Skip to ContentGo to accessibility pageKeyboard shortcuts menu
OpenStax Logo
Biology 2e

3.4 Proteins

Biology 2e3.4 Proteins
Search for key terms or text.

Learning Objectives

By the end of this section, you will be able to do the following:

  • Describe the functions proteins perform in the cell and in tissues
  • Discuss the relationship between amino acids and proteins
  • Explain the four levels of protein organization
  • Describe the ways in which protein shape and function are linked

Proteins are one of the most abundant organic molecules in living systems and have the most diverse range of functions of all macromolecules. Proteins may be structural, regulatory, contractile, or protective. They may serve in transport, storage, or membranes; or they may be toxins or enzymes. Each cell in a living system may contain thousands of proteins, each with a unique function. Their structures, like their functions, vary greatly. They are all, however, amino acid polymers arranged in a linear sequence.

Types and Functions of Proteins

Enzymes, which living cells produce, are catalysts in biochemical reactions (like digestion) and are usually complex or conjugated proteins. Each enzyme is specific for the substrate (a reactant that binds to an enzyme) upon which it acts. The enzyme may help in breakdown, rearrangement, or synthesis reactions. We call enzymes that break down their substrates catabolic enzymes. Those that build more complex molecules from their substrates are anabolic enzymes, and enzymes that affect the rate of reaction are catalytic enzymes. Note that all enzymes increase the reaction rate and, therefore, are organic catalysts. An example of an enzyme is salivary amylase, which hydrolyzes its substrate amylose, a component of starch.

Hormones are chemical-signaling molecules, usually small proteins or steroids, secreted by endocrine cells that act to control or regulate specific physiological processes, including growth, development, metabolism, and reproduction. For example, insulin is a protein hormone that helps regulate the blood glucose level. Table 3.1 lists the primary types and functions of proteins.

Protein Types and Functions
TypeExamplesFunctions
Digestive EnzymesAmylase, lipase, pepsin, trypsinHelp in food by catabolizing nutrients into monomeric units
TransportHemoglobin, albuminCarry substances in the blood or lymph throughout the body
StructuralActin, tubulin, keratinConstruct different structures, like the cytoskeleton
HormonesInsulin, thyroxineCoordinate different body systems' activity
DefenseImmunoglobulinsProtect the body from foreign pathogens
ContractileActin, myosinEffect muscle contraction
StorageLegume storage proteins, egg white (albumin)Provide nourishment in early embryo development and the seedling
Table 3.1

Proteins have different shapes and molecular weights. Some proteins are globular in shape; whereas, others are fibrous in nature. For example, hemoglobin is a globular protein, but collagen, located in our skin, is a fibrous protein. Protein shape is critical to its function, and many different types of chemical bonds maintain this shape. Changes in temperature, pH, and exposure to chemicals may lead to permanent changes in the protein's shape, leading to loss of function, or denaturation. Different arrangements of the same 20 types of amino acids comprise all proteins. Two rare new amino acids were discovered recently (selenocysteine and pyrrolysine), and additional new discoveries may be added to the list.

Amino Acids

Amino acids are the monomers that comprise proteins. Each amino acid has the same fundamental structure, which consists of a central carbon atom, or the alpha (α) carbon, bonded to an amino group (NH2), a carboxyl group (COOH), and to a hydrogen atom. Every amino acid also has another atom or group of atoms bonded to the central atom known as the R group (Figure 3.22).

The molecular structure of an amino acid is given. An amino acid has an alpha carbon to which an amino group, a carboxyl group, a hydrogen, and a side chain are attached. The side chain varies for different amino acids, and is designated as the R - group.
Figure 3.22 Amino acids have a central asymmetric carbon to which an amino group, a carboxyl group, a hydrogen atom, and a side chain (R group) are attached.

Scientists use the name "amino acid" because these acids contain both amino group and carboxyl-acid-group in their basic structure. As we mentioned, there are 20 common amino acids present in proteins. Nine of these are essential amino acids in humans because the human body cannot produce them and we obtain them from our diet. For each amino acid, the R group (or side chain) is different (Figure 3.23).

Visual Connection

The molecular structures of the twenty amino acids commonly found in proteins are given. These are divided into five categories: nonpolar aliphatic, polar uncharged, positively charged, negatively charged, and aromatic. Nonpolar aliphatic amino acids include glycine, alanine, valine, leucine, methionine, isoleucine, and proline. Polar uncharged amino acids include serine, threonine, cysteine, asparagine, and glutamine. Positively charged amino acids include lysine, arginine, and histidine. Negatively charged amino acids include aspartate and glutamate. Aromatic amino acids include phenylalanine, tyrosine, and tryptophan.  For example, in the amino acid glycine, the R group is a single hydrogen; but in alanine the R group is upper C upper H subscript 3 baseline.
Figure 3.23 There are 20 common amino acids commonly found in proteins, each with a different R group (variant group) that determines its chemical nature.

Which categories of amino acid would you expect to find on a soluble protein's surface and which would you expect to find in the interior? What distribution of amino acids would you expect to find in a protein embedded in a lipid bilayer?

The chemical nature of the side chain determines the amino acid's nature (that is, whether it is acidic, basic, polar, or nonpolar). For example, the amino acid glycine has a hydrogen atom as the R group. Amino acids such as valine, methionine, and alanine are nonpolar or hydrophobic in nature, while amino acids such as serine, threonine, and cysteine are polar and have hydrophilic side chains. The side chains of lysine and arginine are positively charged, and therefore these amino acids are also basic amino acids. Proline has an R group that is linked to the amino group, forming a ring-like structure. Proline is an exception to the amino acid's standard structure since its amino group is not separate from the side chain (Figure 3.23).

A single upper case letter or a three-letter abbreviation represents amino acids. For example, the letter V or the three-letter symbol val represent valine. Just as some fatty acids are essential to a diet, some amino acids also are necessary. These essential amino acids in humans include isoleucine, leucine, and cysteine. Essential amino acids refer to those necessary to build proteins in the body, but not those that the body produces. Which amino acids are essential varies from organism to organism.

The sequence and the number of amino acids ultimately determine the protein's shape, size, and function. A covalent bond, or peptide bond, attaches to each amino acid, which a dehydration reaction forms. One amino acid's carboxyl group and the incoming amino acid's amino group combine, releasing a water molecule. The resulting bond is the peptide bond (Figure 3.24).

The formation of a peptide bond between two amino acids is shown. When the peptide bond forms, the carbon from the carbonyl group becomes attached to the nitrogen from the amino group. The upper O upper H from the carboxyl group and an upper H from the amino group form a molecule of water.
Figure 3.24 Peptide bond formation is a dehydration synthesis reaction. The carboxyl group of one amino acid is linked to the incoming amino acid's amino group. In the process, it releases a water molecule.

The products that such linkages form are peptides. As more amino acids join to this growing chain, the resulting chain is a polypeptide. Each polypeptide has a free amino group at one end. This end is called the N terminal, or the amino terminal, and the other end has a free carboxyl group, also called the C or carboxyl terminal. While the terms polypeptide and protein are sometimes used interchangeably, a polypeptide is technically a polymer of amino acids, whereas the term protein is used for a polypeptide or polypeptides that have combined together, often have bound non-peptide prosthetic groups, have a distinct shape, and have a unique function. After protein synthesis (translation), most proteins are modified. These are known as post-translational modifications. They may undergo cleavage, phosphorylation, or may require adding other chemical groups. Only after these modifications is the protein completely functional.

Link to Learning

Click through the steps of protein synthesis in this interactive tutorial.

Evolution Connection

The Evolutionary Significance of Cytochrome c

Cytochrome c is an important component of the electron transport chain, a part of cellular respiration, and it is normally located in the cellular organelle, the mitochondrion. This protein has a heme prosthetic group, and the heme's central ion alternately reduces and oxidizes during electron transfer. Because this essential protein’s role in producing cellular energy is crucial, it has changed very little over millions of years. Protein sequencing has shown that there is a considerable amount of cytochrome c amino acid sequence homology among different species. In other words, we can assess evolutionary kinship by measuring the similarities or differences among various species’ DNA or protein sequences.

Scientists have determined that human cytochrome c contains 104 amino acids. For each cytochrome c molecule from different organisms that scientists have sequenced to date, 37 of these amino acids appear in the same position in all cytochrome c samples. This indicates that there may have been a common ancestor. On comparing the human and chimpanzee protein sequences, scientists did not find a sequence difference. When researchers compared human and rhesus monkey sequences, the single difference was in one amino acid. In another comparison, human to yeast sequencing shows a difference in the 44th position.

Protein Structure

As we discussed earlier, a protein's shape is critical to its function. For example, an enzyme can bind to a specific substrate at an active site. If this active site is altered because of local changes or changes in overall protein structure, the enzyme may be unable to bind to the substrate. To understand how the protein gets its final shape or conformation, we need to understand the four levels of protein structure: primary, secondary, tertiary, and quaternary.

Primary Structure

Amino acids' unique sequence in a polypeptide chain is its primary structure. For example, the pancreatic hormone insulin has two polypeptide chains, A and B, and they are linked together by disulfide bonds. The N terminal amino acid of the A chain is glycine; whereas, the C terminal amino acid is asparagine (Figure 3.25). The amino acid sequences in the A and B chains are unique to insulin.

The amino acid sequences for the A chain and B chain of bovine insulin are shown. The A chain is 21 amino acids in length, and the B chain is 30 amino acids in length. One disulfide, or S S bond, connects two cysteine residues in the A chain. Two other disulfide linkages connect the A chain to the B chain.
Figure 3.25 Bovine serum insulin is a protein hormone comprised of two peptide chains, A (21 amino acids long) and B (30 amino acids long). In each chain, three-letter abbreviations that represent the amino acids' names in the order they are present indicate primary structure. The amino acid cysteine (cys) has a sulfhydryl (SH) group as a side chain. Two sulfhydryl groups can react in the presence of oxygen to form a disulfide (S-S) bond. Two disulfide bonds connect the A and B chains together, and a third helps the A chain fold into the correct shape. Note that all disulfide bonds are the same length, but we have drawn them different sizes for clarity.

The gene encoding the protein ultimately determines the unique sequence for every protein. A change in nucleotide sequence of the gene’s coding region may lead to adding a different amino acid to the growing polypeptide chain, causing a change in protein structure and function. In sickle cell anemia, the hemoglobin β chain (a small portion of which we show in Figure 3.26) has a single amino acid substitution, causing a change in protein structure and function. Specifically, valine in the β chain substitutes the amino acid glutamic. What is most remarkable to consider is that a hemoglobin molecule is comprised of two alpha and two beta chains that each consist of about 150 amino acids. The molecule, therefore, has about 600 amino acids. The structural difference between a normal hemoglobin molecule and a sickle cell molecule—which dramatically decreases life expectancy—is a single amino acid of the 600. What is even more remarkable is that three nucleotides each encode those 600 amino acids, and a single base change (point mutation), 1 in 1800 bases causes the mutation.

Several representations of hemoglobin proteins are shown under normal and sickle cell conditions. In primary structure, the sixth amino acid is replaced by valine. In secondary and tertiary structures, the sickle cell is revealed by a misshapen molecule. As a result, in function, normal hemoglobins do not associate with each other, and each can carry oxygen. But in sickle cell conditions, the proteins aggregate into a fiber and oxygen carrying capacity is reduced.
Figure 3.26 Because of this change of one amino acid in the chain, hemoglobin molecules form long fibers that distort the biconcave, or disc-shaped, red blood cells and causes them to assume a crescent or “sickle” shape, which clogs blood vessels (Figure 3.27). The beta (β)- chain of hemoglobin is 147 amino acids in length, yet a single amino acid substitution in the primary sequence leads to changes in secondary, tertiary, and quaternary structures and sickle cell anemia. In normal hemoglobin, the amino acid at position six is glutamate. In sickle cell hemoglobin glutamate is replaced by valine. (credit: Rao, A., Tag, A. Ryan, K. and Fletcher, S. Department of Biology, Texas A&M University)

Because of this change of one amino acid in the chain, hemoglobin molecules form long fibers that distort the biconcave, or disc-shaped, red blood cells and causes them to assume a crescent or “sickle” shape, which clogs blood vessels (Figure 3.27). This can lead to myriad serious health problems such as breathlessness, dizziness, headaches, and abdominal pain for those affected by this disease. William Warrick Cardozo showed that sickle-cell anemia is an inherited disorder, meaning that the difference in the specific gene's encoding region is passed down from parents to children. As you will learn in the genetics unit, the inheritance of such traits is determined by a combination of genes from both parents, and these very small differences can have significant impacts on organisms.

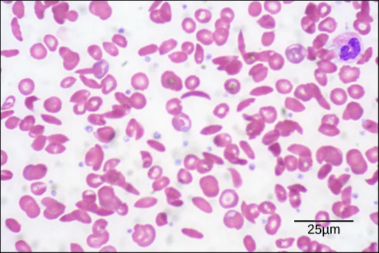
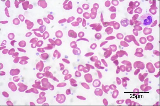
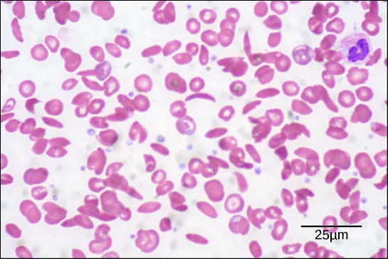
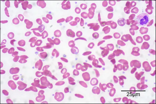
This electron micrograph shows red blood cells from a patient with sickle cell anemia. Most of the cells have a normal, disk shape, but about one in five has a sickle shape. A normal blood cell is eight microns across.
Figure 3.27 In this blood smear, visualized at 535x magnification using bright field microscopy, sickle cells are crescent shaped, while normal cells are disc-shaped. (credit: modification of work by Ed Uthman; scale-bar data from Matt Russell)

Secondary Structure

The local folding of the polypeptide in some regions gives rise to the secondary structure of the protein. The most common are the α-helix and β-pleated sheet structures (Figure 3.28). Both structures are held in shape by hydrogen bonds. The hydrogen bonds form between the oxygen atom in the carbonyl group in one amino acid and another amino acid that is four amino acids farther along the chain.

The illustration shows an alpha helix protein structure, which coils like a spring, and a beta-pleated sheet structure, which forms flat sheets stacked together. In an alpha-helix, hydrogen bonding occurs between the carbonyl group of one amino acid and the amino group of the amino acid that occurs four residues later. In a beta-pleated sheet, hydrogen bonding occurs between two different lengths of peptide that are antiparallel to one another.
Figure 3.28 The α-helix and β-pleated sheet are secondary protein structures formed when hydrogen bonds form between the carbonyl oxygen and the amino hydrogen in the peptide backbone. Certain amino acids have a propensity to form an α-helix while others favor β-pleated sheet formation. Black = carbon, White = hydrogen, Blue = nitrogen, and Red = oxygen. Credit: Rao, A., Ryan, K. Fletcher, S. and Tag, A. Department of Biology, Texas A&M University.

Every helical turn in an alpha helix has 3.6 amino acid residues. The polypeptide's R groups (the variant groups) protrude out from the α-helix chain. In the β-pleated sheet, hydrogen bonding between atoms on the polypeptide chain's backbone form the "pleats". The R groups are attached to the carbons and extend above and below the pleat's folds. The pleated segments align parallel or antiparallel to each other, and hydrogen bonds form between the partially positive hydrogen atom in the amino group and the partially negative oxygen atom in the peptide backbone's carbonyl group. The α-helix and β-pleated sheet structures are in most globular and fibrous proteins and they play an important structural role.

Tertiary Structure

The polypeptide's unique three-dimensional structure is its tertiary structure (Figure 3.29). This structure is in part due to chemical interactions at work on the polypeptide chain. Primarily, the interactions among R groups create the protein's complex three-dimensional tertiary structure. The nature of the R groups in the amino acids involved can counteract forming the hydrogen bonds we described for standard secondary structures. For example, R groups with like charges repel each other and those with unlike charges are attracted to each other (ionic bonds). When protein folding takes place, the nonpolar amino acids' hydrophobic R groups lie in the protein's interior; whereas, the hydrophilic R groups lie on the outside. Scientists also call the former interaction types hydrophobic interactions. Interaction between cysteine side chains forms disulfide linkages in the presence of oxygen, the only covalent bond that forms during protein folding.

This illustration shows a polypeptide backbone folded into a three-dimensional structure. Chemical interactions between amino acid side chains maintain its shape. These include an ionic bond between an amino group and a carboxyl group, hydrophobic interactions between two hydrophobic side chains, a hydrogen bond between a hydroxyl group and a carbonyl group, and a disulfide linkage.
Figure 3.29 A variety of chemical interactions determine the proteins' tertiary structure. These include hydrophobic interactions, ionic bonding, hydrogen bonding, and disulfide linkages.

All of these interactions, weak and strong, determine the protein's final three-dimensional shape. When a protein loses its three-dimensional shape, it may no longer be functional.

Quaternary Structure

In nature, some proteins form from several polypeptides, or subunits, and the interaction of these subunits forms the quaternary structure. Weak interactions between the subunits help to stabilize the overall structure. For example, insulin (a globular protein) has a combination of hydrogen and disulfide bonds that cause it to mostly clump into a ball shape. Insulin starts out as a single polypeptide and loses some internal sequences in the presence of post-translational modification after forming the disulfide linkages that hold the remaining chains together. Silk (a fibrous protein), however, has a β-pleated sheet structure that is the result of hydrogen bonding between different chains.

Figure 3.30 illustrates the four levels of protein structure (primary, secondary, tertiary, and quaternary).

Shown are the four levels of protein structure. The primary structure is the amino acid sequence. Secondary structure is a regular folding pattern due to hydrogen bonding. Tertiary structure is the three-dimensional folding pattern of the protein due to interactions between amino acid side chains. Quaternary structure is the interaction of two or more polypeptide chains.
Figure 3.30 Observe the four levels of protein structure in these illustrations. Credit: Rao, A. Ryan, K. and Tag, A. Department of Biology, Texas A&M University.

Denaturation and Protein Folding

Each protein has its own unique sequence and shape that chemical interactions hold together. If the protein is subject to changes in temperature, pH, or exposure to chemicals, the protein structure may change, losing its shape without losing its primary sequence in what scientists call denaturation. Denaturation is often reversible because the polypeptide's primary structure is conserved in the process if the denaturing agent is removed, allowing the protein to resume its function. Sometimes denaturation is irreversible, leading to loss of function. One example of irreversible protein denaturation is frying an egg. The albumin protein in the liquid egg white denatures when placed in a hot pan. Not all proteins denature at high temperatures. For instance, bacteria that survive in hot springs have proteins that function at temperatures close to boiling. The stomach is also very acidic, has a low pH, and denatures proteins as part of the digestion process; however, the stomach's digestive enzymes retain their activity under these conditions.

Protein folding is critical to its function. Scientists originally thought that the proteins themselves were responsible for the folding process. Only recently researchers discovered that often they receive assistance in the folding process from protein helpers, or chaperones (or chaperonins) that associate with the target protein during the folding process. They act by preventing polypeptide aggregation that comprise the complete protein structure, and they disassociate from the protein once the target protein is folded.

Link to Learning

For an additional perspective on proteins, view this animation called “Biomolecules: The Proteins.”

Citation/Attribution

This book may not be used in the training of large language models or otherwise be ingested into large language models or generative AI offerings without OpenStax's permission.

Want to cite, share, or modify this book? This book uses the Creative Commons Attribution License and you must attribute OpenStax.

Attribution information
  • If you are redistributing all or part of this book in a print format, then you must include on every physical page the following attribution:

    Access for free at https://openstax.org/books/biology-2e/pages/1-introduction

  • If you are redistributing all or part of this book in a digital format, then you must include on every digital page view the following attribution:

    Access for free at https://openstax.org/books/biology-2e/pages/1-introduction

Citation information

© Jul 7, 2025 OpenStax. Textbook content produced by OpenStax is licensed under a Creative Commons Attribution License . The OpenStax name, OpenStax logo, OpenStax book covers, OpenStax CNX name, and OpenStax CNX logo are not subject to the Creative Commons license and may not be reproduced without the prior and express written consent of Rice University.