above the isthmus of thyroid is the pyramidal lobe.
Figure 28.16 This illustration shows the location of the thyroid gland.

The thyroid gland is made up of many spherical thyroid follicles, which are lined with a simple cuboidal epithelium. These follicles contain a viscous fluid, called colloid, which stores the glycoprotein thyroglobulin, the precursor to the thyroid hormones. The follicles produce hormones that can be stored in the colloid or released into the surrounding capillary network for transport to the rest of the body via the circulatory system.

Thyroid follicle cells synthesize the hormone thyroxine, which is also known as T4 because it contains four atoms of iodine, and triiodothyronine, also known as T3 because it contains three atoms of iodine. Follicle cells are stimulated to release stored T3 and T4 by thyroid stimulating hormone (TSH), which is produced by the anterior pituitary. These thyroid hormones increase the rates of mitochondrial ATP production.

A third hormone, calcitonin, is produced by parafollicular cells of the thyroid. Calcitonin release is not controlled by TSH, but instead is released when calcium ion concentrations in the blood rise. Calcitonin functions to help regulate calcium concentrations in body fluids. It acts in the bones to inhibit osteoclast activity and in the kidneys to stimulate excretion of calcium. The combination of these two events lowers body fluid levels of calcium.

Parathyroid Glands

Most people have four parathyroid glands; however, the number can vary from two to six. These glands are located on the posterior surface of the thyroid gland, as shown in Figure 28.17. Normally, there is a superior gland and an inferior gland associated with each of the thyroid’s two lobes. Each parathyroid gland is covered by connective tissue and contains many secretory cells that are associated with a capillary network.

The parathyroid glands are round structures located on the surface of the right and left lobes of the thyroid gland. In the illustration shown, there are two parathyroid glands on each side, and one is located above the other.
Figure 28.17 The parathyroid glands are located on the posterior of the thyroid gland. (credit: modification of work by NCI)

The parathyroid glands produce parathyroid hormone (PTH). PTH increases blood calcium concentrations when calcium ion levels fall below normal. PTH (1) enhances reabsorption of Ca2+ by the kidneys, (2) stimulates osteoclast activity and inhibits osteoblast activity, and (3) it stimulates synthesis and secretion of calcitriol by the kidneys, which enhances Ca2+ absorption by the digestive system. PTH is produced by chief cells of the parathyroid. PTH and calcitonin work in opposition to one another to maintain homeostatic Ca2+ levels in body fluids. Another type of cells, oxyphil cells, exist in the parathyroid but their function is not known. These hormones encourage bone growth, muscle mass, and blood cell formation in children and women.

Adrenal Glands

The adrenal glands are associated with the kidneys; one gland is located on top of each kidney as illustrated in Figure 28.18. The adrenal glands consist of an outer adrenal cortex and an inner adrenal medulla. These regions secrete different hormones.

The adrenal glands are lumpy, irregular structures located on top of the kidneys.
Figure 28.18 The location of the adrenal glands on top of the kidneys is shown. (credit: modification of work by NCI)

Adrenal Cortex

The adrenal cortex is made up of layers of epithelial cells and associated capillary networks. These layers form three distinct regions: an outer zona glomerulosa that produces mineralocorticoids, a middle zona fasciculata that produces glucocorticoids, and an inner zona reticularis that produces androgens.

The main mineralocorticoid is aldosterone, which regulates the concentration of Na+ ions in urine, sweat, pancreas, and saliva. Aldosterone release from the adrenal cortex is stimulated by a decrease in blood concentrations of sodium ions, blood volume, or blood pressure, or by an increase in blood potassium levels.

The three main glucocorticoids are cortisol, corticosterone, and cortisone. The glucocorticoids stimulate the synthesis of glucose and gluconeogenesis (converting a non-carbohydrate to glucose) by liver cells and they promote the release of fatty acids from adipose tissue. These hormones increase blood glucose levels to maintain levels within a normal range between meals. These hormones are secreted in response to ACTH and levels are regulated by negative feedback.

Androgens are sex hormones that promote masculinity. They are produced in small amounts by the adrenal cortex in both males and females. They do not affect sexual characteristics and may supplement sex hormones released from the gonads.

Adrenal Medulla

The adrenal medulla contains large, irregularly shaped cells that are closely associated with blood vessels. These cells are innervated by preganglionic autonomic nerve fibers from the central nervous system.

The adrenal medulla contains two types of secretory cells: one that produces epinephrine (adrenaline) and another that produces norepinephrine (noradrenaline). Epinephrine is the primary adrenal medulla hormone accounting for 75 to 80 percent of its secretions. Epinephrine and norepinephrine increase heart rate, breathing rate, cardiac muscle contractions, blood pressure, and blood glucose levels. They also accelerate the breakdown of glucose in skeletal muscles and stored fats in adipose tissue.

The release of epinephrine and norepinephrine is stimulated by neural impulses from the sympathetic nervous system. Secretion of these hormones is stimulated by acetylcholine release from preganglionic sympathetic fibers innervating the adrenal medulla. These neural impulses originate from the hypothalamus in response to stress to prepare the body for the fight-or-flight response.

Pancreas

The pancreas, illustrated in Figure 28.19, is an elongated organ that is located between the stomach and the proximal portion of the small intestine. It contains both exocrine cells that excrete digestive enzymes and endocrine cells that release hormones. It is sometimes referred to as a heterocrine gland because it has both endocrine and exocrine functions.

The pancreas is a grainy, teardrop-shaped organ tucked between the stomach and intestine.
Figure 28.19 The pancreas is found underneath the stomach and points toward the spleen. (credit: modification of work by NCI)

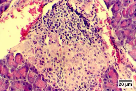
The endocrine cells of the pancreas form clusters called pancreatic islets or the islets of Langerhans, as visible in the micrograph shown in Figure 28.20. The pancreatic islets contain two primary cell types: alpha cells, which produce the hormone glucagon, and beta cells, which produce the hormone insulin. These hormones regulate blood glucose levels. As blood glucose levels decline, alpha cells release glucagon to raise the blood glucose levels by increasing rates of glycogen breakdown and glucose release by the liver. When blood glucose levels rise, such as after a meal, beta cells release insulin to lower blood glucose levels by increasing the rate of glucose uptake in most body cells, and by increasing glycogen synthesis in skeletal muscles and the liver. Together, glucagon and insulin regulate blood glucose levels.

Micrograph shows purple-stained cells in a white tissue. The white tissue is surrounded by tissue that stains pink.
Figure 28.20 The islets of Langerhans are clusters of endocrine cells found in the pancreas; they stain lighter than surrounding cells. (credit: modification of work by Muhammad T. Tabiin, Christopher P. White, Grant Morahan, and Bernard E. Tuch; scale-bar data from Matt Russell)

Pineal Gland

The pineal gland produces melatonin. The rate of melatonin production is affected by the photoperiod. Collaterals from the visual pathways innervate the pineal gland. During the day photoperiod, little melatonin is produced; however, melatonin production increases during the dark photoperiod (night). In some mammals, melatonin has an inhibitory effect on reproductive functions by decreasing production and maturation of sperm, oocytes, and reproductive organs. Melatonin is an effective antioxidant, protecting the CNS from free radicals such as nitric oxide and hydrogen peroxide. Lastly, melatonin is involved in biological rhythms, particularly circadian rhythms such as the sleep-wake cycle and eating habits.

Gonads

The gonads—the male testes and female ovaries—produce steroid hormones. The testes produce androgens, testosterone being the most prominent, which allow for the development of secondary sex characteristics and the production of sperm cells. The ovaries produce estradiol and progesterone, which cause secondary sex characteristics and prepare the body for childbirth.

Endocrine Glands and their Associated Hormones
Endocrine Gland Associated Hormones Effect
Hypothalamus releasing and inhibiting hormones regulate hormone release from pituitary gland; produce oxytocin; produce uterine contractions and milk secretion in females
antidiuretic hormone (ADH) water reabsorption from kidneys; vasoconstriction to increase blood pressure
Pituitary (Anterior) growth hormone (GH) promotes growth of body tissues, protein synthesis; metabolic functions
prolactin (PRL) promotes milk production
thyroid stimulating hormone (TSH) stimulates thyroid hormone release
adrenocorticotropic hormone (ACTH) stimulates hormone release by adrenal cortex, glucocorticoids
follicle-stimulating hormone (FSH) stimulates gamete production (both ova and sperm); secretion of estradiol
luteinizing hormone (LH) stimulates androgen production by gonads; ovulation, secretion of progesterone
melanocyte-stimulating hormone (MSH) stimulates melanocytes of the skin increasing melanin pigment production.
Pituitary (Posterior) antidiuretic hormone (ADH) stimulates water reabsorption by kidneys
oxytocin stimulates uterine contractions during childbirth; milk ejection; stimulates ductus deferens and prostate gland contraction during emission
Thyroid thyroxine, triiodothyronine stimulate and maintain metabolism; growth and development
calcitonin reduces blood Ca2+ levels
Parathyroid parathyroid hormone (PTH) increases blood Ca2+ levels
Adrenal (Cortex) aldosterone increases blood Na+ levels; increase K+ secretion
cortisol, corticosterone, cortisone increase blood glucose levels; anti-inflammatory effects
Adrenal (Medulla) epinephrine, norepinephrine stimulate fight-or-flight response; increase blood gluclose levels; increase metabolic activities
Pancreas insulin reduces blood glucose levels
glucagon increases blood glucose levels
Pineal gland melatonin regulates some biological rhythms and protects CNS from free radicals
Testes androgens regulate, promote, increase or maintain sperm production; male secondary sexual characteristics
Ovaries estrogen promotes uterine lining growth; female secondary sexual characteristics
progestins promote and maintain uterine lining growth
Table 28.1

Organs with Secondary Endocrine Functions

There are several organs whose primary functions are non-endocrine but that also possess endocrine functions. These include the heart, kidneys, intestines, thymus, gonads, and adipose tissue.

The heart possesses endocrine cells in the walls of the atria that are specialized cardiac muscle cells. These cells release the hormone atrial natriuretic peptide (ANP) in response to increased blood volume. High blood volume causes the cells to be stretched, resulting in hormone release. ANP acts on the kidneys to reduce the reabsorption of Na+, causing Na+ and water to be excreted in the urine. ANP also reduces the amounts of renin released by the kidneys and aldosterone released by the adrenal cortex, further preventing the retention of water. In this way, ANP causes a reduction in blood volume and blood pressure, and reduces the concentration of Na+ in the blood.

The gastrointestinal tract produces several hormones that aid in digestion. The endocrine cells are located in the mucosa of the GI tract throughout the stomach and small intestine. Some of the hormones produced include gastrin, secretin, and cholecystokinin, which are secreted in the presence of food, and some of which act on other organs such as the pancreas, gallbladder, and liver. They trigger the release of gastric juices, which help to break down and digest food in the GI tract.

While the adrenal glands associated with the kidneys are major endocrine glands, the kidneys themselves also possess endocrine function. Renin is released in response to decreased blood volume or pressure and is part of the renin-angiotensin-aldosterone system that leads to the release of aldosterone. Aldosterone then causes the retention of Na+ and water, raising blood volume. The kidneys also release calcitriol, which aids in the absorption of Ca2+ and phosphate ions. Erythropoietin (EPO) is a protein hormone that triggers the formation of red blood cells in the bone marrow. EPO is released in response to low oxygen levels. Because red blood cells are oxygen carriers, increased production results in greater oxygen delivery throughout the body. EPO has been used by athletes to improve performance, as greater oxygen delivery to muscle cells allows for greater endurance. Because red blood cells increase the viscosity of blood, artificially high levels of EPO can cause severe health risks.

The thymus is found behind the sternum; it is most prominent in infants, becoming smaller in size through adulthood. The thymus produces hormones referred to as thymosins, which contribute to the development of the immune response.

Adipose tissue is a connective tissue found throughout the body. It produces the hormone leptin in response to food intake. Leptin increases the activity of anorexigenic neurons and decreases that of orexigenic neurons, producing a feeling of satiety after eating, thus affecting appetite and reducing the urge for further eating. Leptin is also associated with reproduction. It must be present for GnRH and gonadotropin synthesis to occur. Extremely thin females may enter puberty late; however, if adipose levels increase, more leptin will be produced, improving fertility.

Citation/Attribution

This book may not be used in the training of large language models or otherwise be ingested into large language models or generative AI offerings without OpenStax's permission.

Want to cite, share, or modify this book? This book uses the Creative Commons Attribution License and you must attribute OpenStax.

Attribution information
  • If you are redistributing all or part of this book in a print format, then you must include on every physical page the following attribution:

    Access for free at https://openstax.org/books/biology-ap-courses/pages/1-introduction

  • If you are redistributing all or part of this book in a digital format, then you must include on every digital page view the following attribution:

    Access for free at https://openstax.org/books/biology-ap-courses/pages/1-introduction

Citation information

© Jul 7, 2025 OpenStax. Textbook content produced by OpenStax is licensed under a Creative Commons Attribution License . The OpenStax name, OpenStax logo, OpenStax book covers, OpenStax CNX name, and OpenStax CNX logo are not subject to the Creative Commons license and may not be reproduced without the prior and express written consent of Rice University.