Skip to ContentGo to accessibility pageKeyboard shortcuts menu
OpenStax Logo
Search for key terms or text.

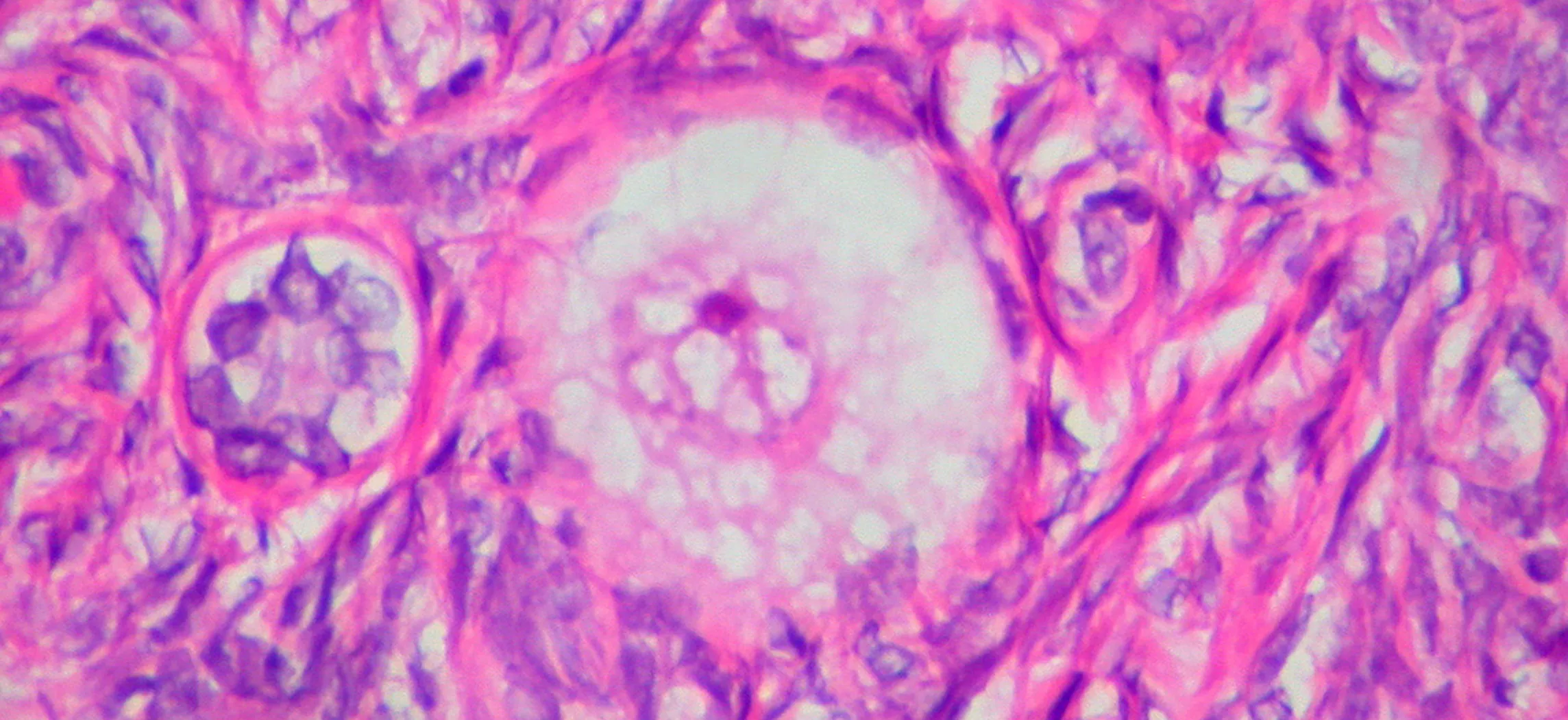
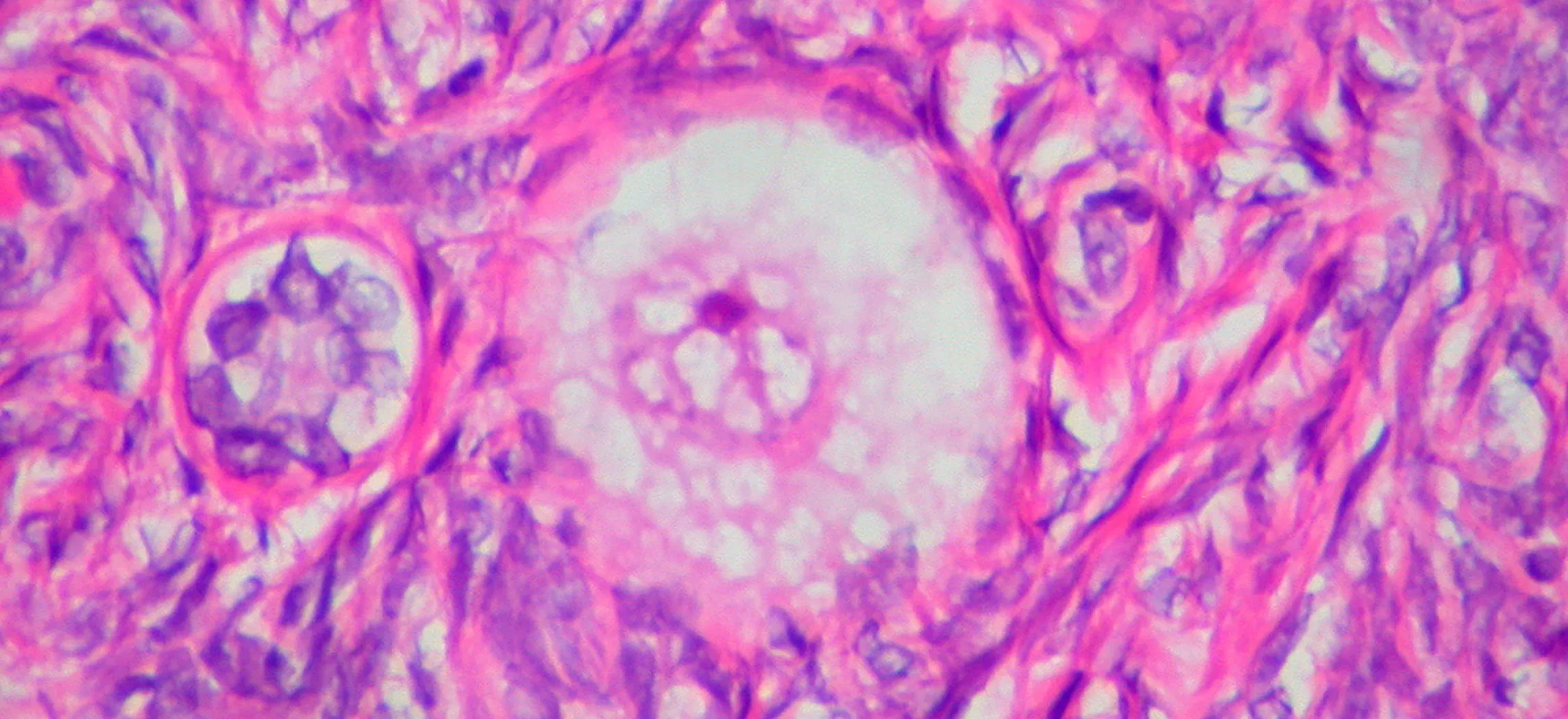
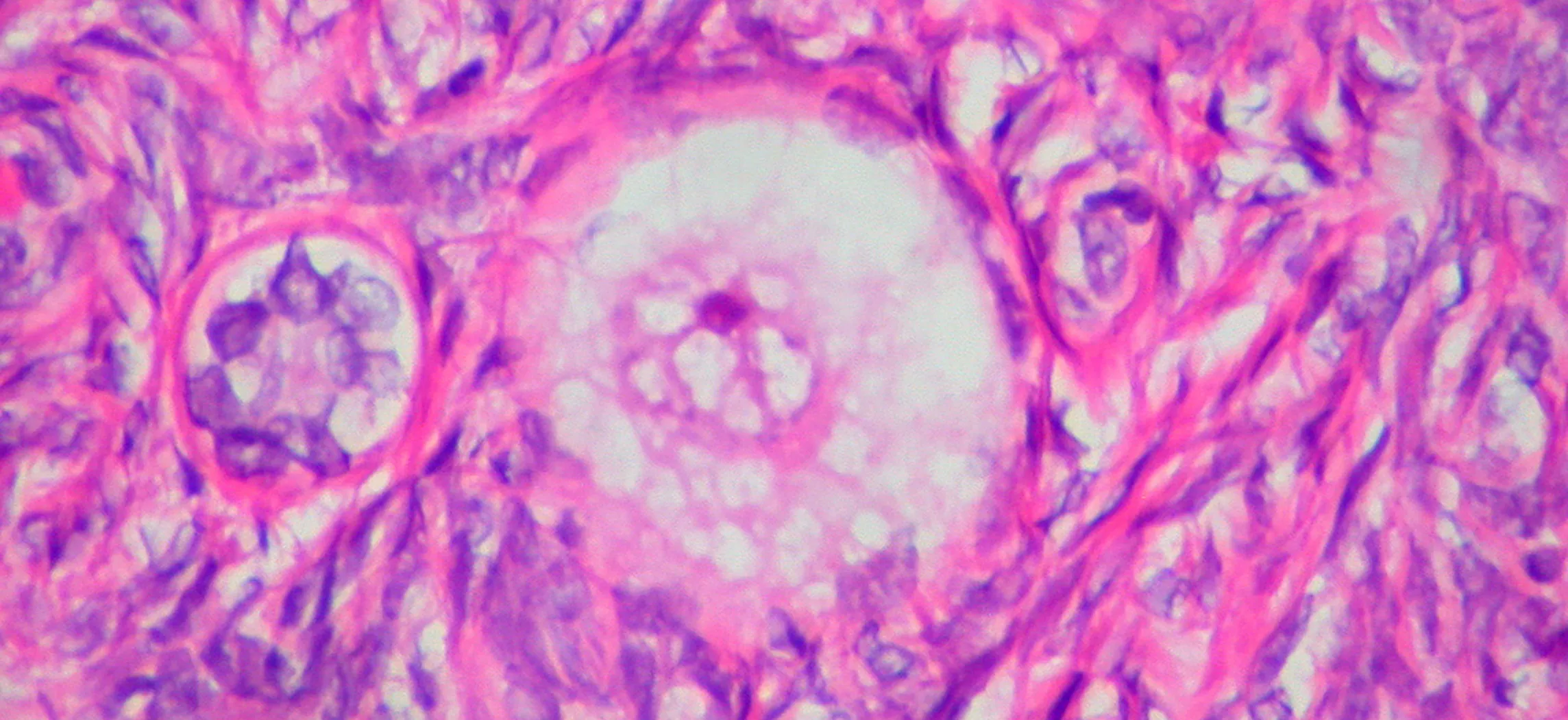
This photo shows an oocyte.
Figure 27.1 Ovulation Following a surge of luteinizing hormone (LH), an oocyte (immature egg cell) will be released into the uterine tube, where it will then be available to be fertilized by sperm. Ovulation marks the end of the follicular phase of the ovarian cycle and the start of the luteal phase.

Chapter Objectives

After studying this chapter, you will be able to:

  • Describe the anatomy of the reproductive systems, including their accessory structures
  • Explain the role of hypothalamic and pituitary hormones in reproductive function
  • Trace the path of a sperm cell from its initial production through fertilization of an oocyte
  • Explain the events in the ovary prior to ovulation
  • Describe the development and maturation of the sex organs and the emergence of secondary sex characteristics during puberty

Small, uncoordinated, and slick with amniotic fluid, a newborn encounters the world outside of the womb. We do not often consider that a child’s birth is proof of the healthy functioning of reproductive systems. Moreover, endocrine systems had to secrete the appropriate regulating hormones to induce the production and release of unique male and female gametes, reproductive cells containing genetic material (one set of 23 chromosomes). Reproductive behavior or medical innovation had to facilitate the transfer of male gametes—the sperm—to the female gamete, an oocyte (egg). Finally, combination of the gametes (fertilization) had to occur, followed by implantation and development. In this chapter, you will explore the reproductive systems, whose functioning can culminate in the powerful sound of a newborn’s first cry.

Citation/Attribution

This book may not be used in the training of large language models or otherwise be ingested into large language models or generative AI offerings without OpenStax's permission.

Want to cite, share, or modify this book? This book uses the Creative Commons Attribution License and you must attribute OpenStax.

Attribution information
  • If you are redistributing all or part of this book in a print format, then you must include on every physical page the following attribution:

    Access for free at https://openstax.org/books/anatomy-and-physiology-2e/pages/1-introduction

  • If you are redistributing all or part of this book in a digital format, then you must include on every digital page view the following attribution:

    Access for free at https://openstax.org/books/anatomy-and-physiology-2e/pages/1-introduction

Citation information

© Jun 16, 2025 OpenStax. Textbook content produced by OpenStax is licensed under a Creative Commons Attribution License . The OpenStax name, OpenStax logo, OpenStax book covers, OpenStax CNX name, and OpenStax CNX logo are not subject to the Creative Commons license and may not be reproduced without the prior and express written consent of Rice University.