Skip to ContentGo to accessibility pageKeyboard shortcuts menu
OpenStax Logo
Search for key terms or text.

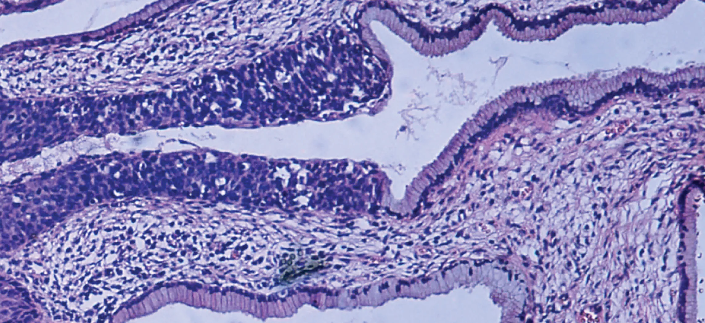
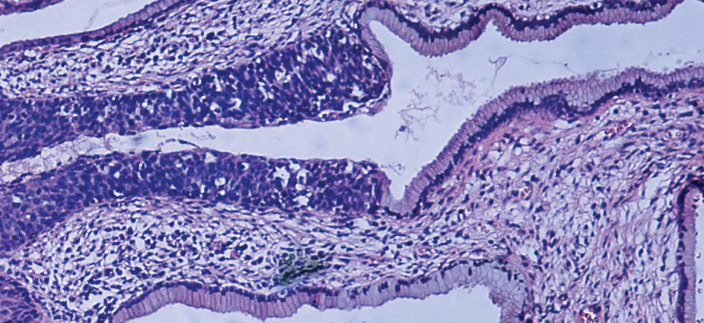
This micrograph shows tissue surrounding several empty spaces. The epithelial tissue occurs at the border between the rest of the tissue and the empty spaces. The normal epithelium is composed of rectangular-shaped cells neatly organized side by side. Dark purple nuclei are clear at the bottom of the epithelial cells, where they attach to the rest of the tissue. The abnormal epithelium appears as a tangled area of purple nuclei, much thicker than the normal epithelium although no distinct cells are discernible.
Figure 4.1 Micrograph of Cervical Tissue This figure is a view of the regular architecture of normal tissue contrasted with the irregular arrangement of cancerous cells. (credit: “Haymanj”/Wikimedia Commons)

Chapter Objectives

After studying this chapter, you will be able to:

  • Identify the main tissue types and discuss their roles in the human body
  • Identify the four types of tissue membranes and the characteristics of each that make them functional
  • Explain the functions of various epithelial tissues and how their forms enable their functions
  • Explain the functions of various connective tissues and how their forms enable their functions
  • Describe the characteristics of muscle tissue and how these enable function
  • Discuss the characteristics of nervous tissue and how these enable information processing and control of muscular and glandular activities

The body contains at least 200 distinct cell types. These cells contain essentially the same internal structures yet they vary enormously in shape and function. The different types of cells are not randomly distributed throughout the body; rather they occur in organized layers, a level of organization referred to as tissue. The micrograph that opens this chapter shows the high degree of organization among different types of cells in the tissue of the cervix. You can also see how that organization breaks down when cancer takes over the regular mitotic functioning of a cell.

The variety in shape reflects the many different roles that cells fulfill in your body. The human body starts as a single cell at fertilization. As this fertilized egg divides, it gives rise to trillions of cells, each built from the same blueprint, but organizing into tissues and becoming irreversibly committed to a developmental pathway.

Citation/Attribution

This book may not be used in the training of large language models or otherwise be ingested into large language models or generative AI offerings without OpenStax's permission.

Want to cite, share, or modify this book? This book uses the Creative Commons Attribution License and you must attribute OpenStax.

Attribution information
  • If you are redistributing all or part of this book in a print format, then you must include on every physical page the following attribution:

    Access for free at https://openstax.org/books/anatomy-and-physiology-2e/pages/1-introduction

  • If you are redistributing all or part of this book in a digital format, then you must include on every digital page view the following attribution:

    Access for free at https://openstax.org/books/anatomy-and-physiology-2e/pages/1-introduction

Citation information

© Jun 16, 2025 OpenStax. Textbook content produced by OpenStax is licensed under a Creative Commons Attribution License . The OpenStax name, OpenStax logo, OpenStax book covers, OpenStax CNX name, and OpenStax CNX logo are not subject to the Creative Commons license and may not be reproduced without the prior and express written consent of Rice University.